
患者,女性,32岁,诊断宫颈癌发现腹膜后肿瘤1个月。完善相关内分泌化验和相关检查,明确诊断为嗜铬细胞瘤。行术前药物准备后,行嗜铬细胞瘤切除手术顺利。
患者一般情况良好,心肺腹未见异常。腹部触诊可及左上腹部肿物约10cm,质韧,可活动。
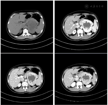
内分泌检查:去甲肾上腺素(24h) NE 20.82μg/24h,肾上腺素(24) E 3.22μg/24h,多巴胺(24h) DA 235.07μg/24h。影像学检查:超声和CT等检查提示左侧肾上腺区巨大肿物影约9.7×5.9cm,平扫中心呈稍低密度,边缘呈等密度,增强扫描动脉期边缘明显强化,静脉期及延迟期持续强化,中心可见片状无强化区,脾静脉、胰腺受压向前移位,左肾受压向后移位。
全麻下经腹腹腔镜左肾上腺区巨大嗜铬细胞瘤切除术顺利。
嗜铬细胞瘤术后行宫颈癌手术顺利,术后复查2年未见肿瘤复发和转移。
版权归中华医学会所有。本文为遵循CC-BY-NC-ND协议的开放获取文章。
患者,女性,32岁,已婚,职业律师。主诉:诊断宫颈癌发现腹膜后肿瘤1个月。患者于2019年3月出现一次同房后阴道出血,量不多。进一步到当地医院妇科门诊检查:行HPV检测,HPV16(+)。TCT检查:子宫颈鳞状上皮内病变,不除外鳞状细胞癌。妇科B超:子宫内膜点状强回声0.2cm。到我院妇科进一步检查,阴道微生物核酸检测:Trichomonas阴性(-),Gardnerella阴性(-),Candida阴性(-)。鳞状细胞癌抗原(SCCAg):SCCAg 1.0ng/ml。于2019年4月26日我院妇科行阴道镜+宫颈活检,病理结果:(宫颈3°、4°、6°、9°及宫颈管)CIN Ⅱ~Ⅲ,累腺其中(3°、4°)不除外局灶浸润。于2019年5月27日我院妇科行宫颈锥切术,术后病理:(1°~12°)CIN Ⅲ/CIS,其中(1°~11°)可见间质浸润(高分化鳞癌,最深4mm,最宽8mm),距(4)底切缘最近距离1mm,未见明确脉管瘤栓,(4°)距内口切缘<1mm可见CIS,余各切缘未见特殊。拟行妇科宫颈癌根治术,于2019年6月术前行腹盆腔增强CT检查:左侧肾上腺区可见一巨大肿物影,边界清晰,大小约9.7×5.9cm,平扫中心呈稍低密度,边缘呈等密度,增强扫描动脉期边缘明显强化,静脉期及延迟期持续强化,中心可见片状无强化区,左侧肾上腺正常结构未见显示,脾静脉、胰腺受压向前移位,左肾受压向后移位。诊断意见:左侧肾上腺区病变,嗜铬细胞瘤可能大。进一步到泌尿外科门诊完善相关检查后,并药物准备后收入泌尿外科。
既往史:2014年8月剖宫产术产1女。2019年4月我院妇科行阴道镜+宫颈活检。2019年5月我院妇科行宫颈锥切术。婚育和月经史:孕2产1,为剖宫产。月经规律,4/30天。家族史:无殊。
两侧肾区无隆起,无叩痛,沿两侧输尿管走行区无压痛,膀胱区无充盈。肛门外生殖器未查。腹部触诊,可及左上腹部肿物,大小约10cm,质韧,可活动。
一般检查:K 3.9mmol/L,ALT 11U/L,Cr(E) 65μmol/L。内分泌检查:去甲肾上腺素(24h) NE 20.82μg/24h(16.69μg/24h~40.65μg/24h),肾上腺素(24) E 3.22μg/24h(1.74μg/24h~6.42μg/24h),多巴胺(24h) DA 235.07μg/24h (120.93μg/24h~330.59μg/24h)。3-甲氧基去甲肾上腺素(NMN)0.16 nmo1/L(<0.9 nmo1/L),3-(MN) 3-甲氧基肾上腺素(MN) 0.09 nmo1/L(<0.5 nmo1/L)。促肾上腺皮质激素ACTH 7.4 pg/ml(0~46.0pg/ml),血总皮质醇F 9.4 μg/dl(4.0μg/dl~22.3μg/dl),24小时尿游离皮质醇UFC 56μg/24hr(12.3μg/24hr~103.5μg/24hr)。神经元特异性烯醇化酶NSE 10.3 ng/ml(0~16.3ng/ml)。硫酸脱氢表雄酮DS 167μg/dl(23μg/dl~266μg/dl)。
