
患者,女性,因"右下后牙疼痛2周"于2021年3月16日就诊我院。患者1月前右下后牙出现胀痛伴咬物痛,2周前症状加重,就诊于当地医院治疗未果建议拔除患牙,患者为求进一步治疗,遂于我院就诊。
一般情况良好,全身未见明显异常。口腔检查:口腔颌面部对称,口腔卫生情况一般,全口牙结石I°,牙龈稍红肿,46
面呈开髓洞型,髓腔暴露,探及远中髓室底穿孔区,面积约为4mm×3mm,穿髓孔区域探痛(+),叩(+),冷热刺激无反应,未探及牙周袋,患牙无松动。
根尖片示:46
面可见低密度缺损影像,远中髓室底区域穿孔,大约4 mm×3mm,并伴有近中根管口的破坏,根尖区可见边界不清的低密度暗影。临床诊断:右下颌第一磨牙慢性根尖周炎伴髓室底穿孔。
右侧下颌第一磨牙行"髓室底修补术+根管治疗术+高嵌体修复治疗"。患者于2021年3月30日完成"46髓室底修补术+根管治疗术"治疗,并于2021年5月20日完成"46高嵌体修复"治疗。
患者术后3个月(2021年8月31日)复诊,检查见46高嵌体完好无破损,边缘密合,无松动,叩诊(-),咬诊(-),无咬合高点,牙龈颜色正常,局部小视野CT示:根尖周组织暗影明显缩小,远中根管穿孔区及近中根管壁穿孔区暗影较上次复诊X线片对比骨密度明显增高,暗影减轻,牙周膜间隙较上次恢复,余未见明显异常。
口腔科;牙体牙髓科;口腔修复科
版权归中华医学会所有。本文为遵循CC-BY-NC-ND协议的开放获取文章。
髓腔穿孔(perforation)是指髓室或根管与牙周组织之间的非生理性通道。引起这种非生理性通道的原因包括病理性和医源性两方面。后者在临床中最为多见,为术者操作不当导致的医源性穿孔(operative perforation)[1]。
髓腔穿孔的危害性极高,是根管治疗失败的主要原因之一。其会导致患牙持续性牙周组织炎症,瘘管经久不愈,甚至伴有长期咬合不适。髓腔穿孔的预后通常与以下三个因素相关,1、穿孔时间(发生穿孔时间至充填穿孔的时间越短,预后效果越好);2、穿孔范围(穿孔范围越小,预后效果越好);3、穿孔位置(穿孔位置靠近根尖区域预后效果越好,而越靠近牙槽嵴骨预后效果越差)[2]。本病例按照预后影响因素分类,属于"大面积近牙槽嵴骨陈旧性髓室底穿孔"。行"髓室底修补术+根管治疗术+高嵌体修复治疗术",术后复诊观察治疗效果良好,现将诊治经过报道如下。
患者,女性,48岁,因右下后牙疼痛2周于2021年3月16日就诊我院。患者1月前右下后牙出现胀痛伴咬物痛,2周前症状加重,于当地医院治疗未果,当地医院建议拔除患牙,患者为求进一步治疗,遂于我院就诊。
患者既往健康,否认高血压、糖尿病病史,否认外伤手术史,父母均健康,无类似病史。口腔检查:口腔颌面部对称,口腔卫生情况一般,全口牙结石I°,牙龈稍红肿,46
面呈开髓洞型,髓腔暴露,探及远中髓室底穿孔区(图1),面积约为4mm×3mm,穿髓孔区域探痛(+),叩(+),冷热刺激无反应,未探及牙周袋,患牙无松动。根尖片示:46
面可见低密度缺损影像,远中髓室底区域穿孔,大约4 mm×3mm,并伴有近中根管口的破坏,根尖区可见边界不清的低密度暗影(图2)。




