
患者,女性,44岁,主因"发热6 d"入院。患者6 d前受凉后出现发热,体温最高39.2℃,热型无规律,自服退热药(具体药物不详)后体温退至正常。转日体温再次升高,胸部CT考虑左肺上叶感染,予头孢克肟口服治疗后仍反复发热。4 d后复查胸部CT病灶较前明显增大。入院后予头孢他啶静点抗感染治疗,仍持续高热且出现干咳,体温最高40.2℃,感染指标升高。既往体健,否认慢性病史。
发热、干咳。体格检查:呼吸动度一致,语音震颤无增强,叩诊清音,听诊双肺呼吸音粗,未闻及干湿性啰音。
入院后行支气管镜检查,肺泡灌洗液送检宏基因组二代测序(metagenomic next-generation sequencing,mNGS)查找致病菌。
明确致病菌为鹦鹉热衣原体,选取合适抗生素治疗后肺部炎症逐渐吸收,同时从温病辨治,予中药退热、改善临床症状。
体温降至正常范围,临床症状好转,胸部CT感染灶基本吸收。
呼吸科;感染科;中医科
版权归中华医学会所有。本文为遵循CC-BY-NC-ND协议的开放获取文章。
鹦鹉热又称鸟热,是鹦鹉热衣原体引起的自然疫源性疾病[1]。鹦鹉热衣原体是对人致病的4种衣原体之一,为革兰氏阴性菌,主要在鸟类、家禽之间传播,可由带菌动物传染给人,我国于20世纪60年代初证实有该病流行[2]。主要表现为高热、咳嗽、咳痰、呼吸困难和肺部炎症渗出和实变等,严重者可出现呼吸衰竭等[3,4,5,6],但缺乏特异性表现,诊断困难,易造成漏诊、延误治疗。报道1例中西医结合治疗鹦鹉热衣原体感染,旨在提高对本病的认识,中医药准确辨证疗效确切,中西医结合治疗可助患者从治疗中更大获益。
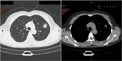
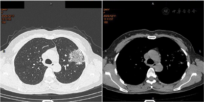
患者,女性,44岁,主因"反复发热6 d"于2020年12月11日入院。患者于6 d前受凉后出现发热,体温最高39.2℃,热型无规律,无畏寒,无寒战,无汗,无咳嗽,无咽痛,无鼻塞、流涕,无味觉、嗅觉减退,无结膜炎,无肌肉酸痛,无乏力,无腹泻,无皮疹。自服退热药(具体药物不详)后体温退至正常,转日体温再次升高,2020年12月7日就诊于我院发热门诊,查血常规+CRP:WBC 6.6×109/L,Neu% 78.2%,Lym% 14.3%,CRP 17.7 mg/L,新冠病毒核酸检测、新冠病毒抗体(IgG+IgM)阴性,胸部CT平扫考虑左肺上叶感染(图1),予头孢克肟口服治疗,仍反复发热。2020年12月11日再次就诊于我院发热门诊,查血常规+CRP:WBC 4.19×109/L,Neu% 73.1%,Lym% 19.3%,CRP 87.7 mg/L,胸部CT平扫:左肺上叶片状磨玻璃状阴影,较前明显增大,考虑炎性病变(图2),以"肺部感染"收入院。刻下症:发热,热型无规律,纳差,眠可,二便调。既往体健,否认慢性病史。末次月经2020年12月3日。




入院体格检查:体温37.4℃,脉搏116次/min,呼吸20次/min,血压126/89 mmHg。呼吸动度一致,语音震颤无增强,叩诊清音,听诊双肺呼吸音粗,未闻及干湿性啰音。舌暗红,苔白腻,脉细数。
2020年12月12日血常规+CRP:WBC 4.16×109/L,Neu% 79.50%,Lym% 14.5%,CRP 77.8 mg/L;降钙素原0.090 ng/ml;凝血4项、生化全项、女性肿瘤标志物大致正常,尿常规、便常规、乙肝、丙肝、梅毒、艾滋阴性,多次复查呼吸道病原体五项、EB病毒、甲乙流病毒、新冠病毒、痰培养呈阴性。
入院后初步诊断:中医诊断:风温肺热病风热犯肺证,西医诊断:社区获得性肺炎。
