
两患儿为同胞兄弟,发育落后,喂养困难,生长迟缓,接种疫苗后病情加重,发现心肌病。
患儿父母健康,为非近亲婚配。哥哥出生时正常,运动发育落后,迁延性腹泻。10个月时注射疫苗,次日起反应差,嗜睡,拒奶,手脚浮肿,呼吸困难,当地医院住院检查发现心脏扩大、心力衰竭,6天后夭折,病因不明。弟弟亦运动发育落后,体重不增。3个月时接种百白破疫苗,24小时后发热,无力。
弟弟血液中性粒细胞显著降低,肌酸激酶及同工酶升高。心脏超声示左心室心肌肥厚。尿有机酸谱符合3-甲基戊烯二酸尿症。家系全外显子基因分析,两兄弟X染色体TAZ基因检出c.221A>C变异,为未报道的错义突变,来源于其母亲,确诊为Barth综合征。
中链脂肪酸、辅酶Q10、左卡尼汀、酒石酸美托洛尔等治疗。
治疗后弟弟心肌病逐渐改善,运动能力改善,智力正常,现在4岁半,正常入托。
心内科;遗传代谢科;消化科;儿童保健科;康复科
版权归中华医学会所有。本文为遵循CC-BY-NC-ND协议的开放获取文章。
Barth综合征(OMIM 302060)是一种罕见的X连锁遗传代谢病,为TAZ基因致病变异导致3-甲基戊烯二酸尿症、线粒体能量代谢障碍,1983年由Barth首次报道[1]。本病通常在婴儿期起病,以心肌病、骨骼肌病变、中性粒细胞减少、发育落后为主要表现,生化异常特征为3-甲基戊烯二酸尿症[2]。Barth综合征是男性胎儿流产、死胎和婴幼儿死亡的原因之一[3]。本文通过对TAZ基因新突变导致的Barth综合征两兄弟的研究,探讨Barth综合征急性代谢危象的诱发因素、临床表现、诊治、遗传咨询及预防。
先证者,男性,5月龄,因"体重不增、生长迟缓2个月"于2017年9月到北京大学第一医院儿科就诊。
病史:患儿为第2胎第2产,足月顺产出生,出生体重2.68 kg。以母乳及配方奶粉混合喂养,初始喂养困难,稀便7~8次/日,3个月后体重不增,5个月初诊时体重仅5.7 kg,改用免乳糖配方奶粉、加米糊后腹泻好转。患儿运动发育落后,2个半月可竖头,可逗笑,可追光、追物,肢体软,睡眠中易惊,无惊厥,5个月时不会翻身,智力正常。3个月时接种百白破疫苗,24小时后发热,肢体无力。
家族史:父母体健,非近亲婚配。先证者的哥哥,第1胎第1产,足月顺产出生,出生体重3kg,母乳及配方奶粉混合喂养,迁延性腹泻,稀便7~8次/日。智力发育正常,运动发育落后,4~5个月时能翻身,10个月时不能独坐,不能爬,生长迟缓,未出牙,体重增加不良。10个月时注射麻疹疫苗,次日起嗜睡,纳差,拒奶,3天后手脚浮肿,6天后患儿哭闹不止,气促,呼吸困难,心跳加快。当地医院超声心动图检查发现扩张型心肌病、心力衰竭,化验发现低血糖,抢救无效死亡,疑诊"心肌病、多脏器功能衰竭",曾进行糖原累积症相关基因筛查未见异常,未检测血液氨基酸、酰基肉碱谱及尿有机酸谱。
体格检查:身长58 cm,体重6.3 kg,头围41 cm,前囟未闭,直径1.0 cm × 1.0 cm,眼神灵活,能竖头,不会翻身,心率130次/分,律齐,心音有力,双肺呼吸音粗,腹部平软,肝脾未触及肿大,颅神经查体未见异常,四肢肌力V级,肌张力偏低,腱反射可对称引出,病理征阴性。
血液中性粒细胞数值显著降低,为0.25×109/L[参考范围(2.3~7.7)×109/L],血清肌酸激酶正常(88 IU/L,参考范围25~195 IU/L) ,肌酸激酶同工酶稍高(7.7 ng/ml,参考范围<5 ng/ml),肌钙蛋白增高(0.34 ng/ml,参考范围0~0.03 ng/ml)。N端脑钠肽前体明显升高(2182 pg/ml,参考范围<450 pg/ml)。
心影增大,心胸比0.58,提示心脏扩大。
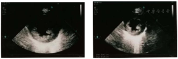
