
患者中老年男性,急性起病,有反复上腹不适伴头晕、纳差、视物重影症状、心电图ST-T动态变化和不典型的心肌标志物变化趋势。冠脉造影未见50%以上的固定狭窄,仅三支冠脉慢血流,左室造影见心尖部运动略减弱;心脏核磁考虑为急性心肌梗死,以心内膜下为主。核素显像提示心尖部心肌存活,冬眠心肌占左室7%,其余心肌节段血流灌注/代谢正常。予以规范的二级预防药物治疗,包括规范抗栓、扩张冠脉、改善痉挛、改善微循环、他汀类、抑酸等,效果差,出院后症状仍反复发作,并出现心功能恶化,出院后第27天猝死。未尸检明确死因,回顾死亡前一周心电图和心肌标志物,临床考虑心源性死亡、再发心梗可能大。
发作性头晕、上腹不适,伴纳差、视物重影.
心电图、心肌标志物、心脏超声、冠状动脉造影+左室造影、心脏核磁(平扫+增强)、静息心肌灌注显像(SPECT)+心肌代谢显像(PET)。
双联抗血小板、抗凝、扩张冠脉、改善痉挛、调脂、控制心率、改善微循环、抑酸及对症药物治疗。
出院后1个月内心源性死亡。
心血管内科;急诊
版权归中华医学会所有。本文为遵循CC-BY-NC-ND协议的开放获取文章。
早在1939年,学界已知,急性心肌梗死(acute myocardial infarction,AMI)并非全部因冠状动脉堵塞所致[1]。冠状动脉非阻塞性心肌梗死与阻塞性心肌梗死存在病理差异[2],前者约占AMI的5%~10%[3,4]。随着认识加深,该症数易其名[5,6,7]。2016年4月ESC发布首个关于冠状动脉非阻塞性心肌梗死(myocardial infarction with non-obstructive coronary arteries, MINOCA)的立场文件[8],2019年4月AHA发表了关于MINOCA科学声明[9]。MINOCA定义即诊断标准:符合心肌梗死的标准,冠状动脉造影明确无50%以上冠状动脉狭窄,且能除外非缺血机制导致心肌损伤的疾病。本文报道1例快速进展的MINOCA,由冠状动脉造影、心脏核磁和静息心肌灌注与代谢显像诊断,同时分析预后不佳的原因,旨在提高对本病的认识,减少误诊和漏诊、改善预后。
患者,男性,66岁,因"发作性头晕,上腹不适1周",于2019年10月1日经急诊收入冠心病一区。体格检查:身高170 cm,体重70 kg,体重指数24.2 kg/m2。汉族,农民。既往有颈椎病(外院CT:C2/C3 C3/C4 C4/C5椎间盘后突;颈椎退行性改变;颈动脉超声:双侧颈动脉分叉处斑块);肾囊肿。吸烟5年,2支/d,未戒烟;无饮酒史。即患者除吸烟史外,无其他传统冠心病危险因素。否认外科手术史、药物食物过敏史;家族史:父母已故,父亲死因不详,母亲死于心脏病,具体不详。婚育史无特殊。
患者7 d前无明显诱因出现头晕、上腹不适,阵发性,每次十余分钟至半小时自行缓解,伴纳差、视物重影,无言语不利、肢体活动感觉障碍,无恶心、呕吐、腹痛、腹泻,无黑矇、晕厥、胸痛、呼吸困难,无发热、咳嗽、咳痰等不适。症状反复发作,和活动、情绪、进食无关,日间多发。当地医院就诊查头部CT未见异常。2019年9月28日至北京仁和医院就诊,查肌酸激酶(creatine kinase,CK)升高1977 U/L,随后到我院门诊。2019年9月29日CK升高1171 U/L、乳酸脱氢酶519 U/L、肌酸激酶同工酶MB(creatine kinase-MB,CK-MB) 22.41 U/L、高敏肌钙蛋白I明显升高4.108 ng/ml。心脏超声:左房前后径32 mm左室舒张末期内径47 mm左心射血分数68%,静息状态下心内结构及功能未见明显异常。建议至急诊。急诊心电图:窦性心律Ⅱ Ⅲ avF V3-5导联ST段压低,T波低平、倒置;较前有动态变化。且上腹不适胸闷发作时V2-5导联T波双向、倒置加深,有动态变化,考虑缺血性改变可能大。生化:丙氨酸氨基转移酶48IU/L,天门冬氨酸氨基转移酶67 IU/L,血钾4.15 mmol/L,血肌酐65.76 umol/L;心梗三项肌钙蛋白I(cardiac troponin I,cTnI) 0.956 ng/ml,肌红蛋白111.0 ng/ml,CK-MB 34.2 ng/ml,N末端脑钠肽前体(N-terminal pro brain natriuretic peptide, NT-proBNP) 195.30 pg/ml,不吸氧时桡动脉血气分析:酸碱度7.430,二氧化碳分压39.5 mmHg,氧分压81.9 mmHg。床旁超声:左房前后径33 mm,左室舒张末期内径47 mm,左心射血分数65%,静息状态下心内结构及功能未见明显异常。考虑主要诊断:冠状动脉粥样硬化性心脏病急性非ST段抬高型心肌梗死心功能I级(killip分级)。来诊时患者症状已缓解,GRACE评分112,暂无急诊介入指征,予以双联抗血小板、抗凝、调脂、扩冠、控制血压心率等治疗,为进一步诊治收入病房。起病以来,患者精神、食欲较差,睡眠可,二便正常,体力下降、体重无明显减低。
入院体格检查:血压100/60 mmHg(双侧对称),心率66次/min,呼吸18次/min,无发热。神清语利,急性病容,自主体位,可平卧。口唇无紫绀,无杵状指,全身皮肤黏膜无黄染、苍白或破溃,双肺呼吸音清,未闻及明显干湿啰音,心界不大,心律齐,未闻及病理性杂音。腹软、无压痛、反跳痛,肝不大,脾未触及,双下肢无浮肿。
患者门诊就诊第一份心电图可见Ⅱ Ⅲ avF、V4-6导联ST段轻压低(图1);入急诊后,不适发作时可见V1-V5前壁导联T波双向、倒置,较刚入急诊第一份心电图有动态变化(图2),随后入院后心电图,不适发作和缓解时图较前变化不明显,前壁导联T波双向、倒置、低平未改善(图3,图4,图7,图5,图6,图8)。
