泌尿系超声:左侧肾上腺区见底回声,大小约9.3×7.5×8.6cm,内见数个无回声,形态规则,边界清,CDFI:周边内部条状血流信号。左侧肾上腺区囊实性占位(实性为主)。
胸腹盆增强CT:左侧肾上腺区可见一巨大肿物影,边界清晰,大小约9.7×5.9cm,平扫中心呈稍低密度,边缘呈等密度,增强扫描动脉期边缘明显强化,静脉期及延迟期持续强化,中心可见片状无强化区,左侧肾上腺正常结构未见显示,脾静脉、胰腺受压向前移位,左肾受压向后移位。腹膜后未见明显肿大淋巴结。左侧肾上腺区病变,嗜铬细胞瘤可能大,建议内分泌科进一步就诊;肝内多发小囊肿;副脾;子宫强化欠均匀,请结合临床;双侧附件区囊性结节,考虑卵巢生理性改变可能(见图1)。


生长抑素受体显像:静脉注入示踪剂后1h和4h行全身显像,相当于左侧肾上腺区见一不均匀放射性摄取增高区,中心呈放射性减低区。余全身各部位始终未见异常放射性减低或浓聚区。左侧肾上腺区高表达生长抑素受体病灶,嗜铬细胞瘤可能性大,伴中心坏死。
肾上腺髓质全身显像:静注示踪剂1d、2d行全身显像,双肾上腺区域及全身其他部位均未见异常放射性浓聚区。未见明确嗜铬细胞瘤征象。
PET/CT躯干断层显像:左肾上腺区见一类椭圆形等低混杂密度肿块,大小约6.5×8.8×10.5cm,边缘呈放射性摄取不均匀增高,SUVmax26.8,中心见放射性缺失区,邻近胃壁、胰腺及左肾呈受压改变。左肾上腺区代谢不均匀增高肿块,内伴坏死,考虑恶性病变;腹膜后腹主动脉旁、肠系膜区多发代谢不高小淋巴结,考虑良性可能,建议随诊。
肾血流功能显像:双肾位置、大小、形态正常。右肾=57.25ml/min×1.73m2左肾=63.58ml/min×1.73m2,双肾血流灌注及功能正常。
妇科:患者因阴道出血,阴道镜活检和宫颈锥切,诊断宫颈癌,拟行腹腔镜宫颈癌根治术。术前检查发现左侧肾上腺区巨大肿瘤,嗜铬细胞瘤可能。需要泌尿外科会诊,决定是否先行肾上腺区肿瘤手术。
泌尿外科:根据患者的影像学和内分泌检查结果,左侧肾上腺区巨大肿瘤,诊断嗜铬细胞瘤可能。目前支持嗜铬细胞瘤的证据,定位诊断:超声、腹盆腔增强CT和PET/CT检查,血运丰富伴中心坏死,符合嗜铬细胞瘤诊断;定性诊断:生长抑素受体现象。不支持嗜铬细胞瘤的证据,临床表现不典型,内分泌检查为阴性。综合诊断,左侧肾上腺区巨大嗜铬细胞瘤。目前患者同时合并宫颈癌和嗜铬细胞瘤,因为担心手术和麻醉过程中嗜铬细胞瘤发作,导致血压波动,应该先行嗜铬细胞瘤手术,再行妇科宫颈癌手术。
内分泌科:结合病史及化验检查结果,左肾上腺区肿瘤考虑嗜铬细胞瘤可能,同意泌尿外科意见,先行嗜铬细胞瘤手术,再行妇科手术。术前需要充分药物准备,充分扩容,根据血压心率调整药物剂量。
麻醉科:患者一般情况可,无手术禁忌。术前积极药物准备,围手术期维持血流动力学稳定。
放射科:结合我院腹盆腔增强CT片,左侧肾上腺区巨大肿瘤,最大直径约10cm,动脉期强化明显,静脉期快速廓清,伴有中心液化坏死,诊断嗜铬细胞瘤。
核医学科:PET/CT提示左肾上腺区肿物,边缘呈放射性摄取不均匀增高,SUVmax26.8,高SUV值符合嗜铬细胞瘤表现,但需要考虑恶性可能。
内分泌科:患者目前药物酚苄明10mg3次/d,药物准备1.5个月,体重增加约4公斤,鼻塞明显,指端温暖,监测血压心率盆平稳,药物准备充分,无手术禁忌。
麻醉科:患者一般情况可,无手术禁忌。因为宫颈癌和巨大嗜铬细胞瘤,属于限期手术。交待围术期心脑血管意外、术中血压波动等风险,术后转ICU科。
重症医学科:围手术期维持血流动力学稳定,术后可返ICU病房。
