
患者,10岁起病,出现双肘关节畸形,无法伸直。12岁开始髋关节活动障碍、运动迟缓、行走摇摆,下蹲困难,指间关节膨大。
肘关节畸形,髋关节活动障碍,行走摇摆。风湿相关实验室指标检查正常,X线检查关节间隙狭窄,脊柱侧弯,部分椎体呈鸟嘴样。
典型临床特征、X线改变和基因筛查
支持疗法,关节疼痛予以非甾体抗炎药缓解。患者血25OHD低于正常,予骨化三醇支持治疗
关节疼痛明显,畸形加重
内分泌科;风湿免疫科
版权归中华医学会所有。本文为遵循CC-BY-NC-ND协议的开放获取文章。
进行性假性类风湿性发育不良症(progressive pseudorheumatoid dysplasia,PPD)又称脊柱-骨骺发育不良伴进行性假性类风湿样骨发育不良,由Wynne-Davies等[1]于1982年首次报道,是一种罕见的常染色体隐性遗传性骨疾病,表现为持续性关节软骨变性和丢失,进行性的骨关节僵硬,关节膨大、畸形及活动受限。PPD典型的症状和体征通常在3~8岁间发生[2],最初一般是出现指间关节肿胀、疼痛、异常行走方式、活动受限,以及手指和膝关节的僵硬[3]。脊柱受累是该病的另一个突出表现,早期脊柱受累往往没有症状,晚期症状包括脊柱侧弯、腰椎前凸和胸椎后凸畸形[4]。患者身材矮小,随着年龄增长疾病进展,最终丧失运动能力。
PPD由Wnt1诱导信号蛋白3(WISP3)基因突变引起,该基因位于染色体6q22[5]。WISP3是一种生长因子,通过促进Ⅱ型胶原蛋白和软骨蛋白聚糖的表达以及调节软骨细胞的增殖和分化而参与软骨的稳态和骨的生长[6]。
本研究报道1例WISP3突变导致的PPD患者,旨在提高对本病的认识,减少误诊和漏诊。
PPD先证者为15岁男性,该患者10岁起病,出现双肘关节畸形,无法伸直。12岁开始髋关节活动障碍、运动迟缓、行走摇摆,下蹲困难,指间关节膨大。其X线表现为左桡骨小头骨性突起,骨小梁稀疏,骨端膨大,肘关节关节间隙狭窄;骨盆局部骨质增生变尖,双侧股骨头骨质密度不均,骨端膨大,关节间隙变窄;脊柱侧弯,部分椎体扁平。先证者足月顺产,其父母非近亲结婚,父母和两个姐姐均健康,家族中无类似病例。就诊时身高158.9 cm,体重54kg,臂展150 cm,上部量82 cm,下部量76.9cm。
先证者血清β- I型胶原交联羧基末端肽(β-CTX)升高,25羟维生素D (25OHD)水平下降。血清碱性磷酸酶(ALP)、血清电解质(钾、钠、钙、磷)、尿素氮(BUN)、肌酐(Cr)、甲状旁腺素(PTH)、红细胞沉降率(ESR)、C-反应蛋白(CRP)、环瓜氨酸肽抗体(CCP3)、类风湿因子(RF)、抗核抗体(ANA)等均为正常数值(表1)。

先证者初诊生化指标
先证者初诊生化指标
| 血清生化指标 | 结果 | 参考值 |
|---|---|---|
| β-CTX (ng/L) | 1720 | 278~540 |
| OC (ng/ml) | 80.90 | 13.07~27.68 |
| ALP (U/L) | 149 | 15~112 |
| K (mmol/L) | 4.67 | 3.50~5.50 |
| Ca (mmol/L) | 2.38 | 2.08~2.60 |
| P (mmol/L) | 1.42 | 0.8~1.6 |
| BUN (mmol/L) | 4.7 | 2.5~6.4 |
