
患者,男性,88岁,脐右腹痛7 h。无恶心、呕吐,有少量排气,未排便,无发热、畏寒、寒战。
生命体征平稳。全腹软,脐右压痛,无反跳痛及肌紧张。腹部叩诊鼓音,移动性浊音(-)。肠鸣音3次/min。
腹部增强CT:急性小肠缺血;肠系膜上动脉狭窄(近闭塞);肝门静脉积气(HPVG)。
急诊行肠系膜上动脉支架植入术,术后予抗血小板、抗凝、抗生素、禁食水、肠外营养、补液等保守治疗,持续监测生命体征、腹部症状。
术后6小时HPVG消失,1周后恢复饮食,2周后CT肠道管壁水肿消失、顺利出院,术后1个月随访预后良好。
急诊外科;血管外科;胃肠外科;介入科;肝胆外科
版权归中华医学会所有。本文为遵循CC-BY-NC-ND协议的开放获取文章。
肝门静脉积气(Hepatic Portal Venous Gas, HPVG)是指由各种原因所导致的肝内门静脉主干及其属支内气体积聚[1]。HPVG可见于肠道缺血性疾病、肠道高压性疾病、腹腔感染性疾病、医源性操作导致的急腹症患者,发生机制为肠黏膜损伤后肠腔胀气或产气细菌经肠系膜静脉进入门静脉系统[2]。1955年Wolfe等[3]、1960年Susman等[4]分别在婴幼儿与成人病例中首次报道HPVG。1978年,Liebman等首次对HPVG相关报道进行回顾分析,64例患者总体病死率为75%,因此HPVG也被称为"死神之征"[5]。随着超声与CT的普及,在一部分症状较轻、生命体征平稳的患者中HPVG检出率增加。2021年,石合现等对中文文献中HPVG相关报道进行检索分析,52例患者总病死率31%,与近期英文文献中的HPVG总体死亡率29%~39%相仿[6]。肠缺血是HPVG的主要病因(约占70%~80%),肠缺血耐受的时间约为12 h,肠管缺血量小于50%时可通过肠系膜动脉扩张调节,如显著缺血时长超过30 min肠系膜动脉将出现不可逆收缩,肠系膜血管完全栓塞时,6 h即可出现不可逆的肠道坏死,特别是在老年人中,死亡率为75%~90%,因而肠系膜缺血被认为是HPVG的急腹症手术探查指征[7]。本文报道1例高龄急腹症患者,诊断肠系膜上动脉重度狭窄合并HPVG,确诊后6 h急诊行肠系膜上动脉球囊扩张成形及支架植入术,后续经肠道保守治疗症状缓解、HPVG消失。探讨急诊腔内介入手术恢复肠道血运在出现肠缺血(但尚未肠管坏死)合并HPVG的急腹症患者治疗中的临床价值。
患者,男性,88岁,因"腹痛7 h"急诊就诊。患者7 h前无明显诱因出现脐周腹痛,右侧为著,无恶心、呕吐,有少量排气,未排便,无发热、畏寒、寒战。既往高血压、高脂血症、冠脉搭桥术后。查体:体温36.2℃,脉搏80次/分钟,呼吸14次/分钟,血压135/72 mmHg(1 mmHg=0.133 kPa)。全腹软,脐右压痛,无反跳痛及肌紧张。Murphy征(-)。肝脾肋下未触及,肝肾区叩痛(-)。腹部叩诊鼓音,移动性浊音(-)。肠鸣音3次/分。
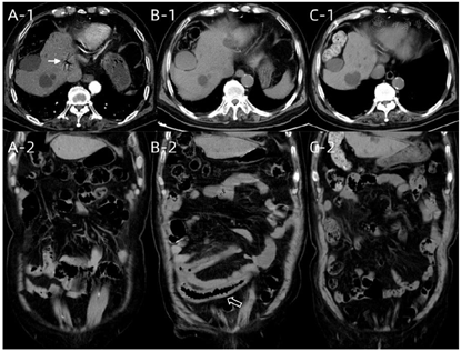
化验检查:CRP 1.04 mg/L,WBC 6.62×109/L,NEU% 77.7%↑,D-dimer 2.41 mg/L FEU↑,K 3.87 mmol/L,Na 138.5 mmol/L。急诊腹部增强CT(图1A):部分小肠管壁略增厚,周围脂肪间隙略显浑浊,增强扫描动脉期肠管管壁强化程度略低于周围肠管;区域肠系膜静脉血管内可见少许气体密度影;肠系膜上静脉及肝内门脉部分小分支内可见气体密度影。肠系膜上动脉管腔呈重度狭窄。诊断:急性小肠缺血;肠系膜上动脉狭窄(近闭塞);肝门静脉积气;冠脉搭桥术后;高血压3级;高脂血症。考虑肠系膜上动脉血栓栓塞可能性大,急诊收入血管外科,予依诺肝素钠3000 IU皮下注射抗凝、前列地尔及罂粟碱静脉点滴扩血管治疗。


确诊后6 h,急诊行肠系膜上动脉球囊扩张成形及支架植入术(图2):局麻下右侧股动脉入路,高压造影、超选择造影见肠系膜上动脉起始部位重度狭窄接近闭塞;肠系膜上动脉起始段球囊预扩张成形(4~60mm EverCross Medtronic,美国),造影复查见残余狭窄90%,遂行自膨支架植入(6~60mm Everflex Medtronic,美国),造影复查见支架局部打开不满意、明显切迹、残余狭窄70%,遂行球囊后扩张成形(5~60mm EverCross Medtronic,美国),造影复查见残余狭窄20%;手术结束,时长2 h,患者全程配合可,返回普通病房。患者术后依诺肝素钠3000 IU q12h皮下注射抗凝联合阿司匹林100 mg qd口服抗血小板,头孢曲松1 g q12h静脉点滴抗感染,禁食水,肠外营养支持,监测生命体征及腹部症状。术后第1天体温(38℃)及血WBC(12.44×109/L)、CRP(104.28 mg/L)升高,第2天体温开始稳定(36~37℃)、血WBC下降至正常值范围、血CRP持续下降。术后第1天右下腹压痛较前加重,无肌紧张,胃肠外科会诊暂不考虑肠管坏死、继续保守治疗,第2天右下腹压痛减轻,第3天无压痛、反跳痛,出现排便,全过程始终有排气。术后第7天停用抗生素、循序恢复饮食。


