
慢性中性粒细胞白血病(chronic neutrophilic leukemia,CNL)是一种罕见的骨髓增殖性肿瘤(myeloproliferative neoplasm,MPN),主要表现为持续的中性粒细胞增多,肝脾肿大,骨髓粒系增生而不伴有明显的发育异常,费城(Ph)染色体阴性,老年人多见。临床上患者多因血常规示白细胞增高就诊。主要症状包括乏力、食欲减退、盗汗、骨痛、紫癜和体质量减轻等。过去CNL的诊断很大程度上依靠排除性诊断,但随着2013年集落刺激因子3受体(colony-stimulating factor 3 receptor, CSF3R)突变的发现,使得CNL的诊断从此进入前瞻性诊断时代[1,2]。因此,在2016年WHO新修订的血液系统肿瘤诊断标准中,将CSF3R突变作为诊断CNL的一条重要标准[3]。
慢性中性粒细胞白血病(chronic neutrophilic leukemia,CNL)是一种罕见的骨髓增殖性肿瘤(myeloproliferative neoplasm,MPN),主要表现为持续的中性粒细胞增多,肝脾肿大,骨髓粒系增生而不伴有明显的发育异常,费城(Ph)染色体阴性,老年人多见。临床上患者多因血常规示白细胞增高就诊。主要症状包括乏力、食欲减退、盗汗、骨痛、紫癜和体质量减轻等。过去CNL的诊断很大程度上依靠排除性诊断,但随着2013年集落刺激因子3受体(colony-stimulating factor 3 receptor, CSF3R)突变的发现,使得CNL的诊断从此进入前瞻性诊断时代[1,2]。因此,在2016年WHO新修订的血液系统肿瘤诊断标准中,将CSF3R突变作为诊断CNL的一条重要标准[3]。
患者男,77岁,因"乏力、纳差2个月,多发骨痛1个月,加重1周"于2017-08-21到铜陵市人民医院就诊。患者入院前2个月无明显诱因下出现乏力、纳差,入院前1个月无明显诱因下出现多发骨痛,未予以重视,入院前1周,上述症状开始逐渐加重,遂来院。患者无腹痛、腹胀、腹泻,无恶心、呕吐,无发热、胸闷、呼吸困难,无鼻、牙龈及皮肤黏膜出血,自入院前2个月患者体质量减轻约7.5 kg。入院时查体:神清,精神萎,贫血貌,全身皮肤黏膜未见瘀点瘀斑,浅表未触及肿大淋巴结,胸骨压痛(+),叩击痛(+),心肺查体未见明显异常,肝肋下未触及,脾肋下约2 cm,生理反射存在,病理反射、脑膜刺激征阴性。门诊查血常规WBC为76.49×109 L-1。肝脾彩超、CT示,肝囊肿,脾大。浅表淋巴结彩超示,双侧颈部、双侧腋窝、双侧锁骨上下及腹股沟未见肿大淋巴结。红细胞沉降率为84 mm/h。铁蛋白为539.60 ng/mL。维生素B12为579.70 pmol/L。乳酸脱氢酶、凝血功能、肝功能、尿素氮及血肌酐正常,尿酸617.3 μmol/L。肿瘤标志物、自身抗体筛查均未见明显异常。血型鉴定ABO血型B型;RH(D)血型为阴性。血常规WBC 75.54×109 L-1,RBC 2.01×1012 L-1,Hb 58 g/L,PLT 33×109 L-1,中性粒细胞(N)69.36×109 L-1。外周血涂片:中幼中性粒细胞1%,晚幼中性粒细胞3%,成熟中性粒细胞89%,淋巴细胞6%,单核细胞1%。骨髓象:粒系增生极度活跃,占91%,其中早幼粒细胞4%,中性粒细胞86.5%(中幼粒细胞20%,晚幼粒细胞26.5%,杆状核33%,分叶核7%),嗜酸粒细胞0.5%;AKP染色:96 %阳性,积分163(图1)。BCR-ABL1(P190、P210、P230)融合基因定量PCR检测阴性。JAK2 V617F、JAK2 12exon、MPL W515以及CALR 9exon基因突变经PCR检测均为阴性。