
患者,女性,36岁。因"浮肿1个月,加重1周"入院。
患者无口干、眼干、会阴干燥,查体颜面及双下肢浮肿。
辅助检查提示蛋白尿、血尿,外周血三系下降,抗核抗体阳性,补体下降,符合"系统性红斑狼疮"诊断标准,但肾脏病理不支持"狼疮性肾炎",唇腺活检也不符合"干燥综合征",故临床考虑"未分化性结缔组织病",肾脏病理电镜超微结构发现肾小球基底膜增厚明显,内可见膜样和微管样结构,病理诊断支持足细胞内陷性肾小球病。
予羟氯喹片、泼尼松片及贝那普利片降压降尿蛋白对症治疗。
患者复查示尿蛋白下降。
肾内科;风湿免疫科
版权归中华医学会所有。本文为遵循CC-BY-NC-ND协议的开放获取文章。
足细胞内陷性肾小球病(podocytic infolding glomerulopathy,PIG)是一种新的疾病类型。目前尚未被纳入WHO肾小球疾病分类的范畴。其病理特点为增厚的基底膜上的特殊改变,包括:微粒、微管结构,以及足细胞折叠(或内陷)。该类临床病例的报道大部分来自日本,国内目前仅报道1例[1]。其病理机制尚未明确,可能与自身免疫性疾病存在关系,或者足细胞上特殊的补体活化有关。本文报道1例PIG合并未分化结缔组织病的病例。
患者,女性,36岁。因"浮肿1个月,加重1周。"于2016年9月8日入院。无关节疼痛,无皮疹,无口干、眼干,无口腔溃疡,无龋齿,无脱发,门诊测血压202/115 mmHg(1 mmHg=0.133 kPa),查"尿常规"提示"尿蛋白3+,尿红细胞+++","血生化提示血白蛋白35.5 g/L,血肌酐64 µmol/L,血尿素氮2.5 mmol/L",门诊拟"慢性肾小球肾炎、肾性高血压"收住入院。否认"肝炎"病史,否认静脉药瘾史,无有害毒物、重金属及放射性物质接触史,无过敏史。
血压154/97 mmHg,颜面浮肿,轻度贫血貌,全身皮肤无瘀点瘀斑,全身浅表淋巴结未触及肿大,腮腺无肿大,心肺听诊无殊,腹平软,无压痛及反跳痛,肝脾肋下未触及,双肾区无叩击痛,双下肢轻度凹陷性水肿,全身关节无红肿,全身无皮疹。
实验室检查:
尿常规:尿PH 6.5,比重1.021,尿蛋白+,尿红细胞镜检++/HP,非均一性,尿潜血++,尿白细胞++++
尿微量蛋白分析:尿微量白蛋白368 mg/L,尿a1微量球蛋白44.9 mg/L,尿转铁蛋白34.3 mg/L,尿免疫球蛋白IgG 94.1 mg/L,尿白蛋白/肌酐172.92 mg/g。
24小时蛋白尿定量0.26 g。
尿培养:培养无细菌生长,人型支原体阳性。
血常规:白细胞2.4×109/L,血红蛋白108 g/L,红细胞压积33.2%,血小板132×109/L,网织红细胞:1.11%,红细胞沉降率34 mm/h。
血生化:总蛋白80.1 g/L,白蛋白34.4 g/L,肾功能、电解质正常。
血清轻链Lam 1320 mg/dl,血清轻链Kap 2550 mg/dl。
输血前免疫:乙型肝炎表面抗体阳性,丙型肝炎抗体阳性,余指标阴性。丙肝病毒RNA检测<2.5E+2.
