
患者,女性,84岁。因"反复胸痛1周,持续加重8 h"于2021年8月17日急诊收治入院。既往无高血压、糖尿病病史。入院查体:血压105/56 mmHg(1 mmHg=0.133 kPa),神清,气略促,对答切题,颈静脉无怒张,双肺呼吸音粗可闻及较多的湿啰音,心率112次/分,律齐,各瓣膜区未闻及病理性杂音,腹平软,肝脾肋下未及,双下肢轻度浮肿;急诊心电图示:急性广泛前壁心肌梗死;胸部CT提示双侧间质性肺水肿可能;实验室检查:肝、肾功能、电解质正常,肌钙蛋白T 4.26 ng/ml,肌酸激酶同工酶188.93 ng/ml, D二聚体1.36 mg/L,PRO-BNP:>35000 ng/L。根据患者病史、心电图及心肌酶学明确诊断为急性ST抬高型心肌梗死,予以嚼服负荷量波立维及阿司匹林、经右桡动脉入路行急诊再灌注治疗;冠脉造影示:前降支次全闭塞,远端TIMI血流0级,于前降支近端植入3.0 mm×18 mm Firebird支架一枚后安返CCU,血压112/82 mmHg,心率112次/min,氧饱和度99%,予以心电及血流动力学监测,阿司匹林、替格瑞洛抗血小板聚集,他汀调脂、稳定斑块,扩管利尿改善心功能等治疗。
术后3 h患者突发血压下降为60/40 mmHg,四肢湿冷,窦性心动过速,心率130次/min。
急诊床边心超提示心包积液进行性增多,考虑急性心包填塞可能,立即行心包穿刺,引流出暗红色不凝血,考虑心脏破裂可能。
予以心包置管留置引流出血性液体300 ml,患者血压回复至119/49 mmHg,心率95次/min。急请心外会诊考虑心脏破裂可能、急性心包填塞,与家属充分沟通后转心外科急诊手术,术中见心尖呈花斑样改变、黑色血凝块附着,清除后可见左室心尖部多处散点状破裂出血,予以自身心包修补。
术后9 d顺利出院,规律随访至今。
急诊内科;心血管内科;心外科
版权归中华医学会所有。本文为遵循CC-BY-NC-ND协议的开放获取文章。
心脏破裂是急性心肌梗死(acute myocardial infarction,AMI)的严重并发症之一。虽然在近20年内,心脏破裂的发生率呈明显下降趋势,然而一旦发生,患者的死亡率依然很高,在直接经皮冠状动脉介入治疗(primary percutaneous coronary intervention,pPCI)时代,心脏破裂仍然是心肌梗死(myocardial infarction,MI)患者近期死亡的重要原因之一。心脏破裂的发生率从在溶栓前和溶栓前期间为7%~10%,而在pPCI期间为1%[1,2],而心脏游离壁破裂(FWR)的死亡率高达50%以上[3],因此,心脏破裂亦成为现代心脏病学面临的重要挑战之一。我们报道1例84岁超高龄的急性心肌梗死合并左室游离壁破裂老年女性通过心内外科联合治疗得到成功救治,旨在提高对急性心梗并发症尤其心脏破裂的早期识别,并体现现代医学的多学科联动配合可提高抢救成功率。
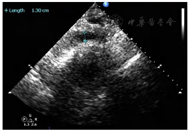
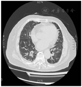
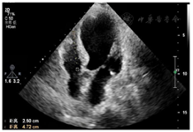
