
患者,女性,47岁,因"发现多发淋巴结肿大2年余"入院。
精神佳,主要表现为全身多发淋巴结肿大,以颈部、锁骨上、纵隔、肺门为主。体格检查:右侧颈部、锁骨上可触及多个淋巴结肿大,最大大小约3 cm×2 cm,质硬,活动度可,有轻压痛,无红肿、破溃、流脓,边界清。双肺呼吸音清,未闻及干湿性啰音。
右侧颈部淋巴结活检病理高通量宏基因测序检测见波斯分枝杆菌属,序列数352;痰及右侧颈部淋巴结活检组织培养及鉴定提示堪萨斯分枝杆菌生长;右侧锁骨上淋巴结脓液病理高通量测序检测见马尔尼菲蓝状菌感染,序列5149;支冲液高通量测序检测见马尔尼菲蓝状菌,序列1。痰培养药敏报告为利福平、乙胺丁醇、喹诺酮类、阿米卡星敏感。抗IFN-γ抗体滴度治疗期间三次复查均高于1:100。
本病例临床治疗难度大,使用异烟肼、乙胺丁醇、莫西沙星、阿米卡星抗菌方案,同时使用伏立康唑抗真菌治疗。
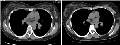
经积极抗感染及对症治疗,患者症状好转,右侧颈部及锁骨上肿大淋巴结缩小。胸部CT提示肺门、纵隔淋巴结明显缩小。
内科;呼吸与危重症学科;放射科
版权归中华医学会所有。本文为遵循CC-BY-NC-ND协议的开放获取文章。
抗干扰素γ自身抗体综合征是一种基因与环境共同作用且起病隐匿的疾病,易合并多种机会性感染,其中以马尔尼菲蓝状菌、非结核分枝杆菌(NTM)、沙门氏菌感染多见[1,2],国内仅少数病例报道。且抗干扰素γ自身抗体综合征中大部分患者病程长,因致病菌发现及确诊先后顺序常影响治疗效果及预后。本文对广州市胸科医院收治的1例抗干扰素γ自身抗体综合征致马尔尼菲蓝状菌及波斯分枝杆菌播散感染患者的临床资料进行分析,旨在提高医师对该疾病的识别能力,减少误诊和漏诊。
患者,女性,47岁,因发现多发淋巴结肿大2年余,于2022年1月14日入院。患者缘于2年余前发现右侧锁骨上多个淋巴结肿大,最大大小约2 cm×2 cm,质稍硬,伴疼痛,活动度可,无伴发热、畏寒,无咳嗽、咳痰,无心悸、胸闷等。2020年4月至外院查胸部CT发现纵隔内气管前、隆突下、右侧肺门内见多个淋巴结影,当时未予处理。2021年7月2日于外院行右侧锁骨上淋巴结活检,病理提示慢性化脓性炎症。曾于2021年7月8日考虑风湿结缔组织病可能,予甲强龙治疗,同时于2021年8月检测抗IFN-γ抗体滴度高于1:100,考虑诊断抗干扰素γ自身抗体综合征。其后出现右侧颈部淋巴结肿大,且右侧锁骨上淋巴结明显较前增大,表面皮肤红肿,2021年8月12日于外院予行右侧锁骨上淋巴结脓液穿刺送检,脓液高通量测序提示马尔尼菲蓝状菌感染,序列5149。于2021年8月13日开始予威凡抗真菌治疗,但患者右侧颈部淋巴结未见缩小。后于2021年12月21日外院再行右侧颈部淋巴结活检,病理考虑符合特殊病原体感染,高通量宏基因测序提示波斯分枝杆菌序列352。遂转至我院就诊。查体:右侧颈部、锁骨上可触及多个淋巴结肿大,最大大小约3 cm×2 cm,质硬,活动度可,有轻压痛,无红肿、破溃、流脓,边界清。双肺呼吸音清,未闻及干湿性啰音。
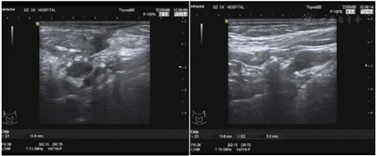
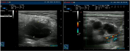
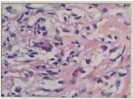
实验室提示白细胞(WBC)16.33×109/L,中性粒细胞比率(NE%)76.7 %,血红蛋白(HGB) 105 g/L,嗜酸性粒性粒细胞0.89×109/L。抗IFN-γ抗体滴度治疗期间三次复查均高于1:100。血T-SPOT试验结果为不确定。HIV(-)。痰涂片找分枝杆菌×3次阴性。右侧颈部淋巴结活检病理高通量宏基因测序检测见波斯分枝杆菌属,序列数352;痰及右侧颈部淋巴结活检组织培养及鉴定提示堪萨斯分枝杆菌生长;右侧锁骨上淋巴结脓液病理高通量测序检测见马尔尼菲蓝状菌感染,序列5149;支冲液高通量测序检测见马尔尼菲蓝状菌,序列1。2022年1月19日右侧颈部淋巴结病理提示其内见胶原纤维及纤维母细胞增生,个别可疑形成不良的上皮样细胞、组织细胞、中性粒细胞、淋巴细胞及浆细胞浸润。抗酸染色见个别阳性杆菌,六胺银、Warthin-Starry及PAS染色(-)(图1)。双侧颈部淋巴结彩色超声(图2、图3);胸部CT(图4、5)。








