
患者,女,36岁,劳累后胸闷8周、晕厥4周。
血压120/72 mmHg(1 mmHg=0.133 kPa),心律齐,无杂音,左下肢网状青斑,双前臂紫癜,压之褪色。
动态心电图示间歇性三度、高度房室传导阻滞。抗干燥综合征抗原A抗体阳性。磁共振示室壁少许强化。病理示急性非缺血性心肌损伤。经多学科诊疗,诊断自身免疫性心肌炎。
无永久起搏器植入指征。给予大剂量甲泼尼龙、丙种球蛋白、环磷酰胺、羟氯喹及支持药物。
随访1个月无晕厥,动态心电图示房室传导功能恢复。
心血管内科;风湿免疫科;呼吸内科;急诊科;重症医学科
版权归中华医学会所有。本文为遵循CC-BY-NC-ND协议的开放获取文章。
自身免疫性心肌炎是免疫介导的器官特异性或全身性疾病引起的炎症性心脏病[1,2,3]。干燥综合征(Sjögren syndrome,SS)由舍格伦于1930年首次报道,是一种全身免疫性系统疾病,可侵害多个器官,包括眼、口、关节、皮肤、肌肉、肺、肝等。SS合并心肌炎少见[4]。现报道1例以晕厥为特点的自身免疫性心肌炎,旨在提高对本病的认识,减少误诊和误治。
女性,36岁,销售员,汉族。因劳累后胸闷8周、晕厥4周,于2022年6月7日入院。8周前劳累后胸闷,伴咳嗽咳痰。10 d后就诊于当地呼吸科,查心电图(electrocardiograph,ECG)示:窦性心动过缓、肢导低电压、室性期前收缩。经胸超声心动图(transthoracic echocardiography,TTE):肺动脉高压,肺动脉收缩压(pulmonary artery systolic pressure,PASP)56 mmHg(1 mmHg=0.133 kPa)。胸部电子计算机断层扫描(computed tomography,CT)示左肺上叶炎症,左肺门淋巴结肿大伴心包及胸腔少量积液。抗干燥综合征抗原A(anti-Sjögren's syndrome antigen A,SS-A)抗体(3+),抗干燥综合征抗原B(anti-Sjögren's syndrome antigen B,SS-B)抗体(-)。自觉眼干,无口干、无牙齿变黑及片状脱落。眼科检查:滤纸试验明确干眼症(右眼2 mm/5 min,左眼3 mm/5 min)。考虑"结缔组织病相关肺动脉高压",予抗感染、化痰及短期中等剂量甲泼尼龙静脉注射40 mg/d后,出现高度房室传导阻滞,建议植入起搏器,患者未接受。激素治疗5 d后停用,动态心电图(dynamic electrocardiogram,DCG)示:三度房室传导阻滞、室性逸搏心律。TTE示PASP 64 mmHg。6 d后做家务时头晕,随后晕厥,5 min后醒来,无心悸、恶心,无四肢抽搐和二便失禁。5 d后就诊于当地心内科,查ECG示三度房室传导阻滞。TTE示PASP 74 mmHg。抗SS-A 60 kD抗体(+)、抗SS-A 52 kD抗体(-),抗SS-B抗体(-)。考虑"风湿疾病相关心肌损伤",给予3 d甲泼尼龙200 mg/d静脉注射冲击治疗,联合3 d丙种球蛋白25 g/d静脉注射,后给予7 d甲泼尼龙40 mg/d静脉注射,后改为口服甲泼尼龙片40 mg/d,联合一次环磷酰胺0.4 g静脉注射。激素冲击后第1天、第5天及第11天,无诱因反复发作晕厥3次,3~5 min后醒来,伴有双眼上翻、全身抽搐,醒后有心悸、乏力、恶心,心电监护提示:高度房室传导阻滞伴心室停搏8.94 s~14.6 s。激素冲击12 d后(激素+环磷酰胺2 d后)心电监护示房室传导功能恢复,TTE示PASP降至36 mmHg。为求进一步诊治来我院。
既往史:自幼反复出现季节相关的双手皮肤溃疡。双前臂皮肤紫癜病史2年。左膝关节痛1年余。下肢静脉曲张病史1个月。甲状腺结节1个月。否认口腔溃疡、雷诺现象、肢体活动障碍。否认结核病史,否认2个月内前驱感染史,否认药物、毒物接触史。个人史、家族史、婚育史无特殊。