针对此患者,临床诊断考虑社区获得性肺炎,但尚需除外肺结核、肺部肿瘤、非感染性疾病等。
以咳嗽、咯痰、咯血为主症,多伴有午后低热、盗汗、疲乏、体重减轻、失眠、心悸等全身症状,胸部正位片病变多在肺尖或锁骨上下,密度不均匀,消散缓慢,可形成空洞或肺内播散,痰中可找到结核杆菌,进一步检查可鉴别。
多无急性感染中毒症状,有时痰中带血丝,血白细胞计数不高。肺癌可伴发阻塞性肺炎,常同一部位出现肺炎,影像检查可见团块影,需行纤维支气管镜或肺穿刺等检查确诊。
(1)肿瘤性发热,患者胸部CT未显示结节影,肿瘤标志物正常,必要时可进一步完善CT评估肿瘤情况或采用萘普生试验验证。(2)药物性发热:患者入院前曾口服退热药物及头孢克肟,需进一步观察进行鉴别。
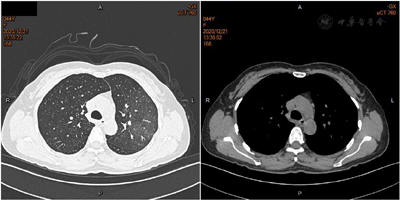
入院后予头孢他啶2 g 1次/12 h静点抗感染治疗,患者仍持续高热且出现干咳,体温最高40.2℃,予赖氨匹林、吲哚美辛栓退热后体温仍未下降至正常范围,2 d后复查降钙素原升高至0.059 ng/ml,考虑感染未能控制,常规实验室检查致病菌不明,经患者同意并签字,行支气管镜检查,肺泡灌洗液送检mNGS查找致病菌。治疗上考虑覆盖菌群不完全,不典型菌感染、病毒感染不除外,抗感染治疗方案调整为莫西沙星联合亚胺培南、奥司他韦。中药治以辛凉解表、宣肺泄热为主,方以麻杏石甘汤合银翘散加减(麻黄9g,杏仁9g,石膏10 g,炙甘草10 g,葛根10 g,知母10 g,浙贝母10 g,瓜蒌10 g,黄芩9 g,金银花10 g,连翘10 g,生姜6 g,大枣10 g),当晚患者体温下降至正常范围。3 d后患者出现咳嗽伴少量黄痰,略有胸闷,口干不欲饮,双下肢皮肤可见红色斑点,皮温高,无凸起,无瘙痒、疼痛,舌暗红,苔白腻,脉细。复查血常规出现白细胞、中性粒细胞下降,WBC 2.82×109/L,Neu 1.24×109/L,PLT 311×109/L,CRP 59.3 mg/L,肺泡灌洗液mNGS回报检出鹦鹉热衣原体(序列数33),追问病史,患者发热前家中曾喂养过4 d鸽子,综合考虑鹦鹉热衣原体感染,治疗首选四环素类,而四环素耐药率高,大环内酯类、喹诺酮类亦有效,停用亚胺培南,改为阿奇霉素。中药治以清营解毒、化痰散结为主,方用清营汤合小陷胸汤(水牛角9 g,生地15 g,麦冬15 g,玄参15 g,金银花15 g,连翘15 g,竹叶10 g,丹参15 g,黄连6 g,瓜蒌15 g,清半夏6 g)。3 d后复查血常规示白细胞、中性粒细胞升至正常范围,CRP降至12 g/L,胸部CT提示感染灶较前范围明显增大,密度明显减低(图3),考虑感染整体较前减轻,患者自觉咳嗽、胸闷、口干等症状较前减轻,双下肢斑点较前变淡,皮温正常,中药效不更方,原方加党参10 g益气生津。患者已一周无发热,双下肢皮肤红色斑点变浅,于2020年12月23日出院,出院带药盐酸莫西沙星片(0.40 g 1次/d)、阿奇霉素片(0.50 g 1次/d)、中药口服一周。


出院1周后随访患者体温正常,无干咳、胸闷、口干等不适症状,双下肢皮肤正常,复查胸部CT原左肺上叶感染灶基本吸收。
鹦鹉热是鹦鹉热衣原体引起的自然疫源性疾病。人类主要经由呼吸道吸入病鸟粪便、分泌物或羽毛的气雾、尘埃感染鹦鹉热衣原体,也可经破损皮肤、黏膜或眼结膜感染[7]。潜伏期为5~21 d,最短3 d,最长可达45 d,主要影响肺,也可累及心脏、肝脏、脾脏、脑膜和中枢神经等。病原学检查是确诊的重要依据,目前常采用血、痰标本、咽拭子、支气管分泌物等进行细胞培养或病原分离鉴定、血清学诊断等,但临床实际中均存在一定困难。宏基因组二代测序(mNGS)作为新型的微生物技术,利用基因组学全覆盖检测所有病原体,病原体阳性检出率高,与常规微生物检测相比,敏感性更高(91.2% vs 41.2%)[8],且不受免疫抑制剂使用的影响,在未确诊的感染性疾病病原学诊断中有广泛的临床应用价值[9],同时可指导抗感染治疗方案及疗效评估。由于鹦鹉热衣原体感染症状、体征、影像学检查等均缺乏特异性表现,诊断困难,本例患者便存在持续高热10 d,经验性抗生素治疗未能退热,中药治疗后患者体温降至正常范围,同时进行肺泡灌洗液mNGS检测,明确致病菌为鹦鹉热衣原体,选取合适抗生素治疗后肺部炎症逐渐吸收。
