
患者,男性,28岁,因"间断发热2个月"入院。患者近2个月间断高热,热后汗多,给予布洛芬降温治疗。发热3 d后出现头痛,于当地医院就诊,给予甘露醇降颅压等治疗后好转,但患者四肢逐渐出现水肿,查血常规示重度贫血,尚未明确诊断。
患者入院时仍间断高热,最高体温40.5℃,乏力明显,伴全身水肿,以四肢为著。体格检查:全身皮肤黏膜苍白无黄染,未见瘀点、瘀斑,浅表淋巴结未扪及肿大,胸骨无压痛,双下肢重度水肿,余查体无特殊阳性体征。
全血细胞减少,总蛋白及白蛋白减低,铁蛋白升高,头胸腹部皮下软组织水肿及双侧胸腔积液;骨穿可见异常细胞28%,考虑淋巴瘤可能;骨髓活检及免疫组化提示幼稚细胞增生,NK细胞淋巴瘤骨髓浸润不排外;流式细胞可疑NHL-NK;染色体示:77-81,(4n),XXYY,-1,psudic(1;1)(q42;p13)×2,-2,-6,-9,add(12)(q24),-13,-14,-21,-22[cp15]/46,XY[5]。诊断为侵袭性NK细胞白血病(ANKL)。
2017年11月23日开始予以P-GEMOX方案联合沙利度胺化疗,并碱化、水化、补充白蛋白、输注血浆等支持治疗。
患者接受P-GEMOX联合沙利度胺治疗后体温逐渐恢复正常,全身水肿减轻,但病情仅稳定约1周后再次出现高热等症状,因自身经济原因未能继续接受治疗,于2017年12月20日死亡。
血液科;肿瘤内科
版权归中华医学会所有。本文为遵循CC-BY-NC-ND协议的开放获取文章。
侵袭性NK细胞白血病(aggressive NK cell leukemia,ANKL)是一种相对罕见且侵袭性极强的NK细胞恶性肿瘤,其发病率约占造血淋巴细胞肿瘤的0.1%,ANKL早期诊断困难,临床进程快,最佳有效的治疗方案尚未确定,治疗效果差,病死率极高,临床报道病例亦有限[1,2,3]。现报道一例以发热,全身水肿为首发表现的ANKL 1例,患者有特征性骨髓细胞形态学特点(细胞体积大,核型不规则等),染色体核型为复杂核型。予以P-GEMOX联合沙利度胺获得治疗反应,但持续时间短暂。以此丰富临床医师对ANKL的认识。
患者,男,28岁,因"间断发热2个月"入院,患者于入院前2个月无明显诱因出现发热,体温最高可至40℃,热后大汗淋漓,并畏寒喜热,无咳嗽、咳痰、腹痛、腹泻等不适,患者就诊于当地诊所,给予布洛芬退热治疗后发热有所缓解。3 d后患者无明显诱因出现头痛、恶心,无头晕、呕吐、四肢肌肉疼痛等不适,就诊于当地医院,予以甘露醇降颅压治疗后头痛缓解,但发热仍间断发生,且发热间隔时间不定,最长可达2 d,最高体温可至40℃,热峰均在下午和晚间,每次约1 h可自行退热,患者自行间断服用奥司他韦、布洛芬等药物治疗,但发热无明显缓解,渐进性出现四肢水肿,遂至西安某医院就诊,查血常规:白细胞计数4.39×109/L,MO% 0.26,RBC 2.84×1012/L,HGB 81 g/L,PLT 125×109/L;尿常规:尿蛋白定量2+,尿胆原2+,尿红细胞13.4/μl;白细胞介素6 83.410 pg/ml;红细胞沉降率56 mm/h;ALB 22.9 g/L,铁蛋白1350 μg/L。双下肢彩超:双下肢皮下软组织水肿增厚;腹部彩超:脾大;于2017年11月13日转诊至兰州大学第二医院血液科,以"中度贫血"收住,患者自发病以来,神志清楚,精神差,食欲差,睡眠尚可,大小便正常,近期体质量无明显增减。既往身体健康,无特殊家族史,否认有冶游史。患者于10年前外伤后脑出血、脑积水后行脑脊液腹腔分流术,术后恢复可。
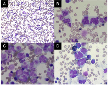
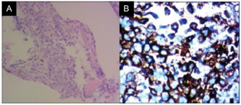