肠系膜动脉慢性病变因血栓形成或栓塞出现急性加重可引起肠缺血、肠坏死,如合并HPVG,往往需要急诊手术治疗。2021年,彭志民报道1例肠系膜血管血栓栓塞合并HPVG的69岁病例,黄华平等报道1例肠系膜上动脉狭窄合并HPVG的82岁病例,均急诊剖腹探查行坏死肠管切除术,术后1周内渐进恢复饮食,术后2周顺利出院[8,9];张志勇等[10]报道1例脑栓塞后短期内并发肠系膜上动脉栓塞合并肝门静脉积气的81岁房颤患者,ICU重症患者无手术治疗条件,诊断3小时后意识丧失、呼吸循环障碍,1 d后患者死亡。王芳菲等统计2000年1月至2020年7月Pubmed网站所有英文文献,发现22个国家和地区的412例HPVG急腹症患者:总体死亡率28.6%,行手术治疗185例,死亡率31.4%,行保守治疗227例,死亡率26.4%,两者差异无统计学意义(P=0.272);明确记录有肠坏死的患者105例,肠坏死合并HPVG患者的死亡率44.8%,行手术治疗78例,死亡率38.5%,行保守治疗27例,死亡率63.0%,两者差异具有统计学意义(P=0.027):即HPVG急腹症患者保守治疗与手术治疗死亡率差异无统计学意义,肠坏死合并HPVG的急腹症患者行保守治疗的预后明显差于手术治疗[1]。对于血WBC升高明显、肌紧张等腹膜刺激征显著、CT提示肠壁显著增厚、腹腔积液等提示肠坏死可能性大的HPVG合并急性肠系膜缺血患者建议急诊开腹或腹腔镜探查明确诊断[7]。
随着CT及超声的普及,HPVG在症状较轻、生命体征平稳的急腹症患者中诊出增加,一部分患者应用禁食水、胃肠减压、静脉营养支持、抗生素等保守治疗后也获得了较好预后。Seike等[11]报道1例由于严重营养不良、低蛋白血症出现非闭塞性肠系膜缺血的73岁患者,腹部触诊无肌紧张、血WBC正常,补充白蛋白等保守治疗20 h后HPVG消失。Zorzetti等[12]报道1例一过性肠系膜缺血的87岁房颤患者,腹部体征不明显、血WBC正常,抗凝、抗炎等保守治疗3 d后HPVG消失,2周后远段回肠肠壁水肿消失。对于腹膜炎症状不明显的HPVG急腹症患者,如肠坏死证据不明确,可尝试保守治疗,需动态监测肠缺血情况。
本例急腹症患者考虑肠系膜上动脉狭窄基础上的急性肠缺血发作,CT发现HPVG。患者高龄、基础疾病多,12 h内就诊,腹膜刺激征不明显,入院血WBC不高,腹部CT见肠系膜上动脉重度狭窄,但肠管尚无肠坏死影像表现,无开腹探查强烈指征,因而选择肠系膜上动脉起始段球囊扩张成行及支架植入术。术后予抗血小板、抗凝、抗生素、禁食水、肠外营养、补液等对症治疗,患者生命体征平稳、腹部体征较轻、术后6 hCT见HPVG消失、全麻下行腹部手术风险大,虽在术后一过性腹痛加重、体温及血WBC升高,胃肠外科指导下继续保守治疗,持续监测生命体征、腹部症状。患者1周后恢复饮食,2周后CT肠道管壁水肿消失,顺利出院,术后1个月随访预后良好。患者肠系膜上动脉起始段重度狭窄接近闭塞,斑块钙化明显,自膨支架释放后仍有90%残余狭窄,需要后扩张成形,如未能及时治疗该处病变、恢复肠道血运,中断肠缺血向肠坏死发展的病程进展,肠坏死将不可避免,患者后续治疗复杂性及死亡风险将显著增加。对于肠系膜动脉狭窄及闭塞病变引起的急性肠道缺血合并HPVG患者,时机选择十分重要,应尽快恢复肠系膜动脉血运,微创腔内介入治疗是有效手段,可有效改善肠缺血、避免进展为肠坏死及后续肠管切除手术,可为肠道保守治疗创造条件。
HPVG是提示肠黏膜破坏的显著征象,可通过超声及CT发现。合并肠坏死的HPVG患者病死率极高,需引起临床医师警惕,及时果断急诊手术处理。对于肠系膜上动脉病变引起的肠缺血患者,如能及时恢复血运,即便已出现HPVG,也能给患者带来益处。
所有作者均声明本文不存在利益冲突





















