
患者,女性,46岁。主因高处坠落伤致四肢运动、感觉障碍,二便功能障碍6个月就诊于本院发热门诊,6个月前因高处坠落伤就诊于北京解放军总医院诊断:颈6、7椎体骨折半脱位、四肢瘫,胸4、6椎体骨折,闭合性胸部外伤,胸腔积液,行内固定手术治疗,术后给予气管切开、呼吸机辅助通气及对症支持治疗。
术后间断发热,给予抗感染治疗4个月后撤机,患者仍间断发热,持续应用抗感染治疗。于2022年6月11日转至本院发热门诊,患者存在四肢功能障碍、二便障碍,气管切开状态,持续发热,经本院新冠专家组会诊排除新冠收入本科。
入院后患者持续高热,完善相关检查诊断:重症肺炎脓毒症MODS(呼吸、血液),转至ICU给予呼吸机辅助呼吸及纠正DIC治疗,期间,患者因血小板下降,出现脑出血(出血量70~75 ml),神经外科建议保守治疗。
给予脱水降颅压及缓解脑血管痉挛药物治疗,感染及DIC纠正后撤机,存在功能障碍,转入康复科行功能训练。
经综合评定,患者高位脊髓损伤合并大面积脑出血,临床病情复杂,功能障碍较重,经过科学有效的康复管理,患者功能及临床病情得到快速恢复。出院时可经口进食,可独立坐轮椅,起立床可完成90°站立,运动耐力及上肢肌力都得到明显改善。该病例提示我们在针对神经重症患者进行科学有效的康复管理,能帮助患者快速恢复,提高重症患者的生活质量。
康复医学科;神经科
版权归中华医学会所有。本文为遵循CC-BY-NC-ND协议的开放获取文章。
神经重症康复是一个超早期介入的综合康复治疗体系,在早期康复理念基础上,进一步突出"神经重症"康复特点,在充分评估患者病情,有效控制原发病及并发症,保证医疗安全前提下,尽早选用适宜的康复技术进行康复治疗,从而达到减少并发症,激发康复潜能,促进快速康复,尽早回归家庭和社会[1]。
患者,女性,46岁。主因外伤致四肢感觉运动障碍、二便障碍6个月于我院发热门诊就诊,患者6个月前因高处坠落伤致四肢运动、感觉障碍,二便功能障碍,无意识障碍,于北京解放军总医院诊断:颈6、7椎体骨折半脱位、四肢瘫,胸4、6椎体骨折,闭合性胸部外伤,胸腔积液,行内固定手术治疗,术后给予气管切开、呼吸机辅助通气及对症支持治疗。术后间断发热,给予抗感染治疗4个月后撤机,患者仍间断发热,持续应用抗感染治疗。于2022年6月11日转至我院发热门诊,患者存在四肢功能障碍、二便障碍,气管切开状态,持续发热,经我院新冠专家组会诊排除新冠2022年6月13日收入我科发热留观病房。
2022年6月16日因重症肺炎,脓毒症,MODS(呼吸、DIC)转入ICU给予呼吸机辅助呼吸及纠正DIC、抗感染治疗,患者于2022年6月20日突发抽搐,完善相关检查提示脑出血,神经外科建议保守治疗,给予缓解脱水降颅压治疗及缓解脑血管痉挛治疗。现将诊疗过程总结如下表:

诊疗过程总结
诊疗过程总结
| 2022年6月13日 | 发热留观病房 | 入院,因CRP、PCT升高,WBC降低考虑存在感染,给予头孢哌酮舒巴坦钠抗感染治疗 |
| 2022年6月14日 | 康复科病房 | 因感染指标持续升高,出现电解质紊乱,升级抗生素为美罗培南抗感染治疗。 |
| 2022年6月15日 | 血液科会诊 | 因感染发热、血小板逐渐下降及凝血异常警惕DIC,予以输血浆及冷沉淀、维生素K1治疗。 |
| 2022年6月15日 | 重症医学科、感染科会诊 | 考虑感染加重,建议加强抗感染治疗覆盖球菌,联合万古霉素抗感染治疗 |
| 2022年6月16日 | 多学科会诊(重症医学科、呼吸科、临床药物部、感染科、血液科、营养科、耳鼻喉科) | 因患者一侧肺部呼吸音减低,完善相关检查考虑重症肺炎脓毒症MODS(呼吸、DIC),转入ICU继续治疗。 |
