
在急性白血病治疗过程中系别转化罕见,在与系别转化相关的染色体畸变中,t (4; 11)(q21;q23)与KMT2A/AFF1融合蛋白[原混合谱系白血病(mixed linage leukemia,MLL)基因MLL/AFF1或MLL/ AF4]重排最为常见[1]。研究表明,MLL重排急性淋巴细胞白血病(acute lymphoblastic leukemia,ALL)起源于一个有淋巴细胞分化潜能的前体细胞,从而使系别发生潜在的变化[2]。细胞毒性治疗后患者的系别转化是由选择或基因重组引起的[2]。博纳吐单抗是一种双特异性单克隆抗体,由一种抗CD19抗体和一种抗CD3抗体连接而成,对B细胞CD19和细胞毒性T细胞CD3均具有特异性。在与2个表位同时结合后,正常和肿瘤B细胞被宿主细胞毒性T细胞裂解。有研究报道,6例婴幼儿和4例成人急性B淋巴细胞白血病(B cell acute lymphoblastic leukemia, B-ALL)在CD19靶向治疗[嵌合抗原受体T细胞(chimeric antigen receptor T-cells,CAR-T)和博纳吐单抗]后转化为急性髓系白血病[1, 3,4,5,6,7,8,9]。有研究观察到CD19靶向免疫治疗后复发与获得髓样表型和B淋巴系抗原缺失有关,是一种新的复发机制,不同于以前注意到的孤立CD19表达丢失[3, 10]。可能是ALL患者接受靶向免疫治疗后经过髓系转化而产生的一种耐药和适应。研究发现,持续的CD19 CAR-T细胞免疫压力可以诱导系别转化,作为嵌合抗原受体(chimeric antigen receptor T,CAR)的一种耐药机制,可能发生在CD19 CAR后的患者中,并可在一个同基因小鼠模型中得到再现,证明CAR-T细胞对CD19的免疫压力可以导致白血病早期复发[4]。
在急性白血病治疗过程中系别转化罕见,在与系别转化相关的染色体畸变中,t (4; 11)(q21;q23)与KMT2A/AFF1融合蛋白[原混合谱系白血病(mixed linage leukemia,MLL)基因MLL/AFF1或MLL/ AF4]重排最为常见[1]。研究表明,MLL重排急性淋巴细胞白血病(acute lymphoblastic leukemia,ALL)起源于一个有淋巴细胞分化潜能的前体细胞,从而使系别发生潜在的变化[2]。细胞毒性治疗后患者的系别转化是由选择或基因重组引起的[2]。博纳吐单抗是一种双特异性单克隆抗体,由一种抗CD19抗体和一种抗CD3抗体连接而成,对B细胞CD19和细胞毒性T细胞CD3均具有特异性。在与2个表位同时结合后,正常和肿瘤B细胞被宿主细胞毒性T细胞裂解。有研究报道,6例婴幼儿和4例成人急性B淋巴细胞白血病(B cell acute lymphoblastic leukemia, B-ALL)在CD19靶向治疗[嵌合抗原受体T细胞(chimeric antigen receptor T-cells,CAR-T)和博纳吐单抗]后转化为急性髓系白血病[1, 3,4,5,6,7,8,9]。有研究观察到CD19靶向免疫治疗后复发与获得髓样表型和B淋巴系抗原缺失有关,是一种新的复发机制,不同于以前注意到的孤立CD19表达丢失[3, 10]。可能是ALL患者接受靶向免疫治疗后经过髓系转化而产生的一种耐药和适应。研究发现,持续的CD19 CAR-T细胞免疫压力可以诱导系别转化,作为嵌合抗原受体(chimeric antigen receptor T,CAR)的一种耐药机制,可能发生在CD19 CAR后的患者中,并可在一个同基因小鼠模型中得到再现,证明CAR-T细胞对CD19的免疫压力可以导致白血病早期复发[4]。
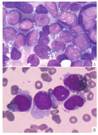