免疫学检验:
抗核抗体1:1000阳性,颗粒型,抗SSA抗体阳性,抗SSB抗体阳性,抗RO-52抗体阳性,抗PM-SCI抗体阳性,抗核小体抗体阳性,抗组蛋白抗体阳性,抗核糖体P抗体阳性,抗线粒体M2弱阳性。血清免疫球蛋白及补体:IgG 33.4g/L,C3 0.54 g/L,C4 0.1 g/L,补体C1q193mg/L。免疫球蛋白IgE:1031 IU/ml。Coombs试验:阴性。抗中性粒细胞抗体cANCA阴性,抗中性粒细胞抗体pANCA阳性,抗髓过氧化物酶抗体MPO阴性,抗蛋白酶3抗体PR3阴性,抗肾小球基底膜抗体GBM阴性
特殊检查:
心电图、胸部X线片、腹部B超无殊。
唇腺活检:右下唇小块涎腺组织,腺泡组织周围少许淋巴细胞浸润。
骨髓细胞学检查:骨髓增生活跃至明显活跃,粒细、红系、巨核系未见明显异常。
肾活检病理结果:2016年9月17日杭州金域检验。
光镜描述:送检肾组织常规做HE、PAS、PASM、Masson染色,可见16个肾小球,未见肾小球球性硬化及节段性硬化。肾小球系膜和基质轻度增生,毛细血管袢开放,外观显僵硬,基底膜增厚,钉突样结构不明显,上皮下似有嗜复红蛋白沉积,未见纤维素样坏死,未见白金耳样结构,可见1个细胞性新月体形成。肾小管上皮细胞空泡及颗粒样变性,小灶状萎缩(萎缩面积约5%),肾间质小灶炎症细胞浸润,小动脉管壁增厚,管腔狭窄。
免疫荧光:
肾小球数1个,IgG -,IgM +,IgA阴性,C3++,C1q阴性。沉积部位:弥漫、球性、毛细血管袢。沉积方式:逗点状。K+/-,λ+/-,HCV阴性,IgG4阴性,IgG1阴性,PLA2R阴性,ALB:肾小管上皮细胞见重吸收小滴。
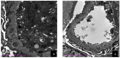
电镜描述:肾小球镜下可见2个肾小球,毛细血管内皮细胞明显空泡变性,个别管腔可见红细胞聚集,无明显内皮细胞增生,毛细血管袢开放。肾小囊壁层无明显增厚,壁层细胞空泡变性,无明显增生。基底膜不规则增厚,厚度达1300 nm。脏层上皮:上皮细胞肿胀,空泡变性,足突弥漫融合,基底膜内可见膜样结构。系膜区:系膜细胞和基质增生,未见电子致密物沉积。肾小管-间质:肾小管上皮细胞空泡变性,肾间质无特殊病变。肾间质血管:个别毛细血管管腔内可见红细胞聚集,小动脉未见病变(图1)。


病理诊断:足细胞内陷性肾小球病(PIG)。
患者,女性,36岁,因浮肿入院,表现为蛋白尿、血尿、高血压,入院后完善相关辅助检查提示外周血三系下降,抗核抗体阳性,补体下降,根据中华医学会风湿病学会提出的SLE诊断标准,符合"系统性红斑狼疮"诊断标准,但患者肾脏病理不支持"狼疮性肾炎"表现,另外,患者抗SSA抗体、抗SSB抗体阳性,但无口干、眼干、会阴干燥,且唇腺活检提示右下唇小块涎腺组织,腺泡组织周围少许淋巴细胞浸润,也不符合"干燥综合征",故临床考虑"未分化性结缔组织病"。结合患者肾脏损害轻,蛋白尿定量<1 g/24h,无血尿,肾功能正常。肾活检组织学病变轻,未见肾小球球性硬化及节段性硬化。肾小球系膜和基质轻度增生,毛细血管袢稍僵硬,基底膜增厚,钉突样结构不明显,肾小管间质轻度慢性病变。免疫荧光:免疫球蛋白IgM +,C3 ++,PLA2R染色阴性。肾脏病理电镜超微结构发现肾小球基底膜(GBM)增厚明显,内可见膜样和微管样结构。因此根据临床及病理诊断考虑足细胞内陷性肾小球病。
治疗上予羟氯喹片0.1 g每天2次口服,泼尼松片30 mg/d口服,洛汀新片10 mg qm联合左旋氨氯地平片2.5 mg qm口服降压降尿蛋白等对症支持治疗。
复查尿蛋白/肌酐降至27.1 mg/g,肾功能正常,血压波动于111~128/69~88 mmHg。
