
患者,男性,73岁,颜面及下肢浮肿1周,少尿2 d入院。
颜面及双下肢浮肿,伴尿少、四肢乏力,偶有头晕。双肺呼吸音粗,未闻及干湿性啰音及胸膜摩擦音,心前区无隆起,心尖搏动正常,心浊音界正常,心率60次/min,律齐,各瓣膜听诊区未闻及杂音,无心包摩擦音,腹平坦,无腹壁静脉曲张,腹部柔软,无压痛、反跳痛,腹部无包块。肝脏未触及,脾脏未触及,Murphy征阴性,肾脏无叩击痛,无移动性浊音。
入院后完善三大常规、肝肾功能、血脂、凝血四项、尿相差+镜检、尿微量白蛋白/肌酐比值、24 h尿蛋白定量,骨穿+骨髓活检、心电图、心脏彩超、泌尿系彩超、胸部CT等检查,最终诊断由肾穿刺活检术后病理确诊。
入院后予利尿消肿、保胃、抗凝、护肾、预防骨质疏松、调节胃肠功能等对症治疗,针对肾穿刺活检术后病理予"甲泼尼龙40 mg、1次/d+他克莫司1.5 mg、2次/d"治疗。
经积极治疗,浮肿消退,肾功能好转,血清肌酐恢复至正常水平,尿蛋白已转阴。
肾脏病科
版权归中华医学会所有。本文为遵循CC-BY-NC-ND协议的开放获取文章。
肾病综合征(nephrotic syndrome,NS)是由多种病因引起受损肾小球基底膜对血清蛋白通透性增加,表现为大量蛋白尿、低蛋白血症、高度水肿、高脂血症的一组临床症候群。它常见的并发症包括感染、血栓和栓塞并发症、急性肾损伤(acute kidney injury,AKI)以及蛋白质及脂代谢紊乱等,其中急性肾损伤是常见且最严重的并发症之一,占成人肾病综合征的44.9%[1,2]。本文报道1例并发急性肾损伤的老年肾病综合征患者,以丰富对本病的治疗经验,预防和治疗其严重并发症。
患者,男,73岁,已婚,主诉以"颜面及下肢浮肿1周,尿少2 d"于2022年2月7日入院。缘于2022年1月28日无明显诱因出现眼睑浮肿,伴四肢乏力,患者未予重视,症状逐渐加重,伴下肢浮肿,尿量减少,小便泡沫增多,偶有头晕,无头痛发热,无恶心呕吐,无腹痛腹泻,无呼吸困难,无咳嗽咳痰,无胸闷心悸,无尿频尿急等不适。遂于2022年2月4日就诊当地医院查尿常规:尿蛋白3+,尿潜血2+。后小便逐渐减少,2022年2月6日小便200 ml,为进一步诊治,就诊我院老年病科。查血常规:白细胞计数8.70×109/L、淋巴细胞百分比17.8%、红细胞计数4.23×1012/L;血生化:尿素21 mmol/L、肌酐290.0 μmol/L、尿酸493.2 μmol/L;白蛋白37.7 g/L、总蛋白67.7 g/L、胆固醇5.27 mmol/L;脑利钠肽BNP(CLIA)298.00 pg/ml、免疫球蛋白A 4.10 g/L、κ轻链4.11 g/L、λ轻链2.49 g/L;补体C3、C4正常;ANCA四项、dsDNA、ANA均阴性。予"呋塞米、螺内酯"等对症治疗后,上述症状无见明显缓解,遂以"急性肾损伤"转入我科。自发病以来,食欲一般,睡眠差,大便正常,小便量少,体重1年来减轻1 kg。患者既往"脑梗死、冠心病、高血压"病史。否认肝炎、结核、疟疾等传染病史,否认心脏病病史,否认糖尿病、精神疾病病史,否认手术史,否认外伤史,否认输血史,否认药物、食物过敏史,否认冶游史,否认家族传染病及遗传病史。
1.(2022年2月7日)血生化:尿素21.0 mmol/L↑、肌酐290.0 μmol/L↑、尿酸493.2 μmol/L↑、白蛋白37.7 g/L↓、肌酸磷酸激酶579.8 U/L↑、乳酸脱氢酶315.8 U/L↑、胆固醇5.27 mmol/L↑、低密度脂蛋白3.20 mmol/L↑;(2022年2月10日)血生化:尿素26.6 mmol/L↑、肌酐380.0 μmol/L↑、尿酸556.6 μmol/L↑、白蛋白28.0 g/L↓;(2022年3月8日)生化:肌酐94.0 μmol/L,尿酸121.9 μmol/L↓白蛋白25.7 g/L↓。