中医方面,患者起病急,进展快,以发热为主症,热象偏重,符合温病中"风温肺热病"范畴。患者中年女性,发病正值经期,正气不足,津血亏虚,加之起居不慎,外界风温之邪乘虚而入,卫外不固,正邪交争于肌表,故见发热;邪从外而入,肺宣发肃降功能失职,气逆于上,故见干咳;脉细数亦为风热犯肺之象;四诊合参,本病病位在肺,病性属实,辨证为风热犯肺证。患者持续高热,病灶进展快,病程已一周,风温病邪不解入里,热邪充斥,属于温病中的气分证,中药治以辛凉解表、宣肺泄热为主,方以麻杏石甘汤合银翘散加减。方中麻黄,性辛温,宣肺泄邪热;配伍辛甘大寒之石膏清热泻火生津,宣肺不助热,清肺不留邪,共为君药。杏仁苦温,降气止咳,助麻黄、石膏宣降肺气,为臣药。葛根甘辛性凉,轻扬升散,发汗解表、退热生津,配伍麻黄辛散发表以退热,又防麻黄辛温伤阴之弊;知母性苦甘寒,质润,清热泻火、退热生津,配伍石膏相须为用;加入浙贝母、瓜蒌、黄芩以清热散结;金银花、连翘疏散风热、清热解毒,生姜、大枣健脾和胃,共为佐药。炙甘草益气和中、调和诸药,为佐使药。服用当晚患者体温便下降至正常范围。
后患者未再发热,出现咳嗽伴少量黄痰,略有胸闷,口干不欲饮,双下肢皮肤可见红色斑点、皮温高。考虑风温表证不解而肺热渐炽,热郁于肺,炼液为痰,痰热结聚于胸部,2次胸部CT影像变化提示肺部病灶进展可能,故见咳嗽黄痰、胸闷;"热闭营中,故多成斑疹",为气分热邪深入营分,营血热甚而迫血妄行,血从肌肉外渍而见斑点;营热蒸腾则口干不欲饮;舌脉较前无明显变化,据症舌脉,辨证为痰热壅肺证,符合温病易内陷生变、化燥伤阴的特点。中药治以清营解毒、化痰散结为主,方用清营汤合小陷胸汤。方中以水牛角为君药,性苦寒,可清解营分热毒。生地凉血养阴,麦冬清热养阴生津,玄参滋阴降火解毒,三药皆甘寒质润,既养阴生津,又助君药清营热、凉血解毒,为臣药。金银花、连翘、竹叶清热解毒、透热毒邪气外达,即叶天士"入营犹可透热转气"之意,丹参苦寒清热凉血,活血祛瘀,可防热与血结,深陷血分,黄连、瓜蒌、清半夏清热涤痰、宽胸散结,共为佐药。患者服药后症状改善,双下肢皮肤红色斑点变浅,复查CT肺部炎症逐渐吸收,但余邪尚未完全清除,津液尚未恢复,原方加用党参益气生津至恢复正常,正符合叶天士所言"斑疹皆是邪气外露之象",斑疹顺利透发,邪热外泄,病情渐趋好转。既往病例报告也提示鹦鹉热感染后期存在气阴不足之象,先予黄连解毒汤加味治疗热毒壅盛证,继之予生脉散益气养阴[10]。相关研究也表明中医药参与治疗肺炎临床效果良好。广东地区在温病学理论指导下研制"肺炎1号方"治疗新冠肺炎患者症状改善明显[11];清金化痰方联合西医治疗社区获得性肺炎有效率是常规西医治疗的1.14倍,且缩短了临床症状体征持续时间,改善了炎症指标[12];麻杏石甘汤联合阿奇霉素治疗小儿支原体肺炎疗效显著、安全性好[13]。
综上,鹦鹉热衣原体感染临床缺乏特异性表现,存在病情较重、进展迅速的特点,mNGS是明确病原菌、提高临床诊断的早期、有效手段。急性感染性、发热性疾病等具有温病性质和特点的疾病从温病辨治疗效确切,中西医结合治疗可助患者从治疗中更大获益。
所有作者均声明本研究不存在利益冲突





















