
患者,男性,51岁,因"渐近性睡眠打鼾伴吞咽阻挡感1个月"就诊。
无咽痛,无声嘶,无憋气,无日间困倦,无鼻塞、流涕,无耳鸣、耳闷、听力下 降,无颈部活动障碍,既往体健,无吸烟史,无大量饮酒史,无食物、药物过敏史,查 体:瘦高体型,双侧下颌下及颏下区轻度下坠膨隆,皮肤颜色正常,无充血,触诊软,无 压痛,咽喉部检查见:咽后壁左侧局部隆起,上至悬雍垂,下界限不清。
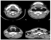
电子喉镜示左侧平悬雍垂水平黏膜隆起,下至环后区,挤压左侧梨状窝后壁;颈部彩超示双侧颈部低回声,范围91 mm×31 mm (左侧),90 mm×23 mm (右侧)边界清,双侧甲状腺 受压下移;颈部CT示咽后部、颈椎前方见不规则低密度影,边界清,组织内见分割影,最大 截面积89 mm×43 mm,平均CT值约-96HU,上达软腭水平,下达甲状腺水平,咽部诸结构均受压 前移,局部咽腔变窄,颈部强化CT:咽喉部肿物考虑脂肪性病变,实验室检查各项指标均 大致正常,肝胆胰脾及双肾输尿管彩超均未见异常。
入院综合分析病史及各项检查,诊断马德龙病,行全麻手术治疗,术后病理提示咽喉部巨大非典型脂肪瘤性肿瘤
手术彻底切除,治愈出院,控制饮酒,目前持续随访中。
耳鼻喉科;皮肤科;普外科;肿瘤科
版权归中华医学会所有。本文为遵循CC-BY-NC-ND协议的开放获取文章。
马德龙病( Madelung'disease )又名良性对称性脂肪瘤病( benign symmetric lipomatosis BSL)、多发性对称性脂肪瘤病(multiple symmetric lipomatosis,MSL),属 于脂肪代谢障碍性疾病,无明确病因,临床罕见,主要表现为脂肪组织弥漫性、对称性沉积 于皮下[1],疾病初期多无明显症状,随着脂肪瘤生长逐渐压迫周围组织,出现累及部位的 不适症状,患者就诊科室也涵盖皮肤科、普外科、肿瘤科等多个科室,以咽喉部首发不适症 状的马德龙病例鲜少报道,近日,我院耳鼻喉科收治了一名马德龙患者,结合本患者的诊治过程,学习并讨论马德龙病的相关知识,现报道如下。
患者,男性,51岁,因"渐近性睡眠打鼾伴吞咽阻挡感1个月"就诊,无咽痛,无声 嘶,无憋气,无日间困倦,无鼻塞、流涕,无耳鸣、耳闷、听力下降,无颈部活动障碍,既往体健,无吸烟史,无大量饮酒史,无食物、药物过敏史,体格检查:瘦高体型,双侧下颌下及颏下区轻度下坠膨隆(图1),皮肤颜色正常,无充血,触诊软,无压痛,咽喉部检查见:咽后壁左侧局部隆起,上至悬雍垂,下界限不清。


电子咽喉镜:鼻咽部黏膜光滑,咽后壁黏膜轻度充血,光滑,偏左侧平悬雍垂水平黏膜 隆起,下至环后区,挤压左侧梨状窝后壁,双侧梨状窝光滑,双侧声带光滑,运动对称。颈 部彩超:双侧颈部低回声,范围91 mm×31 mm (左侧),90 mm×23 mm (右侧) 边界清,双侧甲状腺受压下移,颈部CT(图2):咽后部、颈椎前方见不规则低密度影,边界清,组织内见分割影,最大截 面积89 mm×43 mm,平均CT值约-96HU,上达软腭水平,下达甲状腺水平,咽部诸结构均受压前 移,局部咽腔变窄,颈部强化CT:咽喉部肿物考虑脂肪性病变,实验室检查各项指标均大 致正常,肝胆胰脾及双肾输尿管彩超均未见异常。


