
患者女性,64岁,否认烟酒史,因"气短咳嗽2年余,左侧胸痛1年余"于2021年12月入院。
间断咳嗽、咳痰,少量白黏痰易咯,无咯血,左侧胁肋部阵发刺痛,可自行缓解,进食油腻食物腹胀,大便调,尿痛,眠差,药物助眠,近期体重无明显变化。听诊双肺呼吸音粗,未及明显干湿性啰音。
就诊时胸部CT平扫示左肺下叶霉菌球及气囊,肺间质纤维化,双肺多发小结节。结合气管镜肺泡灌洗液NGS及协和医院病理会诊明确诊断慢性肺曲霉病。
患者复查胸部CT示病灶较前缩小。
呼吸科;感染科
版权归中华医学会所有。本文为遵循CC-BY-NC-ND协议的开放获取文章。
肺曲霉病(pulmonary aspergillosis,PA)是由曲霉引起的相对常见的肺部真菌感染性疾病[1]。此病多发生于免疫抑制宿主,也可发生于无基础疾病的健康人。本例患者无免疫抑制相关疾病,无咯血,表现不典型,考虑占位性病变行手术切除,依据病理及NGS明确诊断烟曲霉感染。经伏立康唑治疗病情稳定,后于我院进行了局部注入药物(气管镜+经皮)及微波消融治疗后病灶缩小。检索既往案例报道,少有微波治疗患者。旨在为曲霉球患者提供可能的根治治疗的参考。
患者主因"气短咳嗽2年余,左侧胸痛1年余入院。"症状表现为间断咳嗽、咳痰,少量白黏痰易咯,无咯血,左侧胁肋部阵发刺痛,可自行缓解,进食油腻食物腹胀,大便调,尿痛,眠差,药物助眠,近期体重无明显变化。
患者2019年9月无明显诱因出现咳嗽,咯少量白粘痰,无咯血,无喘憋,无胸痛,未系统诊疗。2019年11月11日自觉咳嗽症状加重,就诊至西安市中医院,查胸部CT示:右肺上叶前段渗出实变病灶,左肺下叶基底段空洞形成。考虑不除外肺结核,转至西安市胸科医院就诊,完善支气管镜检查等相关检查,考虑活动性结核诊断证据不充分,予莫西沙星抗感染及对症治疗,后患者自觉症状略好转。治疗后复查胸部CT示:双肺阴影考虑渗出性病变可能,左肺下叶背段阴影合并曲霉菌感染不除外。后患者未进一步诊治。
2020年5月29日患者咳嗽症状加重,就诊于唐都医院胸外科,查胸部CT示左肺下叶基底段占位性病变,右肺上叶前段、后段及左肺上叶舌段,下叶后基底段,左侧叶间胸膜区散在小结节,双肺间质性改变。于2020年6月1日行经胸腔镜单操作孔左下肺楔形切除术。术后病理:(左肺下叶)肺组织慢性炎伴炎性渗出、坏死,纤维组织增生、炭沫沉积并支气管囊性扩展,局部查见少许真菌,间质内淋巴组织过度增生,部分淋巴细胞及浆细胞增生活跃。诊断"肺真菌球",并予伏立康唑及化痰等对症治疗后出院。出院后患者服用伏立康唑治疗,因转氨酶升高明显,服药1周后停药。后改服伊曲康唑0.2 g 2次/d。患者仍有间断咳嗽,无咯血,伴有左下侧胸部疼痛。2020年9月于唐都医院,查胸部CT提示左残肺术区高密度影较前未见明显变化,于左肺下叶基底段行超声支气管镜探查,给予灌洗及活检检查,病理示:"左肺内基底段"少许支气管黏膜慢性炎及肺组织伴纤维间质组织增生,灌洗液未见结核杆菌、真菌及病毒,NGS检测到副流感嗜血杆菌、流感嗜血杆菌、烟曲霉序列数增加,予伏立康唑0.2 g 1次/12 h联合莫西沙星治疗,出院后规律服用国产伊曲康唑0.2 g 2次/d,仍有咳嗽、胸痛,后患者因服用伊曲康唑出现腹部不适,于2020年11月改服伏立康唑治疗,后规律应用伏立康唑治疗。