实验室检查:血常规:白细胞计数3.74×109/L,NE% 54%,LY% 30%,MO% 14%,HGB 79 g/L,MCV 89.0 fl,PLT 66×109/L;生化指标示:ALT 52 U/L,TP 40 g/L,ALB 17.5 g/L,LDH 463 U/L。余肝功能、肾功能、甘油三酯等指标均正常。甲状腺功能:FT3 2.78 pmol/L,FT4 10.29 pmol/L,TSH 5.005 uIU/ml;肿瘤标志物:NSE 31.30 ng/ml,余肿瘤标志物均正常;24 h尿蛋白0.80 g/24 h;血β2-微球蛋白4 562 ng/ml;EB病毒早期抗原(EA)IgG抗体阴性,EB病毒壳抗原(VCA)IgM抗体阴性。EB病毒核抗原(EBNA1)IgG抗体阳性,EB病毒VCA抗体(IgA)阴性,EB病毒壳抗原(VCA)IgG抗体阳性。EB-DNA(全血标本):阴性(<5.00e+02)。自身免疫指标、血清免疫固相电泳、传染病全套、CMV-DNA、结核T-SPOT无异常。头、胸、腹CT:(1)脑积水并腹腔分流术后;(2)双侧上颌窦炎症;(3)双肺坠积性改变,双侧胸腔积液;(4)心包少量积液,贫血;(5)脾大;(6)头胸腹部皮下软组织水肿。心脏彩超:左心轻度增大,心包积液(少量)心功能正常,肺动脉压正常范围,三尖瓣反流(轻度)。骨髓细胞形态:骨髓穿刺:异常细胞28%,考虑淋巴瘤(图1)。流式:异常细胞占有核细胞的14.51%,SSC增大,表达CD7、CD38、CD45RA、CD2、CD8、HLA-DR、CD94;部分表达CD33;不表达CD19、CD117、CD34、CD4、CD5、CD3、cCD3、CD56、CD16、CD57、CD28、CD25。意见:可疑NK-NHL(图2)。骨髓活检(图3A):造血组织增生不均一,区域性增生极度减低,区域性增生明显活跃,脂肪组织增生;增生区粒、红、巨三系散在,幼稚细胞增生,胞体轻度大小不等,部分核型不规则,呈片分布。免疫组化(图3B):CD8+、CD3幼稚细胞-、CD10幼稚细胞-、CD56-、CD34-、CD117-、CD20幼稚细胞-、TDT-、CD2-、CD46RO幼稚细胞-。结论:幼稚细胞增生,结合免疫组化,NK细胞淋巴瘤骨髓浸润不排除。染色体核型分析(图4):77-81,[4n],XXYY, -1,psu dic(1;1)(q42;p13)×2,-2,-6,-9,add(12)(q24),-13,-14,-21,-22 [cp15]/46,XY [5]。








诊断:ANKL。ANKL是一种与EBV感染密切相关的NK细胞恶性增殖性疾病,国内外对ANKL尚无统一的诊断标准,其诊断主要依据患者的临床表现,细胞形态学,遗传性及免疫学特征综合考虑。临床表现:高度侵袭性过程,病程进展极快,起病时多有明显的全身症状如高热、乏力、盗汗、食欲减低等,恶性NK细胞脏器浸润症状较为明显,也可累计浆膜腔,皮肤,中枢神经系统等,血常规呈一系或多系进行性减少,部分患者LDH升高并有EBV感染的证据。细胞形态学:骨髓及外周血中NK肿瘤细胞比例差异较大,必要时需要多部位穿刺并才能发现异常的NK细胞,NK细胞形态与大小有明显异质性,可类似正常的大颗粒淋巴细胞增生;细胞遗传学及分子遗传学:ANKL无特征性的遗传学异常,多数为高度复杂核型异常,此外del(6)(q21q25),11q-较常见;ANKL的T细胞受体为胚系构型。免疫表型:首先需要确定增生的细胞来源于NK细胞,表达CD56+、CD16+、sCD3-、CD2+、CD7+、CD4-、CD8部分+,无TCRγδ和TCTαβ的表达,T系、B系和髓系特异性标准为阴性;其次需要确定增生的NK细胞是克隆性还是反应性增生,可借助杀伤细胞免疫球蛋白样受体(KIR)家族与CD94-NKG2家族是否出现特征性偏移进行鉴别,此外Ki67抗原平均表达水平为60%(23%~99%),反应性NK细胞多低于20%[4]。此患者病情进展快(生存期不到1个月);临床表现为高热、全身水肿;结合骨髓细胞形态、免疫表型(CD8及CD94+),骨髓免疫组化染色(CD8+)及染色体核型分析等检查结果,诊断ANKL明确。
