
患者,男,55岁,已婚,2021年9月14日09:50因"头痛、发热2 d,意识模糊1 d"入院。患者常年出差,入院前2 d从外省回来,发病前有在野外河流中游泳史,其余病史无特殊。
患者头痛、发热,全身乏力,失语,困倦。体格检查:体温38.9℃,脉搏112次/min,呼吸35次/min,血压189/103 mmHg(1 mmHg=0.133 kPa)。神志模糊,格拉斯哥昏迷评分10分(E4V1M5),查体不配合,可自主睁眼,混合性失语,双侧瞳孔直径2 mm,光反应迟钝,颈项强直,双肺呼吸音清,未及明显干湿性啰音,心律齐,未及杂音,腹软,无肌紧张。四肢疼痛刺激可见自主活动,四肢肌张力不高,左侧巴宾斯基征可疑阳性,脑膜刺激征(+)。
病原学诊断,宏基因二代测序mNGs,鼻拭子。
入院先后予抗感染,辅以镇痛镇静、亚低温冬眠脑保护、气管插管接呼吸机辅助呼吸等治疗,行脑室外引流术降低颅内压,给予两性霉素B(经脑室引流管脑室内给药)及联合利福平(静滴)治疗。
患者脑死亡出院。
传染科;内科;神经内科;重症医学科
版权归中华医学会所有。本文为遵循CC-BY-NC-ND协议的开放获取文章。
原发性阿米巴脑膜脑炎(primary amoebic meningoencephalitis,PAM)是由自由生存阿米巴引起的一种中枢系统感染,临床表现为头痛、发热、意识障碍,最突出的体征是脑膜刺激征[1]。福氏纳格里阿米巴(Naegleria fowleri)是PAM的主要病原体[2]。PAM发病率低,但进展迅速,死亡率在95%~99%之间[3]。我国自1978年以来,至今仅有8例PAM感染报道[4],且患者全部死亡,江苏地区尚未见报道。本例PAM诊断上经宏基因组二代测序(metagenomics next generation sequencing,mNGS)结合鼻拭子涂片,入院40 h即获得明确诊断,诊断时间较前大幅缩短。治疗方面分别进行了脑室外引流、脑室内给药等多种方式。虽患者最终因病情进展迅速而脑死亡,但仍为今后类似疾病的诊治提供思路。
患者,男性,55岁,已婚,2021年9月14日09:50因"头痛、发热2 d,意识模糊1 d"入院。患者2021年9月12日晚间出现头痛、发热,逐渐加重,伴全身乏力,2021年9月13日下午至乡卫生院补液(头孢呋辛、利巴韦林)治疗。补液结束后患者家属发现患者无法沟通交流,不能理解他人语言及言语,且困倦明显。2021年9月14日凌晨家属发现患者困倦较前加重,遂至我院就诊。患者常年出差,入院前2 d从外省回来,发病前有在野外河流中游泳史,其余病史无特殊。体格检查:体温38.9℃,脉搏112次/min,呼吸35次/min,血压189/103 mmHg(1 mmHg=0.133 kPa)。神志模糊,格拉斯哥昏迷评分(Glasgow coma scale,GCS)10分(E4V1M5),查体不配合,可自主睁眼,混合性失语,双侧瞳孔直径2 mm,光反应迟钝,颈项强直,双肺呼吸音清,未及明显干湿性啰音,心律齐,未及杂音,腹软,无肌紧张。四肢疼痛刺激可见自主活动,四肢肌张力不高,左侧巴宾斯基征可疑阳性,脑膜刺激征(+)。
