
患者,男性,46岁,以"体重下降、腹痛、发热1个月余"为主诉入院。既往有HIV感染史、慢性丙型病毒性肝炎及结核性脑膜炎病史。
体重下降、腹痛、发热、脾脏肿大。
结合腹部CT及PET-CT检查,B超引导下经皮脾脏穿刺活检,免疫组化诊断为脾脏弥漫性大B细胞淋巴瘤。
给予R-DA-EPOCH方案化疗,加用索磷布韦维帕他韦抗丙肝治疗,继续HRE抗结核,联合抗反转录病毒药物不变,注意抗丙肝药物、联合抗反转录病毒药物、化疗药物、抗结核药物之间相互作用。
2周期化疗后体重较入院时增加1 kg,发热及腹痛缓解,脾脏明显缩小,4周期化疗结束后复查PET-CT提示完全缓解,HCV-RNA低于100IU/mL、HIV-RNA低于50copies/mL,脑脊液Gene-Xpert阴性,常规、生化检查未见异常,治疗效果显著,目前在巩固治疗中。
感染科;血液肿瘤科
版权归中华医学会所有。本文为遵循CC-BY-NC-ND协议的开放获取文章。
弥漫性大B细胞淋巴瘤(diffuse large B-cell lym-phoma,DLBCL)是来源于B淋巴细胞、具有高度侵袭性的恶性增殖性疾病,占非霍奇金淋巴瘤的30%~40%。临床上以无痛性淋巴结肿大、发热为临床表现,病理诊断为金标准。和非HIV人群相比,HIV患者的肿瘤患病风险明显升高,这与HIV感染导致的细胞免疫缺陷、炎症反应、细胞因子失调及致瘤病毒有关。HIV病人淋巴瘤发病率是普通人群的60~200倍,因我国艾滋病规范性治疗工作开展相对较晚,DLBCL仍是目前HIV病人主要死亡原因之一[1]。我们报道1例既往被诊断为HIV合并结核性脑膜炎的男性患者,抗结核治疗6个月后出现体重下降、腹痛、发热,腹部CT检查提示脾脏肿大并多发占位病变,患者合并结核感染、慢性丙型病毒性肝炎及HIV,在当地无法明确诊断,后在我科脾脏穿刺经组织病理学检查及免疫组化证实为HIV相关脾脏DLBCL,同时给予化疗、抗丙肝治疗、联合抗反转录病毒治疗(combination antiretroviral therapy,CART)及抗结核治疗,治疗效果显著,治疗过程中需要关注药物之间相互作用。现将诊疗经过总结如下,以期提高临床医师对该病的认识水平。
患者,男性,46岁,因"体重下降、腹痛、发热1个月余"入院。患者就诊前1月无明显诱因出现体重下降约10 kg,感腹部胀痛,伴有下午发热,监测体温最高38℃,到当地人民医院就诊,血培养阴性,血常规检查提示三系减少(WBC1.75×109/L、HGB102×109/L、PLT81×109/L),骨髓细胞学提示脾功能亢进不能排外,粒细胞中毒性改变,单核、组织细胞比例轻度升高。骨髓活检增生活跃,三系增生可,未见明显异型细胞。腹部CT检查提示脾脏增大并多发占位病灶,给予抗细菌治疗后患者仍发热,因患者有HIV感染及慢性丙型病毒性肝炎病史,建议到我院就诊。到我院就诊前行PET-CT检查脾大并密度不均,肝S4结节;肝门区、肝胃间隙、下腔静脉及腹主动脉周围、右下腹肠系膜、右侧腮腺区、右侧胸锁乳头肌外缘等部位多发淋巴结,代谢增高;右侧髂骨、右侧髋臼、左侧耻骨及双侧股骨多发代谢性增高灶,以上考虑恶性肿瘤,淋巴瘤浸润可能(图1)。结核性脑膜炎以HRE(异烟肼、利福平、乙胺丁醇)抗结核治疗(到我科就诊时抗结核治疗已经6个月),未抗丙肝治疗,联合抗反转录病毒治疗方案为替诺福韦(TDF)+拉米夫定(3TC)+多替拉韦(DTG)。门诊以"1.恶性肿瘤可能;2.结核性脑膜炎;3.慢性丙型病毒性肝炎;4.AID"收住我科。入院体格检查:T37.5℃,P89次/min,R18次/min,BP103/67 mmHg(1 mmHg=0.133 kPa),身高170 cm,体重60 kg,BMI 20.76kg/m2,神志清楚,浅表淋巴结未触及肿大,脾下缘于左肋缘下5 cm处触及,质地硬,表面光滑。