体格检查:慢性病容,血压125/75 mmHg,双肺呼吸音粗,无啰音,心率62次/min,律齐,未闻及杂音,腹软,无压痛,双下肢不肿,左下肢可疑网状青斑,双前臂少许紫癜,压之褪色。
①常规指标。血常规:白细胞4.99×109/L,血红蛋白105 g/L,血小板221×109/L,余无异常。谷丙转氨酶150.5 IU/L,N末端B型利钠肽原(N-terminal pro-B-type natriuretic peptide,NT-proBNP)675.35 pg/ml,心肌酶谱和肌钙蛋白I(troponin I,TnI)(-)。②炎症指标。C反应蛋白、红细胞沉降率、抗链球菌溶血素O、类风湿因子正常;结核感染T细胞斑点试验(T-SPOT.TB assay,T-SPOT.TB)阴性。③免疫指标。抗核抗体(antinuclear antibody,ANA)1∶80,抗SS-A抗体(3+),抗SS-B抗体(-),补体(-)。眼科检查:滤纸试验右眼2 mm/5 min,左眼3 mm/5 min。④心电指标。ECG:窦性心动过缓、肢体导联低电压、室性期前收缩。⑤TTE。各房室内径正常,左室射血分数64%,估测PASP 74 mmHg。⑥胸部CT。左肺上叶炎症,膨胀不全;左肺门淋巴结肿大;纵隔钙化灶;左肺磨玻璃。
①免疫指标。抗SS-A 60 kD抗体(+)、抗SS-A 52 kD抗体(-),抗SS-B抗体(-)。②心电指标。ECG:三度房室传导阻滞(图1)。DCG:平均心率40次/min,最慢心率35次/min,最快心率43次/min,三度房室传导阻滞,室性期前收缩,最长RR间期1.8 s。


①心电指标。DCG:间歇性三度、高度房室传导阻滞,心室停搏8.94~14.6 s(图2)。②TTE。估测PASP降至36 mmHg。


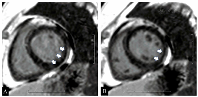
①常规指标。血常规:白细胞12.82×109/L,余无异常;谷丙转氨酶57 IU/L。NT-proBNP、心肌酶谱和TnI、肿瘤标志物、甲状腺功能正常。②炎症指标。C反应蛋白、红细胞沉降率、抗链球菌溶血素O、类风湿因子正常;EB病毒、巨细胞病毒核酸定量检测均正常。③免疫指标。ANA、抗SS-A、抗SS-B抗体均阴性,免疫球蛋白G 17.200 g/L升高,补体正常。血管炎三项、抗磷脂综合征检测均正常;淋巴细胞亚群:CD19+B淋巴细胞百分比28.88%(升高);眼科检查:滤纸试验右眼10 mm/5 min,左眼5 mm/5 min。④心电指标。DCG:房室传导功能恢复。电生理检查:以400 ms的频率起搏,窦房结恢复时间(sinus node recovery time,SNRT)为803 ms,以350 ms的频率起搏,SNRT为692 ms;房室结前传不应期:220 ms;房室结前传文氏点230次/min;窦律下希氏束至心室(His-to-ventricular,H-V)间期延长至65 ms,阻滞部位在HB下;未见房室结双径和房室旁道。⑤TTE。PASP正常;冠状动脉CT造影正常;心脏磁共振成像(magnetic resonance imaging,MRI):主动脉瓣轻中度关闭不全,心功能大致正常。心肌首过灌注未见明显异常;延迟扫描示左室侧后壁近段少许外膜侧强化。⑥心内膜心肌活检病理结果。光镜下见心肌细胞轻度肥大,空泡变性,间质纤维组织轻度增生,心肌非特异性改变(图3);电镜病理诊断:部分心肌细胞急性非缺血性损伤,不除外心肌炎累及(图4)。⑦胸部CT。双肺局部膨胀不全,部分伴钙化。血气分析(-)。呼吸功能:中-重度混合性通气功能障碍,小气道功能减退,肺弥散量轻-中度下降,气道阻力偏高,弹性阻力偏大。