病例1,患者男,30岁。因头痛、发热1周于2019-02-12就诊于北京大学国际医院,既往体健,入院后查体双侧腋窝可及稍大淋巴结。血常规:白细胞248.11×109 L-1,血片中原始细胞为90%;骨髓形态:增生Ⅰ级,原始淋巴细胞:94%。细胞化学染色:过氧化物酶(peroxidase,POX)阴性100%;非特异性酯酶(non-specific esterase,NSE)阴性100%;过碘酸-碱性复红(periodic acid-schiff,PAS):(-)63%,(+)28%,(++)9%;流式细胞术检测(flow cytometry,FCM):异常幼稚B细胞占96.15%,考虑急性B淋巴细胞白血病。基因检测:MLL-AF 446.6%,CSRP2/ABL 412.31%,IKZF1突变阴性,WT1异常高表达97.4%,IgH基因重排阳性。染色体:未见可供分析的中期分裂象。予以CODP方案化疗[环磷酰胺(德国Baxter Oncology Grnb H公司)750 mg/m2,静脉滴入,d1;长春地辛(杭州民生药业有限公司)4 mg,静脉推注,d1,d8,d15,d22;柔红霉素(浙江海正药业股份有限公司)45 mg/m2,静脉滴入,d1,d7,d14;地塞米松(国药集团容生制药有限公司)10 mg静脉滴入,d1~d21,d22~d28逐渐减停],化疗1个周期后完全缓解。FCM:未检测到残留B-ALL细胞。HR1方案[甲氨蝶呤(美国Pfizer pty Limited) 2 g,静脉滴入,d1;长春地辛4 mg,静脉推注,d1;环磷酰胺2 g,静脉滴入,d2~d4;阿糖胞苷(浙江海正药业股份有限公司)2 g,静脉滴入,d5;培门冬酶(江苏恒瑞医药股份有限公司)3 750 IU,肌肉注射,d6;地塞米松20 mg,静脉滴入,d1~d7]巩固化疗1个周期后,复查骨髓形态:增生Ⅰ级,原始、幼稚淋巴细胞为73.2%。FCM: 70.59%为异常表型幼稚B细胞。再以VICLP方案〔长春地辛4 mg,静脉推注,d1;去甲氧柔红霉素(意大利Actavis Italy S. P. A)10 mg/m2,静脉推注,d1;环磷酰胺2 g,静脉滴入,d2~d4;培门冬酶3 750 IU,肌肉注射,d6;地塞米松20 mg,静脉滴入,d1~d7〕化疗1个周期,复查骨髓:增生Ⅰ级,原始、幼稚淋巴细胞:61.2%(图1)。FCM:58.36%为异常表型幼稚B细胞。MLL-AF4融合基因179.9%。予以博纳吐单抗(Amgen Inc)治疗(9 μg,d1~d7;28 μg d8~d28,泵入)。治疗前评估骨髓形态:增生Ⅰ级,原始淋巴细胞81%。FCM: 92.08%的细胞为异常幼稚B淋巴细胞。染色体:46, XY, t (4; 11)(q21;q23)[10]。MLL-AF4基因40.7%,CSRP2/ABL基因212.1%,IgH基因重排阳性。博纳吐单抗治疗第24天血涂片见原幼细胞32%,外周血FCM可见0.12%的异常表型的幼稚B淋巴细胞,另见85.29%的细胞早期髓系细胞,表现为急性混合细胞白血病。博纳吐单抗治疗第28天骨髓中87.76%的细胞为异常表型髓细胞,未见异常表型B细胞,MLL-AF4基因147.3%,表现为急性髓系白血病。遂以4 d EA方案化疗[依托泊苷(江苏恒瑞医药股份有限公司)100 mg,静脉滴入,d1~d4;阿糖胞苷100 mg/m2,静脉滴入,d1~d4],停化疗10 d复查骨髓又出现12.47%的异常B细胞,幼稚髓系细胞占骨髓有核细胞的77.8%,再次表现为急性混合细胞白血病,患者于博纳吐单抗治疗后61 d疾病进展死亡。


注:A.治疗前骨髓形态(吉姆萨染色,×100);B.治疗后第51天骨髓形态(吉姆萨/过氧化物酶染色,×100)
病例2,患者女,62岁,因发热、乏力1个月于2018-08-17入住我院,既往有支气管哮喘及糖尿病史,入院后查体可见皮肤瘀斑,脾大。血常规显示,白细胞374×109 L-1,淋巴细胞257×109 L-1,血红蛋白77 g/L,血小板28×109 L-1,外周血涂片见大量原始细胞。B超示:脾脏厚约4.1 cm,长径约15.1 cm。骨髓形态:增生Ⅱ级,原始淋巴细胞94.5%。细胞化学染色:POX(-)100%;NSE(-)100%;PAS[(-)85%,(+)15%];血片见原始淋巴细胞84%。诊断为ALL。FCM: 93.5%的细胞为异常幼稚B细胞,考虑急性B淋巴细胞白血病。白血病相关基因检测,MLL-AF4 7.7%;IKZF1突变0.01%。IgH重排阳性,WT1 18.2%。染色体:46, XX, t (4; 11)(q21;q23)[13]。予VDP方案(长春地辛4 mg,静脉推注d1,d8,d15,d22;柔红霉素45 mg/m2,静脉滴入d1,d7,d14;地塞米松10 mg,静脉滴入d1~d21,d22~d28,逐渐减停)化疗,化疗1个周期后复查骨穿:增生Ⅱ级,原始细胞55%,POX(-)100%。