
患者,男性,39岁,因"意识不清18 d"就诊。既往"糖尿病"病史5年,2个月前诊断"慢性肾脏病5期",开始规律腹膜透析治疗,1个多月前出现"腹膜炎",在外院予抗感染治疗后好转出院。
患者18 d前无诱因出现步态不稳,随后出现全身抽搐、两眼上翻,伴意识不清,在外院经"气管插管机械通气、血液透析、抗癫痫、抗感染"等治疗,症状好转,但仍意识模糊遂转入本院,住院期间患者出现帕金森样震颤加重、吞咽困难、肌力下降、重度低钠血症、多尿。入院体格检查:嗜睡,叫醒后反应迟钝,言语不能,构音障碍,四肢肌力3级,肌张力偏低,双侧巴氏征阳性。
入院后完善相关辅助检查,根据症状体征等临床表现,结合影像学检查学结果,诊断为尿毒症脑病。
给予血液透析1次,随后予规律腹膜透析,丙戊酸钠抗癫痫、艾司唑仑镇静,高压氧舱康复训练等综合治疗。
患者神志转清,震颤消失,口齿逐渐清晰,咀嚼及吞咽恢复正常,四肢肌力恢复至5级。
肾内科;神经内科;内分泌科;内科;重症医学科
版权归中华医学会所有。本文为遵循CC-BY-NC-ND协议的开放获取文章。
豆状核叉征(lentiform fork sgin)是由Kumar等[1]在2010年提出的一种特征性脑部影像学征象,表现为双侧豆状核区对称的异常信号,其病灶边缘形似叉子,故而得名,目前国内报道较少,临床多见于亚洲人群,特别是糖尿病终末期肾病患者[2]。近期我院收治1例尿毒症脑病患者,符合此影像学表现,现报道如下,旨在提高临床对本病的认识,及时诊断及时治疗。
患者,男,39岁,因"意识不清18 d"于2022年7月31日入住我院。患者于18 d前无诱因出现步态不稳,随后出现全身抽搐、两眼上翻,伴意识不清,无口吐白沫,无发热,无腹痛,尿量可,在外院经"气管插管机械通气、血液透析、抗癫痫、抗感染"等治疗,症状好转,但仍意识模糊遂转入我院。
既往史:"糖尿病"病史5年,规律服用"瑞格列奈、二甲双胍、阿卡波糖"控制血糖。2年前发现"肾功能不全",一直未系统诊治,2022年5月21日在外院诊断为"慢性肾脏病5期",开始规律"腹膜透析"治疗,2022年6月21日出现"腹透液浑浊"在外院诊断为"腹膜炎",经"苯唑西林4.0腹腔用药、每日2次"抗感染治疗15 d后好转于2022年7月11日出院。否认"高血压"病史。婚育史:离异,育有1女,体健。家族史:母亲患有"糖尿病、慢性肾脏病5期、肾囊肿、胰腺萎缩钙化",现规律腹膜透析治疗,父亲及弟弟体健。
入院体格检查:体温37℃,脉搏85次/min,呼吸20次/min,血压120/82 mmHg(1 mmHg=0.133 kPa),心肺体格检查无殊,腹部留置腹膜透析导管,管周皮肤无红肿,无压痛,双下肢无浮肿。神经系统体格检查:嗜睡,叫醒后反应迟钝,言语不能,双手持物震颤,四肢肌力3级,肌张力偏低,双侧巴氏征阳性,颈无抵抗,克氏征阴性。
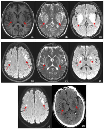
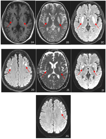
外院相关检查:2022年7月14日血气:pH 7.17,二氧化碳分压(PaCO2)21 mmHg,氧分压(PaO2)159 mmHg,钠133 mmol/L,葡萄糖6.8 mmol/L,乳酸17 mmol/L,实际碳酸氢根7.7 mmol/L,标准碳酸氢根10.1 mmol/L。肾功能:肌酐1107 μmol/L,尿素氮20.2 mmol/L。2022年7月14日头颅CT:两侧基底节区对称性密度减低。2022年7月19日头颅MR+增强:双侧额叶及基底节见斑片状,小片状稍长T1稍长T2信号影,增强强化不明显,弥散像呈高信号,ADC呈低信号,周围可见水肿信号,考虑代谢性脑病,结合临床考虑肾性脑病可能。入住我院相关化验,2022年7月31日血气分析,pH 7.45,二氧化碳分压31.1 mmHg,氧分压149.8 mmHg,实际碳酸氢根21.4 mmol/L,标准碳酸氢根22.7 mmol/L,阴离子间隙20.5,乳酸0.6 mmol/L,钾3.84 mmol/L,钠138.5 mmol/L,钙1.23 mmol/L。2022年7月31日血常规:白细胞9.3×109/L,中性粒细胞占比0.787,红细胞计数2.58×1012/L,血红蛋白83 g/L,血小板计数230×109/L,2022年8月1日生化:白蛋白34 g/L,总胆红素3.9 μmol/L,谷丙转氨酶3 U/L,尿素氮35.48 mmol/L,肌酐645 μmol/L,尿酸488 μmol/L。尿常规:尿蛋白阳性1+,尿隐血阳性3+,红细胞计数131/μl;甲状旁腺激素214.9 pg/ml。