自身免疫性心肌炎,SS可能性大,晕厥,心律失常,间歇性三度房室传导阻滞,间歇性高度房室传导阻滞,交界性逸搏心律,室性逸搏心律,阵发性心房扑动,室性期前收缩,左心疾病相关肺动脉高压,心包积液,胸腔积液。
心脏瓣膜病,主动脉瓣轻度关闭不全,二尖瓣中度关闭不全,三尖瓣轻度关闭不全,心功能II级(纽约心脏协会分级),陈旧性肺结核可能性大,肺不张,支气管扩张,高脂血症,高胆固醇血症,肝功能异常,甲状腺结节。
心律失常性晕厥:DCG证实晕厥时三度、高度房室传导阻滞,电生理检查证实阻滞部位在希氏束(His bundle,HB)以下。自身免疫性心肌炎的诊断依据:①青年女性,慢性病程,自幼年具有自身免疫特征(双手皮肤溃疡),目前多系统受累(肺实质、肺血管、心包、心脏传导系统、心肌、眼、关节等),ANA及抗SS-A抗体阳性。②有乏力、活动后气短、心悸、晕厥症状。③心脏结构功能异常并能除外局灶性冠状动脉缺血。起病初期NT-proBNP升至675.35 ng/L,ECG示一过性肢体导联低电压、辅助检查显示一过性肺动脉高压、心包积液、胸腔积液,提示心功能受损。DCG示间歇性三度、高度房室传导阻滞,电生理检查示房室传导障碍。④心脏MRI(图5)示少许心包积液,延迟钆显像示左室侧后壁近段少许外膜侧强化,结合临床不能除外既往或潜在的心肌炎性病变伴局部心肌纤维化形成。⑤心内膜心肌活检光镜下见心肌细胞轻度肥大,空泡变性,间质纤维组织轻度增生,电镜下见部分心肌细胞急性非缺血性损伤,不除外心肌炎累及。⑥甲泼尼龙+环磷酰胺治疗后心脏病变的可逆性。


目前国内广泛采用2002年欧洲SS诊断标准,本例有眼干、滤纸试验阳性、抗SS-A抗体阳性,SS可能性大。本例无口干,需进一步完善口腔科检查唾液流率、腮腺造影和唇腺活检病理。国际上已有2016年欧洲诊断标准(本例有眼干、抗SS-A抗体阳性、滤纸试验阳性,计4分,≥4分归类为SS)。
肺动脉高压:TTE提示一过性肺动脉高压,但心脏各腔室大小正常,考虑反应性肺动脉高压,包括左心疾病相关性和肺血栓栓塞性。本例肺动脉CT造影除外肺栓塞,心肌炎引起左心功能减低,致左心疾病相关肺动脉高压。
晕厥鉴别:①直立性低血压。卧立位血压测定不支持该病。②反射性晕厥。无晕厥的诱因不支持该病,直立倾斜试验有助于鉴别。③器质性心脏病。缺血性心脏病、肥厚型心肌病、致心律失常右室心肌病、离子通道病等,TTE不支持该病。
心脏病变鉴别:①冠心病。无胸痛,ECG无典型ST-T异常,冠状动脉CT造影正常可排除冠心病。②SS继发心肌淀粉样变。SS患者出现不明原因的肺部结节、心肌损害,应警惕继发淀粉样变,心肌活检可鉴别。③特殊类型的心肌炎:病毒全套阴性,否认饮酒史,否认药物、毒物接触史,心肌活检排除特殊类型的心肌炎(巨细胞性心肌炎、心脏结节病等)。
结缔组织病鉴别:①未分化结体组织病。应具有一项以上典型的风湿病症状或体征,伴一种以上高滴度自身抗体阳性,病程两年以上,并除外任何其他结缔组织病。本例抗SS-A强阳性,自幼存在免疫色彩,不符合广泛采用的2002年SS诊断标准,完善唇腺活检病理可鉴别。②结缔组织病累及心脏和肺。完善心肌活检、气管镜、肺泡灌洗可鉴别。
肺部病变鉴别:①结节病。多为双侧淋巴结肿大,淋巴结钙化双侧多见,淋巴结可表现为部分钙化,纵隔及肺门淋巴结同时出现多见,激素治疗敏感,可出现眼、骨、皮肤等改变,本例单侧淋巴结增大伴钙化,淋巴结钙化完全,接受激素治疗后淋巴结变化不大,提示结节病可能性小,气管镜及肺泡灌洗可鉴别。②斯-詹综合征(Swyer-James syndrome,SJS)。罕见病,患肺透亮度增高,纹理减少(但不消失),多伴肺容积缩小;呼气相气体潴留;患肺动脉变小;可合并支扩、不张、空腔、胸膜下浸润等间质性病变,完善呼气相胸部CT可鉴别。