血常规示白细胞计数为6.60×109/L,中性粒细胞绝对值为5.10×109/L,中性粒细胞占比0.937。尿常规示葡萄糖为(4+),血糖13.1 mmol/L,CRP 167.0 mg/L,降钙素原1.07 μg/L。凝血七项示纤维蛋白(原)降解产物33.9 mg/L,纤维蛋白原5.73 g/L,D-二聚体7.77 mg/L,抗凝血酶Ⅲ百分比为0.739,细胞因子示白介素1β 6.45 ng/L,白介素-6:267.0 ng/L,肿瘤坏死因子α 13.3 ng/L,神经元特异性烯醇化酶64.0 μg/L,余肝肾功能,电解质、血气分析等未见明显异常。
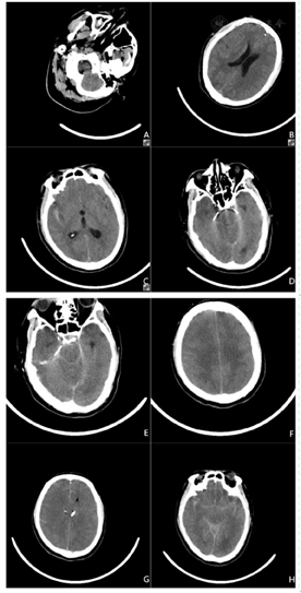
入院后分别行4次头颅CT及1次头颅CTA检查,见图1。


入院后立即进行腰椎穿刺,可见黄色混浊脑脊液流出,呈米汤样,测压力>400 mmH2O(1 cmH2O=0.098 kPa),脑脊液未镜检,脑脊液常规+脑脊液墨汁染色示单个核细胞百分比为0.269,多个核细胞百分比为0.731,潘氏试验为阳性,红细胞计数6×109/L,白细胞计数32.9×109/L,墨汁染色为阴性,脑脊液生化示葡萄糖0.54 mmol/L,蛋白1.84 g/L。
患者病情进展极快,为尽早明确病原体,在与家属沟通后外送脑脊液PCR检测及序列分析。mNGS通过将测序数据与病原体数据库进行比对,能够快速准确获得病原体的信息,并且对已使用抗感染药物治疗后的感染,仍有一定的检测阳性率。但因mNGS的背景菌常与某些菌具有高度相似性,易出现假阳性结果,需注意鉴别。40 h后mNGS检出福氏纳格里阿米巴序列(序列数722 126),覆盖到基因组上的总长度为18 751 074(bp),覆盖度为63.4556%,平均深度为1.93X。见图2。


为进一步确定阿米巴的存在,行鼻拭子检查:显微镜下见阿米巴滋养体,见图3。


患者起病急骤,有野外游泳史,临床表现符合脑膜脑炎,结合脑脊液mNGS及鼻拭子可明确诊断福氏纳格里阿米巴脑膜脑炎。
阿米巴脑膜脑炎临床表现与结核性脑膜炎、细菌性脑膜炎相似,无特异性,早期诊断非常困难。结核性脑膜炎:多为急性或亚急性起病,常伴有头痛,脑膜刺激征阳性,脑脊液检查外观无色透明或微黄,压力增高,可达400 mmH2O,蛋白增高,糖及氯化物下降,白细胞数上升不明显。细菌性脑膜炎:一般起病急,常有头痛,高热,脑脊液颜色异常,常有浑浊,脑脊液压力增高明显,细胞数明显增多,以中性粒细胞为主,脑脊液糖显著下降,蛋白增高明显。阿米巴脑膜脑炎:起病急骤,早期可出现咽痛、鼻塞、流涕等卡他症状和头痛、呕吐以及轻微发热,症状类似上呼吸道感染,最突出的体征是明显的脑膜刺激征,但病情进展更快,一周内即可发展为脑疝甚至死亡。脑脊液中性粒细胞增加,呈细菌感染性脑膜脑炎表现,但革兰染色由于受阿米巴破坏,表现为阴性,这是本病与细菌性脑膜脑炎的不同之处,也是鉴别PAM和细菌性脑膜脑炎的重要区别。另外常见的颅内感染还有病毒性脑炎及新型隐球菌性脑膜炎等。病毒性脑炎:常有发热史,入院查体颈部稍有抵抗,腰穿脑脊液检查提示蛋白及白细胞轻度增高,糖及氯化物正常或轻度下降。新型隐球菌性脑膜炎:一般起病隐袭,进展缓慢,脑脊液常澄清,压力正常或增高,蛋白含量增高通常不超过2.0 g/L,脑脊液墨汁染色检出隐球菌可确诊。各类颅内感染鉴别主要依靠脑脊液病原学检查。