左心室心肌均匀肥厚,左室心尖肌小梁显著增多,左室收缩功能正常范围,左心室射血分数79 %,提示肥厚性心肌病(图1)。


患儿血液游离肉碱降低(10.9µmol/L,正常值20~60µmol/L),氨基酸及酰基肉碱谱未见异常。尿有机酸分析显示3-甲基戊烯二酸升高(7.02 mg/g肌酐,正常参考值0~4.2 mg/g肌酐),符合3-甲基戊烯二酸尿症[4]。
在家属知情同意后,抽取先证者及父母静脉血各3毫升,取先证者的哥哥的冻存血样,提取基因组DNA,进行全外显子测序,先症者及其哥哥染色体Xq28区域检出TAZ变异c.221A>C,引起TAZ蛋白质第74位氨基酸错义突变p.D74A(NM_000116)。运用Sanger技术进行家系验证,TAZ c.221A>C变异来源于患儿母亲(图2),符合X连锁遗传病。此突变为尚未报道的新变异,导致蛋白编码的异常翻译,蛋白结构预测为可能致病性变异。


⑴病毒性心肌炎:可表现为肥厚性或扩张性心肌病,也可出现感染后造血抑制,中性粒细胞降低,但病毒性心肌炎患病前发育正常、中性粒细胞无降低,可通过血液氨基酸及酰基肉碱谱分析、尿有机酸分析、基因检测进行鉴别。
⑵脑瘫:Barth综合征患儿常伴有生长发育落后,全身或局部肌肉无力,部分患儿宫内发育迟缓,体重和身高常低于正常同龄儿童,需通过心脏超声检查、血常规检查、血液氨基酸及酰基肉碱谱分析、尿有机酸分析、基因检测鉴别。
⑶周期性或特发性中性粒细胞减少症:可表现为周期性或持续性中性粒细胞减少,通常无发育落后,需通过心脏超声检查、血常规检查、血液氨基酸及酰基肉碱谱分析、尿有机酸分析、基因检测鉴别。
1.营养支持低乳糖饮食,补充益生菌、中链脂肪酸及维生素A、D等维生素。
2.营养心肌改善心功能,口服辅酶Q10、酒石酸美托洛尔、地高辛和利尿剂等。
3.口服左卡尼汀,促进有机酸排泄。
4.避免疲劳,抗感染等对症治疗,心功能正常、心肌恢复正常后补种计划内疫苗。
治疗后患儿运动能力显著改善,1岁可扶站、扶走,超声心动图检查左室收缩功能基本正常。1岁7个月可独走,易疲劳。2岁3个月会说话,会跑。3岁时入托。现在4岁6个月,精神、食欲良好,体力稍差,智力正常,在幼儿园中班就读,适应能力良好。
父母遗传咨询及再生育指导:患儿父亲及母亲健康,超声心动图正常。第三胎妊娠中期接受产前诊断,羊水细胞TAZ基因未检出c.221A>C变异,胎儿为女婴,足月顺产出生,现在2岁,发育良好。
Barth综合征是一种潜在的致死性遗传代谢病,可导致多系统损害,以心肌病、骨骼肌无力、发育迟缓、生长迟缓、中性粒细胞减少及3-甲基戊烯二酸尿症为主要特征。随着临床识别能力的提高,发现Barth综合征更多复杂的表型。有的患儿稳定期无明显的粒细胞减少及3-甲基戊烯二酸尿症,极少数甚至不伴有心肌病[1,2,3],但是,在感染、疲劳、预防接种等应激状态下出现代谢危象及心肌病,一些患者猝死,为疾病的防治带来了很大挑战。2010年Steward等[3]首次报道了Barth综合征导致的婴儿猝死和胎儿死亡,迄今我国报道Barth患者不足10例[5,6]。
编码Tafazzin蛋白的TAZ基因突变是导致Barth综合征主要遗传缺陷,TAZ基因位于Xq28,无义突变或缺失突变均可造成心磷脂重塑缺陷,导致心肌病。心磷脂位于线粒体内膜,对稳定线粒体呼吸链功能起重要作用[7]。TAZ基因序列在进化中高度保守,共包含11个外显子,目前共发现160多种不同的突变,大部分为错义突变和小的插入或缺失突变[8]。本文两兄弟TAZ均有c.221A>C,为新的错义突变,来源于其母亲,符合X连锁遗传病规律。然而,本病基因型和表现型的关系不明,同一家庭内男性的表现型也有差别。Ronvelia等[9]曾报道一个家系,先证者(51岁男性)和其妹妹的儿子TAZ外显子7存在相同的突变c.583G>T,先证者幼时仅表现为肌无力,45岁时才发现左心室致密化不全,而其妹妹的儿子喂养困难,肌张力降低,伴酸中毒和低血糖,3月龄后体重不增,嗜睡,呼吸困难,心力衰竭,11个月时进行了心脏移植,3岁时随访,超声心动图显示患儿心脏大小和心功能正常,生长发育逐渐进步。