2022年8月5日腹透液常规:有核细胞计数10×106/L,蛋白定性2+;血钠125.9 mmol/L;2022年8月13日24 h尿钠328.6 mmol/24h,24 h尿量2900 ml。2022年8月15甲状腺功能:FT3 1.36 pg/ml,FT4 0.68 ng/dl。影像学检查:2022年8月2日胸部+腹部CT:两肺下叶微小结节,胆囊结石,胰头周围多发钙化灶,两肾多发囊性灶,左肾小结石。2022年8月2日头颅MR:两侧基底节、额叶异常信号,结合临床考虑尿毒症脑病,两侧额部硬膜下积液,两侧乳突炎,两侧上颌窦囊肿。2022年8月23日头颅MR:两侧基底节、额叶异常信号,符合尿毒症脑病,较前(2022年8月2日)吸收。发病第20天头颅MRI及CT表现见图1,发病第41天头颅MRI表现见图2。




诊断:尿毒症脑病、慢性肾脏5期、肾性贫血、2型糖尿病、癫痫。
鉴别诊断:(1)脑梗死。影像学提示病灶沿血管分布,很少呈双侧对称性病变,病变不可逆,常遗留相应神经病变后遗症。(2)抗生素脑病。多见于有明确抗生素使用史的肾功能不全患者,应用抗生素过程中出现精神异常、抽搐等脑病症状,诊断需排除尿毒症脑病、代谢性脑病等其他疾病。
入院后予血液透析1次,因患者透析过程中血压下降(低至80/43 mmHg),改行腹膜透析,并予丙戊酸钠抗癫痫、艾司唑仑镇静,纠正电解质紊乱,改善贫血,康复训练及高压氧舱治疗。
患者入院时嗜睡,住院期间出现双手持续震颤加重,持物时明显,进食时有下颌及舌部抖动,咀嚼及吞咽困难,四肢肌力下降,下肢最低至0级,尿量最多达4400 ml,经上述治疗患者神志转清,震颤消失,口齿逐渐清楚,四肢肌力恢复至正常,复查头颅MRI提示病灶明显吸收,住院第32天顺利出院。
尿毒症脑病(uremic encephalopathy,UE)由内源性尿毒症毒素引起的中枢神经并发症,临床表现为意识水平下降、头痛、肌阵挛、震颤和癫痫发作[3],尿毒症脑病的根据影像学表现包括皮质或皮质下受累、基底神经节受累和白质受累,其中基底神经型较少见[4]。
豆状核叉征是一种特征性的影像学表现,可视为尿毒症脑病的基底神经型,在CT上表现为双侧豆状核区对称性低密度改变,在头颅MRI上为双侧豆状核区对称性T1WI像低信号,T2WI像及T2FLAIR像高信号,这种高信号尤以豆状核边缘的内囊后肢及外囊最为明显,且两者向后延伸形成叉状外观,叉子的柄由内囊后肢和外囊后部融合而成,内囊后肢和外囊分别构成叉子的内侧臂和外侧臂,内外两臂之间夹着豆状核(包括壳核及内外侧苍白球)[1]。
豆状核叉征发病机制目前尚不清楚,可见于多种疾病,如尿毒症性脑病、甲醇脑病综合征、二甲双胍脑病、系统性红斑狼疮等[5]。Kumar等[1]回顾分析了22例不同情况的患者中,发现豆状核叉征均与代谢性酸中毒相关,推测代谢性酸中毒是关键的病理生理变化的基。终末期糖尿病肾病患者多发,这可能与糖尿病患者长期存在交感神经病变,脑血管反应性受损、内皮功能紊乱相关[1,6,7]。本例患者有糖尿病基础疾病,属该病易发人群,另外,患者发病前有较大剂量抗生素(苯唑西林)使用,不能除外抗生素诱发脑病可能,且患者有长期服用"二甲双胍"病史,二甲双胍脑病亦需考虑。
豆状核叉征多为急性或亚急性起病,相应临床表现为:弥漫大脑半球受累表现:包括意识障碍,快速进行性智力减退及淡漠,注意力下降,情绪调节调节障碍等精神异常。椎体外系受累表现:全身性舞蹈征,缺乏震颤或震颤不典型的帕金森综合征,肌张力增高或减低,肌张力障碍等。其他症状还包括共济失调、构音障碍、吞咽困难、强制阵挛性肌肉震颤[2,6]。
尿毒症脑病最有效的治疗方法目前认为是及时血液透析治疗,及时改善代谢性酸中毒、纠正电解质紊乱及清除尿毒症毒素等,大部分患者预后良好。出现豆状核叉征往往提示病情较重,死亡风险高,常死于继发的合并症[6]。该患者入住我院后出现肌力再次下降,有帕金森样震颤等椎体外系症状,且出现多尿、重度低钠血症、尿钠排泄增多,考虑继发抗利尿激素异常综合征,经腹膜透析及补钠限液等综合治疗后好转,提示腹膜透析治疗有效,临床需重视并发症治疗。
另外,本例患者的原发肾病没有明确,结合患者母亲有类似"糖尿病、尿毒症、胰腺钙化、肾囊肿"病史,考虑某种遗传性疾病可能性大,但因我院目前医疗条件有限,尚无法明确。
综上所述,当终末期肾病患者出现意识改变、运动迟缓、肢体震颤、姿势不平衡、构音障碍、吞咽困难等症状,需及时完善脑部磁共振检查,当MRI表现为豆状核叉征时需考虑该综合征,及时血液透析及后续腹膜透析可以获得较好的疗效。
所有作者均声明本研究不存在利益冲突





