1.cTnI,持续于47-90倍波动,没有酶峰,不符合一般急性心肌梗死的动态变化趋势(图9)


2.CK-MB,持续5-21倍波动,没有酶峰,不符合一般急性心肌梗死的动态变化趋势(图10)


3.NT-proBNP
患者住院期间床旁活动无劳力性呼吸困难、夜间阵发性呼吸困难、端坐呼吸、下肢浮肿等心功能不全症状,心脏超声提示静息状态下心内结构及血流未见明显异常,LVEF正常范围之内,但是NT-proBNP呈上升趋势(图11)。


2019年9月29日门诊、9月30日急诊与入院后10月8日三次超声心动图均未见明显异常,左室舒张末期内径和左心射血分数均处于正常范围。
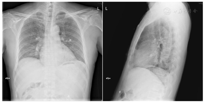
2019年10月8日胸片(远达+左侧):两肺纹理大致正常,未见实变;主动脉结偏宽;肺动脉段平直;左室圆隆;心胸比:0.51(图12)。


前降支:斑块,慢血流;回旋支右冠状动脉:慢血流;心尖部运动略减弱(图13)。


心脏核磁平扫印象:左室心尖部略薄,必要时可对比增强扫描评估心肌组织学特性(图14)。


心脏常规MRI示:左房、左室不大;左室心尖部变薄,余左室各节段室壁厚度正常,左室前壁、侧壁中远段T2信号升高,考虑存在心肌水肿信号;左室收缩及舒张运动大致正常,左室流出道通畅。右房不大,右室饱满,右室壁未见脂肪浸润信号。房室瓣及主动脉瓣启闭正常。心包无增厚。
心肌首过灌注未见明确减低或缺损,延迟扫描可见左室前壁、侧壁中远段及心尖部可见心内膜下强化,侧壁及心尖部肌小梁不规则强化。
心脏核磁增强印象:冠心病急性心肌梗死(心内膜下为主),主要累及左冠状动脉供应区域,左室整体收缩功能正常范围(图15)。


1.心肌活力评价:心尖部心肌存活(冬眠心肌占左心室的7%);其余心肌节段血流灌注/代谢正常。2.左室功能评价:左室心腔略增大,心尖部运动减弱,左心射血分数:60%(图16)。