入院先后予头孢曲松、更昔洛韦、美罗培南、万古霉素抗感染,辅以镇痛镇静、亚低温冬眠脑保护、气管插管接呼吸机辅助呼吸等治疗。患者病情进展极快,脑组织肿胀进行性加重,第2天即出现脑疝、尿崩及神经源性休克,请脑外科会诊行脑室外引流降低颅内压,并植入颅内压探头监测颅内压。第3天上午外送脑脊液NGS回报结合鼻拭子涂片找到活动阿米巴滋养体,PAM诊断明确后立即请感染科会诊及查阅相关文献,给予两性霉素B(经脑室引流管脑室内给药)及联合利福平(静脉滴注)治疗。
患者出现恶性颅内高压(70 mmHg左右)、脑疝,自主呼吸消失,PSI持续监测为0,SR 100%,脑功能差,脑室外引流无脑脊液引出,复查TCD提示颅内大动脉血流呈振荡血流改变,家属放弃治疗出院。
福氏纳格里阿米巴是一种自由生活的阿米巴原虫,存在于淡水水体、淤泥、尘土和腐败植物中,偶然可以寄生生活,致病形态为阿米巴型滋养体。当人接触带虫水体的时候,滋养体和包囊可以侵入人体的鼻黏膜,在鼻内增殖后沿嗅神经上行,穿过筛状板进入颅内增殖,引起脑组织损伤,即PAM[5]。福氏纳格里阿米巴特点为湿热,气温高时革兰阴性细菌可刺激其脱去包囊,成为有感染力的滋养体,25℃时开始生长,37~46℃生长旺盛,故该病夏季多发,且患者感染前多有游泳史。本例发生于9月,患者发病前有野外河流游泳史;头颅CT提示右侧上颌窦炎症,考虑福氏纳格里阿米巴直接损伤患者鼻窦黏膜导致炎症,或患者原本存在鼻窦炎,福氏纳格里阿米巴通过破损的黏膜入侵;最终在患者鼻咽拭子中找到活动的阿米巴滋养体,以上均符合该病的流行病学特点。
福氏纳格里阿米巴入脑后即迅速繁殖,沿脑膜呈向心性播散,在大脑皮质、小脑及脑其他部位,特别是基底部,引起表现为急性和暴发性出血性脑膜脑炎[6]。该病潜伏期为5~7 d,有时甚至短至24 h[7]。早期可出现咽痛、鼻塞、流涕等卡他症状和头痛、呕吐以及轻微发热。本例患者一度在外院被误诊为上呼吸道感染。2~3 d后患者体温急剧升高,达39~40℃,头痛加剧,以两侧前额部最为显著,伴有呕吐、运动失调、定向力障碍、复视、行为和性格改变或精神错乱等症状,最突出的体征是明显的脑膜刺激征[1,8,9,10]。当疾病进入晚期则表现为颅内压明显增高、肌张力异常、生理反射减弱或消失,病理征阳性,瞳孔散大[11]。PAM临床表现与结核性脑炎、化脓性脑炎相似,无特异性,但病情进展更快,一周内即可发展为脑疝甚至死亡[2]。本例患者入院第2天即出现脑疝,提示临床医生在遇到类似的病例时需引起高度警惕及重视。
实验室检查方面,患者血常规中性粒细胞明显增多,感染指标CRP、PCT升高均与既往确诊病例类似而不具有特异性[12],不再赘述。需要注意的是,患者既往无糖尿病病史,但血糖、尿糖均高,结合后期出现尿崩,考虑为中枢神经系统受损导致,但具体机制目前仍不明确[12,13]。另外,患者CT表现进行性脑水肿及与侧裂高密度影[14],后经CTA检查排除脑血管相关性疾病,考虑阿米巴引起脑实质出血性炎症导致继发性蛛网膜下腔出血。这情况在陈宝建等[4]的报道中亦有提及。另外,由于福氏纳格里阿米巴可分泌蛋白酶、磷脂酶和穿孔素等,往往导致患者脑脊液中充满大量纤维脓性分泌物[7]。