鉴别诊断:(1)慢性NK细胞淋巴增殖性疾病:该病相对少见,且有较大的异质性,但EBV检查多为阴性。慢性NK细胞淋巴增殖性疾病表现为持续6个月以上,无诱因的外周血成熟NK细胞增多(≥2×109/L),临床呈惰性过程,大多数患者无症状,肝、脾及淋巴结肿大少见,少数患者表现为血细胞减少、浅表血管炎、周围神经并及肾小球肾炎。骨髓中常有NK细胞浸润,需借助免疫表型确认,其免疫表型为CD56弱阳性或阴性,sCD3阴性,cCD3阳性,TIA1、颗粒酶B及M阳性,Ki67抗原表达多低于20%,该病预后良好。此患者临床,免疫表型等均不符合此病的诊断标准[4]。(2)T-大颗粒淋巴细胞白血病:好发于老年人,以外周血大颗粒淋巴细胞增多[(2~20)×109/L]且持续6个月以上为主要表现。为惰性临床病程,中性粒细胞减少和缺乏、成人周期性发作的中性粒细胞减少、类风湿性关节炎伴粒细胞减少、淋巴细胞增多及纯细胞再生障碍性贫血需要考虑本病的可能。大颗粒淋巴细胞常累及外周血、骨髓、肝脾,但淋巴结累及罕见。TCR基因克隆性重排阳性,特征性的免疫表型如CD3、CD8、TCTαβ阳性等可用于鉴别诊断。此患者临床表现及各项检查结果均不符合T-大颗粒淋巴细胞白血病的诊断[4]。(3)噬血细胞综合征:噬血细胞综合征又称噬血细胞性淋巴组织细胞增多症,是一种免疫介导的危及生命的疾病,是一类有原发或继发性免疫异常导致的过度炎症反应综合征,临床以出血、发热、肝脾肿大、全血细胞减少以及骨髓、肝、淋巴结组织发现噬血现象为主要特征。其中继发性噬血细胞综合征是由感染、肿瘤、风湿性疾病等多种病因启动免疫系统的活化机制所引起的一种反应性疾病,恶性肿瘤相关的噬血细胞综合主要是血液系统恶性肿瘤,可见于淋巴瘤,急性白血病,多发性骨髓瘤,骨髓增生异常综合征等,其诊断需要符合8条指标(如发热、脾大、铁蛋白升高等)至少5条标准。ANKL常合并有继发性噬血细胞综合征,此例患者入院时高热,铁蛋白升高,脾大,骨髓可偶见噬血细胞,但甘油三酯及FIB水平正常。考虑患者基础疾病诊断明确,未送检NK细胞活性及可溶性白细胞介素-2受体检查,综合以上因素,患者初诊示诊断继发噬血细胞综合征证据不足。
于2017年11月23日开始予以患者P-GEMOX联合沙利度胺方案化疗治疗(吉西他滨1 600 mg,d1 d8、奥沙利铂200 mg d1、培门冬酶3 750 mg d2,沙利度胺100 mg qn持续服药),并碱化、水化、补充白蛋白、输注血浆、利尿等治疗,期间动态监测血常规并于化疗后骨髓抑制期(化疗后第4天复查血常规:白细胞计数1.20×109/L,NE 0.26×109/L,HGB 64 g/L,PLT 5×109/L)予以重组人白介素-11刺激造血、输注血小板等治疗。患者治疗期间体温逐渐下降至正常(图5),全身水肿好转出院,院外病情稳定约1周,于2017年12月18日至兰州大学第二医院血液科门诊复诊前3 d再次出现高热,体温波动约在39~40℃,全身水肿,乏力渐进性加重,并出现二便失禁。于门诊查血常规:白细胞计数25.74×109/L,NE% 0.38,LY% 0.22,MO% 0.39,HGB 35 g/L,PLT 57×109/L。生化指标:GLU 3.59 mmol/L,UA 562 μmol/L,Ca 1.91 mmol/L,AST 178 U/L,TP 28.2 g/L,ALB 13.2 g/L,LDH 3 773 U/L。凝血因子:PT 24.7 s,PT% 27.5%,APTT 59.5 s,FIB 1.10 g/L,TT 25.7 s,D-dimer 1.22 mg/L,FDP 3.70 μg/ml。拟收住入院治疗,患者及家属因自身经济原因放弃治疗。


