
患者,男性,49岁,发现血压升高1年,监测血压波动在140~170/?mmHg(1 mmHg=0.133 kPa),偶伴四肢麻木,自服"北京降压0号片"降压治疗,因血压控制欠佳入院。
血压(左)170/92 mmHg、血压(右)182/96mmHg。其余生命体征平稳。心、肺、腹查体无特殊。
患者无高血压病家族史,高血压合并低钾血症,结合RASS系统相关检查、肾上腺CT、双侧肾上腺静脉采血。
最初使用"硝苯地平缓释片"联合"特拉唑嗪胶囊"降压治疗,确诊后行"左侧肾上腺肿瘤切除术" 。
术后患者四肢麻木缓解,术后3个月门诊随访,口服"苯磺酸氨氯地平片(5 mg qd)"降压治疗,血压达标。
心血管内科;内分泌科;泌尿外科
版权归中华医学会所有。本文为遵循CC-BY-NC-ND协议的开放获取文章。
高血压病是心血管内科的常见病、多发病,发病率呈逐年上升的趋势,发病人群逐渐年轻化[1]。根据发病机制,高血压病分为原发性高血压和继发性高血压。鉴于继发性高血压与原发性高血压相比,其心、脑、肾靶器官损害相关风险明显升高[2,3],且部分继发性高血压可通过手术或介入方法治愈,故筛查继发性高血压至关重要。原发性醛固酮增多症(primary aldosteronism,PA)是最常见的一种继发性高血压,是由于肾上腺皮质分泌过多醛固酮,导致水钠潴留、血容量增加、肾素-血管紧张素-醛固酮系统(RAAS)受抑制,从而导致高血压和低血钾[4]。据国外报道,在1、2、3级高血压患者中,PA患病率分别为1.99%、8.02%、13.2%[5],在难治性高血压患者中,其患病率可达17%~23%[6]。一项关于亚洲高血压人群的研究,其患病率约5%[7]。国内部分研究报道该病在高血压患者中的发病率为7.1%[8]。随着医务人员意识的加强、筛查诊治流程的规范及诊断技术的提高,PA的确诊不再是难题、更不再被认为是一种罕见病。但对于基层医务人员而言,PA等继发性高血压的诊治并不容易,需心血管内科、内分泌科以及泌尿外科等多学科的综合诊治。现报道我院多学科诊治1例继发性高血压,以期增强基层医务人员诊治继发性高血压的信心,旨在提高本病的意识,避免漏诊、误诊。
患者,男性,49岁,因"发现血压升高1年"于2021年5月22日以"高血压病"收入我院心血管内科住院治疗。
入院1年前,患者体检发现血压升高,血压波动在140~170/?mmHg(1 mmHg=0.133 kPa),偶伴四肢麻木,但程度不重,无其他相关伴随症状。曾就诊于当地卫生室,予以"北京降压0号片"口服降压治疗,未规律监测血压变化。入院1 d前,患者再次于村卫生室测血压,发现血压控制欠佳,波动在170~185/?mmHg。为求诊治,于2021年5月21日就诊于我院心血管内科门诊,测得血压为184/100 mmHg,完善电解质提示:K 2.03 mmol/L。门诊以"高血压病、低钾血症"收入我院心血管内科治疗。
入院体格检查:体温36.3℃,心率78次/min,呼吸20次/min,血压(左)170/92 mmHg、血压(右)182/96 mmHg。神志清楚,精神尚可。颜面部无浮肿,口唇无紫绀。颈静脉无充盈,肝颈静脉回流征(-)。双肺呼吸音清晰,未闻及明显干湿啰音。心界无扩大,心率78次/分,心律齐,各瓣膜听诊区未闻及杂音。腹软,无压痛、反跳痛及肌紧张。双下肢无水肿。神经系统查体(-)。
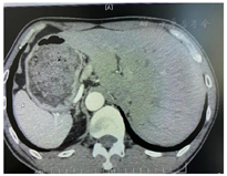
