
老年男性,70岁,因"反复咳嗽、咳痰十余年,加重半个月余"入院。患者10余年前反复出现咳嗽、咳痰,伴胸闷、气促,每年发作累计时间3个月以上。2018年开始长期家庭氧疗,每日间断无创辅助通气。半个月余前咳嗽、咳痰加重,气促明显,家人监测指脉氧饱和度波动在80%~90%,中间低至45%。于当地医院ICU住院,行气管插管,呼吸机辅助通气。后转至广州市医院住院治疗,支气管肺泡灌洗液培养提示鲍曼不动杆菌感染,再转至我院。既往有冠心病、糖尿病和高血压病史。
呼吸机辅助通气,氧浓度60%,呼吸促,35次/min,桶状胸,双肺呼吸音减低,双下肺可闻及干、湿啰音。
反复咳嗽、咳痰十余年,加重半个月余;桶装胸,双肺呼吸音减低,双下肺可闻及干、湿罗音;胸部CT可见纤维条索样增生及肺大泡;血气分析提示低氧和高碳酸血症;肺泡灌洗液培养到鲍曼不动杆菌。
先后采用静脉使用头孢哌酮舒巴坦、多黏菌素B、亚胺培南和多粘菌素E雾化等联合治疗。期间病情恶化,采用VV-ECMO支持,并采用肺保护性通气、保守性液体策略。
患者成功脱机拔管,出院2个月后随访患者基本恢复到发病前的状况。
重症医学科;呼吸科;急诊科
版权归中华医学会所有。本文为遵循CC-BY-NC-ND协议的开放获取文章。
慢性阻塞性肺疾病(chronic obstructive pulmonary disease, COPD)是最常见的慢性气道疾病,其特征为持续存在的气流受限和相应的呼吸系统症状,严重影响患者生命质量,是导致死亡的重要原因。根据全球疾病负担调查,COPD是我国第五大死亡原因[1]。COPD患者早期可无明显症状,随着病情进展,可表现为慢性咳嗽、咳痰。在后期则表现为呼吸困难。COPD急性加重(acute exacerbation of COPD, AECOPD)是指COPD患者呼吸道症状急性恶化,需要额外的治疗。AECOPD最常见的病因是上呼吸道和气管、支气管感染。随病情进展,COPD后期可以出现低氧血症和高碳酸血症,COPD的急性加重使患者死亡的常见病因。近年来,静脉静脉-体外膜肺氧合(Veno Venous-Extracorporeal Membrane Oxygenation,VV-ECMO)被广泛用于严重呼吸衰竭的挽救性治疗,它可以改善传统呼吸机支持技术无法纠正的难治性低氧血症和高碳酸血症,为肺部感染的控制和肺功能的康复赢得时间。但VV-ECMO用于严重COPD急性加重仍较少有成功救治的报道。本文报道一例采用VV-ECMO成功救治的严重COPD急性恶化,旨在提高对严重COPD急性加重的救治。
患者老年男性,70岁,体重80 kg,因"反复咳嗽、咳痰十余年,加重半个月余"于2021年7月5日入院。患者10余年前无明显诱因出现咳嗽、咳痰,伴胸闷、气促,活动时加重,休息后缓解。无发热,无咯血,无盗汗。上述症状多于秋冬季节及受凉后反复发作,每年发作累计时间3个月以上,多次住院治疗,诊断为"AECOPD",予抗感染及对症治疗后症状改善。2018年开始长期家庭氧疗,每日间断无创辅助通气。半月前咳嗽、咳痰加重,气促明显,活动明显受限,家人监测指脉氧波动在80%~90%,中间低至45%。6月20日至6月23日于粤北人民医院ICU住院,行气管插管,呼吸机辅助通气。胸部CT提示:双肺弥漫渗出伴细小结节影,以中上叶为著。6月23日至7月5日于广州市胸科医院住院,入院后予哌拉西林抗感染及对症治疗,排除肺结核。6月30日支气管冲液培养提示鲍曼不动杆菌感染,改用头孢哌酮钠他唑巴坦钠抗感染。
既往有高血压病史30余年,血压最高200/110 mmHg(1 mmHg=0.133 kPa),口服硝苯地平治疗,血压控制在140/70 mmHg左右。2017年因冠心病于右冠置入两枚支架。糖尿病十余年,未予规律服药控制,未监测血糖。否认脑梗塞史;否认结核病史;否认其他传染病史;否认手术史;否认过敏史。
入院查体:体温36.8℃,心率105次/min,呼吸35次/min,血压140/70 mmHg。呼吸机辅助通气,呼吸机参数:同步间歇指令通气(synchronized intermittent mandatory ventilation,SIMV)+压力支持(Pressure Support Ventilation, PSV)模式,呼吸频率(frequency,f) 20次/min,潮气量(tidal volume,Vt) 480mL,压力支持(pressure support,PS) 20cmH2O(1 cmH2O=0.0981 kPa),氧浓度60%。桶状胸,双肺呼吸音减低,双下肺可闻及干、湿罗音。心律齐,未闻及杂音。腹膨隆,肠鸣音弱,无压痛、反跳痛。