| Cr (μ mol/L) | 62.0 | 53.0~115.0 |
| PTH (pg/ml) | 26.55 | 15~65 |
| 25OHD (ng/ml) | 19.91 | >20 |
| RF (U/ml) | 1 | <18 |
| CCP3 (U/ml) | 2.60 | <20 |
| ANA (units) | 3.39 | <20 |
注:β-CTX:β- I型胶原交联羧基末端肽;OC:骨钙素;ALP:碱性磷酸酶;BUN:尿素氮;Cr:肌酐;PTH:甲状旁腺素;25OHD:25羟维生素D;CCP3:环瓜氨酸肽抗体;RF:类风湿因子;ANA:抗核抗体
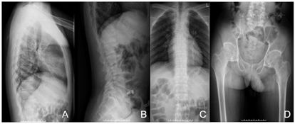
先证者X线检查表现为:左桡骨小头骨性突起,骨小梁稀疏,骨端膨大,肘关节关节间隙狭窄;骨盆局部骨质增生变尖,双侧股骨头骨质密度不均,骨端膨大,关节间隙变窄;脊柱侧弯,部分椎体扁平,呈鸟嘴样。该PPD患者无智力障碍,无听力、视力、嗅觉受损。先证者家庭成员临床表型正常(图1、图2)。




先证者使用双能X线吸收仪( Lunar Prodigy)测量骨密度,检查结果显示,L1-4为0.899 g/cm2(Z值:0.30),股骨颈为0.725 g/cm2(Z值:-1.50)。
DNA直接测序发现,先证者WISP3基因的外显子5存在一个纯合突变位点(p.Cys209MetfsX21),其在第5外显子插入1个碱基(A),这个突变使编码半胱氨酸的密码子变为编码甲硫氨酸的密码子,导致氨基酸编码错误,且由于移码突变,最终导致氨基酸编码终止在p.230位置。同时,在该先证者父亲和母亲中均发现WISP3基因的外显子5存在一个杂合插入突变位点(p.Cys209MetfsX21)。
根据病人的家族史、临床表现、X线表现及WISP3基因检测可确诊进行性假性类风湿性发育不良症。但本病需与幼年特发性关节炎(juvenile idiopathic arthritis,JIA)、迟发性脊柱骨骺发育不良(X-linked SEDT)、黏多糖病(Ⅳ型)等相鉴别。(1)JIA:该病伴关节疼痛、活动受限。但该病无脊柱骨骺发育不良,多为慢性、对称性多滑膜关节炎,同时伴有关节外表现,虹膜睫状体炎、贫血、外周白细胞和血小板增多,淋巴结肿大等。实验室检查发现血沉、C反应蛋白、类风湿因子、抗核抗体等增高。(2)X-linked SEDT:该病是一种X-连锁隐性的、晚发的、进行性的骨骼疾病。该病的特点是由于板状突起引起的轻度至中度的短躯干性侏儒,在6~8岁左右开始明显。其他特征性的临床特征包括桶状胸和髋关节发育不良。X线表现包括椎体上下缘凹陷、中后部呈驼峰状突起,椎间隙狭窄,股骨头扁平,股骨颈短。患者5岁之前X线检查通常没有异常。临床上可以通过相关基因分析明确诊断。(3)黏多糖病(Ⅳ型):该病患者出生时表型正常,多在婴幼儿时期发病。躯干短,呈躯干型侏儒,鸡胸、下胸段脊柱后凸畸形,四肢屈曲畸形,膝内翻或外翻等,智力多正常或轻度障碍。脊柱骨盆X线的改变是特征性的椎体变扁,间隙增宽,胸腰段椎体前缘呈舌状突起,髋臼深而大,股骨头扁平或骨骺破碎,耻骨联合增宽。实验室可发现尿液黏多糖定量阳性、酶活性测定可明确分型。在临床上亦可以通过相关基因分析明确诊断。
