
患者,女性,27岁,因"间歇性晨起昏睡难醒1年"就诊。
患者某一天晚餐进食较少,第二天早上出现昏睡难醒,需家属唤醒,伴有意识不清,四肢无力,大汗淋漓,半年后又发作两次,一年后频繁发作。
患者腹部增强CT示功能性腺瘤,血钙增高;颈部超声示右侧颈部甲状腺背部实质性肿块,甲状旁腺ECT提示甲状旁腺腺瘤可能;Menin基因突变。患者及其父亲、妹妹的MEN1基因突变(同一杂合变异)。
甲状旁腺次全切除术+腹腔镜下胰腺肿瘤切除术治疗。
患者无临床症状,实验室检查恢复正常。
内分泌科;神经外科;消化内科;胃肠外科
版权归中华医学会所有。本文为遵循CC-BY-NC-ND协议的开放获取文章。
多发性内分泌瘤1型(Multiple endocrine neoplasia type 1,MEN1)是一种罕见的常染色体显性遗传性肿瘤综合征,外显率高,由抑癌基因MEN1失活突变引起。MEN1以甲状旁腺、胰岛和垂体前叶肿瘤为特征。在超过85%的患者中,甲状旁腺肿瘤是MEN1的第一表现[1]。本文报道一个父女三人患病的特殊家系,增强临床医师对以低血糖为首发症状的多发性内分泌腺瘤病1型认识,以早期干预,改善预后。
患者,女性,27岁,因"间歇性晨起昏睡难醒1年"于2020年7月17日来本院内分泌科就诊。
病史:患者于1年前某一天晚餐进食较少,第二天早上出现昏睡难醒,需家属唤醒,伴有意识不清,四肢无力,大汗淋漓,无大小便失禁,无心悸,无抽搐、痉挛,进食巧克力后症状缓解。半年后又有两次类似发作史。2020年7月开始频繁出现该症状,曾自测空腹微血管血糖2.4 mmol/L。
家族史:父母健在,有一个弟弟及一个妹妹。体格检查:身高167 cm,体重62 kg,HR 78次/min,BP 130/82 mmHg(1 mmHg=0.133 kPa)。神志清,呼吸平稳。步入病房,步履缓慢。全身皮肤黏膜无黄染、皮疹、出血点,无色素沉着。双眼球无突出。颈软,气管居中,颈静脉无怒张,甲状腺未及明显肿大。两肺呼吸音粗,未及明显干湿罗音。心前区无异常隆起,心率78次/min,律齐,未及额外心音,各瓣膜区未及病理性杂音。腹平软,无压痛、反跳痛及肌卫,肝脾肋下未及,双下肢无浮肿。双侧足背动脉搏动对称、有力。
实验室检查:血常规+CRP:血小板计数436.00×109/L(↑),其余指标正常。
血脂:血清总胆固醇2.76 mmol/L(↓),甘油三酯0.82 mmol/L,高密度脂蛋白0.97 mmol/L(↓),低密度脂蛋白1.43 mmol/L,载脂蛋白A 1.09g/L,载脂蛋白B 0.48 g/L(↓),脂蛋白a 6.60 mg/dl,载脂A:载脂B 2.3。肝功能、肾功能、心肌酶、胰淀粉酶、肿瘤标志物(AFP、CEA、CA199、CA125、NSE、SCC)、甲状腺功能、性激素均未见异常。
血PTH 11.01 pmol/L(1.59~6.89 pmol/L)↑。自身抗体:抗谷氨酸脱羧酶抗体(-),抗胰岛细胞抗体(-),抗胰岛素IgG(-)。血糖及胰岛功能:发病时空腹血糖2.28 mmol/L(↓),2小时血糖5.67 mmol/L(↓),2小时胰岛素405.13 pmol/L(↑),糖化血清白蛋白6.99%(↓),其余指标未见异常,指标详见表1。血尿同步电解质水平:血钙2.71 mmol/L(↑),其余指标未见异常,指标详见表2。垂体激素及肾上腺皮质激素水平:指标均未见异常,指标详见表3。

血糖及胰岛功能
血糖及胰岛功能
| 组别 | 血糖 | 胰岛素 | C肽 | 其他 | ||||
|---|---|---|---|---|---|---|---|---|
| 空腹血糖(mmol/L) | 2 h血糖(mmol/L) | 空腹胰岛素(pmol/L) | 2 h胰岛素(pmol/L) | 空腹C肽(nmol/L) | 2 h C肽(nmol/L) | 糖化血清白蛋白 | 糖基化血红蛋白 | |
| 发病时 | 2.28↓ | 5.67↓ | 120.42 | 405.13↑ | 1.48 | 2.42 | 6.99%↓ | 4.40% |
| 治疗后 | 6.07 | 7.5 | 62.01 | 298.20 | - | - | - | 5.5% |
| 参考范围 | 3.9~6.1 | 7.8~11.1 | 13.0~161 | 1.1~4.4 | 10.8%~17.1% | 3.6%~6% | ||