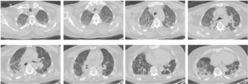
化验结果:动脉血pH 7.331,二氧化碳分压(partial pressure of carbon dioxide,PCO2) 88.5mmHg,氧分压(partial pressure of oxygen,PO2) 66.0mmHg,乳酸0.7mmol/L,血常规白细胞11.37×109/L,高敏C反应蛋白28.2mg/L;降钙素原0.59ng/ml;肝肾功、心脏生化及凝血结果基本正常。胸部CT提示:双肺斑片状及弥漫性毛玻璃样渗出,可见纤维条索样增生及肺大泡(图1)。


慢性阻塞性肺病急性加重:1.1Ⅱ型呼吸衰竭;1.2鲍曼不动杆菌肺炎;2.高血压3级,很高危;3.冠状动脉粥样硬化性心脏病;4. 2型糖尿病。
入科后根据外院支气管肺泡灌洗液细菌培养和基因测序结果给予头孢哌酮钠舒巴坦钠(3 g,静滴,每8 h给药1次)。另外考虑患者慢性肺病,长期使用抗生素治疗,且目前抗感染效果不佳,经验性加用卡泊芬净(50 mg,静滴,1次/d)覆盖真菌感染,并予甲强龙(40 mg,静滴,1次/d)及复方异丙托溴铵和布地奈德雾化吸入。行纤维支气管镜检查,见双肺有中量白黏痰,留取肺泡灌洗液送细菌培养和药敏。7月6日肺泡灌洗液培养结果为白色念珠菌和多重耐药鲍曼不动杆菌,对碳青霉烯类抗生素耐药。7月8日、7月9日肺泡灌洗液培养结果均为多重耐药鲍曼不动杆菌。7月6日根据药敏结果加用多粘菌素B(75 mg,静滴,1次/12h,首剂100 mg)联合抗鲍曼不动杆菌感染。患者肺部症状和体征无改善,动脉血气分析提示二氧化碳潴留无改善,PCO2一直在80 mmHg左右,pH波动在7.30~7.35之间。呼吸机支持调节持续增高。
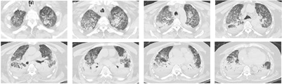
7月9日呼吸机氧浓度100%,PaO2,PaCO2,pH,并出现昏迷,血压下降,少尿。予上VV-ECMO后,并予镇静、镇痛和肌松。采用肺保护性通气策略,间歇正压通气(intermittent positive pressure ventilation,IPPV)模式,Vt 300 ml,呼气末正压通气(positive end-expiratory pressure, PEEP)10mmH2O,设置平台压25 cmH2O,f 16次/min。严格限制液体入量在2000 ml左右,使每日的出入量维持在适度的负平衡。7月14日在ECMO上机的情况下复查胸部CT,见双肺斑片状、条状影较前明显增多,且有弥漫性毛玻璃样渗出(图2)。7月13日~7月16日多次肺泡灌洗液均培养到耐碳青霉烯类鲍曼不动杆菌(carbapenem-resistant Acinetobacter baumannii,CRAB),7月15日将头孢哌酮钠舒巴坦钠更换为亚胺培南西司他丁钠(1g,静滴,每8 h给药1次),停用卡泊芬净,7月20日加用多粘菌素E超声雾化吸入。患者感染指标较前明显下降,ECMO氧浓度也逐渐下降,复查胸部CT显示双肺中下叶较前明显吸收,但双肺上叶渗出较前增加。


8月3日患者撤离ECMO,8月4日行气管切开,并给予肺康复和肢体功能锻炼。8月2日~8月6日肺泡灌洗液培养到粘质沙雷菌和白色念珠菌,期间患者出现发热,体温38.2℃,肺泡灌洗液宏基因组测序也检测到粘质沙雷菌和白色念珠菌。根据药敏结果,将多粘菌素B更换为头孢他啶,并再次加用卡泊芬净。
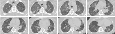
8月12日再次复查胸部CT见双肺渗出较前已基本吸收(图3)。8月18日脱离呼吸机,仅给予低流量氧疗,复查动脉血气:PCO2 51.8 mmHg,PO2 76.0 mmHg。8月20日转呼吸科。


9月5日患者拔除气切套管、封闭气管切开伤口。9月7日拟办理出院当晚出现腹痛,诊断为急性胆囊炎,经过抗感染治疗后好转。9月16日出院。
