
中年女性,因"喘憋10 d"入院。辅助检查:BNP 、TNI及D-Dimer增高;CTPA:肺动脉栓塞、累及两肺动脉及肺内分支;双下肢静脉血管超声:双侧小腿肌间静脉血栓形成;超声心动图:肺动脉高压(中+度)、三尖瓣返流(轻度);心电图:窦性心律,Ⅲ导联可见Q波,V1-V3导联T波倒置,明确诊断急性肺栓塞。既往高血压病史、高脂血症病史、急性非ST段抬高心肌梗死、冠状动脉旁路移植术后、亚临床甲状腺功能亢进,术后服用阿司匹林和替格瑞洛。
喘憋、干咳、乏力,活动后加重,讲话时气促;生命体征尚稳定。
按照2018年肺血栓栓塞症诊治与预防指南,通过CTPA影像学表现结合D-Dimer、B型钠酸肽、肌钙蛋白Ⅰ、超声心动图,明确诊断急性肺栓塞,按照危险分层为中高危。
2018年急性冠状动脉综合征特殊人群抗血小板治疗中国专家建议以及2018年肺血栓栓塞症诊治与预防指南,针对患者制定如下诊疗方案:1.抗血小板治疗;2.抗凝治疗;3.评估血栓和出血风险;4.其他相关治疗等。
患者出院后规律服用药物,无明显胸痛及胸闷发作,无明显出血倾向,生命体征稳定,肺血管病门诊随访,定期监测凝血五项、血常规、BNP、TNI、UCG以及CTPA等,防止出血以及血栓栓塞性肺动脉高压形成等。
心血管内科;心血管外科;呼吸科;急诊科医师
版权归中华医学会所有。本文为遵循CC-BY-NC-ND协议的开放获取文章。
临床上,急性冠脉综合征(acute coronary syndrome,ACS)合并急性肺栓塞(acute pulmonary embolism, APE)并不少见,血运重建术后1个月患者血栓和出血事件均较高,在这种情况下,面临双联抗血小板治疗(dual antiplatelet therapy,DAPT)和抗凝三联抗栓的问题,同时出血风险也明显升高。如何在此类患者中权衡血栓和出血风险,合理使用抗血小板和抗凝药物,是临床医生经常遇到的两难境地。本文将介绍1例急性心肌梗死冠状动脉旁路移植术(coronary artery bypass graft,CABG)后发生急性肺栓塞的患者,在三联抗栓合并出血后抗栓药物调整的过程与经验。
患者,女,57岁,主因"喘憋10 d"入院。患者10 d前出现喘憋,伴干咳、乏力,多于活动时出现。此后自觉上述不适逐渐加重,平卧约2 h即可出现喘憋伴干咳,需坐起休息30 min可缓解。发现左足水肿,但双下肢无明显肿胀感。无明显头晕、黑矇,无心悸、胸痛,无反酸、烧心。4 d前夜间出现发热,自测体温37.5°C,自行使用退热药后缓解。2 d前轻微活动即可出现喘憋、干咳。遂就诊于我院急诊科,辅助检查提示:B型钠酸肽(B-type natriuretic peptide, BNP) 201.00pg/ml,肌钙蛋白Ⅰ(troponinⅠ,TnI) 0.10ng/ml, D-Dimer 4584 ng/ml;双下肢静脉B超提示:右侧小腿肌间静脉血栓形成(不完全阻塞),左侧小腿肌间静脉血栓形成(完全阻塞);超声心动图(echocardiography,UCG):肺动脉高压(中+度)、三尖瓣返流(轻度);CT肺血管造影(computed tomographic pulmonary angiography ,CTPA)提示肺动脉栓塞、累及两肺动脉及肺内分支,双侧胸腔积液,下肺膨胀不良。考虑APE,给予抗凝治疗。现为进一步诊疗收入我科。患者自发病以来纳差、睡眠不佳、大便干燥、小便无明显异常,体重减轻(具体不详)。