窦性心律偶发房性早搏室性早搏部分ST-T改变
白蛋白36.5g/L ↓ (40~55g/L);丙氨酸氨基转移酶76IU/L ↑ (9~50 IU/L);天门冬氨酸氨基转移酶86 IU/L (15~40 IU/L ) ↑;CK 290 IU/L (0~200 IU/L)↑,余正常。
高度疑诊:冠状动脉非阻塞型心肌梗死(MINOCA)
诊断依据:
1.符合心肌梗死的诊断且无冠脉狭窄>50%:中老年男性,既往有吸烟史;急性起病,发作性上腹不适;心电图有ST-T动态变化,心肌酶学升高;冠脉造影提示主要心外膜动脉及分支狭窄<50%,仅斑块、慢血流;SPECT+PET提示心尖心肌存活,冬眠心肌占左室7%,其余节段血流灌注/代谢正常;心脏核磁增强扫描:延迟扫描可见左室前壁、侧壁中远段及心尖部心内膜下强化,侧壁及心尖部肌小梁不规则强化,考虑急性心肌梗死,心内膜下为主,主要累及左冠状动脉供应区域。
2.必须排除引起心肌损伤的非缺血性疾病,包括心肌炎、应激性心肌病等。支持点:cTnI和CK-MB的变化趋势不符合典型急性心肌梗死的动态变化趋势,抗栓、抗缺血治疗无效,并迅速进展,心功能恶化。
鉴别诊断:
1.重症心肌炎:本例患者无典型胸痛,以剑突下不适、纳差症状为主,且cTnI和CK-MB持续升高,没有明显酶峰,且冠状动脉造影未见明显固定狭窄,仅慢血流,需考虑是否心肌炎。超声在我院住院期间未出现明显的异常,但在出院后出现左心室扩大和收缩功能减低,猝死发生前心电图广泛前壁+下壁已形成Q波。但是由于缺乏活检病理结果,无法明确鉴别。核磁对于心肌炎的判断价值较高,虽未见心肌炎典型的延迟强化特点,并不能完全除外,巨细胞心肌炎和嗜酸性粒细胞心肌炎是以心内膜下延迟强化为特点。该患者C反应蛋白、红细胞沉降率、各项炎性因子住院期间均正常,为不支持点。
2.应激性心肌病(Takotsubo综合征):中老年女性多见,一般有明显的应激诱因,包括创伤、情感等,继而出现类梗死综合征。心电图有ST段抬高,继而T波显著倒置,Q波形成,但随着病程发展心电图改变可恢复正常。文献报道,随访6个月,80%的患者心电图可恢复正常。因ST段抬高时间较短,一般入院时可见或已出现T波倒置、Q波形成,易误诊为ST段抬高型心肌梗死。冠脉造影无明显器质性狭窄,而超声和左室造影可观察到收缩末期可见左室心尖-中段的心腔扩大、基底段缩窄,为典型影像学改变。应激性心肌病在发病初期病情凶险,可以出现低血压、呼吸困难、急性肺水肿、室颤、心源性休克、心脏骤停、心室破裂等,导致死亡的发生。但是长期预后相对较好,只要适当采用有效的治疗手段,病人多可以良好地康复。本例中老年男性、无明显的应激诱因,心电图不符合上述改变、超声及核磁未见典型"章鱼罐"样改变,且病程发展均不支持应激性心肌病诊断。
入院之后常规双联抗血小板治疗(阿司匹林肠溶片100mg一日一次、硫酸氢氯吡格雷片75mg一日一次)(dual-antiplatelet therapy, DAPT),应用低分子肝素(克赛)抗凝治疗7天。给予静脉与口服的硝酸酯,阿替洛尔控制心率,地尔硫卓抗痉挛及改善微循环,尼可地尔改善微循环,雷贝拉唑抑酸。治疗17天,症状似好转,基本无发作,10月17日予带药出院。出院带药:阿司匹林肠溶片、硫酸氢氯吡格雷片、硝酸异山梨酯片、盐酸地尔硫卓片、尼可地尔片、阿替洛尔片、雷贝拉唑钠肠溶片、硝酸甘油片。
患者于我院2019年10月17日出院后规律服药,仍"间断头晕、上腹不适",遂就诊于北京友谊医院。获取一次2019年11月9日外院生化报告:血肌酐、尿素氮、总胆红素、直接胆红素,血钾、血钙、血氯、二氧化碳、渗透压、总淀粉酶、脂肪酶均正常范围,血钠132 mmol/L (137-147)、葡萄糖6.83 mmol/L (3.9-6.1)。心肌酶学显著异常:cTnI 8.552 ng/mL(0-0.03),CK 632.4 U/L (<310),CK-MB 125.4 ng/mL(0-6.0),乳酸脱氢酶371 U/L (127-250)。并因"病情恶化"转入重症监护室治疗,获取一份心电图如下(图17),为:窦性心动过速,广泛前壁、下壁导联已呈QS型,较我院出院前心电图有显著变化。外院具体治疗不详。