患者接受第一疗程P-GEMOX联合沙利度胺治疗后病情一度好转,体温恢复正常,全身水肿好转,但维持时间极短暂病情即再次快速进展,因经济原因放弃治疗,随访患者于2017年12月20日死亡。
ANKL是一种罕见且高度侵袭性的恶性肿瘤,2008年WHO造血及淋巴组织肿瘤分类中,ANKL纳入成熟T/NK细胞组织肿瘤的范畴,亚洲人高发,中位发病年龄约42岁,主要发生于少年和青壮年,男女比例接近2∶1。目前认为ANKL是一种EB病毒感染密切相关的NK细胞淋巴增殖性疾病,以系统性NK细胞浸润和侵袭性临床过程为特征[3,5]。
ANKL为多器官受累的全身性疾病,患者通常有发热、肝脾肿大、全血细胞减少等症状,多合并有噬血细胞综合征、多器官功能衰竭及弥散性血管内凝血。国内研究资料显示,共22例患者,21例(95.5%)出现发热,18例(81.8%)合并继发噬血细胞综合征,另有研究统计34例ANKL患者,其中19例患者发病时伴有噬血。ANKL初诊时多有血细胞、ALB水平减低,LDH、ALP及β2-微球蛋白水平升高,以上指标异常和ANKL疾病消耗及肿瘤负荷有关[2]。
流式免疫表型是诊断ANKL的重要手段。ANKL的典型免疫表型为CD2+、sCD3-、cCD3+、CD56+、CD16+,但可有CD7、CD8其他T细胞标志表达。国内统计22例ANKL,中位发病年龄35岁(15~70岁),男女比例为8∶3,免疫表型sCD3- 100%、cCD3+ 40.9%、CD56+ 100%、CD16+ 31.8%、CD2+90.9%、CD7 40.9%。此例患者免疫表型CD3-、cCD3-、CD56-、CD16-、CD2+、CD7+,和以上研究CD56表达存在差异,但此例患者表达CD8、CD94,支持ANKL的诊断[2]。
ANKL目前尚无确切有效的治疗方案,预后极差,生存期极短,一项多中心研究分析113例ANKL患者,中位OS时间约55 d,1年OS率仅4.42%。其他多项临床研究中位OS均约为50余d[6]。ANKL对传统的CHOP和CHOP样方案反应较差,其化疗耐药性认为示由P-glycoprotein(一种由MDR1基因编码的在NK细胞表达的跨膜外输泵)所介导[7],而左旋门冬酰胺酶不受糖蛋白P-glycoprotein的影响,因此多个研究证实含左旋门冬酰胺酶的联合化疗方案可显著提高疾病缓解率,造血干细胞移植在ANKL治疗中的应用进一步改善了ANKL的预后[8]。一项研究显示改良SMILE方案(甲氨蝶呤+培门冬酶+依托泊苷+糖皮质激素,4例患者)及P-GEMOX方案(培门冬酶+吉西他滨+奥沙利铂方案,1例患者)化疗治疗序贯单倍型异基因造血干细胞移植,中位随访23个月(2-69)个月,3例患者存活,2例死于疾病复发[5]。另有一项研究统计22例初诊ANKL患者接受培门冬酶联合GDP(吉西他滨+顺铂+地塞米松)或者GEMOX方案(吉西他滨+奥沙利铂)方案治疗,对于合并有噬血细胞综合征的患者,在化疗前采用HLH-1994方案控制相应症状,22例患者的中位OS时间可达4.03个月,2年OS率为32.5%。此篇报道生存期延长可能与患者治疗选择含造血干细胞移植有关,其中进行造血干细胞移植的患者中位OS时间至随访结束未达到,而未进行造血干细胞移植的患者仅为3.3个月[2]。所以综上所述,目前认为ANKL最佳有效治疗方案是以左旋门冬酰胺酶/培门冬酶为基础的化疗方案联合造血干细胞移植。此例患者予以P-GEMOX联合沙利度胺治疗后病情稳定仅约1周,预后极差,但此患者染色体核型为复杂核型,肿瘤细胞形态体积大,核型不规则,以上因素和患者预后极差是否有一定的相关性,需要进一步统计分析。
所有作者均声明本研究不存在利益冲突





