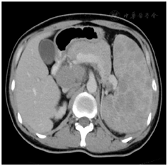
血常规检查WBC 1.72×109/L、HGB 99 g/L、PLT 62×109/L,凝血功能检查正常,CD4计数100 cells/ul,血β微球蛋白4.98 mg/L,EB-DNA3470 Copies/ml,HBV-DNA低于100 IU/ml,HCV-RNA1 480000 IU/ml,丙肝基因分型6n亚型。AST35 U/L、ALT18 U/L、LDH493 U/L。腹部CT检查提示脾脏肿大,多发占位病变(图2),在B超定位下行经皮脾脏穿刺活检。同时骨髓检查细胞学为增生减低骨髓象,骨髓活检提示增生不均一,三系增生可,未见明显异型细胞。淋巴瘤/淋系白血病相关CD系列检测提示送检标本中T淋巴细胞CD4:CD8比值明显减小。骨髓染色体核型46,XY,未见克隆性数目及结构异常。


患者脾脏病理免疫组化CD20+、Pax5+、BcL-2+、BcL-6+、CD10-、mum-1+、Cmyc+约40%,CD30+、ALK-、CyclinD1-、CD3-、CD5-、CD2-、CD4-、TIA-1-、GrB-、CD21+、CD34-、PCK-、Ki67+约80%。EBER阴性,脾脏组织未检测到BcL-2、BcL-6、MYC基因重排,排外双打击淋巴瘤。符合弥漫性大B细胞淋巴瘤(图3),故诊断为AIDS相关脾脏弥漫性大B细胞淋巴瘤。


给予R-DA-EPOCH(利妥昔单抗、依托泊苷、多柔比星、长春新碱、环磷酰胺、泼尼松片)方案化疗,21 d为1周期,化疗期间给予加用索磷布韦维帕他韦抗丙肝治疗,抗结核药物及联合抗反转录病毒药物不变,口服复方磺胺甲噁唑预防卡氏肺孢子菌肺炎及弓形虫脑病。按照与HIV阴性患者相同的标准进行相应预防中枢神经系统肿瘤侵犯(鞘内注射甲氨蝶呤、阿糖胞苷)[2]。
第1周期化疗结束后患者发热、腹痛缓解,脾脏明显缩小。第2周期化疗结束后患者脾脏已经触及不到,体重增加1 kg。抗丙肝治疗4周、8周、12周时复查HCV-RNA低于100 IU/ml,期间监测HIV-RNA低于50 copies/ml。脑脊液Gene-Xpert阴性,常规、生化检查未见异常。化疗4周期后患者体重维持在61 kg。患者化疗后出现Ⅳ级骨髓抑制,并继发细菌感染,给予升白细胞、抗感染、输注红细胞及血小板治疗后好转。第4周期化疗结束后复查PET-CT检查脾脏不大,其内多发稍低密度影,周围伴硬化边(体积较前减小),代谢不高(较前减低);双侧颈部Ib-Ⅲ、V区、肝门区、肝胃间隙、下腔静脉及腹主动脉周围、肠系膜、双侧腹股沟区多个淋巴结(病灶较前减小、减少,部分消失);代谢不高;其余原病灶未见显示;上述考虑治疗后改变,肿瘤活性受抑制,Deauville评分为1分(图4),现患者正在维持巩固治疗。


DLBCL是非霍奇金淋巴瘤中最常见的组织学亚型,具有侵袭性,在临床表现、病理特征、治疗效果以及预后等方面具有很大的异质性[3],特别是合并HIV感染时,需要考虑合并用药的相互作用。患者HIV抗体确认阳性,免疫功能低下,伴有结核性脑膜炎及慢性丙型病毒性肝炎病史,在抗结核治疗过程中出现体重下降、腹痛及发热,抗细菌治疗无好转,结合影像学检查提示脾脏肿大并多发占位病变,恶性病变可能,因患者血小板减少,临床穿刺过程时出血风险较高,没有给予穿刺活检导致没有及时明确诊断。患者入院后征得患者及家属同意后在B超引导下行经皮脾脏穿刺病理组织活检,是本例患者迅速确诊的重要依据。淋巴瘤是脾脏最常见的恶性肿瘤,CT的常见表现:①脾脏增大,密度均匀。②脾脏内单个或多个低密度或等密度灶,增强后有轻度强化。③弥漫浸润型脾脏密度普遍减低,增强后呈不均匀强化。