
患者中年女性,因发现左侧乳腺包块于2017年就诊于本院。
体格检查显示,左侧乳头内陷,左侧乳腺内可及肿块,大小约9 cm×7 cm,质硬,不可移动。皮肤颜色温度正常。左侧腋窝可及肿大淋巴结,大小约2 cm×2 cm,质硬,活动度可。
病理活检提示,左侧乳腺非特殊类型浸润性导管癌(NST),腋窝淋巴结转移(cT4N1MO,IIIc期),免疫组化显示为腔面B型(ER 3+ 70%, PR 3+ 70%, HER2 1+, Ki67 35%)。
新辅助化疗疗效评估进展,更换方案后,疗效评估仍进展。手术后,病理报告提示为左侧乳腺癌(NST),腋窝淋巴结9/16转移(ypT2N2a,RCB Ⅲ级),组织学分级Ⅲ级8分,腔面B型。取原发灶组织行循环肿瘤DNA(ctDNA)检测,检出多种基因改变( PIK3CA p.N345K, EPHA3 p.K117N, RBM10 p.V729M, MAP2K4 p.P272 Lfs*4, TP53 p.C277Wfs*27, FGFR amplification 9copies, ERBB2 3.5 copies and BRCA1 3.6 copies),外周血检测FGFR、ERBB2和BRCA1拷贝数改变,变化趋势与组织相同,提示潜在转移可能。因此,行强化治疗,治疗后ctDNA检测结果同前。行内分泌治疗6个月余,病情进展,出现肝脏转移。肝脏组织病理特征与乳腺原发灶特征一致,肝脏转移灶及外周血ctDNA检测提示,基因突变特征与原发灶一致。行解救化疗,从一线治疗至后线治疗期间,数次ctDNA检测均显示,ctDNA改变早于影像学改变和血液学肿瘤指标改变。而且,在影像学检查难以判断疗效时,ctDNA检测帮助我们确认治疗方案。
最终,患者因病情加重离世。回顾病史及连续ctDNA检测结果,我们发现连续ctDNA监测,除了能够帮助判断转移灶的来源,推测可能的耐药机制及提供可能的治疗靶点以外,它对早期判断治疗疗效和预测病情进展有独特的价值。
肿瘤科;乳腺外科
版权归中华医学会所有。本文为遵循CC-BY-NC-ND协议的开放获取文章。
乳腺癌是一种严重威胁女性健康的疾病,病人死亡的主要原因是转移。晚期乳腺癌,如何尽早准确的进行疗效评价,并预测病情发展,及时更换治疗方案,是临床上棘手的难题。
循环肿瘤DNA(circulating tumor DNA,ctDNA)是肿瘤组织释放入血的DNA片段,大小约160~180bp,半衰期2 h,实时反应肿瘤组织的变化,具有灵敏度高、变化早的特点。本文中,我们报道1例接受了连续ctDNA检测的激素受体阳性晚期乳腺癌病例,她的治疗过程体现出ctDNA检测的优势。
患者中年女性,51岁,主因发现左侧乳腺包块1个月余于2017年12月入院。患者既往史、家族史无特殊,无其他手术史,未绝经。本文已征得患者家属知情同意(伦理批号:KY20212127-F-1)。
体格检查显示,左侧乳头内陷,左侧乳腺内可及肿块,大小约9 cm×7 cm,质硬,不可移动。皮肤颜色温度正常。左侧腋窝可及肿大淋巴结,大小约2 cm×2 cm,质硬,活动度可。
乳腺B超显示:左侧乳腺内可见6.1 cm×2.1 cm×3.4 cm实性结节,周围可见子灶,腋窝淋巴结肿大,皮髓质不清,大小约1.2 cm×1.0 cm。诊断:左侧乳腺包块乳腺癌?BI-RADS分级5级。乳腺磁共振检查结果类似。
穿刺病理活检结果显示:左侧乳腺浸润性癌(非特殊类型,Ⅱ级7分),左侧腋窝淋巴结内查见癌组织。免疫组化显示:ER 3+ 70%,PR 3+ 70%,Her2 1+,Ki67 35%,AR部分+。
其他检查,如腹部B超、头颅核磁共振检查、骨扫描、血液肿瘤标志物检查等均无异常。
诊断:左侧乳腺癌,左侧腋窝淋巴结转移,腔面B型,临床分期cT3N1M0 IIIc期。