血尿同步电解质水平
血尿同步电解质水平
| 组别 | 血电解质 | 尿电解质(24小时尿量2500 ml) | |||
|---|---|---|---|---|---|
| 钙(mmol/L) | 磷(mmol/L) | 镁(mmol/L) | 钙定量(mg/24h) | 磷定量(mg/24h) | |
| 发病时 | 2.71↑ | 0.90 | 0.97 | 362.73↑ | 0.85 |
| 治疗后 | 2.31 | 1.05 | 0.88 | - | - |
| 参考范围 | 2.19~2.55 | 0.8~1.45 | 0.78~1.03 | 100~300 | 1.1~1.7 |

垂体激素及肾上腺皮质激素水平
垂体激素及肾上腺皮质激素水平
| 组别 | 皮质醇 | ACTH | PRL(mIU/L) | HGH(ng/ml) | IGF-1(ng/ml) | ||
|---|---|---|---|---|---|---|---|
| 皮质醇8:00(nmol/L) | 皮质醇16:00(nmol/L) | ACTH 8:00(pg/ml) | ACTH 16:00(pg/ml) | ||||
| 发病时 | 244.11 | 241.72 | 24.46 | 21.07 | 534.57 | 0.074 | 314.00 |
| 参考范围 | 185~624 | 5~60 | 70.81~566.46 | 0.06~5.00 | 49~551 | ||
影像检查:颈部超声:右侧甲状腺背部实质性肿块。胸部CT:右肺下叶多发微小结节。腹部增强CT:胰腺尾部结节,结合病史考虑功能性腺瘤;双肾旋转不良,左侧为甚;回盲部多发稍大淋巴结(图1)。胃镜:反流性食管炎(LA-A),糜烂性胃窦炎。甲状旁腺ECT:右叶甲状腺中上极后部类圆形低密度肿块,提示甲状旁腺腺瘤可能(图2)。心电图、心脏超声、腹部超声均未见异常。




基因检测:MEN1基因检测到一个杂合变异,来源于父亲。受检者父亲及妹妹检测到同一杂合变异(图3)。


患者腹部增强CT示功能性腺瘤,实验室检查示血钙2.71 mmol/L;颈部超声示右侧颈部甲状腺背部实质性肿块,甲状旁腺ECT提示甲状旁腺腺瘤可能;基因检测结果提示Menin基因突变,MEN1诊断明确。患者及其父亲、妹妹的MEN1基因突变(同一杂合变异),目前发现妹妹血钙及PTH高于正常,但没有不适症状,无低血糖表现。
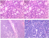
与患者及家属沟通后,予以甲状旁腺次全切除术+腹腔镜下胰腺肿瘤切除术治疗。术后病理结果提示:胰腺神经内分泌肿瘤(图4 A、B);右上甲状旁腺及左下甲状旁腺增生;右下甲状旁腺"见嗜酸细胞结节形成(图4 C、D)。术后对患者进行了长期随访,随访一年期间,患者未再出现昏睡难醒的症状。复查空腹血糖及空腹血胰岛素皆在正常范围,血钙及血磷恢复正常(表2)。


