
患者,女性,73岁,主因"阵发性心悸4年,加重1个月"于2022年6月25日就诊于本院。
患者于4年前始常无明显诱因出现心悸,自觉心跳过快,最快心率不详,发作时伴出汗,无胸痛、胸闷、气短,无黑曚、晕厥,每次持续约2 h。
经24 h动态心电图诊断为"心房颤动"。
术前行经食道超声检查排除左心耳内血栓形成,拟行房颤射频导管消融术联合心腔内超声指导下经皮左心耳封堵一站式手术。
术后患者心悸症状消失,次日复查心脏超声提示左心功能明显改善,术后拟继续抗凝治疗3个月后复查经食道超声检查确认封堵效果,同时排除封堵器血栓形成可能。
心血管内科
版权归中华医学会所有。本文为遵循CC-BY-NC-ND协议的开放获取文章。
心房颤动是临床上最常见的心律失常之一,其患病率呈逐年上升趋势,在80岁以上人群中高达7.5%[1]。房颤引起的缺血性卒中占所有缺血性卒中的15%至20%[2]。房颤的治疗目标包括:控制节律、控制心室率以及预防血栓栓塞和脑卒中发生。本文报道了1例导管消融联合心腔内超声(intracardiac echocardiography,ICE)指导下左心耳封堵一站式手术,旨在总结房颤导管消融围术期及术后抗凝治疗策略和左心耳封堵术治疗流程。
患者,女性,73岁,主因"阵发性心悸4年,加重1个月"入院。患者于4年前始常无明显诱因出现心悸,自觉心跳过快,最快心率不详,发作时伴出汗,无胸痛、胸闷、气短,无黑曚、晕厥,每次持续约2 h,未系统治疗。2021年6月症状再发,就诊于当地医院完善心电图检查,诊断为"心房颤动",持续时间最长可达10余天,平素服用"倍他乐克"后症状略有缓解。1个月前症状再发,性质同前,持续至今不缓解。现为行射频导管消融术入我院。既往高血压病史3年,糖尿病史3年,否认冠心病、脑梗塞病史。
入院后心电图示:心房颤动;心脏超声提示双房大,左房前后径44 mm,左室舒张末期内径48 mm,右房左右径和上下径42 mm×59 mm,左室射血分数61%,二、三尖瓣轻中度反流;NT-proBNP 2937 pg/ml;肺静脉CT提示食管心房段靠近左侧肺静脉开口,左心耳内造影剂充盈良好,未见异常;术前经食道超声心动图(transesophageal echocardiography,TEE)检查示左心耳内血流缓慢,见红细胞自发显影,未见血栓形成。0°、45°、90°、135°分别测得心耳口部直径为19、20、20、19 mm,深度为25、28、30、25 mm。
经24 h动态心电图诊断为"心房颤动"。
入院后给予患者沙库巴曲缬沙坦钠片50 mg、每日2次;达比加群酯胶囊110 mg、每日2次;雷贝拉唑钠肠溶片20 mg、每日1次;瑞舒伐他汀钙片10 mg每晚1次;呋塞米片20 mg、每日2次;螺内酯片20 mg、每日1次。患者CHA2DS2-VASc评分4分,HAS-BLED评分2分,因抗心律失常药物治疗效果不佳,且患者不愿长期口服抗凝药物治疗,经术前讨论拟行房颤射频导管消融术联合经皮左心耳封堵一站式手术。
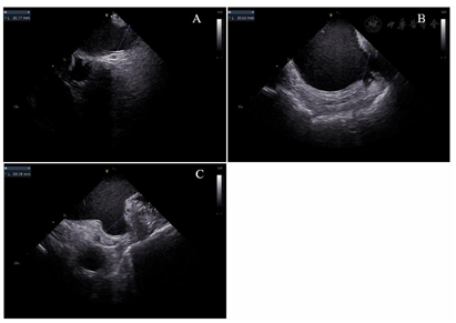
在局部麻醉下穿刺双侧股静脉,经左侧股静脉通路置入6 F静脉血管鞘,沿鞘送入10级可调弯冠状窦电极,经右股静脉通路分别置入2根8.5 F Swartz长鞘,使用Brockenbrough针行两次房间隔穿刺。静脉注射肝素,使ACT维持在300~350 s。在导丝引导下将Swartz鞘送入左房,撤出导丝和Brockenbrough针,经Swartz鞘分别放入Lasso环状标测电极(美国强生公司)和Smarttouch压力消融导管(美国强生公司)。在Carto 3D三维标测系统(美国强生公司)指导下,使用Lasso电极构建左房和肺静脉的三维解剖模型,放置Lasso电极于左右肺静脉口部,消融电极沿左右肺静脉行环肺静脉电隔离,终点为肺静脉内与左心房传导双向阻滞。消融后患者心律仍为房颤心率,给予双向150 J同步直流电复律后转为窦性心律。观察20分钟,反复心房程序刺激未诱发房性心动过速,再次验证四支肺静脉电位未恢复,房颤消融手术成功。撤出Lasso电极,换11 F鞘管,将ICE电极经鞘管送入左房,分别以45°、90°和135°测量左心耳口部直径分别为20.77、20.62、20.19 mm,深度为24.23、25.28、24.37 mm(图1)。与术前经食道超声所测的左心耳大小数据相似度较高。留置导丝至左上肺静脉,退出鞘管,经导丝送入14 F Watchman输送鞘至左心房,经鞘管和导丝送入5 F猪尾导管至左房,退出导丝调整猪尾导管至左心耳,右前斜30°、足位20°造影显示左心耳形态为单分叶风向袋型,测量口部直径为21.62 mm,深度为24.83 mm,推送鞘管至左心耳内,退出猪尾导管,经鞘管推送27 mm的Watchman(美国波士顿科学)封堵器至左心耳,经X线核实位置后,缓慢释放封堵器,X线造影和ICE核实封堵器位置良好,45°、90°和135°测量均无残余分流、无露肩(图2),压缩比分别为20%、22%、20%。封堵器牵拉试验未见移位及脱落,逆时针旋转输送器并释放封堵器。观察10 min,ICE复查封堵器位置,再次测量残余分流、露肩和压缩比,与释放前相比各角度均无明显变化(图3)。术中ICE测量无嵴水肿、无心耳旁积液、无心包积液,左心耳封堵手术成功。房颤导管消融及左心耳封堵手术时间为103 min,透视剂量为356 mGy。






