
患者,女性,58岁,右眼视力下降伴眼前黑影飘动半个月。
右眼裸眼视力0.5,矫正无提高,结膜充血,角膜KP(++),前房深、清,瞳孔圆,直径约3 mm,对光反射灵敏,晶体轻度混浊,玻璃体混浊、可见细胞,眼底颞上血管弓处见一黄白色绒球样病灶,邻近血管白鞘。
经眼内液及血清实验室检测确诊:右眼眼弓形虫病。
经激素、复方新诺明和螺旋霉素治疗后视力好转,炎症反应消失。
最佳矫正视力恢复至1.0,眼部体征示右眼炎症反应消失,眼底病灶较前缩小,病灶前见增殖膜,后极部网膜皱褶。
眼科;感染科
版权归中华医学会所有。本文为遵循CC-BY-NC-ND协议的开放获取文章。
眼弓形虫病(ocular toxoplasmosis,OT)是欧美国家感染性后葡萄膜炎的主要原因[1],我国该病在正常人群的感染率低于10%[2]。该病是由刚地弓形虫感染引起的以单侧坏死性视网膜脉络膜炎为典型特征的疾病,可分为先天性和获得性。获得性弓形虫眼病主要表现为局灶性视网膜脉络膜炎症病灶,常伴有玻璃体炎和前葡萄膜炎[3],易与其他类型葡萄膜炎混淆,临床上常被漏诊、误诊,可引起部分患者严重、不可逆性视功能损害。现报道1例获得性眼弓形体病,旨在提高对本病的认识,减少误诊和漏诊。
患者,女性,58岁,因"右眼视力下降伴眼前黑影飘动半个月"于温州医科大学附属眼视光医院眼底内科就诊。自诉近1~2年有与邻居的家养猫接触史。
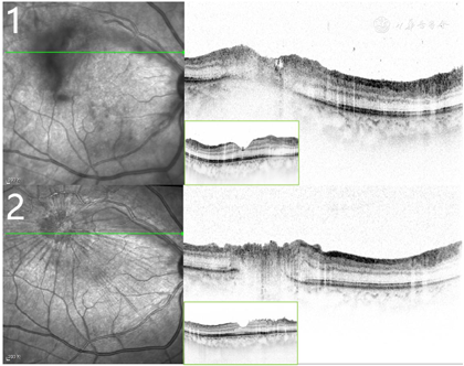
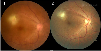
右眼裸眼视力0.5,矫正无提高;左眼裸眼视力1.0;右眼眼压18.2 mmHg,左眼眼压13.5 mmHg。双眼第一眼位正位,各方向运动无受限,右眼结膜充血,角膜KP(++),前房深、房水清,瞳孔圆,直径约3 mm,直间接对光反射存,晶体轻度混浊,玻璃体混浊,见细胞(+),眼底视盘界清,色淡红,C/D约0.3,颞上血管弓处见一黄白色绒球样病灶,位于视网膜下,邻近血管白鞘,后极部视网膜平伏;左眼结膜无充血,角膜透明,前房深、房水清,瞳孔圆,直径约3mm,直间接对光反射存在,晶体轻度混浊,玻璃体絮状混浊,眼底视盘界清,色淡红,C/D约0.3,黄斑中心凹反光未见,后极部视网膜平伏。眼底彩照示:右眼黄斑颞上方可见黄白色病灶(图1),光学相干断层扫描(optical coherence tomography,OCT)示病灶处视网膜内层结构破坏,下方脉络膜局限性增厚(图2)。荧光抗体(Fluorescent Antibody,FA)示病灶处早期呈低荧光,晚期渗漏(图3)。吲哚菁绿血管造影(indocyanine green angiography,ICGA)示病灶处始终呈低荧光(图3)。FA及ICGA晚期中周部和周边部网膜均可见广泛的点片状低荧光病灶(图3)。






血清弓形虫-IgM抗体阳性(正常范围阴性),血清弓形虫-IgG抗体弱阳性(正常范围阴性);眼内液弓形虫DNA 0拷贝/ml;眼内液弓形虫IgG抗体56.74 IU/ml↑(正常范围<4);血清总IgG 4680 IU/ml;弓形虫Goldmann-Witmer系数24.07↑(正常范围0~2)。