MEN1是在同一个患者的体内,同时或先后出现两个或两个以上内分泌肿瘤或增生而产生的一种临床综合征。主要的特点是甲状旁腺、胰岛细胞和垂体前叶共同发生肿瘤。除了这些肿瘤以外,还可伴有肾上腺皮质肿瘤、类癌、面部血管纤维瘤、胶原瘤和脂肪瘤。故MEN1的临床表现与肿瘤部位及其分泌产物有关,较少与原发部位或转移部位有关[1]。甲状旁腺肿瘤,导致原发性甲状旁腺功能亢进,是MEN1最常见的特征。一般表现为无症状的高钙血症、肾结石、囊性纤维性骨炎,与高钙血症相关的非特异性症状(如多尿、多饮、便秘或不适),或者偶尔出现消化性溃疡[2]。胃泌素瘤,胃酸分泌增多,可反复出现消化性溃疡,并常伴有水样腹泻,偶见脂肪泻,患者可有呕吐、体重减轻。胰岛素瘤,是MEN1中第二大常见的功能性胰腺肿瘤,临床症状与散发性胰岛素瘤无区别,均有空腹、餐前或运动后低血糖发作,进食或服糖后低血糖症状缓解。低血糖和Whipple三联征是约10% MEN1病人的第一临床表现特征[3]。垂体肿瘤,MEN1相关垂体腺瘤的临床表现与散发性垂体腺瘤相似。以高催乳素血症的症状(如女性闭经、不孕症和溢乳症,男性阳痿和不孕症)较为多见,还可表现为肢端肥大症或库欣病等。此外,增大的垂体肿瘤可能压迫邻近的结构,如视交叉或正常垂体[4]。
MEN1是一种常染色体显性遗传病,与位于11号染色体长臂(1q13)上的MEN基因突变有关[5]。该基因含有10个外显子,属于抑癌基因,编码一个由610个氨基酸组成的Menin蛋白。Menin主要是一种核蛋白,参与了转录调节、增殖、基因组稳定性和DNA修复、细胞分裂和细胞周期控制等几个重要的细胞功能[6]。MEN-1的发生要求该位点两个等位基因均发生突变,患者通过遗传获得一个发生突变的等位基因,而肿瘤部位的细胞通过体细胞突变缺失了另一个等位基因。抑瘤基因对细胞的生长、分化、死亡起着重要的调控作用,两个等位基因均发生突变,遂使细胞的生长失控,导致肿瘤的发生。由上述特点可知,MEN-1在遗传方式上属常染色体显性遗传,而在肿瘤的发生机制上却是隐性的,需两个等位基因均发生突变。因此,在患者中发现MEN1基因对其家庭成员具有重要意义[7,8]。一级亲属有50%的患病风险,而且通常可以通过MEN1基因突变分析确定[4]。另外,8%~14%的MEN1患者的基因可能是散发性的,分子遗传学研究确证这种散发突变大约为10% [1]。
患者确诊MEN1需要至少有MEN1的两种主要表现,或者只有一个与MEN1相关的肿瘤,但有一级亲属已经确诊为MEN1,或者有明确的MEN1基因突变(无症状形式)[4]。本例患者为27岁女性,以低血糖的临床表现为首发症状,其中单纯的胰岛素瘤通常发生于年龄大于40岁的人群,而MEN1的胰岛素瘤多发生于年龄小于40岁的患者中,其中甚至有一些发病年龄小于20岁[9],符合MEN1发病的年龄特征。同时,患者和父亲、妹妹是MEN基因同一杂合突变。
每一种类型的MEN1相关内分泌肿瘤的治疗通常与非MEN1患者所发生的相应肿瘤的治疗相似。然而实际的临床实践中,MEN1相关肿瘤的治疗结果不及非MEN1患者理想。甲状腺旁腺肿瘤,手术切除是最终治疗方法。一般采用常规双侧开放探查,并行次全甲状旁腺切除术(至少3.5个腺体)或全甲状旁腺切除术。但是否进行次全(3.5个腺体)或全甲状旁腺切除术,以及是否应在疾病早期或晚期进行手术仍有争议[10,11]。胃泌素瘤,将基础酸输出降低到10 mmol/L以下,通过壁细胞质子泵抑制剂(如奥美拉唑或兰索拉唑)降低的胃酸的分泌已被证明有效并已成为治疗胃泌素瘤的首选药物。一些患者还可能需要组胺H2受体拮抗剂(西咪替丁或雷尼替丁等)的额外治疗。但是针对MEN1相关胃泌素瘤的手术治疗目前仍存在争议[8]。胰岛素瘤,手术治疗是最佳方案,包括单个肿瘤摘除到远端胰腺切除术或部分胰腺切除术,或切除所有肉眼可见的胰腺肿瘤,并摘除残余胰腺的结节。此外,在手术中监测胰岛素/葡萄糖比值对评估胰岛素瘤的成功切除有价值[12]。针对转移型的肿瘤,可以给予链脲佐菌素、5-氟尿嘧啶和阿霉素化疗或肝动脉栓塞。但是,目前关于一些抗肿瘤疗法在胰腺神经内分泌肿瘤患者中的特异性报道尚缺乏证据[9]。MEN1相关胰腺神经内分泌肿瘤一般为多中心的,具有较高的转移能力,对治疗相对不敏感,同时针对无功能胰腺肿瘤是否需要手术治疗仍存在争议[13]。垂体瘤,与非MEN1垂体瘤治疗方法相似,包括适当的药物治疗(如多巴胺激动剂治疗泌乳素瘤;奥曲肽或朗利肽治疗生长激素瘤)及手术治疗(选择性经蝶窦手术垂体切除术)。对残留的不能切除的肿瘤组织可进行放疗。然而,据报道,MEN1患者的垂体瘤侵袭性更强,对内科或外科治疗反应较差[1,14]。因此,对MEN1型垂体激素分泌腺瘤患者进行治疗,使激素高分泌恢复正常的效果明显较差(MEN1 vs. non-MEN1患者42 vs.90%; P < 0.001)[15]。
由于患者腺体的数量、种类等有差异,导致临床表现不太一致,因此临床确诊难度较大,容易误诊漏诊。以低血糖为MEN1首发的临床症状在临床上更为罕见,且MEN1相关肿瘤发生的时间不太一致,在临床诊断与治疗中容易忽略患者其他内分泌腺体情况从而造成漏诊和误诊。因此,当在临床工作中遇到患者患某一内分泌肿瘤时,都应考虑MEN的可能性,同时,对其他内分泌腺情况进行评估,以确保能够进行早期的诊断和治疗。此外,在条件允许的情况下,应对患者及其一级亲属进行MEN1的基因检测,方便在疾病早期进行干预。由于疾病的复杂性,MEN1的治疗往往不十分成功,且患者的预期寿命会缩短,50岁时死亡的概率为50%,再加上MEN1涉及多个内分泌腺体肿瘤,病情复杂,容易漏诊,从而经常得不到及时的诊治。因此,早期的临床诊断极为重要,尽早采取相关诊治措施,最终改善患者生活质量和预后。
所有作者均声明本研究不存在利益冲突





















