
患者,青年女性,临床表现为咳嗽、咳痰、胸痛、发热,白细胞计数轻度升高、C反应蛋白升高、D二聚体升高,但病原学检测均阴性,抗感染治疗效果不佳。既往贫血多年。
患者1个月前无明显诱因出现左胸及左背部疼痛,深呼吸及咳嗽时加重。伴发热、咳嗽、咳黄色泡沫痰,伴咯血、呼吸困难,不伴盗汗、乏力、体重下降,不伴皮疹、光过敏、口腔溃疡,不伴脱发、关节痛。
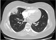
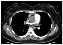
行肺动脉CT提示右肺上叶前段及右肺中叶肺动脉闭塞、右肺动脉干远端及左肺下叶前基底段肺动脉管腔变窄,上述肺动脉供血的肺实质呈现磨玻璃及实变影;正电子发射计算机断层显像示升主动脉管壁环形葡萄糖代谢增高,管壁稍增厚、毛糙。综上,诊断为大动脉炎、肺栓塞不除外。
予足量糖皮质激素、甲氨蝶呤口服及抗凝治疗
病情好转。
呼吸和危重症医学科;风湿免疫科
版权归中华医学会所有。本文为遵循CC-BY-NC-ND协议的开放获取文章。
大动脉炎(Takayasu arteritis,TA)是指主动脉及其主要分支的慢性进行性非特异性炎性疾病。病变多见于主动脉弓及其分支,其次为降主动脉、腹主动脉和肾动脉[1]。主动脉的二级分支也可受累,包括肺动脉。根据病变部位临床可分为4种类型:头臂动脉型、胸-腹主动脉型、广泛型和肺动脉型。本病肺动脉受累者约占50%,单纯肺动脉受累者罕见[1]。我们报道一例大动脉炎的青年女性患者,表现为升主动脉和肺动脉受累,旨在提高认识,减少误诊和漏诊。
患者,女性,19岁,主因"胸痛、咳嗽、咳痰1个月"于2021年7月23日入院。患者1个月前无明显诱因出现左胸及左背部疼痛,深呼吸及咳嗽时加重。伴发热、咳嗽、咳黄色泡沫痰,伴咯血、呼吸困难,不伴盗汗、乏力、体重下降,不伴皮疹、光过敏、口腔溃疡,不伴脱发、关节痛。就诊于外院查心肌损伤标志物阴性,D二聚体1.03 mg/L,动脉血气分析(未吸氧)为pH为7.42、PaO2为95 mmHg(1 mmHg=0.133 kPa)、PaCO2为33 mmHg。胸部CT平扫示右肺中叶片状磨玻璃影。予头孢克洛抗感染,上述症状未缓解,同时出现右侧胸痛。9 d前症状加重,再次就诊于外院。查血常规提示白细胞计数为10.4×109/L,中性粒细胞占比0.578,血红蛋白为94 g/L,血小板计数为482×109个/L;C反应蛋白为100.79 mmol/L;降钙素原阴性;D二聚体1.04 mg/L;呼吸道病原体检测、γ干扰素释放试验、1,3-β葡聚糖试验、半乳甘露聚糖试验、痰培养、痰找抗酸杆菌均阴性;血清铁为2.88 μmol/L,总铁结合力为36 μmol/L,铁蛋白为143.05 mg/dl,叶酸为2.1 ng/ml;抗中性粒细胞胞浆抗体阴性。复查胸部CT平扫示右肺上叶磨玻璃密度灶,右肺中叶胸膜下实性病灶、其内可见支气管气相。予厄他培南联合莫西沙星抗感染及化痰、止血治疗。治疗后患者胸痛、咯血减轻,但仍间断发热、咳痰,2 d前复查C反应蛋白为75.35 mmol/L,为进一步诊治入我院。既往贫血病史多年,未诊治。其邻居饲养鸽子。余既往史、个人史、月经婚育史、家族史无特殊。入院体检:体温36.1℃,脉搏76次/min,呼吸频率18次/min,血压116/56 mmHg(双侧对称)。左侧桡动脉搏动较对侧略弱。右肺中下部呼吸音略低,双肺未闻及干湿啰音。心、腹查体无异常。未闻及血管杂音。
入院查血常规示白细胞计数为10.0×109/L,中性粒细胞比例为59.7%,血红蛋白为93 g/L,血小板计数为479×109/L,平均红细胞体积为71.9 fl,平均红细胞血红蛋白含量23.0 pg,平均红细胞血红蛋白浓度321.0 g/L。尿便常规、肝肾功能、电解质、心肌损伤标志物均正常。超敏C反应蛋白为78.52 mg/L。同型半胱氨酸为10.30 μmol/L。D二聚体为2.32 mg/L。红细胞沉降率为106 mm/h。降钙素原、血尿免疫固定电泳均阴性。直接抗人球蛋白试验弱阳性。抗核抗体阳性(颗粒型1:100),抗ENA谱阴性。免疫球蛋白A 4.5↑ g/L,补体C4 0.376↑ g/L,免疫球蛋白M、免疫球蛋白G和补体C3均正常。类风湿因子、抗环瓜氨酸肽抗体、抗中性粒细胞胞浆抗体、抗肾小球基底膜抗体、狼疮抗凝物、抗心磷脂抗体、抗β2-糖蛋白1抗体均阴性。抗凝血酶活性、蛋白C、蛋白S活性均正常。双下肢深静脉超声未见血栓。超声心动图示左心室射血分数正常,主动脉瓣中度反流,右心室收缩功能正常,肺动脉收缩压正常。肺动脉CT提示右肺上叶前段及右肺中叶肺动脉闭塞,右肺动脉干远端及左肺下叶前基底段肺动脉管腔变窄(图1);右肺中叶远端胸膜下楔形实变灶,尖端指向肺门、周围可见片状磨玻璃影、内可见充气支气管气相(图2);右肺上叶前段胸膜下可见小片状实变灶伴磨玻璃密度;肺实质病变分布位置符合右肺上叶前段、右肺中叶肺动脉供血区域;升主动脉管壁可疑增厚。正电子发射计算机断层显像(positron emission tomography, PET-CT)示升主动脉管壁环形葡萄糖代谢增高,管壁稍增厚、毛糙(图3),考虑大动脉炎可能大。