FIP1L1-PDGFRA、TEL-PDGFRB以及TEL-ABL融合基因定量PCR检测阴性。BCR-ABL融合基因非常见型(ela3、e6a2、e8a2、e13a3、e14a3)定量PCR检测均为阴性。染色体核型分析:46,XY[20]。骨髓病理示,骨髓增生活跃,粒系优势增生伴轻度核左移,巨核细胞异型增生,考虑骨髓增殖性肿瘤(图2)。组织化学染色:网织纤维染色(-),铁染色(+)。免疫组织化学染色,CD34 2%阳性,CD117 4%阳性,MPO、Lyso大部分细胞阳性,CD235a少量细胞阳性,CD42b巨核细胞阳性,可见小巨核细胞。骨髓流式细胞术(flow cytometry,FCM)检查:以CD45/SSC设门,粒细胞群占94.47%,各阶段细胞比例大致正常,淋巴细胞群占1.40%,有核红细胞群占2.02%;免疫表型均未见特殊,未见明显增生的幼稚细胞群。ASXL1基因突变检测阴性,CSF3R基因突变检测结果示T618I突变,RUNX1基因突变检测结果示R162K突变。TET2基因突变检测结果示,C1881X突变。综上诊断:CNL。


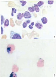
注:A.瑞氏染色×1 000;B.碱性磷酸酶染色×1 000;中性粒细胞发育异常,轻度核左移,可见较多的双核中性粒细胞,部分成熟中性粒细胞可见核分叶过少表现;碱性磷酸酶染色96%阳性,积分163


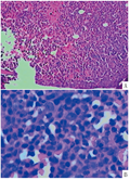
注:A.HE×100;B.HE×400;骨髓中细胞密度显著增高,粒系增生明显活跃伴轻度核左移
鉴于患者白细胞负荷较高,且高龄,一般情况不佳,予以羟基脲、补液扩容、输注悬浮红细胞等治疗,动态复查血常规示,白细胞逐渐降低。2017-09-21复查血常规示血小板<20×109 L-1,暂停羟基脲,并给予白介素-11升血小板治疗,血小板恢复至>30×109 L-1,继续应用羟基脲治疗,病情平稳。于2017-10-12出院。
2017-10-31患者于门诊复查血常规,HGB 54 g/L,遂于2017-11-02第2次入住我院。予以输注悬浮红细胞后贫血改善,于2017-11-04出院。2017-11-24患者于外院复查血常规示,WBC 51.00×109 L-1,HGB 37 g/L,PLT 11×109 L-1,N 36.00×109 L-1,于2017-11-25第3次入住我院。患者皮肤散在瘀点、瘀斑,予以暂停羟基脲治疗,并给予补液扩容、止血、白介素-11升血小板以及输注悬浮红细胞治疗,并申请血小板输注。2017-12-01复查血常规示,WBC 61.12×109 L-1,HGB 61 g/L, PLT 9×109 L-1,N 42.04×109 L-1。2017-12-02患者自动出院。
2017-12-10患者于门诊复查血常规示,WBC 74.77×109 L-1,HGB 52 g/L,PLT 5×109 L-1,N 56.04×109 L-1,皮下出血明显,遂于当日第4次入住我院。入院后予以止血、补液扩容、白介素-11升血小板治疗,并输注悬浮红细胞、申请血小板输注。患者于2017-12-25T7: 20出现昏迷,呼之不应,双侧瞳孔不等大,测血压84/35 mm Hg,经积极升压、补液扩容等处理后,血压无回升,继而出现血氧饱和度进行性下降,患者家属放弃进一步抢救,8: 00患者呼吸、心跳停止,瞳孔散大,光反射消失,血压、脉氧测不出,宣布临床死亡。死亡诊断:(1)脑出血;(2)CNL。患者诊断明确后主要治疗以及外周血常规变化如表1所示。

患者的血常规动态监测结果以及主要治疗过程
患者的血常规动态监测结果以及主要治疗过程
| 日期 | 外周血常规 | 治疗 | |||