| 2022年6月16日 | 耳鼻喉 | 因入ICU后气管切开处气管切开处渗血较多,自口腔及鼻腔可见持续有血性液流出,予喉镜检查及油纱填塞及跟踪随诊切口情况。 |
| 2022年6月17日 | 呼吸科 | 为明确有无支气管瘘行电子支气管镜检查除外该诊断。 |
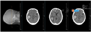
| 2022年6月20日 | 神经外科 | 因抽搐完善头颅CT提示脑出血(出血量70-75ml)因凝血障碍,存在手术禁忌,给予脱水降颅压及缓解脑血管痉挛治疗。 |
| 2022年8月10日 | 耳鼻喉 | 支气管镜下评估吞咽功能,发现声门下息肉,行息肉切除 |
患者于2022年7月5日完善相关检查,患者氧和指数294,氧和功能可,给予撤机,患者体温波动在36.3~38.0℃,炎症指标正常,考虑患者体温调节障碍,2022年7月7日停抗生素,转回康复科继续行功能训练。评估患者临床病情,患者目前情况:1.重症肺炎脓毒症MODS(呼吸、血液);2.脊髓损伤(C6 ASIA A级)四肢瘫神经源性膀胱神经源性直肠;3.颈6、7椎体骨折半脱位,胸4、6椎体骨折;4.气管切开状态;5.脑出血;6.颅脑损伤认知障碍;7.低蛋白血症;8.贫血;9.胸腔积液;10.电解质紊乱-低钾血症、低钠血症、低钙血症,评估患者功能障碍,四肢瘫,认知及吞咽/呼吸功能障碍,同时患者长期卧床,需要做好并发症的管理。鉴于患者临床病情复杂,功能障碍较重,依据中国神经重症专家共识对神经重症患者的管理要求进行管理,同时采取多学科合作的工作模式,患者的功能障碍得到快速恢复,减少了长期卧床并发症的发生,达到了我们预设的康复目标。
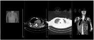
经过2周的康复,患者的肺部感染得到控制,头颅出血明显吸收,下肢静脉血栓、压疮、肌肉萎缩等卧床并发症的发生率为0。可见,科学有效的管理措施促进功能恢复及减少并发症方面具有明显优势(图1,图2,图3,图4)。








1.重症肺炎 脓毒症MODS(呼吸、血液);2.脊髓损伤(C6 ASIA A级)四肢瘫,神经源性膀胱,神经源性直肠;3.颈6、7椎体骨折半脱位,胸4、6椎体骨折;4.气管切开状态;5.脑出血;6.颅脑损伤,认知障碍;7.低蛋白血症;8.贫血;9.胸腔积液;10.电解质紊乱-低钾血症、低钠血症、低钙血症;11.左侧大腿肌间血肿;12.导管相关性尿路感染;13.消化道出血;14.声门下增生肉芽。
本例患者的鉴别诊断主要是寻找感染源的鉴别诊断,患者入院时肺部CT未见明显感染灶,但患者术后持续发热,入院时发热除外肺部、泌尿系、肠道感染、导管感染相关检查均不支持,综合临床检查及相关科室会诊意见考虑植入物感染可能性大,后续患者感染进展,出现左侧肺不张,致使肺部感染加重。
本例患者是一例高位脊髓损伤合并进行性加重的脓毒症患者,既往外伤手术史明确,合并颅脑损伤,患者临床病情危重,因为重症感染引起呼吸及凝血功能障碍,导致继发全身多部位出血及渗血,包括气管切开处渗血、肌间血肿、脑出血(出血量70~75ml,已达到手术指征),同时长期卧床及疾病消耗,存在低蛋白血症、贫血、电解质紊乱、尿路感染、应激性溃疡,经多学科积极会诊协助及ICU生命支持治疗,患者临床病情得到控制,患者存在四肢瘫、神经源性膀胱、神经源性直肠、吞咽障碍、认知障碍、呼吸功能障碍,功能障碍诊断明确,同时患者长期卧床,营养支持及压疮、静脉血栓等并发症问题也得到密切关注。