患者,女性,84岁,因"反复胸痛1周,持续加重8 h"于2021年8月17日急诊收治入院。既往无高血压、糖尿病病史。入院查体:血压105/56 mmHg(1 mmHg=0.133 kPa),神清,气略促,对答切题,颈软,颈静脉无怒张,双肺呼吸音粗可闻及较多的湿啰音,心率112次/min,律齐,各瓣膜区未闻及病理性杂音,腹平软,无压痛,反跳痛,肝脾肋下未及。双下肢轻度浮肿,四肢肌力正常,病理征(-);急诊心电图示:急性广泛前壁心肌梗死(图1);胸部CT提示双侧间质性肺水肿可能(图2);实验室检查:肌钙蛋白T:3.13 μg/L,肌酸激酶同工酶:188.93 μg/L,D二聚体:1.36 mg/L。根据患者病史、心电图及心肌酶学明确诊断为急性ST抬高型心肌梗死,予以术前嚼服负荷量绿色通道行急诊再灌注治疗,冠脉造影示:前降支次全闭塞,远端TIMI血流0级,回旋支近端40%~50%局限性狭窄,TIMI血流3级,右冠起源左冠窦,无狭窄,TIMI血流3级,于前降支近端植入3.0 mm×18 mm Firebird 2支架一枚(附件冠脉造影+PCI图3、视频1)后安返CCU。继续予以心电及血流动力学监测,动态监测心电图及酶学改变,阿司匹林、替格瑞洛抗血小板聚集,他汀调脂、稳定斑块,扩管利尿改善心功能等治疗。3 h后患者突发血压下降为60/40 mmHg,四肢湿冷,动脉搏动弱,意识尚清,指末氧饱和度95%,心电监测提示窦性心动过速,心率130次/min。立即予以平衡液扩容,多巴胺+去甲肾上腺素提升血压,留置颈内静脉置管监测CVP,股动脉置管监测有创动脉压。床旁心超提示微量心包积液,右房室内径偏小(37 mm×18 mm,40 mm×22 mm),左室壁多壁段运动异常,EF35%(图4),床位医师考虑容量不足,继续补液扩容及血管活性药物升压,但患者血压仍未见回升;再次复查心超提示心包积液较前明显增多,未见室壁不连续及异常血流信号,考虑心包填塞(图5),立即行心超定位剑突下心包穿刺,引流出暗红色不凝血,予以心包置管留置引流出血性液体300 ml,患者血压恢复至119/49 mmHg,心率95次/min,再次复查心超示左室心尖处见几束细丝状异常血流信号局限于纤维膜状回声内,考虑左室心尖破裂伴假性室壁瘤可能性大(图6)












诊断:冠心病,急性ST抬高型前壁心肌梗死,PCI术后心功能Ⅲ级(Killip分级);左心室破裂,急性心包填塞,心脏修补术后。
诊断依据:
1.病史:持续胸痛加重8 h;2.心电图:STV1-5弓背向上抬高0.2~0.5 mV,V2-5可见病理性Q波;3.心肌酶学肌钙蛋白升高数百倍
根据以上3条可以明确诊断为急性ST抬高型前壁心肌梗死,患者冠脉造影亦证实本诊断成立。患者查体无休克征象,入院血压105/56 mmHg,双肺较多湿罗音,胸部CT提示双侧间质性肺水肿可能,故按Killip分级为Ⅲ级。
术后患者突发血压下降为60/40 mmHg、四肢厥冷,床边心超提示心包积液进行性增加,心包穿刺及引流为暗红色不凝血300ml后,血压恢复正常,故急性心包填塞诊断明确;术中发现左室心尖部游离壁黑色血凝块附着,清除血凝块后多处散点状破裂出血,证实为心脏游离壁破裂(视频2)。
鉴别诊断:
患者急性心梗诊断明确,表现为PCI术后血压下降、心超提示心包积液,要考虑以下因素:
急性支架内血栓:患者无胸闷、胸痛发作,心电图无再次相应导联ST-T抬高等动态改变,故临床不支持急性支架内血栓形成。
冠脉穿孔或破裂:复读冠脉造影影像,术中未见导丝穿出及造影剂滞留或外渗,最后一帧冠脉造影影像未见心包积液,故不支持介入术中操作导致的急性心包填塞并发症。
梗死后综合征:指的是急性心肌梗死后数日至数周出现以发热、心包炎、胸膜炎、肺炎等非特异性炎症为特征的综合征,并有反复发生的倾向。具体机制不明,可能与免疫因素、感染等有关,多发生在急性心肌梗死后2-4周出现;而本患者床边心超动态监测提示术后3小时内心包积液量进行性增加并出现心包压塞表现故可排除。