经口腔专科检查及影像学检查并结合病史,诊断为46慢性根尖周炎伴髓室底穿孔。
术前告知患者病情、治疗方案、相关费用、预后及风险,患牙有治疗失败即拔除的可能性,患者表示知情且自身保牙意愿强烈,遂同意"46髓室底修补术+根管治疗术+高嵌体修复治疗"。
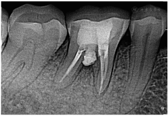
排除禁忌证后于2021年3月16日行"远中髓室底及近中根管口穿髓孔修补术+根管预备"治疗。首诊治疗过程为46上橡皮障,去净龋坏组织,充分暴露髓腔,行1%次氯酸钠溶液冲洗+超声荡洗髓室底穿孔区,直至穿孔区无明显活动性出血。使用根尖定位仪测得MB、ML、DB、DL根管长度均为16mm。使用iRoot-BP+富士Ⅸ玻璃离子分别修补远中髓室底穿孔区(图3a、图3b)及近中根管口穿孔区(图4a、图4b),待修补材料固化后行10#、15#C锉疏通MB、ML、DB、DL根管,17%EDTA凝胶+镍钛锉Protaper Next机扩至X2,试尖合适(图5),40#吸潮纸尖干燥,根管内封氢氧化钙糊剂,ceivitron暂封。(操作视频于附件中)






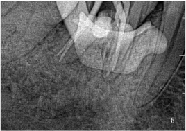
患者于一周后复诊(2021年3月23日),检查:46暂封完好,叩诊(-),无松动,根管内无异味及渗出,余未见明显异常。遂行"46根管充填治疗",46上橡皮障去暂封,去除富士Ⅸ玻璃离子后检查得iRoot-BP材料完善,无松动脱落,无明显缝隙,重新加盖富士Ⅸ玻璃离子,超声荡洗4根管,3%次氯酸钠冲洗,40#吸潮纸尖干燥,iRoot-SP根充糊剂+大锥度牙胶单尖法根充4个根管,X-ray示:46牙根管恰填(图6),富士Ⅸ玻璃离子垫底,松风F00流动树脂充填,调合,抛光。(操作视频于附件中)


患者于"髓室底修补术+根管治疗术"后2个月(2021年3月23日)行高嵌体修复治疗。检查:46
面缺损,缺损区域可见松风F00流动树脂充填材料,叩(-),无松动,根尖片显示:46根管恰填,根尖及牙周膜未见明显异常。遂行"46高嵌体修复治疗",在患者知情同意下,46进行比色,记录为【3M2】。46牙行嵌体牙体预备,精修,抛光,完成牙体预备,拍照。3-shape口扫取模(图7)。完成46嵌体修复的设计、切削和烧结,检查46嵌体是否完全就位,边缘是否密合,有无悬突,邻接关系是否正常,大小、形态以及色泽是否协调,并对其进行调整。氢氟酸处理修复体组织面,冲洗吹干,涂布硅烷处理剂,吹干后涂布粘接剂,37%磷酸酸蚀牙面,冲洗,隔湿干燥,涂布粘接剂,使用3M ESPE RelyX水门汀进行粘接,光固化,去除边缘多余的粘接剂,抛光边缘,完成粘接(图8)。粘接完成后拍摄即刻根尖片,X线片示:46高嵌体邻接良好,边缘密合无间隙。(图9)






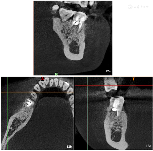
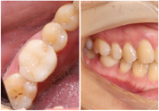
术后3个月复诊(2021年8月31日),患者自述高嵌体修复治疗后患牙未见明显异常,咬合正常,无松动。检查: 46高嵌体完好无破损,边缘密合,无松动,叩诊(-),咬诊(-),无咬合高点,牙龈颜色正常(图10),行局部小视野CT示:根尖周组织暗影明显缩小,远中根管穿孔区及近中根管壁穿孔区暗影较上次复诊X线片对比骨密度明显增高,暗影减轻,牙周膜间隙较上次恢复,余未见明显异常(图11、图12)。继续随访中。