针对重症感染,在予以抗生素治疗的基础上积极纠正低蛋白血症、贫血、凝血障碍,辅以呼吸机辅助通气,针对脑出血脱水降颅压及缓解脑血管痉挛治疗,针对气管切开渗血及肌间血肿,给予积极对症治疗。针对功能障碍管理,第一,四肢功能障碍,给予患者尽早离床,床旁关节被动活动,神经肌肉电刺激治疗及运动治疗;第二,患者二便功能障碍,评估患者病情,目前拔出尿管困难,给予定时排便、规律饮水,为膀胱功能训练做准备;第三,患者脑出血合并颅脑损伤,存在认知障碍,主要通过对症药物控制患者的谵妄及躁动状态,对患者进行心理情绪疏导,使患者尽量配合治疗;第四,对于吞咽障碍,完善评估,患者吞咽后有残留,气道保护机制差,给予针对性地进行口腔感觉刺激技术、用力吞咽法、交互吞咽及咳嗽训练法、膈肌电刺激等技术同时辅以摄食训练进行训练;第五;患者高位脊髓损伤呼吸肌受累,气管切开,拔管困难,尽早给予呼吸肌电刺激及手法辅助呼吸肌训练包括腹式呼吸气道廓清、深呼吸训练、胸廓扩张训练等,辅助排痰,呼吸道湿滑,痰液引流等措施进行呼吸道管理,并定期更换气管套管,复查患者呼吸道情况;第六,针对长期卧床并发症管理,首先针对营养情况,请营养科会诊,指导患者营养供给,定期评估营养情况、皮肤情况,其次,对于预防下肢静脉血栓情况,每周复查下肢静脉彩超,除被动肢体活动,给予气压治疗6 h一次,预防下肢血栓。再次,对于肌骨的管理,肌痉挛、肌腱挛缩、骨关节僵直畸形及骨化性肌炎的评估和防治。
患者由ICU转入我科康复评定:依据脊髓损伤神经学分类国际标准:1.四肢瘫,感觉检查:最低正常感觉平面位于C6。轻触觉于C7减退,T3以下消失,针刺觉于C6减退,T3以下消失。骶尾部感觉消失。关键肌检查:肱二头肌4/4(右侧/左侧),腕伸肌2/2,肱三头肌2/2,指深屈肌0/0,小指外展肌0/0,屈髋肌0/0,股四头肌0/0,胫前肌0/0,足拇长伸肌0/0,踝指屈肌0/0。2.二便障碍:大便失禁,留置尿管,无自主排尿,肛周指压觉消失,针刺觉消失。3.ASIA评定:完全性脊髓损伤,神经平面:C6(依据入院时神经平面的评估)。4.Barthel指数评分:0分。5.Berg平衡:0分。6.患者认知障碍,存在妄想、谵语、情绪焦躁,沟通欠配合。7.吞咽障碍认知期及咽期存在障碍,咽期有食物残留,气道保护机制差。8.呼吸肌力弱,膈肌运动幅度小,咳嗽咳痰无力。出院康复评定:1.四肢瘫,感觉检查:最低正常感觉平面位于C6。轻触觉于C7减退,T3以下消失,针刺觉于C6减退,T3以下消失。骶尾部感觉消失。关键肌检查:肱二头肌5/5(右侧/左侧),腕伸肌3/3,肱三头肌3/3,指深屈肌0/0,小指外展肌0/0,屈髋肌0/0,股四头肌0/0,胫前肌0/0,足拇长伸肌0/0,踝指屈肌0/0。2.二便障碍:大便失禁,留置尿管,无自主排尿,肛周指压觉消失,针刺觉消失。3.ASIA评定:完全性脊髓损伤,神经平面:C6。4.Barthel指数评分:25分。5.Berg平衡:4分。6.患者认知障碍,妄想、谵语改善,仍有情绪焦躁,可正常沟通。7.吞咽障碍可经口进食,无食物残留,但存在反流。8.呼吸肌力改善,间断堵管24 h无喘憋,指脉氧正常。因声门下息肉术后,耳鼻喉科建议继续留置气管切口,复查息肉复发情况,膈肌运动幅度增加,咳嗽咳痰有利。因患者家属考虑长期照料问题,暂不同意行间歇导尿、膀胱功能训练。患者于2022年8月15日从康复科出院,患者坐立位平衡改善,可乘坐轮椅,下级医院继续治疗,定期随访患者,患者转回当地医院后1周再次出血、发热及呼吸困难,继续应用抗生素。