|---|---|---|---|---|---|
| 白细胞(×109 L-1) | 中性粒细胞(×109 L-1) | 血红蛋白(g/L) | 血小板(×109 L-1) | ||
| 2017-8-26 | 75.54 | 69.36 | 58 | 33 | 羟基脲、输红细胞 |
| 2017-9-8 | 52.33 | 47.65 | 73 | 37 | 羟基脲 |
| 2017-9-16 | 15.04 | 13.58 | 79 | 28 | 羟基脲 |
| 2017-9-19 | 9.51 | 8.49 | 71 | 22 | 羟基脲 |
| 2017-9-21 | 10.69 | 9.74 | 65 | 16 | 白介素-11 |
| 2017-9-27 | 12.64 | 10.18 | 65 | 36 | 羟基脲 |
| 2017-10-9 | 28.12 | 22.76 | 60 | 33 | 羟基脲 |
| 2017-10-24 | 52.34 | 39.59 | 68 | 57 | 羟基脲 |
| 2017-10-31 | 42.80 | 23.08 | 54 | 40 | 羟基脲、输红细胞 |
| 2017-11-24 | 51.00 | 36.00 | 37 | 11 | 白介素-11、输红细胞及血小板、止血 |
| 2017-12-01 | 61.12 | 42.04 | 61 | 9 | 白介素-11、输血小板、止血 |
| 2017-12-10 | 74.77 | 56.04 | 52 | 5 | 白介素-11、输红细胞及血小板、止血 |
| 2017-12-25 | - | - | - | - | 死亡 |
CNL在血液系统恶性肿瘤中极为罕见。迄今为止,尽管文献报道的CNL病例数>200例,但经证实存在CSF3R突变的仅有57例,所以按照2016年WHO制定的最新诊断标准,真正的CNL病例数远远低于文献报道水平[4,5]。CNL与其他MPN一样,临床过程具有高度的异质性。CNL临床过程表现为慢性期、加速期以及急变期。由于CNL缺乏大宗的流行病学研究,目前该病的发病率尚不清楚,诊断时的中位年龄为66.5岁(15~86岁),男性约占56% ~57%[5]。
目前CNL尚无标准的治疗方案,常用的治疗方法羟基脲、α干扰素、诱导化疗等均能暂时缓解患者症状,但对于改善患者生存意义不大,异基因造血干细胞移植有望改善生存,治愈本病,但移植相关并发症及死亡风险高[4,5]。
CSF3R突变的发现对于理解CNL的发病机制具有里程碑式意义,同时对CNL的诊断以及靶向治疗研究起着至关重要的作用[1, 2, 5]。CSF3R突变符合WHO关于CNL诊断标准的阳性率为100%,其中膜近端突变T618I的阳性率为83%[2]。CSF3R是造血细胞受体超家族成员之一,定位于染色体1p34.3,作为CSF3的受体,具有促进中性粒细胞的增殖存活以及分化成熟等功能,其本身没有内源性酪氨酸激酶活性,但可以通过与配体结合而改变构象,从而刺激多种与其细胞活动范围相关的酪氨酸激酶,包括JAKs、SRC激酶家族以及SYK、TNK等[6]。CSF3R突变在CNL中的发现开启了该病的靶向治疗。诸多研究报道了JAK2抑制剂卢索替尼在CNL患者中的应用,尽管少数学者认为卢索替尼能够客观地改善CNL患者症状,降低肿瘤负荷并缩小脾脏[7]。但大多数研究提示,卢索替尼仅能短暂控制病情[8,9,10]。CNL病情进展快,预后差,缺乏确切有效的治疗方法,最常见的死亡原因为颅内出血、疾病进展、以及化疗或移植相关毒副作用[4, 11]。
