
患者,女性,43岁,以"右髋部疼痛伴活动受限2周"为主诉入院,患者2周前无明显诱因出现右髋部疼痛,活动时疼痛加重,不伴有下肢放射痛。外院骨盆CT平扫结果示:右侧耻骨下支骨破坏,性质待定。
患者右髋部疼痛,髋关节屈曲、外展、外旋活动时疼痛加重,不伴有下肢放射痛,右下肢直腿抬高试验及加强试验、大腿滚动试验、"4"字试验均阴性。
入院后完善相关检查,髋部CT重建及增强MRI示:右侧耻骨下支病变,考虑恶性肿瘤可能性大,骨转移瘤不除外;CT引导下穿刺活检确诊为骨朗格汉斯细胞组织细胞增生症。
完成根治性骨肿瘤切除,术后未行放化疗等辅助治疗。
患者术后1周右髋部疼痛症状较前明显缓解,活动正常。出院后每3个月定期门诊复查,已随访1年,未见病情复发及进展
骨科;放射科
版权归中华医学会所有。本文为遵循CC-BY-NC-ND协议的开放获取文章。
朗格汉斯细胞组织细胞增生症(Langerhans cell histicytosis,LCH)是一种以未成熟髓系前体细胞克隆性增殖为特征的肿瘤性组织细胞疾病,好发于骨骼,是比较罕见的疾病。LCH的临床表现多样,因病变累及的部位及范围的不同而变化,因此LCH的确诊需要有病理学的支持。目前对于LCH的治疗方法尚无统一标准。对于单灶性骨骼受累的LCH患者采用手术切除,可获得满意效果。2020年9月我科通过手术治疗1例成人单灶性骨LCH,结合相关文献进行复习,了解骨LCH的临床表现、诊断及治疗,提高了对骨LCH的认识,避免误诊和延误治疗。
患者,女性,43岁,2020年9月15日因"右髋部疼痛伴活动受限2周"就诊。患者自2020年9月1日无明显诱因出现右髋部疼痛,髋关节屈曲、外展、外旋活动时疼痛加重,不伴有下肢放射痛。既往史、个人史、家族史无特殊。近期体重无明显变化。否认外伤手术史,否认高血压、糖尿病等慢性病史,否认食物、药物过敏史。
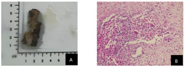
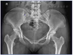
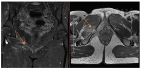
体格检查:体温36.5℃,心率90次/min,呼吸18次/min,血压130/90 mmHg(1 mmHg=0.133 kPa),心肺腹查体未见异常。专科检查:右髋部皮肤完好无破溃,无畸形及肿胀,肌肉无萎缩,骨盆无倾斜,双下肢基本等长;右侧腹股沟中点处压痛(+),叩痛(+),未触及肿块,髋关节周围轻度叩痛,下肢纵向叩击痛(±),右下肢皮温血运良好,足背动脉及胫后动脉搏动可触及;右髋关节屈曲、外展、外旋活动略受限,肌力Ⅳ级,膝关节、踝关节活动正常;右下肢直腿抬高试验及加强试验、大腿滚动试验、"4"字试验均阴性。血液化验结果无异常;骨盆CT重建结果示:右侧耻骨下支溶骨性骨质破坏,轻度膨胀,边缘清晰,未见骨膜反应(图1);髋部增强MRI结果示:右侧耻骨下支病变,考虑恶性肿瘤可能性大,骨转移瘤不除外(图2);全腹部CT、颅脑CT、肺部CT、胸腰椎MRI结果无异常;ECT示:右侧耻骨下支核素浓聚,考虑恶性肿瘤可能性大;胃肠镜结果回报:慢性非萎缩性胃炎。CT引导下病灶穿刺活检病理结果回报:送检物为纤维及骨组织,伴片状坏死,局部区域可见少量组织细胞样细胞、小淋巴细胞及少许嗜酸性粒细胞,结合免疫组化染色及影像学报告,考虑LCH。免疫组化结果:AE1/AE3(−),CD163(+),CD1a(+),Langerin(+),S-100(+),CD30(−)(图3)。






患者病变在右侧耻骨下支,首发症状为骨痛伴有髋关节活动受限。影像学提示右侧耻骨下支溶骨性骨质破坏,轻度膨胀,边缘清晰,未见骨膜反应。病灶穿刺活检可支持单灶性耻骨下支LCH的诊断。
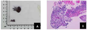
根治性肿瘤切除术。术中见:肿瘤呈淡红色鱼肉状,与周围组织结构分界不清,周围组织水肿,骨膜增厚,骨质破坏明显伴有病理性骨折(图4)。完整切除肿瘤及边缘1 cm正常骨质,切除的肿瘤送术后病理。术后病理结果示:送检物为纤维、骨及横纹肌组织,局部区域可见少量组织细胞小片灶状增生、组织细胞间及周围可见较多淋巴细胞、浆细胞及少许多核巨细胞,部分组织细胞核形不规则,可见核沟,结合免疫组化染色结果及病理切片结果,考虑朗格汉斯细胞组织细胞增生。免疫组化:AE1/AE3(−),CD163(+),S-100(+),CD1a(+),Langerin(+),CyclinD1(+),CD30(−),CD138(−),Kappa(−),Lambda(−),IgG(−),IgG4(−)(图5)。




