
剥脱性骨软骨炎(OCD)是指软骨下骨坏死,为关节软骨和软骨下骨与其下的骨质分离、松动,形成稳定或不稳定的碎片,是一种局部病变。该病好发于10~50岁,男性多于女性,儿童发病罕见,国外报道其发病率不到万分之一[1]。其主要临床表现为病变关节处疼痛,好发于膝、肘、踝关节,其他关节较少见[2,3,4,5]。笔者将于2017-01诊治的1例儿童髋关节剥脱性骨软骨炎进行回顾并作一文献复习,报道如下。
剥脱性骨软骨炎(OCD)是指软骨下骨坏死,为关节软骨和软骨下骨与其下的骨质分离、松动,形成稳定或不稳定的碎片,是一种局部病变。该病好发于10~50岁,男性多于女性,儿童发病罕见,国外报道其发病率不到万分之一[1]。其主要临床表现为病变关节处疼痛,好发于膝、肘、踝关节,其他关节较少见[2,3,4,5]。笔者将于2017-01诊治的1例儿童髋关节剥脱性骨软骨炎进行回顾并作一文献复习,报道如下。
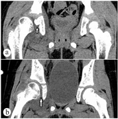
患儿,女,6岁9个月。因步态异常1个月余前来就诊。患儿1个月前摔倒后诉右侧腿痛伴跛行,无发热。查体:患儿跛行,双侧髋关节处未见明显皮肤缺损,右侧股动脉搏动不明显,右侧髋关节外展试验阳性,双下肢基本等长。实验室检查:血沉35 mm/h, C反应蛋白22 mg/L。CT检查示:右侧髋关节脱位,髋臼内形态不规则骨质密度影,血肿机化可疑。初步诊断:右侧感染性髋关节炎。入院后复查:血沉36 mm/h, C反应蛋白24 mg/L,外周血白细胞计数正常,T-spot结果正常,行髋关节穿刺2次,均未抽出液体。查3D-CT显示:右侧髋关节积液伴坐骨支髋臼面骨质异常,考虑感染及右髋关节半脱位。MRI显示:右侧髋关节积液伴周围软组织肿胀,右髋臼诸组成骨骨髓水肿,考虑感染;右髋臼缘下方见小骨片影,髋关节内侧间隙增大。予以抗感染(美洛西林钠舒巴坦钠1.5 g, 8 h 1次,五水头孢唑林钠0.5 g,8 h 1次)治疗1周后,症状无明显减轻,考虑患儿可能为幼年特发性关节炎,行抗CCP、抗"O"与RF、淋巴细胞免疫分析、体液免疫5项(IgA、IgG、IgM、C3、C4)、PCT等相关检查,结果均正常。再次行髋关节穿刺,抽出7 ml淡黄色液体,送检后无阳性结果。复查血沉36 mm/h, C反应蛋白正常。行髋关节穿刺,取黄色浑浊液体2 ml送细胞病理学检查,并查肿瘤4项(AFP、CEA、NSE、CA19-9),结果均正常。患儿经抗感染治疗28 d后,症状无好转,复查血沉28 mm/h。再次复查MRI,结果无明显改变,结合之前影像检查,诊断为:儿童髋关节剥脱性骨软骨炎,予以手术探查。术中发现右侧髋关节囊水肿明显,关节呈半脱位状态,关节内有约15 ml淡黄色清亮液体。髋臼内后方可见约0.5 cm×0.5 cm×0.5 cm大小软骨块突起于髋臼软骨表面,旁边可触及约1.0 cm×1.0 cm软骨面缺损。清除病灶后复位髋关节,术后髋上支架固定6周后脱架。术后病理报告:送检组织内可见增生的纤维组织、骨小梁、骨样组织,少量软骨及肉芽组织,其间见多量扩张的血管,局部伴出血,见慢性炎症浸润。结合影像学及临床表现符合儿童剥脱性骨软骨炎。术后患儿发热2 d,热峰38 ℃,C反应蛋白14 mg/L,血沉91 mm/h,予以对症处理后,均恢复正常,术后1个月患儿疼痛症状消失,复查CT、MRI等均见髋关节呈头臼同心圆结构,软组织肿胀消退(图1、图2)。予以出院,1年后随访患儿髋关节无不适,活动正常。


注:a术前,b术后。


注:a术前,b术后。
剥脱性骨软骨炎是由Ambroise Pare于1558年首次报道,后在1888年由Konig确定其名称。儿童髋关节剥脱性骨软骨炎发病罕见,目前国内仅报道过11例[6,7],国外报道多些[8,9]。本病病因尚不明确,目前较为认可的为创伤学说[10],单次损伤后引起的局部缺血或反复微创伤、软骨膜血运破坏,导致损伤处不能及时恢复,而引起骨软骨的变性、剥脱甚至游离。故本病多有创伤或大量运动的病史。Rehbein等[11]通过对膝关节加压并反复过度伸屈产生类似剥脱性骨软骨炎的损伤,从而为这个学说提供了支持依据。但在无外伤及运动量小的人群中也有发病,故有学者认为本病与内分泌及遗传因素也有一定关系。