据文献报道,在CNL中,SETBP1和ASXL1突变阳性率分别为41%和52%,伴有SETBP1和(或)ASXL1突变患者的生存期短,预后差,而CSF3R突变对患者的预后无影响[2, 4, 6]。一项荟萃分析显示,SET-BP1突变影响骨髓增生异常综合征(myelodysplastic syndrome,MDS)以及慢性粒单核细胞白血病(chronic myelomonocytic leukemia,CMML)患者的预后,但对CNL患者的预后无影响[12]。Szuber等[13]对19例CNL患者研究发现,CSF3R T618I突变患者与其他类型CSF3R突变患者相比,白细胞负荷更高,血红蛋白及血小板更低,且中位生存期显著缩短(17.2个月vs 42.7个月),P=0.03;生存分析提示,血小板计数<160×109 L-1、白细胞计数>60×109 L-1以及ASXL1突变患者的总生存期(overall survival,OS)显著缩短,三者是影响CNL患者OS的独立因素,P<0.05。综上,白细胞负荷、血小板水平以及ASXL1突变对CNL患者的预后起着重要的作用,但CSF3R和SETBP1突变对CNL预后的影响尚有争议,需要进一步的研究证实。
TET2在DNA甲基化中发挥重要的作用,TET2突变在MDS、CMML、MPN及急性髓系白血病(acute myeloid leukemia,AML)等髓系恶性肿瘤中常见;TET2突变对MDS、MPN患者的预后无明显影响,但在AML及CMML中是预后不良因素[14]。在Meggendorfer等[15]报道的14例CNL中,将近30%患者存在TET2突变。RUNX1突变可见于MDS、CMML、AML以及急性淋巴细胞白血病(acute lymphoblastic leukemia,ALL)等血液系统恶性肿瘤,往往提示预后不良[16]。关于RUNX1突变在CNL中的报道极少见。近期Bredeweg等[17]报道的1例CNL患者伴有RUNX1突变。尽管TET2和RUNX1在CNL中的突变均有文献报道,但对患者预后的具体影响尚不明确。
Yamamoto等[18]报道15例CNL病例,发现7例伴有粒系发育异常患者的中位生存期为17.71个月,而8例不伴有粒系发育异常患者的中位生存期为54.62个月,t=2.20 586, 0.05>P>0.02。Wu等[19]报道的1例CNL患者存在粒系发育异常,其生存期<3个月。所以,粒系发育异常可能是影响CNL患者预后的一个重要因素,但有待于进一步研究证实。
本例患者入院时的主要症状表现为乏力、纳差及骨痛,伴有脾大,结合血常规、外周血细胞形态学、骨髓细胞形态学及相关融合基因/基因突变检测结果,符合CNL诊断。鉴于患者高龄,一般情况差,予以羟基脲治疗,同时予以输血支持,病情相对稳定持续3个月,后患者血小板开始进行性下降,白细胞持续增高,考虑原发病可能存在急性变,患者家属放弃复查骨髓,遂予以最佳支持对症治疗,患者病情持续恶化,最终死于脑出血。该患者ASXL1突变阴性,但生存期极短,除了与高龄、白细胞负荷高、血小板低下等因素有关,可能还与TET2和RUNX1基因突变、粒系发育异常相关。但TET2、RUNX1突变、粒系发育异常对CNL患者预后的影响还有待于大样本研究证实。
目前,CNL仍是一种罕见且缺乏有效治疗方法的骨髓增殖性肿瘤,总体预后差。随着CSF3R突变的发现,对CNL的发病机制有了进一步的认识。近些年,其他基因如ASXL1、SETBP1、TET2和RUNX1等突变的发现有望对患者预后判断及靶向治疗研究具有指导意义。基于CSF3R突变对下游JAKs、SRC激酶家族的影响,卢索替尼以及达沙替尼在CNL的靶向治疗中得以应用,其具体疗效尚需多中心、大样本研究证实[19]。随着分子生物学的不断发展以及对CNL的进一步认识,在不久的将来一定会有针对CNL的确切有效的治疗方案。





