2.(2022年2月8日)尿量150 ml/24h、24 h尿微量白蛋白3117.15 mg/24h↑,尿蛋白+++↑、尿隐血++↑;尿β2-MG(比浊法)<0.183 mg/L;尿相位差+镜检:尿红细胞计数20~24、尿红细胞畸形率76%、白细胞计数4~7;(2022年2月11日)尿量320 ml/24h、24 h蛋白定量3.88 g/24h↑。(2022年2月26日)尿量1800 ml/24h、24 h蛋白定量6.66 g/24h↑。
3.(2022年3月4日)血常规:白细胞计数9.67×109/L↑、红细胞计数3.45×1012/L↓、血红蛋白测定109.0 g/L↓。
4.免疫学指标:抗核抗体谱、抗dsDNA抗体、抗PLA2R抗体、抗GBM抗体、ANCA、免疫球蛋白固定电泳均未见异常。
5.其他检查。(2022年2月9日)血气分析:二氧化碳分压30.2 mmHg(1 mmHg=0.133 kPa)↓、氧分压73.7 mmHg↓、实际碳酸氢根18.6 mmol/L↓、标准碳酸氢根20.6 mmol/L↓、实际剩余碱-4.6 mmol/L↓、标准剩余碱-5.2 mmol/L↓、血红蛋白浓度115.0 g/L↓、血细胞比容测定35.4%↓、P5020.61↓;全段甲状旁腺素(CLIA)151 pg/ml↑;FT3、FT4、促甲状腺素、血浆D-二聚体测定、凝血筛查、C反应蛋白正常。骨髓细胞学检验及活检结果除外肿瘤性病变,未见明显异常。
6.影像学检查。心电图:窦性心律,左心室高电压,部分导联T波改变。胸部CT:(1)左侧胸腔少量积液;(2)右上肺结节,与2020年5月7日片大致相仿,建议随访;(3)两肺陈旧性病灶;(4)主动脉及左冠脉少许钙化灶;(5)纵隔及左肺门钙化淋巴结,建议随访;(6)所见右肾囊肿。消化泌尿彩超:双肾囊肿(左肾多发)。双肾多发强回声点,考虑尿酸盐结晶可能,前列腺增生伴多发结石,膀胱未充盈,肝、胆、胰、脾未见明显异常。双侧输尿管未见扩张,门静脉、双肾血流显像好;心脏彩超:符合高血压病心脏改变,左房饱满,三尖瓣轻-中度反流,肺动脉压升高,二尖瓣及主动脉瓣轻-中度反流,心包少量积液,偶发早搏,左室舒张功能降低体征。
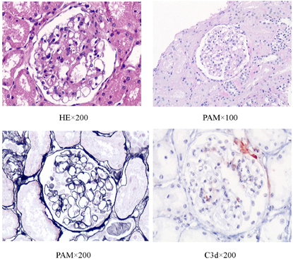
7.病理(肾穿刺)检查提示(图1):(1)肾小球轻微病变伴足细胞增生、肿胀、空泡变(3分),不除外足细胞病,局灶球性肾小球硬化。(2)轻微肾小管萎缩及间质纤维化。(2022年2月22日)病理(电镜)检查提示:送检皮髓质交界处肾组织,经多次重切片及镜下定位,均未见肾小球,请结合临床及光光镜报告进一步诊断。轻微肾小管萎缩及间质纤维化。


患者入科后表现为少尿,血肌酐升高至基础3倍以上,大量蛋白尿,低白蛋白血症,水肿,高脂血症,骨髓穿刺活检术后病理未见明显异常,肾脏穿刺活检病理示:肾小球轻微病变,结合相关检验检查,结合既往病史,诊断为"1.肾病综合征(肾小球轻微病变)急性肾损伤(AKI 3期);2.高血压3级(很高危);3.慢性萎缩性胃炎;4.陈旧性脑梗死;5.动脉粥样硬化;6.不完全性右束支传导阻滞;7.前列腺增生伴结石;8.肾囊肿;9.冠心病;10.颈椎病"。
患者肾病综合征诊断明确,肾功能不全需考虑以下三个方面:(1)肾前性急性肾功能不全:患者诉尿量较少,查体见全身皮肤干燥,在低血容量状态或有效循环容量不足的情况下,可以出现肾前性急性肾损伤。此时如果及时补充血容量,肾功能可快速恢复,补液试验可资鉴别。此时尿沉渣检查往往改变轻微,尿诊断指数对鉴别诊断有较大意义。(2)梗阻性急性肾功能衰竭:患者存在泌尿系结石、前列腺增生,可致尿路梗阻引起急性肾衰竭。此时行影像学检查可见肾盂、输尿管扩张或积液,必要时可再次行双肾B超或CT予明确诊断。(3)肾性急性肾衰竭:见于急进性肾小球肾炎,此患者伴有大量蛋白尿,血尿明显,且肾功能经入院后积极治疗有一过性恶化趋势。
