
患者,女性,33岁。主因间断咳嗽咳痰20余年,于2012年首次就诊于我院,结合胸部CT、鼻窦CT及临床病史,影像诊断考虑"Kartagener综合征",由于患者拒绝基因检测,一直未证实诊断,住院期间对症治疗后好转出院,后每半年于我院复查一次,2018年因鼻窦炎、鼻中隔偏曲引起"头痛"行鼻中隔偏曲矫正手术。近来完善基因学检查,确诊为"Kartagener综合征"。此次因咳嗽咳痰加重半个月收治入院。
患者咳嗽咳痰30余年,加重半个月余,伴鼻塞,偶有胸闷症状,双肺可闻及湿罗音,无发热、皮疹,食欲、精神尚可;睡眠欠佳。
鼻窦CT、胸部CT及相关基因学检查综合确诊为Kartagener综合征。3天前于我院门诊复诊,行胸部CT病变较前加重。
患者入院后完善各项相关检查,给予抗感染、祛痰等综合治疗,患者咳嗽、咳痰、气短明显好转。
出院后持续随访,患者恢复尚可,无不适。
影像科;呼吸科
版权归中华医学会所有。本文为遵循CC-BY-NC-ND协议的开放获取文章。
原发性纤毛运动障碍(Primary ciliary dyskinesia, PCDS)主要表现为纤毛结构缺陷所致的纤毛运动异常,主要表现为纤毛结构缺陷所致的纤毛运动异常[1]。PCDS包括纤毛不动综合征、Kartagener综合征、纤毛运动不良和原发性纤毛定向障碍等几种类型。Kartagener综合征(Kartagenersyndrome, KS)是PCDS中最严重的一种。KS发生率低,通常以病例报道形式表现,本文报道1例KS综合征的影像表现,旨在提高对本病认识和诊断,及早发现并诊断KS,再采取针对性治疗,有助于预防并发症及疾病转归。
患者,女性,33岁。自幼间断性出现咳嗽咳痰症状,2012年因咳嗽加重,咳黄绿色痰首次就诊,伴前胸部针刺样疼痛,以劳累、情绪激动后加重,伴鼻塞,结合胸部CT、鼻窦CT及临床病史,影像诊断考虑"Kartagener综合征",期间予以维持治疗,持续随访,效果良好。近来完善基因学检查,确诊为"Kartagener综合征"。2018年行鼻中隔偏曲矫正手术。患者父母属近亲结婚,弟弟肺心病已故。患者否认肝炎、结核等传染病病史,否认冶游史、手术史、输血史。
⒈肺脏专科检查:双肺呼吸音增粗,可闻及湿性啰音。
⒉心脏检查:视触叩听提示右位心,心尖搏动正常;心前区无异常隆起,无心包摩擦音、无震颤、无抬举性搏动。
⒊肺功能检查:①弥散功能轻度下降;②肺总量、残气量正常,残总比增高。呼吸总组抗、总气道阻力、中心气道阻力正常,周边弹性阻力增高,共振频率增高。中重度混合性肺通气功能障碍。支气管舒张实验阳性。
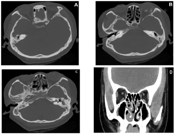
(1)鼻窦CT检查:双侧额窦未见发育,双侧蝶窦窦腔较小,双侧上颌窦、筛窦及蝶窦黏膜增厚,窦壁骨质未见异常改变;双侧鼻腔黏膜增厚,右侧中、下鼻甲肥厚,鼻中隔轻度向左偏曲。双侧乳突气化不良,双侧中耳鼓室及乳突窦见黏膜增厚影及积液影(图1)。


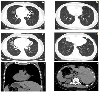
(2)胸部CT检查:双肺支气管管壁增厚,管腔呈囊状或柱状扩张,沿支气管束周围可见多发小斑片及小结节影,局部呈"树芽征"改变。心脏各房室及大血管位置完全反转,所扫范围内上腹部内脏反位(图2)。


(3)外院全外显子组测序:测序结果提示在支气管扩张伴或不伴汗氯增高1型、遗传性胰腺炎、先天性输精管缺如、囊性纤维化、新生儿高胰蛋白酶血症、先天性输精管缺如相关的CFTR基因上检出与受检者表型部分相关的个疑似致病变异。在原发性纤毛运动功能障碍13型相关的DNAAF1基因、原发性纤毛运动功能障碍3型相关的DNAH5基因上分别检出与受检者部分相关1个意义未明变异。
⑴肺囊性纤维化:囊性纤维化是一种由位于7号染色体上的囊性纤维化跨膜传导调节因子(CFTR)基因突变导致多系统受累的疾病。其中进行性肺部病变是患者发生并发症和死亡的主要原因,国内外部分研究[2]证明表现为支气管扩张、支气管壁增厚、粘液栓、囊变或肺脓肿、肺大疱、空气潴留、肺不张或肺实变等表现;其中支气管壁增厚,支气管扩张及粘液栓相对多见,以两肺上叶多见,两肺未见明显差异。同时具有心肺功能不全,胰酶缺乏,消化不良,生长弛缓等症状[3]。
⑵Young综合征:Young综合征是1970年Young首次对该综合征进行了描述,是一种以反复发生的鼻窦及肺部感染并双侧附攀渐进性梗阻所致的无精子症为特征的男性不育症[4],是一种常染色体隐性遗传病,患者的纤毛超微结构正常,且无内脏反位表现,可与KS相鉴别。
