
患者,女,64岁,因"骨痛伴反复骨折8年余"入院。"十二指肠球部溃疡"病史30余年,"子宫及双附件切除术后"20年,"胆囊结石"病史14年。患者曾于外院诊断为多发性内分泌腺瘤病2A型,拟行手术治疗嗜铬细胞瘤及甲状旁腺腺瘤,因血压波动大中止。后患者于本院行嗜铬细胞瘤8次131I-MIBG治疗,目前患者掌指关节骨痛明显,伴反复骨折、骨质疏松、甲状腺旁腺激素升高、血钙升高、血磷降低,超声、甲状旁腺显像均提示甲状旁腺腺瘤,为求进一步治疗收入院。
骨痛伴反复骨折8年余,掌指关节明显,晨起为著,右踝关节多次非外伤性骨折。体格检查示颈部见长约2cm斜行陈旧瘢痕,下腹部可见一长约5cm横行陈旧瘢痕,颈部未触及明显肿大淋巴结。
结合临床症状体征、实验室检查(甲状腺旁腺激素、血钙、血磷)及影像学检查(甲状腺超声、甲状旁腺融合成像及131I-MIBG显像等),诊断为MEN相关原发性甲状旁腺功能亢进、甲状腺旁腺腺瘤(1枚)。
超声引导下左侧甲状腺旁腺腺瘤微波消融术。
术后复查甲状旁腺激素、血钙及血磷值已恢复正常水平,超声显示甲状旁腺结节已完全吸收,骨痛已缓解。
超声科;内分泌科;核医学科
版权归中华医学会所有。本文为遵循CC-BY-NC-ND协议的开放获取文章。
多发性内分泌腺瘤病(multiple endocrine neoplasia,MEN)是在患者体内同时或先后出现两个或两个以上的内分泌腺肿瘤或增生的一种临床综合征[1]。20%~35%MEN患者伴有原发性甲状旁腺功能亢进((primary hyperparathyroidism,pHPT) [2]。传统外科手术是pHPT的主要治疗方法,但风险较高[3],而热消融作为一种微创技术扩大了非手术治疗的选择范围[4]。热消融用于治疗pHPT的经验还十分有限[5] ,关于治疗MEN相关pHPT更是鲜有报道。本文报道热消融成功治疗MEN相关pHPT 1例,以观察热消融治疗pHPT的有效性及安全性。
患者,女,64岁,因"骨痛伴反复骨折8年余"入院。患者8年余前无明显诱因出现骨痛,掌指关节明显,晨起为著,伴右踝关节非外伤性骨折。于本院行颈部CT示甲状腺左叶上极背面软组织密度肿块,不除外甲状腺旁腺腺瘤,椎前间隙偏左侧与甲状腺左叶之间恶性肿瘤可能性大;甲状腺旁腺显像示甲状旁腺腺瘤可能性大(位于甲状腺左叶上极位置);腹部CT、MR均提示腹膜后占位性病变。患者遂于北京协和医院就诊,诊断为多发性内分泌腺瘤病2A型,拟行手术治疗嗜铬细胞瘤及甲状旁腺腺瘤,因血压波动大,难以控制,暂停手术。后患者于本院行嗜铬细胞瘤8次大剂量131I-间碘苄胍(131I-MIBG)治疗,腹部病灶控制可,部分病灶较前好转,期间未针对甲状旁腺腺瘤进一步治疗。后患者多次骨密度测定示骨质疏松,右踝多次非外伤性骨折,伴胆囊结石、肾结石,血液检测示甲状旁腺激素(parathyroid hormone,PTH)及血钙水平高。目前患者掌指关节骨痛明显,为求进一步治疗收入院。
患者"十二指肠球部溃疡"病史30余年,"子宫及双附件切除术后"20年,"胆囊结石"病史14年,"糖尿病"病史8年。父亲因"食管癌"去世,母亲、哥哥及姐姐均有"高血压"病史,否认其他遗传倾向性疾病。
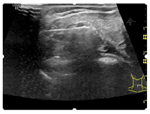