出院后2个月随访,患者基本上恢复到发病前状况,精神和食欲尚可,需家庭氧疗,晚间间断用无创呼吸机辅助通气。但出现抗生素相关腹泻,每天5~6次稀便,在用益生菌和蒙脱石散进行调理。
严重AECOPD患者由于肺部正常结构严重破坏,肺功能严重下降,再次严重肺部感染的时候往往难以恢复到发病前的状态,故较少有采用VV-ECMO成功救治严重AECOPD患者的报道。本例患者处于COPD晚期,长期居家氧疗,间断需要无创呼吸机辅助通气。此次急性加重并发严重肺部感染,出现严重低氧血症和高碳酸血症,经前期的抗感染、抗炎和呼吸机支持治疗无法改善,病情逐渐加重,进展为传统呼吸机支持治疗无法纠正的顽固性低氧血症和高碳酸血症,甚至出现了危及生命的休克和呼吸性酸中毒。VV-ECMO可以替代患者肺功能,清除二氧化碳和改善氧合,成为一些终末期肺病患者在等待肺移植过程中的桥接治疗手段[2,3]。本例中患者在用VV-ECMO支持后,严重高碳酸血症和低氧血症得到纠正,血流动力学也很快恢复稳定,为肺部感染的控制争取了宝贵的时间。患者肺部感染经历急性的加重,肺部渗出严重,在VV-ECMO支持下经过长达2个多月的治疗,并未留下更加严重的肺部并发症,肺功能也恢复到接近发病前的状态。
鲍曼不动杆菌是目前ICU最重要的耐药菌之一,常见于肺部感染。头孢哌酮钠舒巴坦钠、阿米卡星、左氧氟沙星、米诺环素和碳青霉烯类抗生素常用于治疗不动杆菌的感染,但近年来上述药物的耐药率逐年升高。其中,不动杆菌对碳青霉烯类抗菌药物的感染呈快速上升趋势,2012年对亚胺培南的耐药率已经高达56.8%。多粘菌素B和多粘菌素E是目前仍然对较少出现耐药的抗生素,对不动杆菌的敏感率>90.0%。对于多重耐药鲍曼不动杆菌感染的治疗原则是尽量根据药敏结果选用敏感药物,通常采用舒巴坦、碳青霉烯类抗生素、替加环素与多粘菌素联合治疗[4]。抗菌药物的剂量较大,疗程也较长。由于混合感染比例较高,抗感染治疗的时候通常还需要结合临床覆盖其他感染菌。本例中早期即采用"多粘菌素B+亚胺培南西司他丁钠"的联合抗感染方案,7月20日又加用多粘菌素E雾化治疗,但患者肺部鲍曼不动杆菌感染并未得到完全清除。治疗期间患者肺泡灌洗液细菌培养一直培养到鲍曼不动杆菌,直到8月2日才未培养到鲍曼不动杆菌。这可能与患者过度通气的肺泡使通气血流比值失调,静脉用药在部分过度通气的区域,如肺大泡,无法达到理想的血药浓度相关。在国外的指南中,对于CRAB引起重度肺部感染也多推荐采用多粘菌素静脉和雾化相结合的治疗方式。
另外,保护性的肺通气策略和保守性的液体策略在本例病人的救治中也起着关键作用。肺保护性通气采用小潮气量、低平台压、较高PEEP的通气方法,能够减轻急性呼吸窘迫综合征(acute respiratry distress syndrme, ARDS)患者呼吸机相关性肺损伤,保持肺的开放,被指南推荐用于ARDS的呼吸机支持治疗[5,6]。COPD患者实施机械通气支持可以使呼吸肌得到休息和恢复,同时防止无谓的消耗和减少动态过度充气。患者通常采用低水平呼吸支持,如低分钟通气量,允许足够的呼气时间来避免过度动态充气,PEEP通常设定为3~8 cmH2O。本例中,患者严重感染导致肺部广泛渗出,类似于ARDS的肺部表现,在VV-ECMO支持的情况下采用较高的PEEP和较小的潮气量可以在减轻肺损伤和过度通气的同时避免肺泡塌陷,有利于肺部渗出的吸收和肺复张。本例中患者的治疗还采用了保守的液体策略。在患者的日常治疗中,将每日的液体入量控制在2000mL左右,这样可以避免过多的液体负荷导致肺部渗出增加,也有利于维持适度的液体负平衡,同时也可以避免利尿药物的过度使用损害患者的肾功能。除了在ECMO治疗的第1天使用了20 mg呋塞米来达成液体负平衡外,在整个治疗过程中均未使用利尿剂,但患者基本上能维持每日的液体出入量的平衡。
综上所述,严重COPD急性加重期并非慢性肺病的终末期。对于传统的呼吸机支持治疗无法纠正的顽固性低氧血症和高碳酸血症,采用VV-ECMO支持可以为患者肺部感染的控制和肺功能的康复赢来宝贵时间。规范、及时、有效的综合性治疗可以尽可能地减少感染、纤维化等造成的肺结构和功能的继发损害,使COPD晚期患者在经历严重肺部感染后能恢复到短期的稳定状态。
所有作者均声明本研究不存在利益冲突





