目前PPD无特异性治疗,主要为康复和对症支持治疗。关节疼痛予以非甾体抗炎药缓解。患者血25OHD低于正常,予骨化三醇支持治疗。另患者骨量较低,予钙片治疗。
考虑到该患者病情进展较快,随访一年,关节疼痛明显,活动受限加重,行走困难未来需要考虑髋关节置换。
PPD是一种罕见的常染色体隐性遗传性骨疾病,其特点是进行性非炎症性多发性关节病,主要影响滑膜关节的关节软骨,导致关节畸形。据估计,在英国,大约每百万人中有1人发生PPD[1]。虽然土耳其和中东被认为更为常见,但其患病率尚不清楚[7]。另外PPD常被误诊,导致患病率更加不可估计。
PPD的症状通常在3~8岁之间出现,有进行性的关节疼痛和僵硬8。PPD的实验室检查并没有炎症,血清类风湿因子和抗核抗体为阴性。虽然儿童时期就出现相关症状,但常在青春期晚期才被诊断为PPD[8],此时,患者通常已经出现明显的关节畸形和脊柱病变。并且随着年龄的增长,骨骼病变进展。本研究中的患者来我院就诊时指间关节膨大、肘关节和髋关节已经出现畸形,患者活动受限,并且关节疼痛明显。随访中患者关节疼痛仍然明显、关节畸形加重。
PPD的明确诊断需要结合临床表现和遗传学诊断。可疑的PPD患者可以通过基因筛查进一步确认。我们从2010年开始建立的上海市骨疾病临床研究中心数据库中具有庞大的代谢性骨病的临床和遗传数据,对这种罕见疾病的诊断有丰富的临床经验。本中心到目前为止,已经报道了WISP3突变的7个家系[9,10,11]。本研究中,患者的诊断基于典型的临床表现和基因筛查。
WISP3是CCN基因家族的成员[12]。CCN蛋白是调节结缔组织中细胞增殖、分化、迁移和黏附的生长因子[13]。到目前为止报道的与PPD相关的突变已经有五十几种[14]。WISP3在PPD发病机制中的作用仍有待阐明。在斑马鱼中的研究显示,WISP3参与斑马鱼软骨的发育,BMP和/或Wnt信号的失调可能导致人PPD的软骨退化[12]。WISP3通过促进Ⅱ型胶原蛋白和软骨蛋白聚糖的表达以及调节软骨细胞的增殖和分化而参与软骨的稳态和骨的生长。Wang等[15]研究表明,WISP3可能通过抑制软骨细胞的增殖,促进软骨祖细胞的分化,起到调节作用。突变的WISP3蛋白增加了增殖活性,减少了C-20/A4细胞的凋亡,同时在细胞质中也有异常的聚集。因此,WISP3突变的软骨细胞中蛋白质分布、细胞增殖、胶原蛋白合成和分泌的异常可能是PPD的发病机制。
对于PPD的治疗只是支持性的,包括止痛药、物理治疗和手术干预。手术干预是目前治疗的主流。全髋关节置换术(THA)是PPD患者恢复关节功能和改善生活质量的一种治疗选择。事实证明,THA是治疗PPD患者髋关节病变的有效方法,随访18个月至93个月(平均47.9个月)后,临床指标和影像学结果都得到有效改善[16]。另外研究显示骨化三醇可能通过加速软骨细胞凋亡来维持PPD患者的关节软骨细胞的正常增殖17,因此骨化三醇可能为维生素D缺乏的PPD患者提供一个潜在的治疗选择。本研究中,PPD患者25OHD水平较低,予骨化三醇治疗,但效果并不显著。目前尚无病因学治疗。
总之,PPD需要得到风湿免疫科医生的认识,以防止延误诊断和不必要的免疫抑制药物的使用。早期可以给予康复治疗,更重要的是应向病人及其家属提供遗传咨询。
所有作者均声明本研究不存在利益冲突





