相关检查:血常规、肝肾功、血脂、血糖、尿蛋白及微量白蛋白、胸片、皮质醇节律、血浆甲氧基肾上腺素类物质未见异常。电解质:K 2.03mmol/L。心电图:窦性心律;ST-T改变(图1)。心脏彩超:左房稍增大(前后径35 mm)(图2)。动态血压监测:白天平均血压134/88 mmHg,夜间平均血压134/83 mmHg,全天平均血压134/86 mmHg。高血压五项(立位):血管紧张素活性1.99 uIU/ml/h,醛固酮539.00 pg/ml,血管紧张素Ⅱ 11.40 pg/ml,皮质醇326.00ng/ml,促肾上腺皮质激素36.30 pg/ml。高血压五项(卧位):血管紧张素活性<0.5 uIU/ml/h,醛固酮634.00 pg/ml,血管紧张素Ⅱ<5 pg/ml,皮质醇233.00 ng/ml,促肾上腺皮质激素37.10 pg/ml。肾上腺CT(增强):左侧肾上腺体部小结节,考虑小腺瘤,请结合临床及其他检查(图3)。双侧肾上腺静脉采血:左侧肾上腺静脉两次采血结果分别为:①醛固酮40 150 pg/ml,皮质醇3 750ng/ml,醛固酮/皮质醇10.7;②醛固酮14 950 pg/ml,皮质醇2 010 ng/ml,醛固酮/皮质醇7.43;右侧肾上腺静脉两次采血结果分别为:①醛固酮676 pg/ml,皮质醇530 ng/ml,醛固酮/皮质醇1.27;②醛固酮629 pg/ml,皮质醇377 ng/ml,醛固酮/皮质醇1.66。下腔静脉采血:醛固酮1 265 pg/ml,皮质醇279 ng/ml。左侧肾上腺肿物活检:(左肾上腺肿瘤)肾上腺皮质腺瘤。免疫组化202102799-1:a-inhibin(+),Melan-A(+),CK(+),Syn(+),CEA(-),CgA(-),EMA(-),RCC(-),S-100(-),Ki-67(+)10%。






诊断及诊断依据:计算肾上腺静脉/下腔静脉(SI)≥2:1,表示插管成功;(2)优势侧醛固酮皮质醇比值与非优势侧醛固酮皮质醇比值之比(LI)≥2:1,提示有优势分泌;非优势侧醛固酮皮质醇比值与下腔静脉醛固酮皮质醇比值之比(CI)<1:1,提示对侧被抑制。结合患者肾上腺增强CT提示∶ 左侧肾上腺体部小结节。故诊断左侧醛固酮腺瘤。
鉴别诊断:①肾脏实质性高血压:诊断依赖于: 肾脏病史;蛋白尿、血尿;肾功能异常;eGFR降低;肾脏大小、形态异常;必要时行肾脏病理活检。需与高血压引起的肾脏损害相鉴别,前者肾脏病变的发生常先于高血压或与其同时出现;血压较高且难以控制;蛋白尿/血尿发生早、程度重、肾脏功能受损明显[9]。
②肾动脉狭窄及其他血管病引起的高血压:肾血管性高血压是指单侧或双侧肾动脉入口、主干或主要分支狭窄或完全闭塞引起肾实质缺血所产生的继发性高血压。经动脉血管造影是诊断肾动脉狭窄的金标准。主动脉狭窄主要表现上肢高血压,而下肢脉弱或无脉,双下肢血压明显低于上肢(ABI<0. 9),听诊狭窄血管周围有明显血管杂音。主动脉CTA可鉴别[9]。
③阻塞性睡眠呼吸暂停综合征:该类患者中高血压的发病率约35%~80%[10]。患者有夜间打鼾、白天嗜睡等表现。多导睡眠呼吸监测是诊断OSAS的"金标准" 。