参考CSCO乳腺癌诊治指南,于2018年1月及2月完成蒽环联合环磷酰胺(盐酸吡柔比星注射液90 mg环磷酰胺注射液0.9 g)2周期新辅助化疗治疗。使用乳腺B超进行疗效评估,结果显示肿瘤体积增大(5.8 cm×5.4 cm),按照RECIST1.1标准,新辅助疗效评价疾病进展(PD,progressive disease)。于2018年3月更换化疗方案,完成紫杉类药物联合铂类6周期治疗,前4周期疗效评价疾病缓解(PR,partial response),后2周期疗效评价PD。于2018年8月10日行左侧乳腺切除、左侧腋窝淋巴结清扫、左侧胸壁植皮术。术后病理结果:左侧乳腺浸润性癌,非特殊类型(Ⅲ级,8分),腋窝淋巴结(9/16)转移,皮肤切缘未查见癌组织。按日本乳腺癌协会新辅助疗效评价标准为Grade1a(轻微反应)。病理分期ypT2N2a。免疫组化显示:ER 2+弱着色40%,PR 2+强着色5%,Her2 1+,Ki67 35%,AR部分+。
术后取原发灶癌细胞做原代培养药敏实验,结果提示癌细胞对吉西他滨敏感。与患者知情同意后,于2018年10月12日进行了ctDNA检测(深圳海普洛斯公司,HapOnco实体瘤680基因检测Panel)。原发灶/血液检测提示:PIK3CA p.N345K突变(变异率46.41% /0),TP53 p.C277Wfs*27(变异率63.94% /0),FGFR1扩增(拷贝数9/2)等(图1)。我们推测,患者新辅助化疗阶段,疾病出现进展可能与以上基因突变有关。与患者及家属充分知情同意后,患者选择强化治疗。于2018年11月至2019年1月,行单药吉西他滨(1.6 g 2周方案)辅助强化治疗6周期。2019年2月起,接受胸壁及腋窝放疗治疗(50Gy 25F),同时进行辅助内分泌治疗(阿那曲唑5 mg 1/d)。


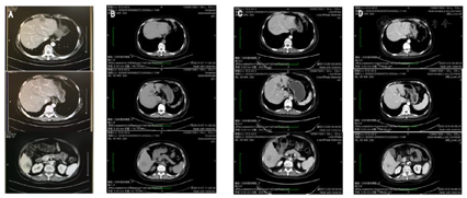
2019年8月6日,患者于内分泌治疗6个月时复查,腹部B超发现:肝内多发实性占位,较大一处3.2 cm×2.5 cm。肝脏CT检查结果一致(图2)。行穿刺病理活检(2019年8月20日)提示:肝脏查见异型细胞巢,形态结合病史符合乳腺癌肝转移。免疫组化提示:GATA-3(+),ER(1+,中等强度,15%),PR(1+,中等强度,50%),Her2(2+),Fish(-),Ki67(约30%)。于2019年9月14日复查肝脏转移灶/外周血ctDNA检测,提示基因突变特征与基线时一致(图1)。患者乳腺癌肝脏转移诊断明确。


参考CSCO乳腺癌诊治指南,我们推荐患者接受氟维斯群联合CDK4/6抑制剂治疗,但是患者表示经济困难,选择化疗治疗。2019年8月至2020年1月,患者接受了一线解救化疗(白蛋白结合紫杉醇200 mg单周方案)共14次,疗效评价PR。期间行肝脏CT检查,疗效评估SD(Stable Disease)。复查外周血ctDNA检测,PIK3CA等基因的变异率明显下降,疗效评估PR(图1,2019年10月20日,2019年11月29日)。因为疫情,患者1个月余未能继续治疗。2020年2月27日,复查肝脏CT检查时,提示肝脏转移灶增大,且左侧胸壁出现赘生物,局部破溃。临床评估为PD。2020年3月至8月,患者接受二线解救化疗(长春瑞滨50mg 2周方案联合盐酸安罗替尼12mg 3周方案)治疗,复查肝脏CT提示转移灶稳定(图2),复查外周血ctDNA检测,提示变异率下降,疗效评估为PR(图1,2020年4月11日,2020年7月20日)。2020年8月底,患者决定转至外院治疗,又经历了3线治疗,每次治疗的缓解期2~3个月。2021年6月2日,患者再次行外周血ctDNA检测,提示突变率又有所提高,提示病情可能再次进展(图1,2021年6月2日)。此时患者的肝脏CT检查提示病情稳定,且患者并无任何不适,外院医生参考主诉及影像学检查结果,讨论后建议维持原方案治疗。2021年8月11日,患者出现乏力、腹胀等症状,复查外周血ctDNA检查发现,变异率等指标明显升高,例如PIK3CA突变率达35.92%,TP53突变率达35.44%,接近肝脏转移灶组织的变异水平(图1,2021年8月11日),提示癌细胞生长迅速,病情爆发式进展。此时,患者病情急转直下,于8月18日去世。具体治疗过程可见图3。


2020年,全球乳腺癌发病率高达226万例,超越肺癌成为全球第一大癌种,死亡病例68万例,位居全瘤种中第五位。其中,晚期乳腺癌的五年生存率低至29%。如何能早期判断乳腺癌的转移复发及时治疗;在转移复发后,如何能早期准确地进行病情的预测和疗效的评价;寻找针对性的治疗方案等等,这是临床上亟待解决的难题。