急性泵衰竭:患者入院时血压105/56 mmHg,双肺较多湿罗音,胸部CT提示双侧间质性肺水肿可能,故按Killip分级为Ⅲ级;患者PCI术后经短时间扩管利尿处理,患者气短胸闷明显好转,能平卧,查体两肺啰音较前显著减少且外周血氧监测氧饱和度持续在98%,即使血压下降时,氧饱和度保持在95%以上,两肺啰音未增加,故从临床上不支持急性前壁心梗导致急性泵衰竭。
容量不足及血管穿刺并发症:患者血压下降后第一次床边心超提示右室充盈减少,考虑容量不足可能,予以快速补液试验及血管活性药物升压,但患者血压仍未见回升;患者为桡动脉入路、非股动脉入路、穿刺处及上臂未见肿胀,术中送入鞘管顺利,术后无频繁呕吐等容量丢失,故结合病史及体检及影像学资料不支持。
迷走反射:患者无疼痛刺激、无剧烈呕吐、拔除或压迫鞘管等诱发迷走反射的诱因,且无迷走神经兴奋时心率下降血压下降的临床表现,故本病因不考虑。
1.患者为老年女性,持续胸痛8小时,心电图为急性ST抬高型广泛前壁心肌梗死,根据目前的指南有急诊再灌注治疗的指征,予以负荷量的波立维300mg+阿司匹林300mg嚼服后经绿色通道行急诊PCI治疗;术后予以双抗血小板、他汀调脂稳定斑块、扩管利尿改善心功能等治疗。
2.心超证实心包积液进行性增加,结合患者临床表现为突发血压下降、窦速、休克的表现,考虑急性心包压塞,有心包穿刺引流的指证,解除急性心包压塞同时也可明确心包积液的性质有助于诊断;经心包穿刺引流后,患者迅速血压回升,血流动力学稳定,并且心包积液为暗红色不凝血,高度提示心脏破裂,复查心超左室心尖处见几束细丝状异常血流信号,局限于纤维膜状回声内,考虑左室心尖破裂伴假性室壁瘤可能性大,根据病史及辅助检查诊断明确,请心外科会诊有急诊手术指征,心外科予以急诊开胸探查,术中见心尖呈花斑样改变,心尖黑色血凝块附着,可见多处散点状破裂出血,手术诊断为左心室破裂,予以自身心包补片5 cm×5 cm,填充速即纱、猪源生物胶修补,术后安返ICU进一步治疗。
患者术后当天拔除气管插管,术后5天转普通病房,术后第9天顺利出院。
出院前复查心超:左室壁破裂修补术后,左室壁节段性运动异常伴心尖部室壁瘤形成,EF34%,微量心包积液(图7)。


心外科门诊规律随访,出院后口服双抗血小板、倍他乐克缓释片、诺欣妥、螺内酯、立普妥治疗,随访迄今无胸闷胸痛发作,日常生活能自理,最近一次心超EF为48%。
GRACE注册研究共60918例ACS患者中心脏破裂的发生率为0.45%,其中STEMI患者发生率为0.9%,游离壁破裂发生率为0.2%[4]。而来自2013-2017年的美国住院患者样本库(NIS)数据库,对于412700例STEMI患者的机械并发症,游离壁破裂为0.17%[5]。国内调查数据显示,AMI后心脏破裂的发生率为2.12%,心脏破裂患者30天的死亡率为86%[6]。
传统的心脏破裂分型为Becker分型:Ⅰ型为缝隙样破裂、Ⅱ型为侵蚀样破裂、Ⅲ型伴随梗死心室壁的变薄和扩张。而目前最新的为2021年AHA提出的对于急性心梗后机械并发症的科学声明中指出按照破裂的部位来分可以分为四种类型:乳头肌断裂、假性室壁瘤、室间隔穿孔及游离壁破裂(FWR),而游离壁破裂的死亡率最高>50%[3]。心脏破裂发生有2个高峰期,MI后24 h内和MI后3 ~ 7 d,分别称为早发心脏破裂和迟发心脏破裂;研究显示,早发心脏破裂多为Becker分类的Ⅰ型和Ⅱ型,而迟发心脏破裂多为Ⅲ型,27%的心脏破裂为早发心脏破裂,而迟发心脏破裂约为26%,但在pPCI时代,由于迟发心脏破裂发生率的降低,早发心脏破裂的比例增高[7]来自2021日本8所大学附属医院的数据,56.3%AMI患者在24小时内发生心脏破裂[8]。其破裂的机制为血液的浸渍,再灌注的血流造成缺血区的组织撕裂、韧力下降、胶原降解以及机械应力。结合本病例心脏破裂也是在发病后24小时之内,第一个心脏破裂的高峰时间。也提醒我们在和家属病情沟通中应重视充分告知,避免不必要的医疗纠纷。