2020年12月13日协和医院行病理会诊(左肺下叶):考虑为慢性支气管炎,支气管扩张,局灶内见少许曲霉菌团,不除外合并曲菌球。患者咳嗽、胸痛症状未见好转,为求进一步治疗收入我院东城院区,考虑既往伏立康唑抗真菌治疗较为规范,胸痛症状患者自觉改善不显著,联合局部治疗。分别于2021年12月30日、2022年1月6日、2022年1月17日、2022年1月25日行4次支气管镜检查及治疗,超声探查示左下叶前基底段外侧支异常低回声,局部予乙酰半胱氨酸(前2次3 mg,后2次6 mg)+生理盐水(20 ml)反复灌洗后,注射猪源纤维蛋白粘合剂+两性霉素B(前2次5 mg,后2次10 mg),术后咳嗽症状缓解出院。2022年3月11日于我院通州院区住院,于2022年3月21日行经皮穿刺注药(猪源纤维蛋白2.0 ml+两性霉素B 5 mg),复查即刻CT示气胸,予胸腔闭式引流。2022年3月23日行微波消融治疗,45 W消融3 min,复查CT示覆盖病灶,继续保留闭式引流,次日复查胸片无气胸,拔除引流管。
既往史:2009年行左额叶脑膜伽马刀治疗。2010年行"左额叶肿瘤切除术",术后病理示脑膜瘤。2016年因腰椎滑脱行手术治疗。2016年10月行甲状腺肿物切除术,术后病理示结节性甲状腺肿伴腺瘤形成(左),结节性甲状腺肿(右),优甲乐75ug qd激素替代治疗。2017年行肠镜下"肠息肉切除术"。曾诊断抑郁状态,具体描述不清,现盐酸舍曲林50 mg口服1次/n助眠。
家族史:否认相关遗传病史。
2020年6月1日经胸腔镜单操作孔左下肺楔形切除术。术后病理:(左肺下叶)肺组织慢性炎伴炎性渗出、坏死,纤维组织增生、炭沫沉积并支气管囊性扩展,局部查见少许真菌,间质内淋巴组织过度增生,部分淋巴细胞及浆细胞增生活跃。2020年12月13日协和医院行病理会诊(左肺下叶):考虑为慢性支气管炎,支气管扩张,局灶内见少许曲霉菌团,不除外合并曲菌球。
2020年9月于唐都医院,查胸部CT提示左残肺术区高密度影较前未见明显变化,于左肺下叶基底段行超声支气管镜探查,给予灌洗及活检检查,病理示:"左肺内基底段"少许支气管黏膜慢性炎及肺组织伴纤维间质组织增生,灌洗液未见结核杆菌、真菌及病毒,NGS检测到副流感嗜血杆菌、流感嗜血杆菌、烟曲霉序列数增加。
经胸腔镜手术术后病理、术后气管镜NGS检测,明确诊断肺曲霉病。结合我院入院时影像,新月征显著,经1年余伏立康唑规范口服抗真菌治疗,于我院就诊时病情稳定,明确为慢性肺曲霉病,表现为简单型曲霉球。


患者经2020年6月1日手术病理及协和医院病理会诊、2020年9月支气管镜肺泡灌洗液NGS明确诊断烟曲霉球。
2020年6月1日行经胸腔镜单操作孔左下肺楔形切除术(考虑占位性病变)。
术后注射用伏立康唑200 mg静脉滴注1次/12 h(第一个24 h剂量加倍),出院后改服伊曲康唑胶囊0.2 g 2次/d,因腹部不适于2020年11月改服伏立康唑片200 mg 2次/d至今。
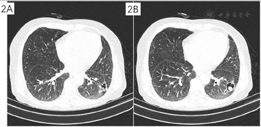
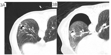
分别于2021年12月30日、2022年1月6日、2022年1月17日、2022年1月25日行4次支气管镜检查及治疗,超声探查示左下叶前基底段外侧支异常低回声,局部予乙酰半胱氨酸+生理盐水反复灌洗后,注射猪源纤维蛋白粘合剂+两性霉素B,术后咳嗽症状缓解出院。2022年3月11日于我院通州院区住院,3月12日胸部CT平扫(经支气管镜局部注药后复查),曲菌球较我院初诊缩小(图2)。于2022年3月21日行经皮穿刺注药(猪源纤维蛋白+两性霉素B),复查即刻CT示气胸,予胸腔闭式引流(图3)。2022年3月23日行微波消融治疗(图4),45 W消融3 min,复查CT示覆盖病灶,继续保留闭式引流,次日复查胸片无气胸,拔除引流管。






