
患者,女性,65岁,因"双眼黑影1个月余"于2021年1月20日入院。
患者2020年12月无诱因出现双眼泥沙样黑影,否认眼痛、发红、畏光、流泪、视力下降等不适。
眼底照相提示:双眼静脉周围炎,查肺CT提示结节病,追问病史及详细查体发现皮肤结节,皮肤活检病理证实结节病。
甲泼尼龙40 mg/d静脉滴注7 d后改为口服,按指南规范减量。
出院1个月后随访,患者自觉双眼黑影较前减轻,左肘及右臀皮肤结节较前缩小。
风湿免疫科;眼科
版权归中华医学会所有。本文为遵循CC-BY-NC-ND协议的开放获取文章。
患者,女性,65岁,因"双眼黑影1个月余"于2021年1月20日入院。患者2020年12月无诱因出现双眼泥沙样黑影,否认眼痛、发红、畏光、流泪、视力下降等不适,眼部超声:双眼玻璃体浑浊(图1A、B)。眼底照相提示:双眼周边静脉点状出血和硬性渗出,考虑双眼静脉周围炎,进一步明确病因入院。病程中患者否认眼干、口干、皮疹、脱发、口腔溃疡、关节肿痛、晨僵、双手遇冷变色等不适。


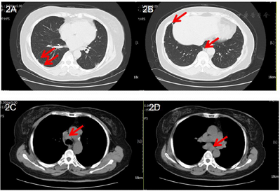
专科检查:面部及全身未见皮疹,浅表淋巴结未扪及肿大。心肺腹查体未见异常,各关节无压痛及肿胀,双下肢不肿。辅助检查:血、尿、便常规、肝功能、肾功能未见明显异常;红细胞沉降率(ESR)12 mm/h,C-反应蛋白1.67 mg/L;肿瘤标记物、干扰素刺激淋巴细胞增殖试验(T-spot)未见明显异常;抗核抗体(ANA)阳性(1:320),抗ENA抗体谱、ANCA阴性;免疫球蛋白(immunoglobin,Ig)G 10.90g/L,IgA 2.54g/L,IgM 1.58g/L,补体C3 0.84 g/L,补体C4 0.19 g/L;胸部CT:双肺可见多个结节(图2A、B);纵隔内多发增大淋巴结,部分融合,较大者位于气管隆突下(图2C、D)。眼部检查:双眼角膜色素性沉着(keratic precipitate,KP)(++)。


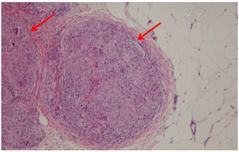
患者胸部CT表现疑诊结节病,追问患者病史、详细查体后,发现左肘伸侧及右侧臀部有皮肤结节,行皮肤结节活检,病理提示"真皮内可见多个大小不一的上皮样裸结节(图3)",查血清血管紧张素转化酶水平升高(78.8 U/L)。


根据患者临床表现,结合皮肤病理诊断结节病。
根据指南推荐:给予甲泼尼龙40 mg/d静脉滴注7d后改为口服,按指南规范减量。
出院1个月后随访,患者自觉双眼黑影较前减轻,左肘及右臀皮肤结节较前缩小,复查血清血管紧张素转化酶降至正常(21.8 U/L)。
结节病是一种原因及发病机制尚未明确,以非干酪样坏死性上皮细胞肉芽肿为病理特征的系统性疾病,可以累及多系统、多器官,如肺脏、淋巴结、心脏、肝脏、皮肤、眼睛、神经、骨骼肌肉、胃肠道、血液、肾脏等,以肺及胸内淋巴结最易受累。结节病肺外器官受累以皮肤最常见,可出现冻疮样皮疹、皮肤结节、结节红斑等;其次为眼部受累,可见于30%~60%结节病患者,其中以双侧肉芽肿性葡萄膜炎最为常见[3]。美国的一项345例结节病的研究显示:诊断为葡萄膜炎的平均年龄为56.5岁,平均随访时间为6.7年;其中,前葡萄膜炎是最常见的类型(71%),其余依次为中葡萄膜炎(21%)、后葡萄膜炎(7%)和全葡萄膜炎(7%)[4]。Tripipitsiriwat等[5]调查了亚洲人群结节病的临床特征,发现结节性葡萄膜炎是最常见的胸外疾病(39%),且以女性患者为主。2017年的一项美国与中国的结节病患者的临床特征分析显示,在美国结节病患者中,眼睛是最常见的受累器官之一,肉芽肿性疾病可能引起眼睛和附件结构内的炎症,葡萄膜炎是眼部结节病最常见的表现(32%);而在中国结节病患者中只有6%出现葡萄膜炎[6]。欧洲一项2163名白种人结节病的多中心队列研究显,急性发病的患者主要是女性,且女性患者的眼睛和皮肤受累的频率明显较高[7]。另外,约旦一项150例结节病研究显示,与男性患者相比,女性患者患病率更高(75%),胸外受累(包括皮肤受累)更为多(75%) [8]。
本例患者以眼部症状为首发表现的结节病,出现眼部症状1个月余,在寻找病因时,肺部CT提示诊断可能为结节病,询问相关病史及详细查体发现皮肤结节,经皮肤活检、病理检查确诊结节病。而皮肤结节病通常是肺外结节病的最初表现,超过30%的结节病是孤立的皮肤病;80%的结节病患者,在诊断前或诊断时皮肤表现突出。认识到结节病的皮肤表现同样非常重要,可能是疾病的首发表现,且皮肤受累容易获得活检组织,根据组织学检查中是否存在特征性结节性肉芽肿可确诊结节病[9]。在确诊过程中,印证了诊断结节病的金标准为病理学检查,而皮肤、外周淋巴结和肺是结节病常见的活检部位;眼内组织活检风险较高,所以一般不考虑进行[10]。北京同仁医院的一项研究显示,6例患者因眼部症状就诊,均通过接受支气管镜下黏膜活检或淋巴结针吸活检确诊为结节病[3],由此可见,以眼部症状为起病主要表现的结节病,在诊断及鉴别诊断方面存在一定的困难,寻找可行活检和病理检查的病变部位,可能对确诊有重要意义。
结节病的治疗需根据疾病是否影响患者的生存或器官功能而定。目前,系统性糖皮质激素治疗仍是肺内及肺外结节病的首选治疗方式,可联合使用免疫抑制剂,包括甲氨蝶呤、硫唑嘌呤、吗替麦考酚酯等[2]。结节病葡萄膜炎中,约45%患者会发展至失明,需要积极治疗:首选局部糖皮质激素治疗;当局部治疗效果不佳,或累及眼眶、泪腺及视神经时,应给予系统性糖皮质激素治疗[11]。台湾一项364例眼结节病研究显示,得到适当的治疗和并发症管理的患者,眼部症状的恢复很好[12]。一项对眼科医生的调查显示,18%眼结节病患者预后良好,47%预后尚可;而且大多数专家认为,患者的预后取决于开始治疗时的视力[13]。本例患者给予激素治疗,有明显疗效。
结节病患者的临床表现异质性很大,目前诊断结节病需结合临床表现、影像学表现和病理检查结果等进行综合判断,诊断和鉴别诊断过程较为复杂。当临床疑诊结节病时,即使没有呼吸道症状,也应进行胸部影像学检查。对累及重要脏器的结节病患者,争取做到早诊断、早治疗,用药规范,以最大程度改善患者预后[14]。
所有作者均声明本研究不存在利益冲突





