⑶Williams-Campbell综合征:Williams-Campbell Syndrome(WCS)综合征是一种罕见的先天性综合征,其特征是亚段支气管软骨缺损,导致远端呼吸道塌陷和支气管扩张[5],吸气时支气管过度扩张,易发生感染,最终导致普遍支气管扩张,常伴有身材矮小,胸廓畸形[6],其CT特征性表现为支气管吸气膨胀、呼气塌陷。
患者入院后积极完善相关化验检查,给予口服头孢呋辛钠[1.5 g×2(片),2次/d]及左氧氟沙星[0. 4 g×4(片),1次/d]抗感染治疗,并联合乙酰半胱氨酸溶液[600 mg×1(支),2次/d]化痰治疗后好转。
出院时患者咳嗽、咳痰、气短好转,患者一般情况尚可,精神、睡眠好,余无不适主诉。出院后1个月后门诊复查,同时定期随访胸部CT与血常规(间隔6个月),治疗效果尚可。
Kartagener综合征又叫做原发性纤毛不动综合征,是一种罕见的常染色体隐形遗传病,近年来有报道伴X性染色体遗传的病例报道[7],该疾病在1933年由Kartagener[8]首次提出,并以其姓名命名,该病临床表现为内脏反位、支气管扩张及鼻窦炎三联征,根据有无鼻窦炎,将其分为完全型和非完全型。Kartagener综合征临床发病率低[9],发病率约1/68 000,近亲结婚发病率高,临床症状表现早期无特异性,后期可因支气管扩张咯血、呼吸衰竭及其他合并症而死亡。
Kartagener综合征发病机制目前主要是纤毛运动障碍为主,可发生于鼻窦、呼吸道等,部分可发生于输卵管及精子等生殖系统,使精子运动障碍、卵子排除障碍,导致患者有不孕、不育、异位妊娠等症状[10,11]。内脏转位可能与纤毛运动异常的关系,有部分学者认为胎儿时期纤毛在身体各器官正常右旋中起一定作用;在胚胎发育早期,由于纤毛运动的障碍,使胎儿器官排列时出现内脏旋转不良,部分患者可合并大动脉转位等先天性心脏畸形[12]。支气管扩张和鼻窦炎是由于纤毛结构和功能异常,使得支气管及鼻腔的分泌物及细菌无法排出,积聚于管腔内,反复感染以及炎症刺激导致支气管管壁增厚、管腔扩张,进而发展为支气管炎、鼻窦炎等[13]。耳蜗毛细胞上纤毛功能异常会导致的传导性耳聋,是该病罕见的临床表现[11]。
影像检查是Kartagener综合征重要的检查手段。胸部CT可明确表现支气管扩张及内脏反位。肺部CT征象通常表现为支气管壁增厚、扩张,管腔内可见粘液栓或痰栓形成,以柱状或囊柱状多见,可见"印戒征""轨道征""蜂窝征""棒状""水滴"等各种征象,大部分分布于双下肺,支气管扩张程度通常与肺功能、年龄有关[14],陈小琴[15]等研究表明发病年龄越早,病史越长的患者的肺部CT表现的慢性支气管扩张导致的肺组织损伤越严重,甚至导致肺间质纤维化,临床症状也越典型。近年来有多项研究指出,弥漫性泛细支气管炎(Diffuse panbronchiolits, DPB)可能是Kartagener综合征的特征表现之一,其在影像学上表现为两肺多发小结节、线样影及树芽征。
胸部扫描还可以看到明确存在全内脏反位:主要表现为患者右位心、纵隔内血管转位、腹部脏器肝脾胃镜面转位。鼻窦或头颅CT可以明确诊断副鼻窦炎及了解窦鼻骨质结构。可观察鼻窦黏膜增厚及密度增高影,鼻腔内息肉、鼻窦窦壁骨质增生或邻近骨质变薄等征象。部分患者可看到中耳炎表现。
Kartagener综合征发病率低,发病年龄多在6个月~34岁,存在一定家族遗传倾向,近亲结婚可使发病率升高[16]。本例患者无家族性疾病病史,但为近亲结婚,可能是该患者患病的高危因素。本病是常染色体隐性遗传疾病,基因检测能帮助早期诊断PCDS。近年来,陆续公布了32个已知基因证实与Kartagener综合征有关,其中, DNAH5和DNAI1是最常见的突变基因,它们编码外动力臂的结构蛋白,突变可导致外动力臂缺失[17]。基因DNAAF1突变可导致内外动力臂均缺失。本例患者通过基因检测,发现DNAAF1基因、DNAH5基因上均有基因变异,与既往研究相符。
总之,Kartagener综合征确诊并无困难,患者通常由于支气管病变前来就诊,在临床工作中,我们要及时完善相关检查,同时根据患者遗传背景及典型的临床特征及影像学表现对疾病作出诊断,提高对该疾病的认识,从而早期诊断、早期治疗,提高患者生存率。
所有作者均声明本研究不存在利益冲突





