FCM:异常幼稚B细胞占9.57%,另见一群表型异常的单核细胞占56.98%。再以CODP方案(环磷酰胺750 mg/m2,静脉滴入d1;长春地辛4 mg,静脉推注d1,d8,d15,d22;柔红霉素45 mg/m2,静脉滴入,d1,d7,d14;地塞米松10 mg,静脉滴入d1~d21,d22~d28,逐渐减停)化疗1个周期,复查骨穿:增生Ⅰ级,原始细胞占78%,此类原始细胞胞体偏大,核染色质疏松,核仁可见,胞质灰蓝,量不少;少数细胞可见细小颗粒,核不规则,胞质内有空泡。细胞化学染色:POX(-)100%;NSE:(-)10%,(+)85%,(++)5%;氟化钠(-)80%,(+)20%。FCM:异常幼稚B细胞占1.39%,表型异常单核细胞占87.7%。第3次予以MAE方案[米托蒽醌2 mg(江苏恒瑞医药股份有限公司),静脉滴入,d1~d5;依托泊苷100 mg,静脉滴入,d1~d3;阿糖胞苷100 mg,静脉滴入,d1~d5]化疗,化疗1个周期后复查骨髓形态:增生Ⅰ级,原始细胞83 %。FCM:表型异常单核细胞占66.87%,未检测到残留B-ALL细胞。此时患者腹胀明显,弥散性血管内凝血状态,腹部彩超:脾大(重度),脾下极达脐水平,脾脏厚约4.9 cm,突发口角歪斜、流涎、言语不利,脑出血可能大,疾病进展,患者放弃治疗出院。
病例3,患者女,19岁,因乏力、面色苍白2周于2019-01-27就诊于我院,既往体健。入院后查体显示脾大。血常规:白细胞20×109 L-1,血红蛋白70 g/L,血小板30×109 L-1。腹部B超:脾脏厚约4.5 cm,长径约14.6 cm。骨髓:增生Ⅰ级,原始淋巴细胞63.5%,此类原淋细胞胞体偏小,核染色质细致,核仁可见,胞质量少,色蓝,无颗粒,部分胞质可见空泡。另可见一群原始细胞20%,此类细胞胞体偏大,胞核呈圆形,核染色质细,可见核仁,胞质量少,中等,呈蓝色。细胞化学染色:POX(-)87%,(+)12%,(++)1%;NSE(-)100%;PAS(-)75%,(+)20%,(++)5%。FCM:免疫表型异常幼稚B细胞占42.76%,另有一群细胞占29.4%,免疫表型符合急性未分化型白血病或急性不能分类型白血病。基因检测:MLL-AF4 9.7%,WT1 71.5%。诊断为急性混合细胞白血病。予IA+VP(去甲氧柔红霉素10 mg,静脉推注,d1~d3;阿糖胞苷100 mg,静脉滴入,d1~d7;长春地辛4 mg,静脉推注,d1;地塞米松7 mg,静脉滴入,d1~d7)方案1个周期诱导。复查骨髓:增生Ⅱ级,原血细胞48%,此类细胞胞体偏小,核染色质细致,核仁可见,胞质量少,色蓝,无颗粒,部分胞浆可见空泡。巨核细胞58个,细胞化学染色:POX(-)98%,(+)2%。免疫分型仅见异常B细胞,占骨髓有核细胞的42.61%,未检测到残留AML细胞。予CODP方案(环磷酰胺750 mg/m2,静脉滴入,d1;长春地辛4 mg,静脉推注,d1,d8,d15,d22;柔红霉素45 mg/m2,静脉滴入,d1,d7,d14;地塞米松10 mg,静脉滴入,d1~d21,d22~d28,逐渐减停)1个周期后再诱导。复查骨髓:增生Ⅰ级,原血细胞占84%,此类细胞胞体偏小,核染色质细致,核仁可见,胞质量少,色蓝,无颗粒,部分胞质可见空泡。FCM:异常幼稚B细胞占75.46%,未检测到异常髓系幼稚细胞。基因检测:MLL-AF4 12.7%。第3次予以MTX+Lasp(甲氨蝶呤1 g/m2,静脉滴入,d1;培门冬酶3 750 IU,肌肉注射,d4)再诱导化疗后中断治疗。2个月后复诊,白细胞49.79×109 L-1,单核细胞百分比68.6%,血红蛋白57 g/L,血小板3×109 L-1。B超:肝脏体积增大,肝右叶斜径约15.7 cm,脾脏厚约4.8 cm,长约19.2 cm,肝门区可见多发低回声,大者约2.5 cm×1.9 cm,边界清。考虑肿大淋巴结,疾病进展,患者自动出院。