入院后行甲状腺超声示甲状腺左叶上、下极深方甲状旁腺区见2个囊实性结节,大小分别为2.9cm×1.4cm×1.1cm、2.3cm×1.4cm×1.2cm,均形态规则,边界清晰,CDFI:内见较丰富血流信号(图1,图2,图3,图4)。行甲状旁腺融合显像(显像剂:99Tcm-MIBI)示甲状腺左叶上极后上方见结节样显像剂浓聚灶,相应CT层面示椭圆形软组织密度影,边界清,大小约27.6mm×18.2mm×16.0mm。CT另见甲状腺左叶下极后下方一椭圆形软组织密度影,边界较清,大小约25mm×13.7mm×12.5mm,相应ECT层面未见显像剂摄取(图5,图6)。行嗜铬细胞瘤融合成像(显像剂:131I-MIBG)示颈部及腹部可见显像剂摄取病灶(图7,图8)。
















多次实验室检查均显示甲状腺旁腺激素升高、血钙升高、血磷降低(表1)。

微波消融术前PTH、血钙、血磷水平
微波消融术前PTH、血钙、血磷水平
| 项目名称 | 参考范围(pg/ml) | 2013年11月 | 2017年10月 | 2018年5月 | 2019年1月 | 2019年12月 | 2020年8月 |
|---|---|---|---|---|---|---|---|
| PTH | 15~65 | 172 | 193 | 170 | 153 | 128 | 129 |
| 血钙 | 2.11~2.52 | 2.87 | 2.65 | 2.69 | 2.93 | 2.77 | 2.61 |
| 血磷 | 0.85~1.51 | 0.81 | 0.83 | 0.98 | 0.81 | 0.78 | 0.79 |
超声图像中左侧甲状旁腺区2枚囊实性结节形态、回声、位置及血流均相似,结合实验室检查及临床病史,均提示为甲状旁腺腺瘤,但甲状旁腺融合成像仅支持甲状腺左叶上极后方结节为甲状旁腺腺瘤。甲状腺左叶下极后方结节无99Tcm-MIBI显像剂摄取,但有131I-MIBG高摄取,故综合以上考虑甲状腺左叶上极后方结节为甲状旁腺腺瘤,左叶下极后方结节为副神经节瘤。
患者拟行手术治疗嗜铬细胞瘤及甲状旁腺腺瘤2次,均因"术中恶性高血压"中止,目前患者行8次大剂量MIBG治疗,联合药物控制,表现为轻度高血压,仍会出现波动性高血压,手术切除风险较大,故建议行超声引导下左侧甲状腺旁腺腺瘤微波消融术(microwaveablation,MVA)。
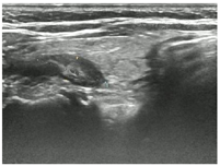
充分告知患者及家属治疗目的、手段及可能出现的并发症后患者签署知情同意书,完成凝血功能化验、心电图、喉镜等数前评估。术前禁食4h,建立静脉通道,术前sonovue超声造影(CEUS)示甲状腺旁腺腺瘤结节与甲状腺实质同步增强,呈不均匀等增强(图9,视频1)。患者呈仰卧位,充分暴露颈部,常规消毒铺巾,消融后1%利多卡因局部麻醉,甲状旁腺结节后缘注射5~10ml生理盐水形成隔离带(视频2、3),以保护周围血管、气管、食管、喉返神经等正常组织。将16G微波消融针置于病变中央,输出功率为30W,消融后气泡样强回声较多时及时更换位置,直至强回声完全覆盖病灶时停止操作,共计1分20秒(图10,视频4、5)。消融后行CEUS评估,评估甲状旁腺病灶内未见造影剂进入(图11,视频6)。消融结束后,消融区域压迫30分钟,并观察2h。术中及术后观察均未发现出血、声音嘶哑等并发症。






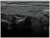
术后复查PTH、血钙及血磷值已恢复至正常水平(表2)。术后3个月复查超声显示甲状旁腺结节缩小至1.6cm×0.7cm×0.6cm,术后6个月复查超声显示甲状旁腺结节已完全吸收(图12,图13)。术后2月患者骨痛已基本缓解。





微波消融术后PTH、血钙、血磷水平