既往有高血压病史2年,最高200/130 mmHg(1 mmHg=0.133 kPa),平日收缩压150~160 mmHg。发现高脂血症病史25 d,低密度脂蛋白胆固醇(low-density lipoprotein cholesterol, LDL-C)4.22 mmol/L。急性非ST段抬高心肌梗死25 d,行冠脉造影时两支病变,后转至我院心外科,12 d前行CABG,术后服用阿司匹林和替格瑞洛,因阴道少量出血,自行停用抗板药物治疗。心脏外科住院期间发现亚临床甲状腺功能亢进。否认吸烟、饮酒史。月经、婚育史:初潮14岁,每次持续7 d,绝经年龄55岁,适龄结婚,夫妻关系和睦,育有3子,妊娠3次,顺产3胎。家族史:父母已故,否认家族遗传病史。
入院查体:体温36.4℃,脉搏84次/min,呼吸26次/min,血压123/74 mmHg,经皮血氧饱和度97%(吸氧2 L/min),患者神清,精神弱,讲话时气促,间断干咳。前胸和双下肢内侧可见外科敷料包扎(CABG术后)。全身皮肤黏膜无黄染,无皮疹、皮下出血,口唇无发绀,双肺呼吸音低,未闻及干湿啰音,无胸膜摩擦音。心律齐,各瓣膜听诊区未闻及病理性杂音,无心包摩擦音。腹软,无压痛、反跳痛以及肌紧张,肠鸣音正常。双下肢无水肿。
入院心电图(electrocardiogram ,ECG):窦性心律,Ⅲ导联可见Q波,V1-V3导联T波轻倒(图1)。


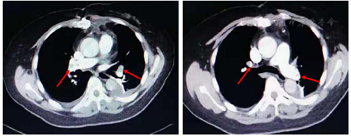
CTPA提示主肺动脉显影良好,未见腔内充盈缺损,左、右肺动脉主干远端可见多发不规则腔内充盈缺损。左上肺动脉前支、尖后支管腔内可见低密度充盈缺损,远段分支显影不良。左舌段肺动脉上、下支分叉处管腔内可见低密度充盈缺损,远段显示良好,左下肺动脉近段及其分支内前基底支管腔内可见低密度充盈缺损,远段分支显影尚可,外后、背基底支显示良好;右上肺动脉及其分支前、尖、后支管腔内可见低密度充盈缺损,远段分支显影欠佳。右肺中叶段及其分支内、外支管腔内可见低密度充盈缺损,远段分支显影尚可。右下肺动脉及其分支内、前、外、后、背基底支管腔内可见低密度充盈缺损,远段分支显影不良。双侧胸腔积液,左下肺膨胀不良(图2)。


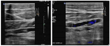
双下肢深静脉彩色多普勒超声检查:右侧小腿肌间静脉血栓形成(不完全阻塞)左侧小腿肌间静脉血栓形成(图3)。


胸部X线计算机体层(computed tomography ,CT)平扫:开胸术后,双侧胸膜腔积液,双下肺膨胀不全。右肺多发小结节影。右肺尖胸膜局限性增厚。左侧胸壁软组织增厚。纵隔内未见肿大淋巴结。心影饱满,心包局部增厚。前纵隔内条片状高密度影,考虑术后反应。左侧胸壁软组织增厚。
UCG提示:各心腔内径、各室壁厚度及运动、各瓣膜形态及运动正常;CDFI:收缩期三尖瓣房侧见少量返流信号,TRVmax:424 cm/s,PG:72 mmHg,TI法估测SPAP:77 mmHg;主动脉未见异常,肺动脉显示不清;心包腔未见明确液性暗区。
实验室检查:血气分析pH 7.518,PCO2 25.30 mmHg,PO2 50.80 mmHg,SO2 86.20%。甲状腺功能HTSH 0.130 mIU/L。血常规:白细胞4.72×109/L,中性粒细胞0.752,血红蛋白118.0 g/L,血小板251.0×109/L。BNP 201.00 pg/ml。TnI测定0.12 ng/ml。快速C-反应蛋白(C-reactive protein, CRP) 33.43 mg /L。红细胞沉降率43 mm/h。便常规:便潜血(+)。尿常规:尿潜血(+)。抗核抗体系列:阴性。肝、肾功能正常。肿瘤标记物:铁蛋白(Fer)测定435.0 ng/ml,糖类抗原CA-125测定43.9 U/ml,余阴性。抗磷脂抗体4项:阴性。易栓症:阴性。患者住院期间凝血指标监测和基因检测(表1)。