足细胞内陷性肾小球病(podocytic infolding glomerulopathy,PIG),是一类少见的特殊的肾小球形态学改变为特征,包括足细胞内陷及基底膜内微粒或微管结构。其病理机制尚未明确。日本报道较多。本例患者为中青年女性,肾炎综合征表现入院,外周血三系下降,抗核抗体阳性,补体下降,骨髓细胞学未见明显异常,根据中华医学会风湿病学会提出的SLE诊断标准,符合"系统性红斑狼疮"诊断标准,但患者肾脏病理不支持"狼疮性肾炎"表现,另外,患者无口干、眼干、会阴干燥,且唇腺活检也不符合"干燥综合征",故临床考虑"未分化性结缔组织病"。肾脏病理电镜超微结构发现肾小球基底膜(GBM)增厚明显,内可见膜样和微管样结构。因此病理诊断支持足细胞内陷性肾小球病(podocytic infolding glomerulopathy,PIG),这是国内继2015年8月徐峰等[1]首次报道后的第2例报道。
1992年Sato等[2]报道了5例肾活检标本经电镜观察发现GBM中有足细胞胞质陷入以及微球体或微导管结构的病例。于2006年7月30日本研究工作组第一次会议召开,提出了"podocytic infolding glomerulopathy"(足细胞内陷性肾小球病)。在2007年10月19日第三十七次日本西部地区会议开始全国性的宣传。2008年开始,日本学者报道了一系列个案[3,4,5,6,7],并提出这是一种新的肾小球疾病。Masuda等[8]选择回顾了126个肾活检确诊为原发性膜性肾病组织切片,发现了GBM和足细胞超微结构的改变,尤其是足细胞内陷的存在,足细胞折叠在GBM的球形微粒。他们认为PIG最常见于膜性肾病(MN)(不论原发或继发),但目前很难确定PIG与MN的关系,部分PIG可能是MN的一个变异亚型。PIG患者荧光可以阳性或阴性,免疫复合物沉积也可伴有或不伴有;像局灶节段硬化性肾小球肾炎(FSGS)这种非免疫性肾小球病[9]也观察到了足细胞内陷现象,所以PIG可能是一种独立的疾病。
Matsuo等[10]报道了1例膀胱输尿管反流继发FSGS患者合并出现足细胞折叠病变,提示足细胞折叠可能是针对足细胞损伤的一种反应。这提示足细胞病变可能导致PIG的形成。
而Joh等[11]总结25例日本PIG患者,报道了免疫系统疾病高发(系统性红斑狼疮14例,干燥综合征4例,自身免疫性甲状腺疾病2例,类风湿性关节炎1例,混合性结缔组织病1例,原发性胆汁性肝硬化1例),以及糖皮质激素治疗对于蛋白尿有缓解作用。这些发现提示自身免疫疾病及补体通路激活在PIG的致病机制中可能起到一定作用。Fujigaki等[12]用免疫电镜分析了PIG的肾小球病变,发现GBM细胞外组织结构中有补体C5b-C9及波形蛋白(足细胞的成分之一)。这些病理发现提示补体通路的激活及PIG特征性微结构改变之间存在联系。此外,也有合并多发性骨髓瘤的病例报道[13]。多发性骨髓瘤患者存在补体通路功能异常及过度激活。Lugassy等[14]曾报道在多发性骨髓瘤的早期及晚期,均有C5b-C9、经典和补体旁路途径的激活。这些补体通路异常可能通过与在自身免疫疾病中导致PIG相似的机制来引起PIG。Higlais等[15]运用免疫组织化学的方法发现GBM内的圆形颗粒和条纹状膜样结构表达膜攻击复合物C5b9,因此推测PIG与足细胞上特殊的补体活化有关。而本例报道亦在免疫荧光下可见补体的沉积。
目前PIG发病机制尚不明确,应该被单独分为一种疾病,抑或是膜性肾病的一个变异亚型。另外,PIG的病理机制尚未明确。我们期待更多病例报道的出现,增加我们对PIG的认识。
所有作者均声明本研究不存在利益冲突

