肺动脉高压鉴别:①慢性纤维性纵隔炎。在我国结核相关更为多见,多见纵隔占位、阻塞性通气功能障碍,本例主要为限制性通气功能障碍,不支持该病。②慢性缺氧性肺病。血气分析不支持该病。
该患者诊断自身免疫性心肌炎导致三度、高度房室传导阻滞。根据现有指南、电生理检查和治疗反应,无永久起搏器植入指征。
调节免疫:(中等剂量激素)甲泼尼龙40 mg/d行5 d静脉推注后停用16 d→(激素冲击)甲泼尼龙200 mg/d静脉注射3 d+丙种球蛋白25 g/d静脉注射3 d→甲泼尼龙40 mg/d静脉注射7 d→改为口服甲泼尼龙片40 mg/d(每10天减量4 mg,减至20 mg时每10天减量2 mg)+环磷酰胺0.4 g~0.6 g每半个月1次静脉注射+羟氯喹200 mg、2次/d。
对症支持:改善心肌代谢(曲美他嗪、辅酶Q10)、抑酸护胃、补钙、补铁、化痰。
随访1个月无头晕、晕厥,查TTE正常,DCG示房室传导功能恢复。
本例除外了中毒性和感染性因素,归类为自身免疫性炎症性心肌病[1]。实际上,无论何种原因引起的自身免疫功能紊乱,免疫介导和炎症细胞浸润心脏均可导致心律失常、心衰等临床表现。SS可累及心脏传导系统,抗SS-A及抗SS-B抗体可通过胎盘,引起致死性先天性心脏传导阻滞,发生率在2%~20%。母亲应用地塞米松可有效阻断[5]。心脏传导阻滞可能与SS的动性相关[6]。
本例诊断的难点在于发病时间较久,已接受了激素冲击,临床症状、肺动脉高压和房室传导阻滞的一过性。2021年美国心脏协会(American Heart Association,AHA)声明特别强调新发的三度房室传导阻滞需排除心肌炎[7]。病程初期及后期心肌损伤标志物肌酸激酶同工酶(creatine kinase isoenzyme,CK-MB)及TnI均未发现异常。2021年AHA声明强调在活检证实的心肌炎病例中,肌钙蛋白的敏感性和特异性不高[7]。因此病程中期发生三度、高度房室传导阻滞时应密切监测心肌损伤标志物,若其水平升高,高度提示心肌炎,但阴性结果不能除外心肌炎。心肌炎诊断的金标准心肌活检病理达拉斯诊断标准和(或)6个月内心血管病情恢复[8,9]。我们尚未获得心肌组织中炎症细胞浸润的确切病理证据,病理诊断为急性非缺血性损伤,不除外心肌炎。心肌活检的局限性为发病时间较久,已接受了激素冲击,延缓甚至逆转了心肌病变;受限于活检取材部位,取材部位是右室间隔、心内膜心肌,而心脏磁共振显示仅左室侧后壁近段、少许、外膜侧强化;且达拉斯诊断标准敏感性较低[10]。
本例治疗的难点为是否植入永久起搏器。对于房室传导障碍,应行电生理检查确定阻滞部位:H-V间期>70 ms为发展成高度房室传导阻滞的非特异预测指标,H-V间期>100 ms具有高度预测性但不敏感,一定要植入起搏器[11]。依据2012年AHA指南,无症状的二度房室传导阻滞,电生理检查证实阻滞部位在HB内部或HB以下,为永久起搏器IIA类指征(B级证据)[12]。是否植入起搏器应根据电生理检查证实的房室传导阻滞部位、严重程度和对药物治疗的反应而量身定制。本例电生理检查示H-V间期65 ms<70 ms,将来发展为高度房室传导阻滞的概率较小,且处于治疗后房室传导的恢复期,目前无永久起搏器植入指征。
综上,青年女性患者以间歇性三度房室传导阻滞伴晕厥为首发症状入院,完善相关检查后,及时发现抗SS-A抗体阳性,明确诊断为自身免疫性心肌炎导致三度、高度房室传导阻滞,给予早期、足量、足疗程的激素冲击联合免疫抑制剂等治疗后,房室传导功能恢复,随访1个月无晕厥,短期疗效确切,避免了永久起搏器植入,同时肺动脉高压逆转。本例诊断为自身免疫性心肌炎,不能除外SS、心脏结节病,三者均可引起心脏传导阻滞,密切、长期的随访可提供更多的远期疗效及预后信息。
所有作者均声明本研究不存在利益冲突





