在急性白血病治疗过程中,罕见系别转化。Elisa等[2]研究回顾分析了18例发生系别转化的患者临床资料,其中10例从B-ALL转化为急性髓系白血病(acute myeloid leukemia,AML),5例从AML转化为ALL, 2例急性T淋巴细胞白血病(T-cell acute lymphoblastic leukemia/lymphoma,T-ALL)转化为AML, 1例由B-ALL转化为T-ALL,最后转化为AML。在与系别转化相关的染色体畸变中,MLL重排的白血病更易于发生系别转化[11],而t (4; 11)(q21;q23)、KMT2A/AFF1融合蛋白(原MLL/AFF1或MLL/AF4)重排最为常见[1]。
人类MLL基因编码近4 000个氨基酸长蛋白,这些氨基酸由内肽酶Taspase1处理。由此产生的2个蛋白质片段被组装成1个高相对分子质量的蛋白质复合物,这个复合物可以读取更多的信息,更重要的是H3K4me3染色质特征,这是标记基因组中活跃的启动子区域。MLL复合体以细胞类型特异性的方式发挥这种表观遗传功能。这些特性对于细胞的维持、发育过程以及最终分化的细胞都至关重要,因为MLL复合物维持着"转录记忆",从而保证了的"组织同一性"[12]。
2017年一项国际多中心研究2 345例MLL融合基因阳性急性白血病结果显示,迄今发现了135种不同的MLL重排,经分子学确证有94种融合伙伴基因。全部2 345例MLL相关急性白血病中,839例MLL与AFF1/AF4融合(35.78%),其中809例为ALL (96.42%),10例为AML(1.19%),20例为其他类型白血病,并观察到一个年龄相关的断点变化,断点定位在MLL内含子11与ALL和年轻患者相关[13]。2018年中国一项多中心回顾性研究结果显示,在2 479例急性淋巴细胞白血病中,有35例(1.41%)检测到KMT2A-AFF1融合基因,全部发生在B-ALL[14]。
有研究通过在人CD34+造血干细胞上表达MLL-小鼠AF4嵌合融合基因,建立了MLL-AF4 pro-B-ALL的模型。表达MLL-AF4的细胞表现出对淋巴系别的强烈偏向和对髓系定向的抵抗。在免疫缺陷、不肥胖的糖尿病/重度联合免疫缺陷症/y (NSG)小鼠中,甚至在髓系刺激条件培养数周后,他们仍保留了促进B-ALL的能力。与之形成鲜明对比的是,表达MLL-AF9融合蛋白CD34+细胞,这样的条件下只能导致AML[15]。Hu等[16]通过研究在正常造血祖细胞中系别转化的动物模型,说明白血病系别转化时转录因子和微病毒信号发挥了作用。
本研究前期分析2015-05-01-2020-10-31我院163例ALL和550例AML患者,急性B/髓混合细胞白血病2例;B-ALL 112例;急性T/髓混合细胞白血病5例;T-ALL 43例(其中早期前体T淋巴细胞白血病4例);T/B双表型白血病1例。有6例伴有t (4;11)(q21;q23)MLL-AF4 (KMT2A/AFF1)表达,初诊时5例表现为急性B淋巴细胞白血病,1例表现为急性混合细胞白血病。其中3例MLL-AF4 (KMT2A/ AFF1)阳性急性白血病患者,治疗后发生系别转化,并追踪到白血病表型发生演变的动态过程。第1例MLL-AF4重排的难治/复发pro-B-ALL病例,在首次化疗后缓解,巩固化疗1个周期后复发,复发时细胞免疫表型与初诊时的白血病表型一致。而在博纳吐单抗治疗后第24天,外周血显示85.29%的幼稚髓系细胞,仅0.12%的幼稚B淋巴细胞,4 d后,即博纳吐单抗后28 d复查骨髓,白血病细胞均显示为异常髓系表型。此时予以针对髓系的EA方案化疗4 d,停化疗10 d时幼稚B淋巴细胞比例上升为为12.47%。而幼稚髓系细胞下降为77.8%。整个免疫表型变化过程中,MLL-AF4基因持续阳性。遗憾的是MLL-AF4的检测未能行磁珠分选。第2例患者是经过细胞毒药物治疗后表型由ALL逐渐完全转化成了AML。第3例患者由诊断时的混合白血病转变成了AML,而MLL-AF4 (KMT2A/AFF1)基因持续表达。
以白血病、系别转化为检索词在PubMed检索2012年至今的文献发现,报告CD19靶向免疫治疗B-ALL后发生系别转化的病例共有10例[1, 6,7,8,9,10,11],本研究病例为第11例。其中3例为CD19 CART后转化,8例为博纳吐单抗后转化,11例中有8例伴有MLL-AF4基因重排。有报告1例19岁男性ALL患者,诊断时骨髓可见96%的原幼淋巴细胞;流式细胞检测显示:HLA-DR+,CD7+弱表达,CD19+,CD38+,MPO-,CD13-,CD15-,CD33-和CD34-;染色体和ALL相关的FISH无异常;化疗后MRD阴性,复发时骨髓表现为急性髓系白血病,出现88%的原始髓系幼稚细胞;流式细胞学:MPO+,CD13+弱表达,CD15+,CD33+,CD38+,CD64+,CD36+,CD19-,CD22-和CD117-,新出现17p13-,患者仍在接受化疗及随访[17]。