术后患者心悸症状消失,无胸闷、恶心、呕吐,经心电图检查心律为窦性心律。次日行心脏超声检查,提示一站式术后,左房前后径43 mm,左室舒张末期内径50 mm,右房左右径和上下径38 mm×56 mm,左室射血分数提升至69%。术后嘱患者规律服用比索洛尔片2.5 mg、每日1次;缬沙坦胶囊80 mg、每日1次;雷贝拉唑钠肠溶片20 mg、每日1次;瑞舒伐他汀钙片10 mg、每晚1次;胺碘酮片200 mg、每日3次,7 d后改为200 mg、每日2次,再服用7 d后改为200 mg、每日1次,3个月后复查动态心电图确认患者是否维持窦性心律;达比加群酯胶囊110 mg、每日2次,3个月后复查经食道超声检查封堵器位置、确认封堵效果、排除封堵器表面血栓形成可能。若无封堵器表面血栓形成、无残余分流或不超过5 mm,可改为阿司匹林100 mg、每日1次;硫酸氢氯吡格雷75 mg、每日1次,3个月后改为阿司匹林100mg、每日1次,长期服用。
房颤的治疗目标包括节律控制、心室率控制以及血栓栓塞和脑卒中的预防。其中,节律控制是房颤治疗中的重要环节,其方法主要包括电复律、抗心律失常药物治疗和导管消融治疗。药物治疗存在维持窦性心律有效性低、抗心律失常药物的致心律失常作用及其他副作用多见、长期口服抗凝药有出血风险等局限性。对于抗心律失常药物治疗无效、反复发作的症状性持续性房颤患者,导管消融已经成为推荐级别IA类的治疗方法[3]。左心耳是房颤患者血栓的重要来源,在非瓣膜性房颤中,近90%的卒中源于左心耳血栓形成[4]。对于高卒中风险且无法耐受长期口服抗凝药治疗的患者,经皮左心耳封堵术可作为抗凝治疗的替代方案。PROTECT AF研究和PRAGUE-17研究证实了左心耳封堵的安全性和有效性不劣于口服抗凝药。本例患者诊断为持续性心房颤动,发作频繁,抗心律失常药物治疗效果欠佳,患者CHA2DS2-VASc评分4分,HAS-BLED评分2分,且不愿长期接受口服抗凝药治疗,符合房颤导管消融手术及左心耳封堵术的手术指征。已有研究证实房颤导管消融联合左心耳封堵一站式手术的安全性和有效性[5]。为患者实施一站式手术,可以在单次手术中同时实现控制心脏节律、减少卒中发生率和降低长期口服抗凝药导致的出血风险的目的,可能较好地改善预后;避免了两次手术带来的风险,同时降低患者的手术费用。
对于房间隔膨出瘤、房间隔缺损封堵伞植入术后及心脏解剖结构复杂的患者,可以使用ICE指导房间隔穿刺,可视下寻找最佳穿刺位点。目前,ICE指导下的房间隔穿刺已经在欧美国家广泛应用,可降低透视剂量,实现"绿色消融"。术中超声影像可以多角度测量左心耳大小、引导封堵器的输送、实时可视化评估封堵器位置及稳定性、实时监测并发症,对于左心耳封堵术的成功实施具有重要意义。此前国内外中心大多是在经食道超声引导下行左心耳封堵术,但由于其侵入性,要求手术在全麻下进行,患者不适感强,术后常会出现恶心、呕吐,或进食困难等情况,具有对食道造成损伤的风险[6]。已有研究证明,ICE指导下左心耳封堵术的安全、有效性,在多角度评估左心耳大小方面具有较高准确性,可以作为TEE引导左心耳封堵术的替代方案[7]。与TEE相比,ICE无需全麻,可在患者清醒状态下完成手术,避免全麻造成的血流动力学不稳定等风险;ICE可由电生理术者操作,不依赖于超声科医生及麻醉医生,术后无需等待患者清醒,减少手术时间,提高手术效率;可以降低透视剂量[8];避免TEE探头对食道造成的损伤;可以实时监测术中血栓形成及心包积液等并发症风险,提高手术安全性;超声探头送至左心房内,可近距离观察心耳,不受心外组织结构的干扰,获得更高质量的图像;操作灵活,可以从右心房、冠状窦、肺动脉等结构内多角度观察心耳,较TEE更准确判断血栓形成情况。
然而,需要指出的是,尽管房颤导管消融和左心耳封堵术一站式术式在国内外,尤其在国内进行了较多临床实践,初步结果表明此项一站式术式总体安全有效,但仍需进一步提高安全性,探讨最佳适应证人群、与口服抗凝药对比的价效比、哪类封堵器疗效和安全性更好、房颤导管消融和左心耳封堵的操作先后顺序、术后的长期抗栓方案等。
所有作者均声明本研究不存在利益冲突





