患者复查胸部CT示病灶较前缩小(图5)。


患者术前查CT考虑占位性病变,遂进行胸外科手术。经胸腔镜手术切除后,病理明确存在真菌。复查再次出现曲霉球。经规范抗真菌治疗,胸痛症状无法完全缓解,患者对长期口服抗真菌药物及其所致肝损害表示忧虑,强烈要求根治治疗。患者手术未根治,无咯血,非手术局部治疗可选择局部注入药物、放疗等。
此患者诊断明确,难点在于治疗策略的选择。常规的抗真菌内科治疗已使患者病情稳定,形成了纤维及肉芽组织包裹,但是手术治疗已非根治手段。此种情况下,患者多方求诊,有强烈的根治意愿。
为满足临床需求,我们团队结合既往治疗经验,系统检索文献,局部治疗方案选择通常如下[2]:局部注入药物、放射治疗、动脉栓塞、气管镜下钳除、射频消融等。考虑:
一、此患者无咯血,动脉栓塞为只针对咯血的治疗,无适应症。据相关文献报道[3],放疗对腔内真菌有杀灭作用,但是患者肺间质纤维化,放疗继发肺纤维化可能使得患者未来肺功能下降加剧,不予优先考虑。
二、气管镜下取出目标性较强,效率高,文献报道有数例患者随访9个月后病灶完全消失[4]。但易并发大咯血,且患者曲霉球靠外周,引流支气管径不足以进行操作。
三、腔内注药为可选择的局部治疗策略。根据我院情况,考虑患者经皮操作出血风险,予4次气管镜下治疗,超声定位后予注药,注药策略选择猪源纤维蛋白粘合剂+两性霉素B混合物。其中猪源纤维蛋白粘合剂的作用主要为降低出血风险并使得两性霉素B缓释。两性霉素B是多烯类抗真菌药,抗真菌谱广而强,但是静脉给药时,常用治疗量所达到的药物浓度对真菌仅有抑菌作用[5]。欧洲临床微生物学与感染病学会(ESCMID)与欧洲呼吸病学会(ERS)于2015年发布的《慢性肺曲霉病诊断与治疗指南》对于局部注药剂量和溶液浓度的相关规定进行了说明[6],相关临床报道显示将抗真菌药物注入肺部空洞性病灶来缓解曲霉病灶有很好的临床效果[7]。患者经4次支气管注药复查提示曲霉球较我院初诊有缩小,为加强局部治疗效果,予经皮穿刺注药,药物选择同前。充分告知大出血风险,经皮穿刺操作时备床边支气管镜应对可能的大出血。患者最终手术过程顺利。
四、曲霉菌属能在50℃生长,温度超过70℃时会死亡[8]。故热消融技术为可能的根治性治疗手段。目前仅有1例射频消融治疗肺曲菌球的报道[9],经术后2次穿刺活检均显示有曲霉菌丝,但培养阴性,且在33个月的随访过程中腔内空洞消失,显示为瘢痕样组织。但是热消融,包括射频消融及微波消融本身,均可能会引起空腔,空腔时肺曲菌球形成的危险因素[10,11,12,13]。目前消融技术应用于肺曲菌球治疗领域尚未有更充分的数据,未检索到微波消融治疗的案例报道。微波消融区域温度可控制在70℃以上,满足灭活曲霉菌的条件,理论上可选用。鉴于无既往经验可参照,空洞形成本身又是曲菌球形成的危险因素,故选用较为保守的参数,45W持续3min,病灶覆盖满意,目前消融术后随访近3月,提示病灶已明显缩小,无继发空洞形成。
本例患者诊断明确,进行了相对充分、规范的全身抗真菌治疗及局部治疗,病情获得缓解。局限性包括本例患者随访时间尚短,未取得病理组织进行培养证实霉菌灭活。还需要在后续随访中持续关注。
所有作者均声明本研究不存在利益冲突





