剥脱性骨软骨炎的早期表现不典型,为非特异性的关节疼痛,活动时加剧。在剥脱性骨软骨炎后期,特别是当关节腔内有游离体形成时,可出现骨擦音、关节活动受限等症状。髋关节处病变可伴有跛行。本病的辅助检查主要是X线片、CT及MRI,也有学者[12,13]提倡采用99 mTC骨扫描。99 mTC骨扫描主要是评估损伤的恢复能力,协助对预后的判断。本例患儿有明显的外伤史,且关节疼痛并伴有跛行,CT显示右侧坐骨支髋臼面毛糙伴局部骨皮质缺损,周围可见散在游离骨密度影。 MRI显示右侧髋臼缘下方见小骨片影,符合剥脱性骨软骨炎的诊断。同时也是大龄患儿的重要诊断指标[13,14,15]。
儿童髋关节处的剥脱性骨软骨炎初期表现为非特异性疼痛,可伴有跛行,且常无法明确的叙述外伤病史,查体也无特异性体征。因此,儿童髋关节剥脱性骨软骨炎较难诊断。诊断时应与感染、幼年特发性关节炎、骨科其他疾病及肿瘤相鉴别,因这几类疾病皆可引起关节疼痛、功能障碍。骨科疾病,如发育性髋关节脱位、骨骺滑脱、应力性骨折等,多有典型的体征及影像学表现,故较易鉴别。肿瘤除典型的影像学表现外,还可通过肿瘤标志物检查、细胞病理学检查来鉴别。但感染、幼年特发性关节炎与剥脱性骨软骨炎的查体、影像学表现相似,易误诊。本例患儿入院时的主要表现为关节疼痛、跛行,且C反应蛋白增高、血沉增快,CT提示髋关节脱位,髋臼内形态不规则骨质密度影,疑似软骨下骨破坏,故诊断为感染性髋关节脱位。但儿童感染性髋关节炎的特征表现为发热(大于38.5 ℃)、关节疼痛、血沉增快(大于40 mm/h)、C反应蛋白增高(大于20 mg/L)及外周血白细胞计数增高、关节穿刺可抽出脓液等[16,17]。本例患儿无发热,血沉小于40 mm/h,复查C反应蛋白正常,穿刺仅抽出少量淡黄色液体,送检后也无阳性结果。给予抗感染治疗后,症状无明显好转,并不符合感染的表现。继而怀疑为幼年特发性关节炎,此病全身症状为每日间歇热、皮疹,病变关节症状为对称性肿胀、疼痛、晨僵等。可见血沉增快(大于40 mm/h)、贫血,多数患儿的类风湿因子(RF)高滴度及抗环瓜氨酸肽抗体(CCP)升高[18,19]。本例患儿无发热、全身无皮疹,仅右侧髋关节疼痛,无晨僵,左侧髋关节无阳性体征,辅助检查示无贫血,抗CCP、抗"O"与RF等检查结果均正常,故而也并不符合幼年特发性关节炎。随后,依据肿瘤标志物检查、细胞病理学检查以及影像学检查,排除肿瘤及骨科其他疾病。为明确诊断复查MRI,并结合之前CT及MRI,发现患髋关节CT显示右侧坐骨支髋臼面毛糙伴局部骨皮质缺损,周围可见散在游离骨密度影。MRI显示右侧髋臼缘下方见小骨片影,符合剥脱性骨软骨炎表现,遂行手术探查,结合术中所见及术后病理,确诊为儿童髋关节剥脱性骨软骨炎。
剥脱性骨软骨炎的治疗方式有非手术治疗和手术治疗2种。治疗方式及预后与病变的部位、范围、程度等有关。在儿童膝关节、肘关节、踝关节损伤的患者中,若X线片上无明显移位的游离体,则首选非手术治疗,包括制动、固定、理疗等[13,20],必要时可使用非甾体抗炎药止痛。膝关节、肘关节非手术治愈率为50%~90%,踝关节为45%~60%[3,13,21,22,23]。若非手术治疗失败或X线片上可见明显移位的游离体,则需手术治疗,包括关节清理术、微骨折术、关节镜下钻孔术、螺钉固定术、软骨细胞移植术等[21,24,25],手术治疗治愈率仅为50%。儿童髋关节剥脱性骨软骨炎的治疗目前尚无统一的标准,可以参照其他关节损伤的处理方法。本病采用髋关节清理术,切除剥脱的软骨块,术后1年随访髋关节功能良好,无疼痛,步态正常。
本病例提示,在诊治有明显髋关节疼痛并伴有功能障碍的患儿时,若其无发热,血沉在20~40 mm/h,C反应蛋白高但外周血白细胞计数正常,影像学检查提示骨质破坏、伴或不伴有关节腔内游离体,应考虑有髋关节剥脱性骨软骨炎的可能。若延误诊治,则稳定的髋关节剥脱碎片可能脱落形成游离体,会加重关节面磨损,最终影响关节的正常发育。增加对本病的认识,接诊时详细的询问病史及查体,仔细阅片是本病诊断的关键。目前儿童髋关节剥脱性骨软骨炎的诊断治疗并没有明确的指南,国内外对于本病的治疗多依赖于经验,缺乏大样本系统研究,这是本病未来需要研究的方向。





