综合以上病史、实验室检验结果,该患者抗干扰素γ自身抗体综合征诊断明确。结合本次病情进展以来影像学改变、数次痰及病灶化验、高通量检测均提示为马尔尼菲蓝状菌、波斯分枝杆菌,参照2020年中国非结核分枝杆菌病诊断和治疗指南[3],该患者的NTM病诊断成立。
患者外院予舒普深及伏立康唑抗感染、抗真菌、激素口服等治疗效果欠佳。调整治疗为:异烟肼(0.3 g qd)、莫西沙星(0.4 g qd)、乙胺丁醇(0.75 g qd)、阿米卡星(0.4 g滴注qd),伏立康唑(0.2 g q12h)。
患者于入院后22 d出院,其后规范服药,2个月后复查痰、支冲液及右侧颈部淋巴结穿刺组织培养分枝杆菌、真菌、致病菌均阴性。4个月后追踪复查彩超、胸部CT提示右侧颈部、锁骨上、纵隔淋巴结均好转、缩小。
目前抗干扰素γ自身抗体综合征确切的发病机制及患病率尚不明确,普遍认为环境及遗传因素参与抗IFN-γ抗体的产生[4,5]。几乎大部分患者来自于东南亚,我国亦以南方地区病例报道多见[6,7]。其容易合并多种机会性感染,仅单一免疫治疗往往效果欠佳,但马尔尼菲蓝状菌及NTM阳性检测率较低,临床医师对疾病认识缺乏或实验室条件欠缺,容易导致漏诊及延误诊疗。
NTM广泛分布于环境中的水、土壤中,目前共200余种种属[8]。国内外均有报道抗干扰素γ自身抗体综合征继发NTM播散感染病例,且一项回顾性研究入选70例播散性NTM患者中有50例检测到抗IFN-γ抗体,并统计出患者从发病到确诊抗IFN-γ抗体相关的播散性NTM感染平均中位数时间为1.6年[9]。本类患者在外院确诊马尔尼菲蓝状菌播散感染后,经予抗感染、抗真菌、激素等治疗后仍效果欠佳,后经多次追踪确诊同时合并波斯分枝杆菌播散感染后,调整用药方案,治疗效果好。因此,笔者认为当证实抗干扰素γ自身抗体综合征同时应考虑NTM感染可能,若发现播散性NTM感染且HIV阴性患者应重视检测抗IFN-γ抗体。
抗干扰素γ自身抗体综合征继发播散性NTM感染的临床症状主要表现为淋巴结肿大(81.8%)[10] ,本例报道相符。而马尔尼菲蓝状菌和NTM可能促进Sweet’s综合征、结节性红斑、疹性脓疱病和脓疱性银屑病等反应性皮肤病的发展,或直接引起这些患者的皮肤感染性病变[11,12],本例患者暂未出现该皮损症状。另外,赖冠廷等[13]报道该病患者可能出现嗜酸性粒细胞不同程度的升高,经抗感染治疗能降至正常范围,认为可能与抗IFN-γ抗体相关,与本例患者相符,值得进一步探讨。
目前普遍认为抗干扰素γ自身抗体综合征多并发脓肿分枝杆菌、鸟分枝杆菌播散感染[10]。而本例报道为罕见的波斯分枝杆菌,研究认为波斯分枝杆菌在表型上与堪萨斯分枝杆菌几乎无法区分,但在16S rRNA、hsp65和rpoB基因中两者存在独特的序列[14]。因此本病例实验室查痰及病灶培养鉴定被识别为堪萨斯分枝杆菌。其体外试验对阿米卡星、克拉霉素、利奈唑胺、莫西沙星和利福霉素敏感[14],药物敏感性高,治疗时间可能更短。本例患者在治疗2月后痰及病灶组织培养分枝杆菌均阴性,4月后影像学好转。但本病例仅个案报道,对于波斯分枝杆菌感染仍需深入的研究。
在本病例中广泛应用不同组织标本进行高通量测序,短时间回报结果并鉴定到种别,准确及时地未临床医师提供了诊疗方向,赢得了时间,是高通量测序与传统检验方法联合应用的成功案例。
综上所述,应提高对抗干扰素γ自身抗体综合征的认识,关注非结核分枝杆菌病,重视播散性NTM感染检测抗IFN-γ抗体。在传统诊断手段上可结合高通量测序而提高感染的诊断。
所有作者均声明本研究不存在利益冲突





