至此,患者诊断为大动脉炎,升主动脉、肺动脉受累;肺栓塞不除外。2021年7月30日起予醋酸泼尼松片1 mg/(kg·d)口服,甲氨蝶呤每周10 mg口服,低分子肝素60 mg 1次/12h皮下注射。治疗过程中监测患者体温正常、症状缓解,复查超敏C反应蛋白为0.14 mg/L、D二聚体下降至正常,好转出院。院外继续醋酸泼尼松、甲氨蝶呤治疗原发病,利伐沙班抗凝治疗。
本病例旨在提高对TA肺部表现,包括肺动脉受累的认识。患者为青年女性,临床表现为胸痛、咳嗽、咳黄痰、发热,白细胞计数、红细胞沉降率和C反应蛋白升高,胸部影像学可见新发渗出影,被误诊为社区获得性肺炎。但是,应用广谱抗生素足疗程治疗效果不佳。通过D二聚体持续升高、胸部影像学所示胸膜下楔形病灶的特征,进一步行CTPA示多发肺动脉闭塞或狭窄、肺实质病变同病变血管范围一致、升主动脉管壁可疑增厚,进而行PET-CT证实升主动脉管壁环形葡萄糖代谢增高,管壁增厚、毛糙;UCG提示主动脉瓣中度反流。此例患者符合改良的Ishikawa大动脉炎分类标准[2]。此患者的鉴别诊断应考虑到动脉粥样硬化、纤维肌性发育不良及纵隔纤维化。因患者发病年龄早,无高血压、吸烟、糖尿病、血脂异常等动脉粥样硬化的危险因素,可基本除外动脉粥样硬化;同时有慢性贫血病史,血小板计数偏高,红细胞沉降率、C反应蛋白等炎症指标升高,由此可除外纤维肌性发育不良;CTPA未见纵隔及肺门软组织密度影,可除外纵隔纤维化。
TA素有"东方美女病"之称,因其在亚洲、青年、女性中发病率更高。不同地区发病率、性别比例有差异[3]。既往多被认为40岁前发病,但近年来有更晚起病的报道[4]。此疾病累及肺动脉受累并不少见,但因为病变进展缓慢故而临床表现较少。既往有文献报道患者初始表现和肺血栓栓塞症相似,即胸痛、呼吸困难和咯血[5],有的患者仅表现为肺动脉高压,因此容易误诊、漏诊。肺动脉的主干至外周各个区域均可受累,以段和亚段受累更常见;通常不对称受累,以右肺、上叶动脉受累最常见[5]。肺动脉受累最常见的表现是狭窄和闭塞,这些是炎症晚期的表现,还可以出现动脉扩张、原位血栓栓塞[6,7]。
我国一项纳入了216例TA患者的单中心前瞻性研究发现[8],共56例患者出现肺动脉受累,肺动脉主干及其主要分支和肺小血均有受累。统计发现,有肺动脉受累的患者相较于无肺动脉受累的患者胸痛、咳嗽的临床表现更多见,而红细胞沉降率、C反应蛋白水平无差异。有肺动脉受累的患者中50%伴有肺动脉高压,46.43%出现心功能不全。另外,21例患者出现受累肺动脉对应的肺实质区域病变,包括"马赛克"征、肺梗死和支气管扩张。随访过程中,2例患者因心功能不全和肺血栓形成而死亡。在我国另一项纳入了126例TA患者的回顾性队列研究中[9],20例患者有肺动脉受累,其中25%的患者合并肺动脉高压。此项研究发现病程超过5年和肺动脉受累有相关性。
针对TA可选用的影像学检查手段包括彩色多普勒超声检查、血管造影、CT、磁共振成像(Magnetic Resonance Imaging, MRI)和PET-CT。彩色多普勒超声可探查主动脉及其主要分支,尤其是颈动脉和锁骨下动脉,但对远端分支及胸腔内血管探查较困难。血管造影可直接显示受累血管管腔、管径及管壁是否光滑,缺点是无法观察血管壁厚度。CT血管造影在识别血管壁水肿和炎症方面可能劣于MRI[10]。2018年欧洲抗风湿病联盟推荐将MRI作为怀疑TA的首选检查方法[10],其诊断的敏感性达92%、特异性超过90%[11]。但MRI费用较昂贵且不够普及,故可将PET、CT、超声作为替代手段。上述检查手段在评估疾病活动度方面的效力均尚需进一步评价[11]。
综上,此病例报道以TA的肺动脉受累为核心,旨在提高我们对大动脉炎及肺动脉受累的认识,从而做到早期发现、全面评估、早期治疗。因TA伴肺动脉受累常常合并肺动脉高压,后者可能是致命的[12]。糖皮质激素是治疗本病的主要药物,2021年美国风湿病学会推荐糖皮质激素联合免疫抑制剂作为活动期TA的初始治疗,首选的免疫抑制剂是甲氨蝶呤[13]。通过上述治疗,尽量避免血管病变发展至不可逆,包括肺动脉。
所有作者均声明本研究不存在利益冲突





















