
患者女,53岁,因"子宫内膜间质肉瘤术后25年,发现腹壁第四次转移1个月余"入院。患者于28岁行剖宫产手术时发现子宫肿物行肿物切除,术后病理示低级别子宫内膜间质肉瘤,10d后行次广泛全子宫切除术,其后分别在术后5年、9年、12年出现腹壁结节并行结节切除术,术后病理均提示子宫内膜间质肉瘤浸润。第三次复发术后患者行双侧卵巢+左侧输卵管切除术。
患者在术后25年再次出现腹壁结节。
PET-CT提示:子宫肉瘤术后,腹部皮下轻度FDG代谢结节(1.1 cm×0.8 cm)。
患者行皮下肿物切除术,术后病理示组织可见肿瘤浸润,细胞卵圆形及短梭形,考虑子宫内膜间质肉瘤转移。术后口服来曲唑2.5 mg。
该病例提示低级别子宫内膜间质肉瘤有腹壁转移可能,复查期间应关注腹壁情况,保留卵巢可能与复发相关,切除卵巢可延缓低级别子宫内膜间质肉瘤复发。
版权归中华医学会所有。本文为遵循CC-BY-NC-ND协议的开放获取文章。
低级别子宫内膜间质肉瘤(low-grade endometrial stromal sarcoma,LG-ESS)较为少见,手术是主要治疗方法,术后预后较好,而术后发生腹壁转移更少见,且多次发生腹壁转移较为罕见,本文报道一例剖宫产术中发现低级别子宫内膜间质肉瘤,经手术治疗和内分泌治疗,随访25年,发生4次腹壁转移,现患者无瘤生存的案例。
患者女,53岁,因"低级别子宫内膜间质肉瘤术后24年余,发现腹壁第四次转移1个月余"于2021年入院。患者1996年在当地医院行剖宫产术,术中发现"子宫肌瘤",手术切除,术后病理报告"低级别子宫内膜间质肉瘤",10d后行子宫次广泛切除术,保留双侧附件。术后病理子宫标本未见肿物残留,术后肌注狄波普维拉150mg 3支,口服三苯氧胺10mg 2次/d 6个月。
1998年患者因出现半年内体重下降超过10kg,CA125增高,门诊B超显示盆腔积液2cm以及右腹股沟出现可触及的0.5cm×1.0cm×0.5cm的淋巴结,怀疑子宫内膜间质肉瘤复发,予淋巴结活检。病理示:右腹股沟淋巴结反应性增生。且术后CA125<15U/ml,B超示盆腔积液消失,无复发指征,嘱严密随访,予三苯氧胺10mg 2次/d 6个月。
2000年11月发现左下腹腹壁结节,质硬,无压痛,逐渐增大。2001年7月发现腹壁有四个结节,腹部横切口腹中线左右两侧分别触及2个大小约1cm的结节。初步取左下腹部结节活检,病理(64368)示左下腹部结节符合低级别子宫内膜间质肉瘤浸润,且ER(+),PR(+)。腹部B超示:腹部切口下1.3cm处可见两个相连结节,大小约2.1cm×2.6cm×2.3cm,偏右侧结节距表浅0.9cm,大小1.2cm。进一步行结节处腹壁皮肤及部分皮下脂肪切除术,病理示子宫内膜异位结节,脂肪坏死结节。综合病情考虑患者此次为低级别子宫内膜间质肉瘤复发,术后予顺铂100mg+异环磷酰胺4g+表阿霉素90mg化疗1次,黄体酮250mg 1次/d 2年。
2005年B超示腹壁横纵切口交点处皮下1.2cm可见多结节不规则低回声区,范围3.1cm×3.2cm×1.4cm,此回声向上纵切口偏右约2cm,皮下1.1cm处可见欠规则多结节低回声区,范围2.5cm×1.7cm×1.5cm。行腹壁结节切除术,术后病理示低级别子宫内膜间质肉瘤浸润,免疫组化结果提示:CD10(+),Vimentin(-),ER(+),PR(+)。术后黄体酮250mg 1次/d 2年。
2008年7月腹壁再次出现一结节,B超示切口局部腹壁多发低回声结构最大2.4cm×0.7cm,随访观察,结节呈进行性增大,2009年2月复查B超示腹壁皮下软组织层内实性结节4.4cm×1.8 cm,内见较多彩色血流信号,怀疑肿瘤复发。入院行腹壁结节切除术,病理示(G-0106681):子宫内膜间质肉瘤,免疫组化染色结果:CD10(+++), ER(+>75%), PR(+>75%)。考虑该疾病有激素相关性,患者已42岁,2009年4月于全麻下行腹腔镜下双侧卵巢+左侧输卵管切除术。术后继续口服甲羟孕酮250mg 1次/d。