患者入科后予利尿消肿,保胃,抗凝,护肾,预防骨质疏松,调节胃肠功能等对症治疗,严格出入量管理,行骨髓穿刺及肾脏穿刺活检术后诊断"肾病综合征(肾小球轻微病变)"明确,取得患者及家属知情同意后,于2022年2月17日开始给予"甲泼尼龙40 mg、1次/d+他克莫司1.5 mg、2次/d"治疗。
本例肾病综合征患者表现以少尿为突出症状入院,入科后经积极补液保肾治疗,血肌酐仍有上升趋势,达急性肾损伤3期,结合蛋白尿、血尿,不排除存在急进性肾小球肾炎可能,且患者年龄大、双肾囊肿,左肾多发,评估肾穿刺获益大小后,排除禁忌证,行肾脏穿刺活检术,最终明确诊断为原发性肾病综合征(微小病变)。
微小病变是肾病综合征常见病理类型,尤其是儿童高发,且成人有一过性发病高峰,占成人肾病综合征10%~20%[3]。且微小病变肾病是引起AKI的常见病理类型。肾病综合征引起急性肾损伤与很多因素相关,包括肾间质水肿、肾小球疾病、肾脏灌注不足、肾小管上皮细胞坏死、肾静脉血栓栓塞、肾素-血管紧张素-醛固酮系统(RAAS)激活以及水肿压迫泌尿系统引起肾后性肾损伤等[4]。
微小病变肾病合并AKI的早期诊断指标包括尿量、肌酐、尿足细胞标志蛋白、组织金属蛋白酶抑制剂-2、胰岛素样生长因子结合蛋白-7、胱抑素C、白细胞介素-18、肝型脂肪酸结合蛋白等[5]。本例患者发现及时,尿量减少、肌酐升高明显,入院后保肾处理,依据病理予激素联合他克莫司治疗,配合五脂胶囊维持他克莫司药物浓度,血肌酐进行性下降,避免了向慢性肾功能不全转化。
他克莫司是一种钙调神经磷酸酶抑制剂,可通过与免疫亲和素结合,形成复合物,抑制钙调磷酸酶活性,从而影响T细胞增殖,与激素联合使用可增强免疫抑制作用,同时减少糖皮质激素用量,减轻激素的长期负面影响[6]。不仅如此,他克莫司可通过稳定肌动蛋白细胞骨架、减少血管生成素样蛋白-4直接保护足细胞,进而对微小病变肾病起到治疗作用[7]。老年肾病综合征患者他克莫司联合泼尼松治疗转归受TC、IgA、GR亚型、CYP3A基因型影响,可采取相应的治疗措施,提高患者治疗效果[8]。该例患者病理虽为微小病变,但肾功能进展快,病理提示足细胞病变明显,为尽快达到治疗效果缓解肾功能损伤,在制定治疗方案之初,我们即采用足量激素联合他克莫司的治疗方案,从临床的实际应用情况看患者采用该治疗方案仅6 d,尿量开始明显增加,水肿开始减退,肾功能开始逐渐恢复,用药2周复查血肌酐水平已经恢复到108 μmol/L,达到了预期的治疗目的。
微小病变肾病的治疗中,以激素作为一线基础药物,环磷酰胺和环孢菌素是最广泛使用的二线药物,他克莫司是一种更有效的免疫抑制剂,具有更有利的肾脏安全性,对于其他免疫抑制剂治疗失败的患者,可有效作为挽救治疗。有研究证实在疾病缓解、复发和药物相关的不良反应方面,他克莫司单药治疗微小病变肾病与皮质类固醇单药治疗效果相当,且他克莫司小剂量能减少他克莫司的肾毒性[9]。与单独使用类固醇相比,他克莫司和类固醇联合使用维持治疗的复发率显著降低[6]。本例患者老年男性,肾功能恶化迅速,采用他克莫司联合激素治疗,相比与其他方案,不良反应更小,免疫抑制能力更强,针对微小病变肾病足细胞的保护作用更好,且比单用激素的复发率小,最终患者恢复情况也证实这个方案的有效性。
本例提示,临床应用激素联合他克莫司治疗微小病变肾病以及其导致的AKI有不错的疗效,在综合评估适应证的情况下,要积极处理,避免不良并发症的发生。
所有作者均声明本研究不存在利益冲突