右眼眼弓形虫病,双眼年龄相关性白内障。
细菌性眼内炎、真菌性眼内炎、梅毒性葡萄膜炎、结核性葡萄膜炎、巨细胞病毒视网膜炎、急性视网膜坏死及眼弓蛔虫病。
口服复方新诺明2次/d,每次480 mg,螺旋霉素4次/d,每次0.5 g。甲强龙20 mg右眼球旁注射2次。
OT是由刚地弓形虫感染引起的以单侧坏死性视网膜脉络膜炎为典型特征的疾病。随着我国社会经济的发展、食品的富足、民俗多元化和饮食方式的多样化、宠物猫的饲养,加之国际互联互通和人口的频繁流动,弓形虫患病率显著上升。随着检测手段的升级,血清弓形虫抗体检出率也随着增加。从1983—2018年患病率从5.16%上升至8.20%[4]。感染后,成人的主诉主要为飞蚊症[5],眼部的典型表现为,伴有色素增殖的视网膜瘢痕边缘的局部坏死性肉芽肿性视网膜脉络膜炎-边缘模糊的灰白色视网膜坏死渗出病灶,邻近的脉络膜炎、视网膜血管炎、出血和玻璃体炎。随着炎症消退,病灶形成边缘清、隆起,中央灰白色,伴有色素增生和脉络膜萎缩[6]。少数患者可出现点状外层视网膜病灶、视神经视网膜炎、视网膜血管炎以及巩膜炎等[3]。OT的并发症还包括慢性虹膜睫状体炎、白内障、继发性青光眼、带状角膜病变、黄斑囊样水肿、视网膜脱离以及继发于视神经受累的视神经萎缩、脉络膜新生血管等,可对视力造成严重损害[6]。
临床上,获得性OT以玻璃体炎伴坏死性视网膜脉络膜炎为主,易误诊。本例患者眼底表现为黄斑颞上方黄白色绒球样病灶,需考虑与如细菌性及真菌性眼内炎、梅毒性葡萄膜炎、结核性葡萄膜炎、巨细胞病毒视网膜炎、急性视网膜坏死、眼弓蛔虫病等均可表现为坏死性视网膜脉络膜炎的疾病相鉴别,如细菌性及真菌性眼内炎起初也可表现眼底脉络膜白色病变,并迅速进展累及视网膜和玻璃体,OT进展相较而言更缓慢;梅毒性葡萄膜炎可有大片视网膜坏死,结核性葡萄膜炎可出现脉络膜视网膜疤痕,对于缺乏潜在感染的免疫学证据、缺乏特征性表现的情况,鉴别往往依赖于侵入性检测;急性视网膜坏死表现为广泛的视网膜周边白色坏死灶,而OT主要表现为局限性视网膜坏死;巨细胞病毒视网膜炎可有局限性脉络膜视网膜病变,但玻璃体炎症往往较轻,多表现为后极部视网膜坏死灶伴出血;眼弓蛔虫病也可表现为眼底白色坏死病灶,且与OT两者均常单侧发病,但眼弓蛔虫病常有典型的眼底肉芽肿性病变[7]。OT的诊断主要依据临床表现推定,但其临床表现的多样性以及与其他感染性、非感染性和肿瘤性疾病特征的重叠使得其诊断仍较为困难。OT是一种自限性疾病,部分OT即使用不适当的治疗也能恢复,由此,许多不典型的OT表现可能没有被正确诊断,且OT仍可引起部分患者严重、不可逆性视功能损害。因此,结合相关病史、影像学检查以及实验室检测确定诊断显得尤为重要[8]。首先,本例患者有明确的家养猫接触史。其次,该患者眼底的黄白色活动性病灶在OCT上呈现OT病灶典型的视网膜内层异常高反射以及视网膜全层反射紊乱(涂抹效应)[9],眼底血管造影检查也符合视网膜脉络膜炎的表现。