微波消融术后PTH、血钙、血磷水平
| 项目名称 | 参考范围(pg/ml) | 2020年8月 | 2020年10月 | 2020年12月 | 2021年4月 | 2021年7月 |
|---|---|---|---|---|---|---|
| PTH | 15~65 | 33.9 | 50.2 | 38.6 | 39.1 | 36.6 |
| 血钙 | 2.11~2.52 | 2.48 | 2.39 | 2.24 | 2.53 | 2.53 |
| 血磷 | 0.85~1.51 | 1.06 | 1.06 | 1.04 | 1.10 | / |
多发性内分泌腺瘤病(multiple endocrine neoplasia,MEN)是在同一患者体内同时或先后出现两个或两个以上的内分泌腺肿瘤或增生而产生的一种临床综合征,系常染色体显性遗传病,分为1型(MEN1)和2型(MEN2),其中MEN2又可分为MEN2A和MEN2B。MEN1主要临床表现为甲状旁腺腺瘤、胃肠胰肿瘤(以胃泌素瘤和胰岛素瘤常见)和垂体前叶瘤(以泌乳素瘤常见)。MEN2A主要表现为甲状腺髓样癌、嗜铬细胞瘤和甲状旁腺增生,MEN2B为甲状腺髓样癌、黏膜神经纤维瘤和嗜铬细胞瘤[1]。几乎所有的MEN2A患者都会患有甲状腺髓样癌,嗜铬细胞瘤会出现在42%~46%的患者中,甲状旁腺功能亢进存在于20%~35%的患者中[2]。本例患者根据临床症状、影像学检查及实验室检查,可明确其患有嗜铬细胞瘤及甲状腺旁腺腺瘤,但患者并没有明确的甲状腺髓样癌病史,多次超声检查均未发现甲状腺髓样癌特征的超声图像,入院后血清降钙素水平正常(2.17pg/ml),与北京协和医院诊断MEN2A不相符,其具体分型仍需基因进一步检测。
所有原发性甲状旁腺功能亢进患者中只有2%~5%的患者为MEN患者[6]。研究指出MEN患者出现的甲状旁腺病变通常累及多个腺体,通常表现为增生或腺瘤,腺体的增长是不对称及不同步的[7],故甲状旁腺的鉴别和定位至关重要。本例患者于左侧甲状腺旁腺区发现2个病灶,图像特征相似,故首先考虑均为甲状旁腺来源病灶。但甲状旁腺融合呈像时,ECT仅发现上方病灶有异常示踪剂浓集,而下方病灶没有示踪剂浓集,但行131I-MIBG治疗时,却发现下方病灶有大量摄取,故考虑下方病灶为副神经节瘤。
传统的外科手术治疗是PHPT的主要治疗方法,但其手术风险高,伴有多种并发症,如伤口感染、术后出血、喉返神经损伤、持续性甲状旁腺功能低下和低钙血症等[3,8]本例患者曾尝试2次手术切除治疗,均因恶性高血压不得不中止手术,进一步印证传统外科手术具有一定程度的局限性。
热消融作为一种重要的微创技术,其出现扩大了非手术治疗的选择范围。热消融的基本原理是利用热能诱发甲状旁腺细胞凝固坏死,降低血清PTH和血清钙水平。热消融与传统的外科手术相比具有创伤小、并发症少、住院时间短、重复操作性强等优势[4]。MWA属于热消融的范畴,微波通过电极裸露的针尖接触病变的组织,使靶组织在高温下凝固变性,在肿瘤和继发性甲旁亢的治疗中已有应用,但是用于治疗pHPT的经验国内外还十分有限[5] ,关于微波消融治疗MEN相关原发性甲旁亢更是鲜有报道。本例患者通过微波消融治疗后,甲状旁腺激素、血钙及血磷水平均迅速恢复正常,骨痛症状也迅速得到缓解,随访中患者未出现任何不良并发症。因此对于拒绝手术或存在外科手术禁忌的pHPT患者微波消融可作为备选方案,此病例的成功为MVA治疗MEN相关甲状旁腺亢进提供了宝贵经验。
所有作者均声明本研究不存在利益冲突

