2019年11月12日因不满意治疗效果,于外院强行出院。次日11月13日来我院门诊。晨八点等待就诊期间,出现心跳呼吸骤停,由门诊送至急诊抢救间,紧急心肺复苏:胸外按压、大剂量血管活性药、可达龙,并气管插管行呼吸机辅助呼吸(容控模式)。未恢复窦律,转为逸搏心律,持续心外按压维持生命体征。床旁超声提示左室扩大(左室舒张末期内径58mm),心功能下降,左心射血分数15%。向家属交代自主循环恢复可能性低之后,自动离院。主要诊断考虑,心源性休克冠状动脉性心脏病急性心肌梗死心脏扩大心功能IV级(killip分级)呼吸衰竭酸中毒高脂血症。
临床工作当中,对有心肌缺血症状、心电图ST-T动态变化和酶学升高的患者进行冠状动脉造影检查,若没有发现可解释缺血性心肌损害的>50%冠状动脉狭窄病变,则应考虑是否存在MINOCA。诊断可依据2016年ECS发布的首个关于MINOCA的立场文件和2019年AHA关于MINOCA科学声明[8,9]。诊断流程中强调,首先应该符合AMI的定义,即肌钙蛋白大于参考值上限的99%并有心肌缺血的症状/体征;其次冠状动脉造影明确为"非阻塞",即狭窄<50%,需要除外未及时发现的冠脉狭窄;同时需要排除非缺血性因素导致的心肌损伤,如Takotsubo综合征、心肌炎和其他类型的心肌病及心外引起肌钙蛋白升高的原因如脑卒中、脓毒症、肺栓塞等。发生MINOCA具体的机制,包括斑块破裂、斑块侵蚀、原位血栓形成、自发性夹层、供需失衡、冠脉痉挛、微循环障碍[9]。因而可通过腔内影像学的血管内超声或光学相干断层扫描,以及冠脉内功能激发试验等方法进一步明确。本例患者冠状动脉造影可见存在冠状动脉慢血流,但未行腔内影像学检查,是局限性之一。在鉴别诊断方面,心脏核磁的价值较高,可基本明确缺血机制和非缺血机制。心脏核磁也是本例高度疑诊MINOCA的主要依据。
预后研究方面,VIRGO研究入选18~55岁、有冠脉造影检查结果的AMI患者2,690例,MINOCA发生率约11.1%,其中,女性患者是男性患者的5倍。研究发现,MINOCA患者传统心血管危险因素较传统心梗者少,但高凝状态却更多;MINOCA患者和传统心肌梗死患者相比,1月死亡率(1.1% vs. 0.7%,p=0.43)和1年死亡率(1.6% vs. 2.3%,p=0.68)均无显著差异[10]。注册研究NCDR CathPCI,入选多中心65岁以上AMI患者286,780例组成观察性队列研究,观察1年的终点事件,其中MINOCA占5.9%(16,849例)。MINOCA患者的1年心血管不良事件发生率和1年全因死亡率(12.3% vs. 16.7%)均低于传统心肌梗死患者[11]。总之,MINOCA的预后并不如想象中的好,是需要得到临床重视的。
因目前仍缺乏前瞻性随机对照研究,2019美国科学声明并未对MINOCA患者的二级预防进行明确说明[9]。建议仍然遵循传统心肌梗死的推荐,应控制诸多冠心病危险因素,改善生活方式。药物治疗仍然包括:DAPT、他汀类药物、β受体阻滞剂、血管紧张素转化酶抑制剂/血管紧张素Ⅱ受体拮抗剂。针对性治疗在明确其发病机制后可行。抗冠状动脉痉挛可用钙拮抗剂、尼可地尔、硝酸酯类。冠状动脉自发夹层可用β受体阻滞剂、阿司匹林(抗凝和DAPT仍有争议)。存在微循环障碍,可用钙拮抗剂、β受体阻滞剂、硝酸酯类。血栓性血小板减少性紫癜引起的患者,可行血浆置换,应用皮质激素、利妥昔单抗。肝素相关的血小板减少症应避免接触肝素。如主要机制是供需失衡,则应根据病因个体化治疗,专科治疗。
本例患者常规抗栓、抗缺血治疗效果不佳,预后差,可能原因:1.用药不够,严重的血管痉挛未得到控制。冠状动脉造影时未行激发试验。因血压偏低、心率偏慢,整个治疗过程中地尔硫卓量小、硝酸酯和尼可地尔虽有应用,临床认为抗痉挛更有效仍是短效钙拮抗剂。如考虑痉挛重,阿替洛尔应该停用,加强钙拮抗剂。2.病例存在诸多疑点,需考虑是否误诊误治。