目前对心脏破裂危险因素的认知依然停留在30 - 50年前的水平,传统危险因素包括高龄、女性、高收缩压等;首次MI、前壁或心尖部梗死,透壁性MI,缺乏侧支循环,低体质指数、首次医疗接触时间大于20 h、心功能Ⅲ~Ⅳ级、未控制的高血压、从症状起始到再灌注治疗时间过长等;而本病例患者为84岁高龄瘦小老太,持续胸痛8小时就诊,前壁心梗、心功能Ⅲ级、造影显示无侧支循环、且PCI术后心电图提示胸导联ST段未回落到等电位线,均为心脏破裂的高危因素,对于此类患者,我们临床工作应加强警惕,CCU监护及心脏听诊尤为重要诊断。对于心脏破裂的诊断依赖于典型的临床表现和辅助检查:剧烈的、难以缓解的胸痛伴心电图ST-T改变,血流动力学紊乱,出现急性心包填塞和电机械分离,心包穿刺引流出血样积液有助于诊断;辅助检查:超声心动图对于游离壁破裂诊断的敏感性为93%,特异性为98%,其影像特征包括心包积液和室壁断裂。虽然CT和心脏磁共振成像有助于诊断心脏破裂,但患者的临床情况往往不容许这些复杂的影像检查。当临床表现高度怀疑时,心超往往可以帮助明确诊断,我们之前亦有一例PCI术后猝死的患者,床边心超明确心脏游离壁破裂、急性心包压塞导致死亡。在临床症状不显著时可随时床边动态监测心包积液量的变化,紧急状态下可帮助定位穿刺引流解除压塞,因此床边心超更为简单、方便,快捷、实用,但对我们一线临床医生要求更高:掌握心超的基本技能及基本操作尤为重要。
外科手术目前是FWR公认的有效治疗方法,其可以纠正血流动力学紊乱,但手术风险高,早期病死率高,尽管在器械辅助治疗包括主动脉球囊反搏(IABP)、体外膜肺氧合(ECMO)、Impella和左室辅助装置(LVAD)等帮助下;根据意大利一家单中心的报道,心脏破裂患者院内存活率约为66%,5年存活率约为53%[9]。FWR一旦发生,病情急剧恶化,多数患者数分钟即可迅速死亡而来不及救治,需要急诊手术,目前关于急诊心包穿刺引流术对FWR的治疗效果仍有待进一步观察。有学者认为尽管心包穿刺引流术可以纠正心包填塞症状,改善血压,但血压升高后会进一步加大室壁张力,使FWR进展,加速患者死亡[10]。2019年ESC的心梗后左室游离壁破裂的专家共识中指出一旦明确FWR建议外科手术治疗,如果血流动力学不稳定在机械辅助装置支持下紧急心外手术,并且强调了多学科团队(包括:心外、麻醉科、心内介入、ICU等)协作的重要性[11]。由于我院CCU、心内、心外在同一病区,故从心超发现心包积液到穿刺引流到心外会诊决策外科手术,心内、外团队均一起参与抢救,由于患者解除急性心脏压塞后血流动力学稳定故未用机械辅助装置,和家属沟通谈话签字同时通知手术室、麻醉科、血库准备,大大缩短了手术等待时间,也是该患者获得成功救治的一大因素。
本病例也是迄今为止国内外报道的年龄最大的心脏破裂患者抢救成功的病例,成功的关键取决于以下方面:1.破裂的类型为缝隙样破裂;2.快速识别心包填塞;3.及时心包穿刺引流解除急性心脏压塞4.快速的团队合作:心外、麻醉团队配合手术治疗;5.家属的充分理解及高度配合。
在现代的AMI治疗条件下,如何及时评估和预防AMI患者发生心脏破裂的危险性、更早正确识别心脏破裂高危患者以及建立成熟的抢救治疗团队是我们将来努力的方向。
本研究中的所有作者均声明本研究不存在利益冲突





