PAM早期诊断非常重要,但难度很高,唯一可靠确诊依据是查获病原体[12]。由于阿米巴常常通过脑脚间区和小脑区扩散到脉络膜丛从而进入脑脊液,因此可以通过脑脊液确诊[6]。mNGS作为一种同时对各种已知及未知病原体核酸物质快速而广泛覆盖无偏移检测手段[15],因其灵敏度高,高效快速,在新发感染方面具有独特优势。尤其是在中枢神经系统感染时,mNGS取样量小,覆盖面广,适用于中枢神经系统感染检材量少的情况[16]。因此,有专家共识指出,对于急性中枢神经系统感染的患者,在完成常规生物化学检查和培养之后,若仍未获得明确的病原学依据,建议将二代测序作为二线首选检测手段[17]。本例患者通过mNGS检测出大量福氏纳格里阿米巴序列结合鼻拭子涂片找到活动的阿米巴滋养体,入院40 h内即明确诊断,相较既往病例,诊断速度大幅提高。另外脑脊液涂片也是一种快速的检查手段,急性PAM脑脊液内常有活动滋养体,但一般染色法难辨认,需将制成湿片,用位相显微镜检查较易查获[18]。脑脊液勿置冰箱内,也不宜离心沉淀,前者可杀死阿米巴,后者则减低其活动力。如果该患者脑脊液早期行涂片检查,可能会更早发现病原体,从而更早诊断,更早针对性治疗。
治疗方面,患者入院后第一时间给予亚低温脑保护及气管插管等生命支持治疗,并在患者出现脑肿胀后立即进行脑室外引流术,均未能延缓疾病进展,提示针对性药物是该病治疗的关键。福氏纳格里阿米巴感染所致的PAM至今无特效药物。常规的抗阿米巴药物难以透过血脑屏障[19]。目前为止,两性霉素B是唯一有效的药物,存活的患者均使用两性霉素B或联合利福平、氯硝丙唑、氟康唑[20]。美国疾病预防控制中心(CDC)建议常规两性霉素B静脉注射1.5 mg/(kg·d),分2次注射,连续给药3 d,之后按1 mg/(kg·d)连续给药11 d(总共治疗14 d)[21]。同时CDC推荐常规两性霉素B鞘内给药,剂量为1.5 mg/d,连续给药2 d,之后改为1 mg/d,连续给药8 d[21]。国内至今无鞘内给药相关报道。国内专家共识也指出,中枢神经系统感染治疗的难点之一是由于血脑屏障的存在,抗菌药在中枢神经系统内难以达到有效的治疗浓度。脑室内或鞘内给药,药物直接进入脑池及蛛网膜下腔,缓慢向脑表面弥散,能够达到有效的药物治疗浓度,从而提高抗菌药的疗效。当静脉用药效果不明显,而颅内感染非常严重时可以考虑脑室内或鞘内注射抗菌药[22]。本例患者尝试将两性霉素B通过脑室内给药1.5 mg/(kg·d)并联合利福平10 mg/(kg·d)治疗。遗憾的是,治疗过程中患者出现脑疝,最终家属放弃出院。如能更早进行治疗,也许能够改善预后。其他正在研究中的药物包括米替福新、薯蓣皂苷配基、喹唑啉酮及其衍生物等[23],但对于进展极快的PAM,尤其是在资源相对不足的基层医院,目前意义不大。
综上所述,PAM发病率低,病情进展迅速,死亡率极高,尽早诊断、尽早治疗尤为重要;完整和准确的临床病史是诊断的关键,尤其要注意近期淡水接触史和上呼吸道疾病史、鼻炎史等;脑脊液mNGS是快速高效的诊断方法;需进一步探索有效治疗药物,改善给药方式(脑室内给药)值得尝试。
所有作者均声明本研究不存在利益冲突





