输血科:输血科备血,保证手术安全。
泌尿外科:患者32岁女性,因为宫颈癌发现左侧肾上腺区巨大肿瘤。诊断方面,定性和定位诊断考虑嗜铬细胞瘤。目前药物准备1.5g个月,体重增加4公斤,请相关科室会诊,围手术期准备充分。该患者特殊情况在于功能静止型,无发作性血压升高,因为宫颈癌偶然发现,在手术时机的选择方面,因为嗜铬细胞瘤突发血压波动的特点,需要首先处理嗜铬细胞瘤,再处理宫颈癌。治疗方面:患者年轻,可考虑经腹途径腹腔镜嗜铬细胞瘤切除术,术中细致操作,避免肿瘤破裂。根据目前PET/CT检查提示,该患者存在恶性风险,应完整切除肿瘤,并尽可能切净肿瘤周围脂肪组织,保证无瘤原则。同患者及家属反复交代病情,患者及家属充分理解并自愿手术。因为肿瘤巨大,也经医务处备案。
与患者充分交待病情和手术风险,患者及家属积极要求手术。遂于2019年9月2日在全麻下经腹腹腔镜左肾上腺区巨大嗜铬细胞瘤切除术,术中见左侧肾上腺区巨大肿瘤直径约10cm,包膜完整,边界尚清。手术过程顺利,完整切除左侧肾上腺区肿瘤及肾上腺及周围脂肪组织,切除肿瘤包膜完整。术中出现血量小,未输血。术中留置尿管1根、腹腔引流管1根。术后患者安返ICU病房,术后第1d拔除气管插管,清醒后安返病房,术后5天出院。
术后病理回报:(左侧肾上腺及肿瘤)嗜铬细胞瘤。免疫组化结果:Melan-A(-),S-100(支持细胞+),Calretinin(-),CgA(+),Ki-67(index 10%),Syn(+),Vimentin(+),α-inhibin(±),AE1/AE3(-)(见图2)。


诊断为左侧肾上腺嗜铬细胞瘤。
患者术后恢复良好,无肾上腺皮质功能低减,术后5d出院。2019年10月23日,于我院妇科行腹腔镜宫颈癌根治术,手术顺利,术后病理未见宫颈肿瘤残留,淋巴结阴性。术后随访2年,未见肿瘤复发和转移。
嗜铬胞瘤是起源于肾上腺髓质嗜铬细胞的神经内分泌肿瘤,储存和分泌儿茶酚胺,包括肾上腺素、去甲肾上腺素及多巴胺。典型的临床表现有高血压、头痛、出汗和心悸等,严重者可导致高血压危象、心力衰竭、心肌病和心肌梗死等,危及生命。随着对该病的认识和现代医学的进步,嗜铬细胞瘤的手术死亡从开始的高达50%,现逐步下降至3%以下。嗜铬细胞瘤手术对于外科医生和麻醉科医生都是一个不可轻视的高风险手术,是一个挑战[1,2,3]。
嗜铬细胞瘤的诊断依据典型的临床表现,同时需要定性诊断和定位诊断。定性诊断,即相关激素的测定,以证实其高血压是否因高儿茶酚胺分泌所致。检测血、尿儿茶酚胺即去甲肾上腺素( NE )、肾上腺素( E )、多巴胺( DA )及其代谢产物香草扁桃酸( VMA )、3-甲氧基肾上腺素(MN )和3-甲氧基去甲肾上腺素(NMN )的浓度。其中测定血或尿中的MN、NMN可提高嗜铬细胞瘤的诊断符合率。定位诊断,采用CT、MRI等检查,可以发现肾上腺区的肿瘤,但常常不能发现肾上腺外的肿瘤。131I间碘苄胍( 131 I MIBG )可同时对嗜铬细胞瘤进行形态和功能的定位,其特异性高但敏感性较差,生长抑素(奥曲肽)透射型计算机断层摄影术( TCT)与发射型计算机断层摄影术( ECT)融合显像可对131 I-MIBG显示阴性的嗜铬细胞瘤进行互补检查而帮助确诊[2,3]。本例为静止型嗜铬细胞瘤,就是131I间碘苄胍阴性,而生长抑素受体表达阳性诊断。
嗜铬细胞瘤的围手术期处理,关系血流动力学稳定。术中较好的术前准备、术中处理、术后监测及治疗对于取得手术治疗的成功至关重要。本例患者肿瘤较大,通过经腹途径腹腔镜,可以减少术中的血流波动,同时完整切除肿瘤,达到微创和完整切除的目的[4]。
嗜铬细胞瘤的诊治需要多科协作,嗜铬细胞瘤的综合诊治是由术前准备充分与否、手术操作技巧和围手术期麻醉管理等综合因素决定的,体现了多科协作的整体水平。
所有作者均声明本研究不存在利益冲突





