住院期间凝血指标监测和基因检测结果
住院期间凝血指标监测和基因检测结果
| 序号 | 项目 | 结果 |
|---|---|---|
| 1 | 凝血七项(入院时) | D-Dimer 2578 ng/ml、INR1.25、FBG 5.0g/l、FDP12.0 μg/ml。 |
| 2 | 血栓四项 | 凝血酶抗凝血酶复合物(TAT) 6.47ng/ml (0~4)、血浆纤溶酶-抗纤溶酶复合物(PAP) 1.58ug/ml (0~0.80)、TPA-PAI复合物(tPAI-C) 13.50 ng/ml (0~10.5)、血浆凝血酶调节蛋白抗原(TM:Ag) 7.64 TU/ml (3.80~13.30) |
| 3 | 血栓弹力图试验(高岭土+肝素+ADP+AA) | 酶动力型高凝、ADP抑制率0、AA抑制率80.7% |
| 4 | 不同时间抗凝血因子Xa活性测定(Anti-Xa) | 分别为0.50、0.70 IU/ml |
| 5 | 染色体荧光原位杂交分析(氯吡格雷) | CYP2C19酶为慢代谢型,PON1为突变杂合型,ABCB1为突变纯合型,肠道吸收减弱 |
| 6 | 染色体荧光原位杂交分析(静脉血栓高危基因) | PAI-1突变杂合型5G4G,F5 leiden野生纯合型GG,提示患者携带一个静脉血栓高危基因,发生血栓风险在基因水平上稍高于正常人群 |
入院诊断:急性肺栓塞(中高危)、中度肺动脉高压、I型呼吸衰竭、下肢静脉血栓形成(双侧)、急性非ST段抬高型心肌梗死、冠状动脉搭桥术后、胸腔积液(双侧)、高血压病3级(极高危)、高脂血症、反流性食管炎、亚临床甲状腺功能亢进。
诊断依据:
1.中年,女性,急性起病;2.活动后喘憋、循环尚稳定,TNI、BNP、D-Dimer增高;3.血气分析:低氧、二氧化碳分压减低;4.ECG:窦性心律,Ⅲ导联可见Q波,V1-V3导联T波轻倒;5.双下肢深浅静脉彩色多普勒超声:双侧小腿肌间静脉血栓形成;6. UCG:三尖瓣反流,肺动脉压增高;7. CTPA:双侧肺动脉及叶、段分支内多发充盈缺损;8.危险因素:急性心肌梗死、CABG术后卧床,双联血小板治疗,因阴道出血自行停药。9.其他诊断根据既往病史可明确。
鉴别诊断:
1.支气管哮喘:患者多有过敏史或过敏诱因,季节性发作特点,发病年龄较轻,双肺有弥漫性哮鸣音,血嗜酸粒细胞以及IgE增高,β2受体激动剂及皮质激素有良效,患者无咳嗽、咳痰,无过敏史,听诊双肺无哮鸣音,治疗缓解过程与此不符,暂不考虑此诊断。
2.心功能不全:常见于左心衰竭,多有高血压、冠心病、风心病二尖瓣狭窄等病史和体征,阵发性咳嗽,常咳粉红色泡沫痰,双肺可闻及广泛的湿啰音以及哮鸣音,左心界扩大,心率增快,X-Ray检查可见心脏增大,肺瘀血征,此患者虽有心血管危险因素,且活动时喘憋,但无咳粉红色泡沫痰,听诊无哮鸣音,暂不考虑该诊断。
患者急性心肌梗死,CABG术后合并APE,具体抗栓方案详见表2。

患者发生急性心肌梗死后抗栓治疗调整方案
患者发生急性心肌梗死后抗栓治疗调整方案
| 科室 | 抗栓治疗方案 | 用药时间 | 备注 |
|---|---|---|---|
| 心脏外科 | 阿司匹林肠溶片0.1 g 1次/d口服+替格瑞洛90 mg 2次/d口服 | 16 d | 氯吡格雷基因检测+血栓弹力图 |
| EICU | 阿司匹林肠溶片0.1 g 1次/d口服+氯吡格雷75 mg 1次/d口服+依诺肝素0.6 ml 1次/12 h皮下注射 | 14 d | 双联抗血小板满1个月停氯吡格雷、抗Xa因子达标 |