主要疑点:1.患者心肌酶无酶峰,不符合急性心肌梗死的动态曲线;2.患者症状以剑突下不适伴纳差为主,无典型胸痛;3.心脏核磁钆延迟显像心内膜下为主,是否就可以确诊心内膜下梗死呢,有其他疾病可能吗?4.患者CK升高明显高于CK-MB,如何解释?5.患者存在复视,但头CT正常,与疾病是否相关?6.患者出院半个月出现心脏明显扩大、心功能减低、心电图变化,但急诊最后一次肌钙蛋白无明显升高,死亡原因是什么?
误诊方面,对于上述分析的巨细胞心肌炎和其他类型的心肌炎均不能完全除外。本病例因心脏核磁高度提示"心肌梗死"(心内膜下受累),未行心肌活检。而巨细胞心肌炎和嗜酸性粒细胞性心肌炎是表现为心内膜下强化的,为非典型延迟强化模式,这些心肌炎容易误诊为缺血性心脏病。目前路易斯湖诊断标准更适合急性病毒性心肌炎的诊断,尚不能完全覆盖其他亚类心肌炎的诊断,如上述两种特殊类型心肌炎的特殊影像学表现[12]。
巨细胞肌炎(giant cell myositis,GCMm)和巨细胞心肌炎(giant cell myocarditis,GCMc)是罕见的自身免疫性疾病[13,14]。GCMc一种危及生命的疾病,1年死亡率达70%,被认为由T细胞介导,其特征是活检存在肌纤维坏死和巨细胞。GCMc可合并其他免疫系统疾病,有19%合并其他自身免疫性疾病。GCMm和GCMc最常见的共同表现是胸腺瘤、重症肌无力和眼眶肌炎。GCMc中眼眶肌炎的存在于1989年由Klein BR首次描述。迄今为止,合并眼眶肌炎的病例报道少,而其中大部分因心脏受累而死亡。通常眼眶肌炎在GCMm或GCMc之前数天、数月或数年出现。一旦GCMm、眼眶肌炎合并GCMc,死亡率明显升高。
CK升高,低于1.5倍正常值上限,考虑为生理性,如年龄、性别、种族相关,过度运动、按摩也可以引起。如高于1.5倍正常值上限。CK-MB/CK比例>25%,考虑恶性肿瘤、自身免疫病;6%~25%考虑心肌源性,如<6%则应考虑骨骼肌来源,如肌炎、肌病、横纹肌溶解症等。本例患者CK升高明显高于CK-MB,CK-MB/CK比例明显低于6%,并且有视物模糊、复视,确实有GCMc并合并眼眶肌炎的可能。
GCMc最常见的表现为快速进展性心衰,文献报道约占75%;14%表现为室性心动过速;6%表现为类梗死综合征,可因有胸痛误诊为心肌梗死;5%房室传导阻滞。因而心电图可有非特异性、多样的表现,如窦速、PR/QRS/QT延长,病理性Q波、部分或广泛ST段抬高、T波倒置、高度房室传导阻滞和或室性心律失常。超声表现包括室壁增厚、左心室扩大和心室收缩功能减弱,随着进展,一般都有左心室扩大和收缩功能恶化,甚至数天之内急剧恶化。因而部分患者可以以晕厥甚至猝死为首发症状。临床上短时间内(几天到几周)出现心功能明显减低,既合并室速又合并房室传导阻滞,或酷似心肌梗死症状而冠状动脉造影正常时,需要考虑GCMc的可能。临床鉴别难度高。JACC报道,GCMc可以继发严重的冠脉痉挛,加大了鉴别难度[15]。诊断依赖心肌活检,特征是见弥漫或多灶性淋巴细胞浸润,伴多核巨细胞形成。多核巨细胞为单核细胞吞噬心肌细胞形成。免疫抑制下,组织病理学可改善,巨细胞早期消失,随后是嗜酸性粒细胞,淋巴细胞性心肌炎是最后消失的炎症表现[13,14]。
本病例未行心肌活检,距离真相仍缺乏确凿证据。患者起病后的前三周,心功能和传导系统未见明显受累,炎症指标均正常,MINOCA诊断仍应排在心肌炎之前。先按更为常见的缺血性心脏病诊治是符合逻辑的,但或许这也是最大的陷阱。巨细胞心肌炎罕见,但病情进展迅速,对心功能和传导系统都有巨大破坏力,预后差,早期识别和诊断并及时加用免疫抑制治疗能延缓和改善疾病进展。我们报道这一疑难病例并分析上述诊治中的疑思和不足,为今后类似案例提供一些参考。
所有作者均声明本研究不存在利益冲突

