患者影像学检查符合上述表现,因脾脏组织松脆,为了预防穿刺后出血应尽量减少穿刺次数并缩短穿刺针滞留脾内时间,因此需要穿刺人员熟练掌握穿刺要领,穿刺完毕后2 h内注意患者生命体征变化和腹部情况。患者在淋巴瘤治疗过程中要考虑化疗药物、抗结核药物、抗丙肝治疗药物及CART药物之间的相互作用。CART药物与化疗药物会产生相互作用,可能会增加治疗毒性或降低疗效。其中,增强剂(利托那韦和可比司他等)可抑制蛋白酶抑制剂(如阿扎那韦、达鲁那韦、沙奎那韦)的代谢,增加厄洛替尼、多西他赛及长春新碱等化疗药物的毒性,临床应避免同时使用;非核苷反转录酶抑制剂和化疗药物间的相互作用可能导致疗效降低,应谨慎联合使用;如齐多夫定会导致或加剧骨髓抑制,应避免与可能导致骨髓抑制的化疗药物同时使用;核苷反转录酶抑制剂(双氰胺和司他夫定)可引起周围神经病变,应避免与铂类、紫杉烷类、长春花生物碱类药物同时使用[4]。合并丙肝病毒感染,丙肝蛋白酶抑制剂的应用可治愈丙肝,但需要注意与化疗药物与其他药物的相互作用,利福平为强效细胞色素P450(CYP)诱导剂类药品,会降低索磷布韦/维帕他韦的血浆浓度,临床需要监测血药浓度,我们4周、8周、12周时监测患者HCV-RNA低于检测下限,提示抗丙肝治疗效果可,后期随访中需进一步观察抗丙肝疗效。在淋巴瘤治疗期间,可以根据药物间的相互作用或与化疗药物重叠的毒性选择合适的CART方案,推荐使用包含整合酶抑制剂的方案,其与化疗药物间的相互作用较小[5]。据报道,6个周期的利妥昔单抗(rituximab, R)加EPOCH(依托泊苷、强的松、长春新碱、环磷酰胺和阿霉素),或者R-CHOP(利妥昔单抗、环磷酰胺、阿霉素、长春新碱和强的松)是HIV-DLBCL一线治疗的首选方案,CHOP对于HIV阴性和阳性的DLBCL的治疗效果相似,其完缓解(complete response, CR)率为48%~60%,而在CHOP中添加R使得CR率增加了约10%[6],因此化疗方案中建议加用R增加CR率。Sun等[7]对54例HIV-DLBCL进行随访,发现剂量调整的(dose-adjusted, DA)R-EPOCH组2年总生存期(overall survival, OS)为78%,R-CHOP组为66%。此外,与HIV阴性的DLBCL患者相比,HIV-DLBCL中CNS受累的发生率更高[2],因此,有CNS部位疾病复发风险的HIV-DLBCL患者,应按照与HIV阴性患者相同的标准进行相应预防(鞘内注射甲氨蝶呤或阿糖胞苷),并建议使用调整剂量的方案。在该患者淋巴瘤综合治疗策略中,要兼顾抗HIV、抗结核、抗丙肝治疗,我们选用包含整合酶抑制剂的CART方案,使用利福平时整合酶抑制剂需要加量,经过综合治疗后患者临床症状缓解、脾脏缩小,复查PET-CT提示完全缓解(CR),脑脊液Gene-Xpert阴性,血HCV-RNA及HIV-RNA低于检测下限,治疗效果显著。
综上所述,临床医师在工作中,免疫缺陷的患者合并恶性病变时,应拓宽诊断思路,除考虑常见病变外,需要考虑少见或罕见疾病,及时进行组织病理学及免疫组化检查避免延误治疗。在CART时代,HIV-DLBCL的基础及临床研究取得了重大进展,HIV-DLBCL可采用与HIV阴性患者相同的化疗方案进行足量或强化化疗,且可取得与HIV阴性患者相同的治疗效果,但是,由于CART药物与化疗药物间存在相互作用,在治疗时应选择合适的CART方案,尽量减少药物不良反应。目前HIV-DLBCL相关临床试验较少,许多化疗方案及新药在HIV-DLBCL中的运用受到一定限制,需进一步鼓励并支持将HIV-DLBCL患者纳入临床试验,联合多中心开展临床试验,探索更为有效的治疗方案,并结合临床特点、共患病情况及个体化差异制定治疗方案,以改善患者预后,提高生存预期。
所有作者均声明本研究不存在利益冲突





