①患者因"发现血压升高1年"于2021年5月22日于我院心血管内科住院治疗,结合患者中年男性、高血压伴低钾血症,入院后ARR>30,考虑PA。②2020年5月27日转入我院内分泌科治疗,结合高血压五项结果: "醛固酮>20 ng/dl、DRC<2.5 mU/L、高血压伴低钾血症" ,该患者无需进行确诊试验即可确诊为PA,完善肾上腺CT增强提示: "左侧肾上腺体部小结节,考虑小腺瘤" ,故确诊左侧醛固酮瘤,且患方有手术意愿,拟行双侧肾上腺静脉采血,故请介入科会诊。③介入科于2021年6月1日行双侧肾上腺静脉采血,明确为左侧优势分泌。④2021年6月8日转入泌尿外科,2021年6月9日行左侧肾上腺肿瘤切除术。
术后患者四肢麻木缓解,规律口服"苯磺酸氨氯地平片(5mg qd)"降压治疗,术后3个月门诊随访,血压达标。
PA发病年龄多在30~50岁,女性较男性多见[11]。与原发性高血压患者相比,PA患者的卒中、心肌梗死 、心力衰竭、心房颤动和肾功能损伤的发生率更高。既往认为高血压伴低血钾为PA最典型的临床表现,但近来一些研究表明,仅有少部分PA患者存在低血钾[12,13],若单纯以高血压伴低血钾作为筛查继发性高血压的标准,必然会漏诊。指南建议对以下人群进行PA筛查:①持续性高血压(>150/100 mmHg)、难治性高血压及新诊断的高血压患者;②高血压伴低血钾者;③高血压合并肾上腺意外瘤者;④早发高血压家族史或早发(<40岁)脑血管意外家族史的高血压患者;⑤原醛症患者中存在高血压的一级亲属;⑥高血压合并阻塞性呼吸睡眠暂停的患者[14]。PA的诊断分为筛查、确诊及分型三部分。常规以检测ARR值(aldosterone toreninratio,ARR)来筛查PA[15]。
最佳ARR切点目前尚无定论[16],但多数研究确定切点为20-30[17]。ARR升高提示筛查试验阳性,但影响该检测的干扰因素较多。β-受体阻滞剂、可乐定、α-甲基多巴和非甾体抗炎药容易导致假阳性,部分口服避孕药也会导致假阳性[18]。初筛试验阳性者有30%-50%为假阳性[19],因此ARR阳性者,选择1~2个确诊试验,如口服钠盐试验、卡托普利试验(CCT)、氟氢可的松抑制试验(FST)、生理盐水抑制试验[20]。各项确诊试验各有优缺点,临床医师尤其是基层医师需根据患者病情选择更安全、有效的方法。对于合并自发性低钾血症的高血压患者,醛固酮>20 ng/dl、肾素浓度<2.5 mU/L,无需进行确诊试验而可直接确诊PA[21]。确诊PA后还需进一步进行分型。PA分为肾上腺醛固酮腺瘤、特发性醛固酮增多症、原发性肾上腺皮质增生、家族性醛固酮增多症及分泌醛固酮的肾上腺皮质癌[22]。推荐对所有患者行双侧肾上腺CT以协助分型。若患者有手术意愿,需进一步行双侧肾上腺静脉取血(Adrenal vein sampling,AVS)以明确有无优势分泌,AVS是分型诊断的"金标准" [23]。指南推荐单侧肾上腺病变可手术治疗,双侧肾上腺病变或无手术意愿者,可给予盐皮质激素受体拮抗剂终生维持治疗[24],但该类药物有导致男性乳房发育的风险,这可能会降低患者依从性。目前有学者提出对双侧肾上腺病变行单侧肾上腺切除以减少醛固酮的分泌,但目前仍存在争议[25]。
由于基层医院硬件的局限性及基层医务人员能力不同,一定程度上限制了原发性醛固酮增多症等继发性高血压的规范化诊疗。只有加大医疗设备的投入,加强基层医师的规范化培训、开阔医务人员眼界,才能减少区县级医院的患者继发性高血压的漏诊率、进一步降低心、脑、肾靶器官损害,减少区县医疗财政支出。
所有作者均声明本研究不存在利益冲突





