| EICU | 阿司匹林肠溶片0.1 g 1次/d口服+利伐沙班15 mg 2次/d口服 | 2 d | 因出血调整利伐沙班剂量 |
| EICU | 阿司匹林肠溶片0.1 g Qd po+利伐沙班10 mg 2次/d口服 | 5 d | 抗凝满21 d |
| 出院 | 阿司匹林肠溶片0.1 g 1次/d口服+利伐沙班15 mg 1次/d口服 | 出院随访 | 监测出血倾向 |
患者出院后规律服用药物,无明显胸痛及胸闷发作,心功能稳定,无出血倾向,生活质量良好,活动耐力可,未发现慢性血栓栓塞性肺动脉高压。
ACS合并APE在临床上并不少见,在这种情况下的抗栓方案如何选择缺乏相关指南。本患者抗栓治疗过程:监测染色体荧光原位杂交分析(氯吡格雷)为CYP2C19酶为慢代谢型以及血栓弹力图试验提示酶动力型高凝,遂给予阿司匹林和替格瑞洛治疗。后因合并急性肺栓塞,需要加用抗凝药物,且患者出血评分CRUSADE评分为49分,HAS-BLED评分为3分,患者出血风险高,经过肺栓塞快速反应团队(Pulmonary Embolism Response Team,PERT)多学科会诊,将替格瑞洛更换为氯吡格雷治疗,密切做好出、凝血监测,评估出血和血栓风险。三联抗栓治疗至心肌梗死稳定后1个月。抗凝药物调整方案为:先给予依诺肝素60 mg皮下注射每12小时1次,期间监测抗Xa因子浓度适宜,逐渐过渡到利伐沙班15 mg每日2次口服,在服药期间,患者血红蛋白有下降趋势,尿、便潜血阳性,住院期间又有阴道少量出血、咳血,再次多学科会诊,改为利伐沙班10 mg每日2次口服,抗凝满21 d之后,调整利伐沙班15 mg每日1次口服,出院后专病门诊随访,调整抗栓药物治疗方案。
上述病例提示,临床复杂情况下需动态评估血栓和出血风险。抗栓药物的选择方案很多时候参照冠心病合并心房纤颤、ACS的抗栓治疗或APE的诊疗等相应临床指南或诊疗建议[1,2,3,4,5,6],什么是合适或最佳的抗栓治疗策略尚不明确,医生在平衡治疗方案上会感觉十分困惑,这就需要充分利用好血栓和出血评分动态评估血栓和出血风险,还可根据所在医院的检测条件,选择性的监测血栓弹力图,抗Xa因子,凝血七项、血栓四项等综合评估患者,必要时给予多学科会诊,在双联抗血小板基础上滴定抗凝药物剂量,既防止出血又给予了患者个体化的抗栓治疗,最大限度保证患者的治疗安全。
血栓弹力图可用于检测患者凝血功能的动态检测,是急诊重症患者常用方法[7,8],但是,血栓弹力图目前在国内尚未完全普及,尤其是对常规凝血实验与血栓弹力图实验结果不一致时该如何解读和判断患者凝血功能,尚未达成一致[9] ,不能完全依赖于血栓弹力图实验结果指导临床治疗。其次,血栓弹力图与凝血功能、血小板计数、血栓四项之间有一定的相关关系,但四者之间不可相互替代,联合监测能更全面准确地反映机体的凝血状态[10],临床使用中辩证分析。
近年来,由于APE的临床复杂性和治疗多样化,以协调多学科临床医生的PERT应运而生。由于PERT可简化决策过程和给予患者个体化治疗方案,逐渐成为APE的救治新模式。在2019 ESC肺栓塞诊断和治疗指南[2]中也已推荐使用。本患者涉及多个学科疾病,PERT可以利用多学科专家团队的优势对患者进行全面评估,并制定个体化的治疗计划[11,12]。
这个病例给我们的启示是当ACS合并APE时,最初以三联联合抗栓治疗为主。对于需要长期抗栓治疗的患者,需要平衡血栓、缺血和出血风险,后期多以抗凝联合单一抗血小板药物为主。更为重要的是,对于缺血和出血双高危等临床复杂情况,需密切监测和动态评估,必要时申请多学科团队(PERT)参与救治,从而在第一时间给予患者个体化的治疗方案。
所有作者均声明本研究不存在利益冲突





