博纳吐单抗能够结合表达CD19的B细胞,并募集表达CD3的细胞毒性T细胞,从而将T细胞导向恶性B细胞。T细胞与博纳吐单抗的抗CD3臂结合后被激活,并通过颗粒酶进入靶细胞诱导穿孔素介导的裂解,靶细胞发生凋亡。一部分患者在CD19靶向治疗后复发,治疗后白血病系别转化的机制尚不清楚。假设在诊断时存在来自髓系和淋巴系的克隆,治疗后一个克隆可能被选择性抑制,从而暴露另一个克隆,表现为系别转化,这是一种可能性。然而在一份关于Pre-B-ALL系别转化为AML的报告中,对CAR-T细胞治疗前后单细胞亚克隆的Pre-B细胞标志物进行了表证,这些克隆的分子特征随着治疗的不同而变化,这表明是细胞系别的可塑性介导了急性白血病系别转化,而MLL基因重排可能具有更大的固有可塑性[4]。MLL重排ALL可能起源于一个有淋巴细胞分化潜能的前体细胞,从而使系别发生一个潜在的变化[1,2]。
通过对CD19 CAR压力下产生的髓系转化白血病的基因组分析和基因编辑技术,研究发现,CD19CAR-T细胞对CD19 B细胞的免疫压力既可导致CD19丢失的白血病复发,也可导致具有完全系别转化的内在耐药机制的白血病。当CD19 CAR对B细胞系别施加压力后,系别转化可以通过消减B细胞发育的主调控因子来重新获得,但只有在ALL对CD19靶向免疫治疗产生耐药性机制的情况下才能获得。使具有固有系别可塑性的ALL细胞整体重新分化。动物实验表明,CD19 CAR可以诱导小鼠ALL的髓系转化,与模拟处理或化疗处理的小鼠相比,在注射前B-ALL表型相同的情況下,所有CAR后白血病复发均丧失CD19表达。对CAR后白血病的进一步研究表明,早期复发维持前B表型,并伴有单独的CD19丢失,而后期复发获得多种表型改变,包括丟失额外的B细胞标志物[4]。
结合本研究的系别转化案例及文献复习显示,特殊遗传学异常的造血干祖细胞、转录因子等造血微环境的参与、细胞毒药物或免疫靶向治疗的压力是白血病细胞发生系别转化的可能机制,同时,系别转化可能是白血病细胞逃逸和适应性生存的一种方式,提示预后差。由于白血病细胞重新分化得以逃避单一抗原的压力,那么针对多种抗原的治疗可能是预防这种情况发生的一种策略。比如,针对CD19和CD22 2个靶点同时治疗可能降低B-ALL系别转化、免疫逃逸及提高缓解率。而随着免疫表型发生变化,在化疗方案的选择上也要做出相应的调整,但基于总体预后差,异基因造血干细胞移植是这类患者最佳治疗选择。
Department of Hematology, Peking University International Hospital, Beijing 102206, China
Department of Hematology, Peking University International Hospital, Beijing 102206, China
Department of Hematology, Peking University International Hospital, Beijing 102206, China
Department of Hematology, Peking University International Hospital, Beijing 102206, China
Department of Hematology, Peking University International Hospital, Beijing 102206, China
Department of Hematology, Peking University International Hospital, Beijing 102206, China
Department of Hematology, Peking University International Hospital, Beijing 102206, China





