髓腔穿孔的修复为牙体牙髓病治疗中的一个难题。在临床上对于髓腔穿孔应有相应完善、可行的防治措施。但目前这一问题在我国受到的重视不够,临床上缺乏专门的技术培训,使之长期处于修复方法欠规范、修复质量低、失败率高的状态。笔者希冀以本次病例报道为未来临床髓腔穿孔修补提供一种新型的治疗思路。
本病例采用"iRoot-BP+富士Ⅸ玻璃离子"修补髓室底穿孔。参照尹世海相关文献中的屏障技术修复法(internal matrix)修补髓室底穿孔[1]。其又被称为人工底技术(artificial floor techniques),基本概念为选用生物相容性好且能承受一定压力的材料作为屏障材料,将这些材料填入穿孔外的骨吸收区,在平齐根分叉水平或牙根表面形成一道屏障,然后再将修复材料填入穿孔内。屏障的建立为穿孔修补材料提供了良好的操作环境,其有以下优点:1)屏障材料可以支持修补材料的适当加压操作,有利于修补材料填压密实;2)可以有效防止悬突的形成;3)屏障材料可压迫软组织止血及隔绝渗出液,有利于粘接性材料的固化;4)降低了穿孔修复技术支持修补材料的适当加压操作,有利于修补材料填压密实。
本病例并未选用MTA作为修补材料,是因为相关研究发现MTA存在局限性[2],如使用前需将粉剂与蒸馏水混合;难以确保材料的均质性、固化时间长;内含三氧化二铋、铁、镁元素易使牙冠变色等,故选用新型生物陶瓷材料,iRoot-BP。iRoot-BP作为一种生物陶瓷材料,具有极佳的生物相容性和生物活性,引入临床10余年来广受好评,作为髓腔穿孔修复材料也颇受欢迎。iRoot -BP是色泽稳定的白色亲水性修复材料,其有以下优点[3]:1)iRoot-BP内含的氧化钽和氧化锆具有高度X线阻射性,使其能在X线片上辨认,利于治疗过程及术后的追踪观察;2)iRoot-BP具有良好的粘接性,能与髓腔壁紧密粘合,并且受外力作用时不发生移位;3)相关实验研究表明iRoot-BP不受酸性环境影响,随着在培养液中时间的增加,其粘接强度逐步增大[6],其能在髓室底穿孔的炎症酸性环境下发挥有效的作用;4)相关实验表明iRoot-BP与MTA在粪肠球菌渗漏和葡萄糖渗透模型的封闭性能差异无统计学意义,具有良好的封闭性[7]。近年多项研究显示,iRoot BP与MTA相比具有更优越的临床性能[3]。并且相关研究表明iRoot-BP应用于髓室底穿孔修补时封闭性能优于MTA[4,5]。
本病例选用富士Ⅸ玻璃离子作为iRoot-BP屏障上方的修补材料,有以下几点原因[6]:1)本病例为远中髓室底伴有近中根管口区域髓室底穿孔,若使用流动树脂作为iRoot-BP屏障上方的充填材料,近中根管口区域髓室底穿孔修补时易导致根管口阻塞而影响后续治疗步骤;2)富士Ⅸ玻璃离子相较复合树脂充填材料更易去除,便于检查下方iRoot-BP屏障;3)富士Ⅸ玻璃离子操作相对简单,其接触潮湿环境时开始固化,无需相应粘接及光固化等步骤,减少了相关的操作敏感性。
术后3个月复诊,相应影像学检查发现根尖周及其髓室底穿孔修补区域暗影明显减低,穿孔区域骨密度逐渐增高,证明髓室底周缘存在新生的骨组织,治疗效果良好。
综上所述,"iRoot-BP+富士Ⅸ玻璃离子修补髓室底穿孔术"为有效的治疗方法,操作简单、创伤小、出血少、患者痛苦小等优点,可减少诸多并发症的发生且预后效果良好,值得临床推广应用。
所有作者均声明本研究不存在利益冲突





