临床对急危重症患者的抢救成功率呈上升趋势,神经重症康复逐渐成为关注的热点,急性脑血管病、重型颅脑损伤、脊髓损伤患者在急性期由于意识障碍、呼吸道防御能力下降,吞咽反射显著减弱或消失,而导致分泌物不能及时排出致呼吸道阻塞,加重感染,不利于患者康复,通过对神经重症患者实施综合康复治疗有利于降低患者出现交叉感染,改善其预后[2]。
神经重症患者常合并感染为易感染人群,而且常合并多重耐药菌,对于感染的早期识别及积极救治是开展神经重症康复团队的新挑战,重症感染常导致高凝、消耗状态,出现血小板下降,严重者甚至会出现脑出血,本例患者因小板下降出现脑出血,进而出现意识障碍,影响呼吸道分泌物排出,呼吸道防御能力下降,加重感染,造成多种菌感染、耐药菌感染,病情危重。通过有效的抗感染治疗,多学科协作,在此基础积极地给予呼吸肌训练,辅助排痰,呼吸道湿滑,痰液引流等康复治疗,使患者感染得到控制,呼吸功能恢复,可自主呼吸,自主排痰。因此,康复治疗对神经重症患者合并呼吸道感染至关重要。
对于神经重症的功能障碍管理,中国神经重症专家共识给出意见[3],主要包括运动、循环、呼吸、吞咽、二便、肌骨、人工气道、皮肤的管理,依据共识要求,我们分别依据上述要求对患者上述功能障碍进行管理。对于在各方面功能障碍管理中出现的各种问题,给予积极救治,值得一提的是,患者长期留置人工气道,出现严症息肉,阻塞气道,需要我们在对重症神经康复患者进行康复训练过程中需严密监测患者呼吸情况及指脉氧情况,对于早期气道息肉的识别至关重要。同时,对于患者排大便情况,要给予密切关注,患者在转入后一段时间内,定期复查血红蛋白较前有所下降,找不到明确出血及消耗状态下,我们把注意力放在大便上,患者多次便常规隐血及转铁蛋白阳性,患者目前情况不能行消化道内镜检查。分析病因,第一,患者在重症感染过程、脑出血、血小板下降这些因素影响下发生应激性溃疡的可能性大,但患者胃管内未见咖色引出物质流出。第二,患者长期卧床,发生直肠及肛门痔疮导致出血的可能下也较大。第三,患者口服铁剂,大便颜色受影响不易察觉,同时铁剂发生肠道刺激的可能性也较大。第四,患者大量应用抗生素[4],菌群失调引起肠道感染也不能除外。这些,也是我们在诊疗本例患者未能解释的问题。
患者颅脑外伤合并大面积脑出血,存在严重的认知问题,表现为精神行为异常,按照神经重症康复中国专家共识[5]对于该表现的分型,属于谵妄躁动型,给予喹硫平、艾司唑仑、盐酸帕罗西汀进行对症控制,使得患者能够配合治疗。
总结本例患者的治疗经验,我们依据共识要求进行科学管理,但不是每例患者都能顺利执行医嘱,遵照诊疗原则及患者及家属的知情理解,可取之处是我们进行及时而科学准确的评估,对于功能障碍的分期、分型精确把握,给予更为精准的功能干预,同时对于并发症的管理更为重视,使得在院63天时间里,对于完全性脊髓损伤合并大面积脑出血的神经重症患者的压疮、静脉血栓的发生率为0,患者的营养状况也明显改善,由ICU转出后评估营养情况,患者近半年余体重下降20kg,营养评估:重度营养不良伴消瘦。出院时,患者体重较前增加5kg。当然因为患者凝血情况的限制,患者仍有未明确的诊断,包括消化道出血原因,因为患者认知障碍及家属意愿,患者间歇导尿未如期进行,在此期间,患者因为尿管突然堵塞引起一过性发热,好在及时发现及诊疗,感染得到及时控制。患者在出院时可经口进食,但患者存在反流,已加用抑酸药物,患者支气管镜下吞咽功能完全恢复,因近期气管息肉切除术,反酸明显,建议择期下级医院拔胃管,可独立坐轮椅,起立床可完成90°站立,运动耐力及上肢肌力都得到明显改善。
所有作者均声明本研究不存在利益冲突





