循环肿瘤DNA检测,是一种新的检测方法。它的优点是时效性强、敏感度高、代表性也很好。有文献报道,对肿瘤组织和外周血的检测,二者的符合度良好[1],特别是晚期肿瘤中,特征性的基因突变能够在转移灶和血液中同时检出[2]。无论是早期还是晚期乳腺癌,TP53和PIK3CA突变最为常见[3],而且,这些新辅助治疗后,ctDNA的检出预示复发和预后不佳[4]。本例病例中,检出的突变基因主要是点突变、移码突变还有基因拷贝数目的改变,例如PIK3CA p.N345K,TP53 p.C277Wfs*27,FGFR1拷贝数扩增等。同时,当我们回顾本病例的ctDNA数据,手术后外周血的ctDNA检测(图1,2018年10月12日),尽管没有检出PIK3CA等基因的突变,但是FGFR1基因的扩增持续存在。此次检测6个月后患者出现肝脏转移,提示FGFR1扩增持续存在对疾病复发具有重要的预测意义。
一项纳入了30例病例的前瞻性研究发现,外周血中TP53和PIK3CA突变的水平与肿瘤负荷明确相关。连续的动态监测与影像学检查例如CT扫描的变化情况一致,而且,ctDNA的变化平均早于影像学改变5个月[5]。甚至还有报道发现,ctDNA的中位改变时间早于临床改变8.9个月到2年[6,7]。本例病例在2021年6月2日的ctDNA检测,PIK3CA、TP53等基因的变异率明显升高,变化早于影像学检查。这提示我们,晚期肿瘤病人,ctDNA的连续监测是十分必要的,同时,临床医生不能仅仅依赖患者症状和影像学检查结果,应该对ctDNA检测的结果----变异基因的水平变化保持敏感。
ctDNA检测除了预后预测、疗效评估的价值以外,还有提示治疗抵抗的可能机制。本病例患者,治疗期间持续PD,可能的机制与PIK3CA突变、FGFR1基因的扩增有关。据报道,FGFR1基因扩增多出现于激素受体阳性的乳腺癌中,且与预后不良有关[8]。体外实验显示,FGFR1基因扩增增强了FGF2的结合效果,并促进内分泌耐药[9],包括对CDK4/6抑制剂的抵抗[10]。文献报道,40%的激素受体阳性HER2阴性的晚期乳腺癌,携带了PIK3CA基因的突变,内分泌治疗效果差且预后不佳[11]。Solar-1研究证实,PIK3CA突变的激素受体阳性HER2阴性的晚期乳腺癌,接受了阿培利斯(Alpelisib)联合氟维斯群的治疗,中位PFS可达11个月,是对照组(氟维斯群治疗)的2倍[12]。本病例为激素受体阳性HER2阴性,在内分泌治疗6月后即出现肝脏转移,临床定义为原发性内分泌治疗耐药,这可能与PIK3CA突变和FGFR1基因扩增有关。本病例非常遗憾未能接受阿培利斯的治疗,但是,国内已有药厂开始PIK3CA抑制剂的临床试验(NCT 04707079;NCT 04355520),相信我们自主产权的国产新药即将进入临床应用阶段,未来必定使类似的病人获益。
在本例病例的治疗过程中,ctDNA检测预测了病情变化,对临床疗效评价敏感迅速优于影像学检查,还揭示了病情进展背后的可能机制,提供了潜在的靶向治疗的靶点,有非常积极的正面意义。然而,也存在遗憾之处。主要表现在ctDNA检测是一种新的检查手段,大部分临床医生对ctDNA检测的方法和意义都很陌生。例如,在患者转院治疗期间,外院的临床医生,对ctDNA检测缺乏了解,对连续检测的意义认识不足,9个月未行检测。而且,在检测结果已经出现明显变化的时候(图1,2021年6月2日),仍然依赖传统的影像学检查结果和患者的主观症状,没能更早地发现患者的病情改变,更换治疗方案,延长患者的生命。
总之,这个病例是一个早期乳腺癌进展到晚期乳腺癌的典型病例。虽然,这不是一个成功治愈的病例,但是一个勇于探索的病例,通过循环肿瘤DNA的连续检测,我们验证了既往文献报道的结论,证实了连续ctDNA检测能够帮助判断转移灶的来源,治疗疗效和预后,而且,这种变化往往早于传统的影像学检查之前。这提示,在临床工作中,类似的病例,在知情同意后,我们可以采用连续ctDNA检测的方法更早更准确地判断病情变化,从而有的放矢针对性地治疗,使患者生存获益。
所有作者均声明本研究不存在利益冲突





