术后1周患者右髋部疼痛症状较前明显缓解,活动正常。出院后每3个月定期门诊复查,已随访1年,未见病情复发及进展(图6)。


LCH是一种以未成熟髓系前体细胞克隆性增殖为特征的肿瘤性组织细胞疾病,可侵犯多个器官系统[1]。发病率为3/100万~5/100万,男性发病率高于女性[2]。LCH的发病机制、病理生理过程、治疗和预后情况尚不清楚,因此它被认为是一种"Orphan Disease"[3]。2010年以前,关于LCH病原体的争论一直围绕着LCH是肿瘤性还是免疫反应性?在前者假设中,LCH被认为是一种由于遗传缺陷,内在异常细胞的克隆性增殖引起的肿瘤。在后者假设中,LCH被认为是一种免疫疾病,即"正常"细胞对环境刺激的反应而增殖和积累。然而,这两种假设都没有确凿的论据[4]。2016年,通过对儿童LCH患者的研究,发现54%的患者携带致癌性体细胞BRAFV600E突变,这一发现为LCH的肿瘤性提供了有力的论据,并将LCH定义为炎性髓系瘤[5]。
LCH可影响单个或多个器官,78%的患者可以累及一个或多个部位的骨骼,通常以溶骨性病变的形式出现,并伴有骨密度下降,最常见的部位是颅骨(49%)、骨盆(23%)、股骨(17%)和肋骨(8%),其他常见的部位包括皮肤、肺部和淋巴结等[6]。LCH的临床表现各异,主要与其受累部位有关,表现分为3型:(1)单系统、单病灶(嗜酸性肉芽肿);(2)单系统、多病灶(Hand-Schuller-Christian病);(3)多系统、多病灶(Letterer-Siwe病)。三种病变的病理改变基本相同,在临床表象中相互交叉重叠,属于同一种病变在不同的时期的不同表现,没有明显的界定。骨骼受累中最常见的是单灶性骨损害,由组织细胞和嗜酸性粒细胞的增殖和聚集引起,这种异常聚集的朗格汉斯细胞通常会引起局部疼痛和邻近软组织肿胀或肿块[7]。
LCH的确诊需要病理和免疫组化的支持,免疫组化可有特征性CD1a、S-100蛋白、CD207阳性。CD1a、S-100蛋白和朗格汉斯细胞特异性凝集素Langerin(CD207)都是免疫组化的可选标志,凝集素表达于朗格汉斯细胞的特异性更高。对于有骨骼受累的成年LCH患者,要与骨转移癌及多发性骨髓瘤进行鉴别。男性患者骨转移癌常继发肺癌、前列腺癌,女性患者骨转移癌常继发于乳腺癌和卵巢癌。多发性骨髓瘤主要侵犯脊髓,常以多发骨破坏为特点,病程中可有贫血及肾功能不全表现,且尿本周蛋白阳性。
LCH的治疗方法包括手术治疗、放疗、化疗以及几种方法的联合治疗。成人LCH的治疗尚无统一标准,虽然并不是所有病例都是致命的,但延误诊断或治疗可能会导致器官功能严重受损。应该注意的是,LCH被归类为髓系肿瘤,需要有准确的诊断和适当的治疗[8]。单一系统疾病最常用长春花碱和强的松联合治疗。大剂量核苷类似物的抢救治疗可能有效,但是有很高的毒性[9]。在最近的一项研究中,双膦酸盐通过抑制破骨细胞活性并减少骨吸收,已被成功地用作治疗和预防各种肿瘤骨转移患者的治疗策略,同时能够显著改善骨痛,没有明显的不良反应[10,11]。抗骨质吸收药物如地舒单抗在LCH累及骨骼的治疗中也有作用,但是需要进一步的临床研究[3]。对于单灶性骨骼受累患者的治疗,主要取决于病灶的大小和部位,对于<5 cm的病灶,刮除即可明确诊断和治疗,然而,完全手术切除并不总是被推荐,因其有时会增加愈合时间和留下难以修复的骨缺损[12]。全身化疗适用于多系统疾病或单系统疾病合并多个病变或累及特殊器官(中枢神经系统、肝、脾、骨髓)等情况[13]。
本例为成人单灶性耻骨下支LCH,以骨痛伴有髋关节活动受限为首发症状,通过完善检查,特别是病灶穿刺活检来明确诊断,因本例肿瘤大小<5 cm,单纯通过手术切除,取得满意治疗效果,术后随访1年未见肿瘤复发。本病例报道提示临床骨科医生,对于骨骼溶骨性病变伴有骨密度下降,囊状骨质破坏等征象,应该考虑到LCH的可能,建议对所有病例进行穿刺活检来明确诊断,特别是排除鉴别诊断,以提高对这种"Orphan Disease"的认识,避免误诊和延误治疗。
所有作者均声明本研究不存在利益冲突





