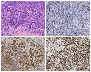
2021年于腹壁切口处触及结节,大小约2cm×2cm。B超示:腹部切口左缘上约两指皮下0.4cm可见周界毛糙的偏低回声结节范围0.7cm×0.8cm×0.6cm,内无明显血流信号。在腰麻下行皮下肿物切除术。病理示:脂肪组织中可见肿瘤浸润,细胞卵圆形及短梭形,结合病史及免疫组化结果,考虑低级别子宫内膜间质肉瘤转移;免疫组化结果提示:CK(-),Vimentin(+),ER(+),PR(+),CD10(+),Cyclin D1(-),CD34(血管+),KI-67(10%+)。免疫组化染色如图1。术后给与芳香化酶抑制剂来曲唑2.5mg治疗,现门诊随访四个月,无瘤生存。


低级别子宫内膜间质肉瘤的治疗以手术为主,2018年国际妇产科联盟妇癌报告推荐术式全子宫加双侧输卵管卵巢切除术,但对于年轻患者是否应该保留卵巢,尚且存在争议[1]。由于低级别子宫内膜间质肉瘤的激素依赖性,肿瘤可高表达雌激素和孕激素受体,保留卵巢可能影响肿瘤的进展Berchuck等针对LG-ESS的研究指出保留卵巢与否的复发率分别为100%(6/6)和43%(6/13)[3];一项包含17项研究786位低级别子宫内膜间质肉瘤患者的荟萃分析结果显示:不保留卵巢的复发率为24.2%(121/501),远低于保留卵巢的复发率46.8%(89/190)[4]。因此,2021 NCCN子宫肿瘤临床实践指南不建议低级别子宫内膜间质肉瘤患者保留卵巢[2]。本例患者28岁剖宫产下一女,确诊低级别子宫内膜间质肉瘤后行次广泛子宫切除术,保留卵巢,应是考虑到患者的年龄及生育需求。但是术后每3~5年出现腹壁复发转移灶。因此,2009年患者42岁,经患者同意和充分的术前讨论后,实施双侧卵巢加左侧输卵管切除术(右侧输卵管未探及)。术后定期随访,间隔12年后再次出现腹壁复发灶。相较于前三次复发,此次间隔时间明显延长,说明切除卵巢有利于延缓低级别子宫内膜间质肉瘤的复发。
多项研究发现低级别子宫内膜间质肉瘤患者术后化疗和放疗无法改善患者预后和复发率[5,6,7]。雌孕激素受体的阳性表达表明使用GnRH类似物、芳香化酶抑制剂和孕激素等进行辅助治疗应该是有效的。虽然目前关于低级别子宫内膜间质肉瘤患者术后行内分泌治疗是否延长总生存期和无病生存期仍然存在争议,但是多项研究表明内分泌治疗可以减少低级别子宫内膜间质肉瘤患者的复发[8]。2021 NCCN子宫肿瘤临床实践指南推荐低级别子宫内膜间质肉瘤患者行抗雌激素治疗,首选芳香化酶抑制剂[2]。一部分学者认为术后行两年的内分泌治疗可以取得满意的疗效,而另一部分人则认为应该终生服药[9]。考虑低级别子宫内膜间质肉瘤患者多次复发的情况,我们推荐患者术后长期使用内分泌治疗。
低级别子宫内膜间质肉瘤临床表现为不规则阴道流血,月经量增多,宫颈赘生物等,与子宫肌瘤、子宫腺肌症、宫颈息肉等常规妇科疾病症状相似,无特异性,甚至部分病人并未表现出明显症状,这就给其术前诊断增加了难度[10]。本例病人是于1995年5月B超发现"子宫肌瘤",当年9月怀孕,孕后定期检查发现"肌瘤"生长较快,1996年行剖宫产手术时行肌瘤摘除术,术后病理诊断为低级别子宫内膜间质肉瘤。低级别子宫内膜间质肉瘤多见于绝经前女性,但是本例病人在28岁时确诊,这是十分罕见的。低级别子宫内膜间质肉瘤有晚期复发的特点,平均复发间隔约4~5年,也有十几甚至二十年后出现复发者[7]。其常复发于骨盆和腹腔,也可见于肺部和阴道[11]。但腹壁转移发生率低,需要临床医生多加关注。
总之,低级别子宫内膜间质肉瘤是一种增生不活跃、预后较好但复发率较高的肿瘤,易与其他子宫病变相混淆,只有经过病理学检查后才能确诊。通过学习该病例,我们发现低级别子宫内膜间质肉瘤有腹壁转移的可能,应该多加关注,并且卵巢可能与复发有关,不保留卵巢能够延缓患者复发。
所有作者均声明本研究不存在利益冲突





