心肌病是Barth综合征最主要的临床表型,多于婴幼儿期发病。常见扩张型心肌病伴左室肌小梁增粗、左心室致密化不全,少数病例表现为心肌肥厚,也有一个家系中同时存在肥厚型和扩张型心肌病[5,6,10]。左心室壁可随年龄发生"重塑",在相对扩张和肥厚之间变迁,一个左心室致密化不全的患者也可演变成"非扩张型"表型[11]。本研究中两同胞兄弟心脏改变有所不同,胞兄心脏扩大,而其弟心肌肥厚。Barth综合征患者可能随时出现室性心律失常和猝死,与心肌病的程度无关[12]。伴有心衰的患者,应用血管紧张素转换酶抑制剂、酒石酸美托洛尔、地高辛和利尿剂药物治疗有效[4],也有一些患者接受了心脏移植,预后较好[8]。
Barth综合征患者早期症状缺乏特异性,如腹泻、心肌病、口腔溃疡、反复感染、生长迟缓,常被认为营养不良、消化不良,延误诊断。本研究中两兄弟喂养困难,发育落后,体重不增,迁延性腹泻,弟弟体力更差,符合Barth综合征特征。由于中性粒细胞降低,免疫力下降,Barth综合征患者易患感染性疾病,约半数患者死于感染,而不是死于心脏合并症[13]。本文哥哥10个月时接种麻疹疫苗后病情加重,6天后死亡,病因不明,经冻存血样基因分析确诊为Barth综合征。其胞弟早期检查,存在严重的中性粒细胞缺乏,伴心肌肥厚及发育落后,符合Barth综合征。大多数Barth综合征患者尿3-甲基戊烯二酸升高,也被称为3-甲基戊烯二酸尿症Ⅱ型[4]。然而,也有一些TAZ突变的Barth综合征患者尿液3-甲基戊烯二酸正常或者呈波动性增高[14],极易漏诊。
Barth综合征临床表现缺乏特异性,易被漏诊、延误诊断,当患儿合并感染伴心肌病时,容易被诊断为病毒性心肌炎,患中性粒细胞减少时常被考虑为病毒感染导致的骨髓造血抑制。病情相对稳定后,又被认为是病毒性心肌炎恢复期[13]。所以,对于心肌病患者应注意Barth综合征,尤其是男性婴幼儿心肌病患者。尿有机酸分析、TAZ基因分析是确诊Barth综合征的关键,多数患者血液游离肉碱降低,羟异戊酰肉碱增高,有助于疾病筛查及诊断,全外显子捕获和高通量测序技术准确性高,速度更快,有助于提高Barth综合征的基因诊断率。
预防接种是儿童保健的重要组成部分,可有效预防多种严重感染性疾病。但是,对于接种疫苗前尚未发病的某些先天缺陷患者,可能诱发发病,甚至猝死[15,16]。Barth综合征患者常有中性粒细胞减少,免疫功能缺陷,在发热、饮食不当、疲劳、药物、饥饿等应激状态下可急性起病[17,18]。对于这类患者应慎用活疫苗,待病情稳定后接种灭活疫苗,接种疫苗后应检测血清抗体水平[19,20]。本文两兄弟均为疫苗接种后起病,其兄病情迅速恶化死亡。其弟接种疫苗后也出现了发热、乏力、肢体软等症状。
Barth综合征是一种潜在的致死性心肌病,大部分患者死于心力衰竭或者严重感染。据报道,70 %的Barth综合征患者在未确诊前死亡,如果能早期诊断并治疗,将使病死率降到10 %[14]。通过积极治疗,部分患者可长期存活,报道最年长的患者已经50多岁[21]。Barth综合征为X连锁遗传病,女性多为表型正常的携带者,TAZ突变男性为患者。对于Barth综合征家族,应给予遗传学指导,母亲再孕时争取产前诊断,通过胎盘绒毛或羊水细胞TAZ基因分析进行胎儿诊断[2,22]。
所有作者均声明本研究不存在利益冲突





