此外,随着实验室检测技术的进步,通过检测眼内液和血清中弓形虫IgG与总IgG,计算出Goldmann-Witmer系数(goldmann-witmer coeifficient,GWC)已被认为是确诊OT诊断的金标准[10]。GWC>4可确诊OT,2~4提示OT可能。联合分析房水和血清的抗弓形体抗体水平和寄生DNA可以在90%诊断特异性的基础上,实现60%~70%的诊断敏感性[11]。本病例患者眼内液弓形虫IgG抗体56.74 IU/ml,血清总IgG 4680 IU/ml,弓形虫GWC>4,达到临床确诊标准。
在免疫功能正常的个体中,OT性视网膜脉络膜炎通常会在1~2个月内消退[12]。但以下患者推荐进行治疗:①有视力下降;②病变位于颞侧血管弓内或邻近视盘;③1+级以上的玻璃体混浊;④病灶直径>2 PD。乙胺嘧啶(25~50 mg,每天1~2次)、磺胺嘧啶(1 g,每天口服4次)和全身性皮质类固醇(通常为泼尼松)的联合应用是眼弓形虫病的"传统三联治疗"[13]。乙胺嘧啶可抑制二氢叶酸还原酶,磺胺嘧啶是对氨基苯甲酸的竞争性拮抗剂[5]。但乙胺嘧啶可能引起胃肠道和皮肤病学副作用,以及白细胞减少症和血小板减少症。在Rothova等[14]的研究中,接受三联疗法治疗的患者中有26%因并发症而停止治疗。由此,有研究者以甲氧苄啶-磺胺甲恶唑进行替代,并认为该药物是磺胺嘧啶和乙胺嘧啶治疗眼弓形虫病的安全有效替代品[15,16],甲氧苄啶-磺胺甲噁唑还具有预防复发性眼弓形虫病的作用[17,18]。抗生素和皮质类固醇可以减少急性眼内感染症状的持续时间和严重程度,抗生素还可以通过减少视网膜脉络膜瘢痕的大小降低永久性视力损害的风险和复发风险[19]。本例患者使用甲氧苄啶-磺胺甲噁唑2次/d,每次480 mg,联合螺旋霉素4次/d,每次0.5 g,开始服药当天及服药10 d后右眼球旁注射甲泼尼龙20 mg各一次,口服药疗程为6周。用药10天后患者眼底病灶趋于稳定,用药4周后患者诉精神疲软,复查血常规及肝肾功能、电解质未见异常。随访至10周时,患者诉精神状态好转,眼底病情未见复发。
有研究集中于玻璃体内注射克林霉素和地塞米松作为局部治疗选择。这种给药方法将高浓度的治疗剂输送到玻璃体腔和视网膜中,其优势包括增加患者便利性、改善全身副作用、增加药物可用性以及更少的随访和血液学评估[20,21]。但OT是一种具有局部临床表现的全身性疾病,即使在没有活动性眼部疾病的情况下,也经常在血液中检测到弓形虫DNA[22],而玻璃体内治疗干预并不能防止对侧眼出现症状。因此,眼OT的治疗仍存在争议。
综上所述,OT是人类最严重的眼内感染之一,其关键在于早期确诊、早期展开治疗。随着实验室检测手段及眼科影像学的发展,疾病早期确诊率极大提高,患者可以得到及时、有效的治疗。本例患者诊断思路清晰、诊断证据充足,治疗及时,视力预后较好,效果满意。
所有作者均声明本研究不存在利益冲突






