根据以上一般资料,诊断为马德龙病。
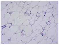
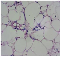
治疗方案手术切除,术前插胃管,全麻下行气管切开术+颈部肿物切除术,切口选择在皮肤肿胀较明显的左侧颈部,做"L"型切口,外上由左侧 下颌角下缘垂直向下至甲状软骨水平,水平向前至颈中线,切开皮肤、皮下组织及颈阔肌,自颈阔肌深面游离皮瓣,上至舌骨水平,下至环状软骨,沿左侧胸锁乳突肌前缘分离该肌将其牵向外侧,见淡黄色肿物(图3),质软,包膜光滑,自下而上沿包膜分离该肿物,下端达甲状腺中部,深入甲状腺被侧,上端达舌骨水平,左侧至胸锁乳突肌后缘,被侧至椎前间隙,沿该间隙于包膜外自左至右分离肿物,肿物越过中线至右侧颈动脉鞘内侧缘,术中分离并保护左 侧喉上神经、副神经、舌下神经、颈内动静脉及甲状旁腺等周围重要神经、血管,最后将肿物连带包膜完整切除,肿物切除术后手术术野(图4)。出血量不足50 ml,肿物直径约10 cm,质软,包膜完整,逐层缝合后,放 置负压引流1根,术后给予抗感染治疗,术后3 d拔引流管,术后6 d电子喉镜检查咽喉部 黏膜无充血,黏膜完整,双侧声带运动良好,拔气管套管,闭合气管切开口。术后病理(图5,图6):咽喉部巨大非典型脂肪瘤性肿瘤。








术后8 d患者治愈出院。
1846年Brodie报道了首例马德龙病病例,1888年Medelung对同类的33例患者总结 分析后命名为马德龙病,1898年Launois与Bensaude再次对65例患者做进一步研究,又命名此病为Launois-Launois综合征[2]。查阅国内外文献,目前报道不足五百例,国内报道较突出的是2014年王菲等[3]的分析研究显示本病多见于男性,好发年龄为45岁左右,其发病机制不明,可能与脂肪组织线粒体功能缺失、细胞色素C氧化酶活动减少以及儿茶酚 胺诱导的脂肪沉积有关,遗传因素、内分泌异常、恶性肿瘤、酗酒等均可导致体内脂肪发生以上改变[4],其中酗酒史诱发该病已被证实[5],但本例患者并无酗酒史,根据性别和脂肪沉积位置,马德龙病分三型,Ⅰ 型多男性,病变集中在颈项部、肩部、上背部、上臂,Ⅱ型 男女比例相当,病变集中在四肢和躯干上部,Ⅲ型为先天性躯干周围组织堆积[6], 本例患 者为马德龙病Ⅰ型。
马德龙Ⅰ型的诊断主要靠症状、体征和CT检查,其特殊体征为全身多处的皮下脂肪弥漫性、对称性的堆积,包块固定,无压痛,颈项部、枕部、腮腺区、刻下、下颌下、上肩部及胸骨、锁骨上窝多见,这些位置组织间隙多,所以早期可能无明显症状,随着脂肪堆积逐 渐增多,出现外观变化或各种压迫症状,如转颈及偏头受限,咽喉腔受压致吞咽、呼吸困难、睡眠打鼾等,压迫臂丛神经致上肢麻木、疼痛、抬肩无力等,根据症状涉及多科室,本患者就诊耳鼻喉科,是因为睡眠打鼾及吞咽阻挡感,颈部CT检查见整个咽旁间隙、咽后间隙见低密度影,贯通双侧颈部,组织内多分割影平均CT值约-96HU,考虑脂肪性病变,查阅文献得知此病的CT表现多为均一的脂肪组织密度影,内见大量条索状密度影,边界较清,临近 正常组织受压变形。
手术治疗是最有效的治疗手段,手术目的以解除局部压迫,改善局部症状为主,因患者 脂肪瘤多体积大,侵袭范围广,手术范围涉及范围大,出血多,脂肪组织易液化,术后感染几率大,所以手术并不强调一次彻底清除病变组织,可分次手术,或行脂肪抽吸术,但颈部 因解剖位置复杂,重要血管神经众多,抽吸手术定位不准确的话有损伤血管神经的危险,还 是建议开放性手术[7],此病例病变集中在咽喉部,表现为咽喉腔受压狭窄致睡眠打鼾、吞 咽阻挡感等不适,若不及时处理,将逐渐出现呼吸及吞咽困难,严重时可危及生命,手术目 的尽可能完整切除病变组织,保护咽喉及颈部重要血管神经。术前插胃管有两点原因:1. 食道已受压变形,术中胃管帮助其辨认。2.防止食道损伤后术后感染。此病变组织贯通双 颈部,上至口咽顶,手术切口选择病变范围较大的左侧颈部,肿物挤压周围筋膜组织形成层假包膜,沿包膜外分离肿物,包膜外切除肿物的优势在于:1.能保证最大限度切除肿物,2.减少瘤体内出血,3.实现颈部单侧切除贯通双颈部肿物,4.保护肿物周围重要组织:颈内动静脉、副神经、舌下神经、喉上神经及甲状腺、甲状旁腺。5.避免了分次手术给患 者身体的损失和经济的压力。术后病理证实为非典型脂肪瘤性肿瘤,截至发稿,患者术后半 年随访,手术部位及身体其他部位均未见复发,仍需要继续随访。
所有作者均声明本研究不存在利益冲突





















