
患者,女性,45岁,反复腰痛3年,半年前加重,伴右下肢放射痛,影响日常活动及休息。曾在外院药物口服及中药外敷治疗,疼痛能稍缓解,但症状反复。近半年来外院诊治症状改善不明显,并出现服用止痛药后胃痛,严重影响患者日常生活,外院建议手术治疗患者拒绝,遂来广西医科大学第一附属医院就诊。
专科体格检查:腰椎生理曲度变浅,腰5/1棘突间及右侧棘旁压叩痛,放射至右臀部,右踇背伸肌力4级,右侧直腿抬高试验25度阳性,加强试验阳性,右侧跟腱反射较对侧减弱,病理征未引出。VAS评分7分,腰椎JOA评分13分。
根据症状体征等临床表现,结合腰椎MRI结果,诊断腰椎间盘突出症(LDH)并坐骨神经痛。
行综合康复治疗:予神经营养药,以及腰椎电动牵引、调制中频电疗法、微波疗法、牵伸手法、运动疗法。
患者腰痛、下肢放射痛及患侧踇背伸肌力较前好转,随访至今未见症状反复。
康复医学科;脊柱骨科
版权归中华医学会所有。本文为遵循CC-BY-NC-ND协议的开放获取文章。
腰椎间盘突出症(lumbar disc herniation,LDH)作为骨科常见病,是引起腰腿痛最常见的病因[1],近年来对工作以及生活方式的影响,呈现逐年递增的发展趋势。LDH主要病因为椎间盘变性,椎间盘组织的微观结构发生改变。青壮年体力劳动者是LDH的高发人群,主要表现为腰腿痛、脊柱侧弯、活动障碍、下肢疼痛麻木等,并且常常反复发作,给患者生活质量造成严重影响,引起了严重的经济负担与社会负担[2]。目前,LDH的治疗方法主要为非手术治疗与手术治疗,多数LDH患者经积极的非手术治疗可获得满意的疗效[3]。因此,LDH的早期非手术治疗尤为重要,我们报道1例伴坐骨神经痛LDH患者的临床资料。
患者,女性,45岁,壮族,个体经商工作,慢性病程,因"反复腰痛3年,加重伴右下肢放射痛半年余"入院。患者3年余前无明显诱因下出现腰痛,呈持续性酸胀痛,程度不重,尚可忍受,活动后加重,休息后可缓解,疼痛程度白天和夜间无明显差异,当时无放射痛及肢体麻木、乏力,无畏寒发热,无间歇性跛行,无大小便障碍,在当地诊所药物口服及中药外敷等保守治疗后症状改善,此后上述症状时有反复发作,经中药外敷等保守治疗后均好转。半年前无明显诱因下觉腰痛加重,伴有右下肢放射痛,弯腰、下蹲及站立时明显,卧床休息可稍减轻,无间歇性跛行,无潮热、盗汗,无夜间疼痛加重,无肢体麻木、乏力,经外院保守治疗后症状改善不明显,并出现服用止痛药后胃痛,外院建议手术治疗患者拒绝,精神、食欲、睡眠可,大小便正常,体质量无明显改变,患者为求系统康复治疗来广西医科大学第一附属医院就诊。既往史、个人史无特殊,否认家族遗传史,心理状况尚可。
专科体格检查:腰椎生理曲度变浅,腰5/骶1棘突间及右侧棘旁压叩痛,放射至右臀部,右踇背伸肌力4级,余双下肢肌力5级,双下肢肌张力正常,左侧直腿抬高试验70度阴性,右侧直腿抬高试验25度阳性,加强试验右侧阳性,双侧跟臀试验、股神经牵拉试验、"4字"试验阴性,双侧膝腱反射对称引出,右侧跟腱反射较对侧减弱,病理征未引出。VAS评分7分,腰椎JOA评分12分。
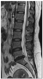
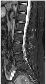
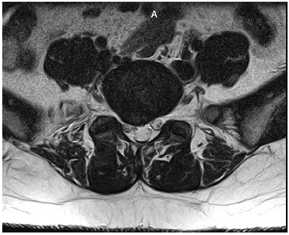
辅助检查:2022年07月20日腰椎MRI示L5/S1椎间盘变性并右后方脱出,S1右侧神经根中心区受压(图1,图2,图3,图4)。








患者慢性病程,反复发作并逐渐加重,以腰腿痛为主诉,无间歇性跛行,无夜间疼痛加重,无潮热盗汗,无二便障碍,完善腰椎MRI提示L5/S1椎间盘变性并右后方脱出、S1右侧神经根中心区受压,诊断LDH并坐骨神经痛。
该患者主要表现为腰痛伴右下肢放射痛,根据该患者疾病特点,主要需与以下疾病鉴别:(1)腰肌劳损:可有一侧腰痛,臀部及股外侧疼痛,跛行等症状,但无明显放射痛,多不累及小腿和足部,无肌力、感觉和反射改变,压痛部位多在椎旁肌或骶髂部,不在棘突旁侧;故不支持该诊断。(2)腰椎结核:病人有腰痛,少数有神经根激惹症,但结核病人多有全身症状,如低热、盗汗、消瘦、贫血、血沉加快等,MRI显示椎间隙变窄、椎旁脓肿等;故不支持该诊断。(3)腰椎管狭窄症:间歇性跛行是该病最突出的症状,检查可无任何异常体征,MRI检查可见相应节段椎管狭窄;故不支持该诊断。
患者入院后予甲钴胺片(0.5 mg,每日3次)营养神经,以及腰椎电动牵引治疗(体质量的25%~30%,每次20 min,每日2次)、调制中频电疗法(每次30 min,每日2次)、微波疗法(每次15 min,每日1次)、牵伸手法(每日1次)、运动疗法(每日1次)。
经综合康复治疗5 d后患者疼痛症状明显改善,可在床上运动及床边转移;经综合康复治疗10 d后患者疼痛症状明显好转,可行腰背、腹部核心肌群训练;经综合康复治疗14 d后患者疼痛症状基本消除,VAS评分1分,JOA评分26分,腰5/骶1棘突间及右侧棘旁轻压痛,无明显叩击痛及放射痛,右踇背伸肌力5-级,双侧直腿抬高试验70°阴性,症状好转出院。患者出院后我们进行随访,目前患者预后较好,未出现症状反复表现。
LDH作为骨科常见病,其发病率占脊柱疾病的首位,近年来对工作以及生活方式的影响,呈现逐年递增的发展趋势[4]。LDH根据突出程度及影像学特征可分为膨出型、突出型、脱出型、游离型及许莫氏结节,膨出型和许莫氏结节大多无神经症状,一般无需手术治疗。突出型若早期有效非手术干预大多疗效较好,亦可临床治愈或延缓疾病进展。游离型则大多存在神经症状而需要手术干预[5]。脱出型需根据病情轻重决定是否手术治疗,但其非手术治疗难度大,病情容易反复及进展。
针对LDH的保守治疗方案越来越多,并且保守治疗LDH近年来取得了大量成功的临床案例。但保守治疗在不同干预手段、方式上仍未达成共识,多以医师经验为主,制约着LDH保守治疗的发展和推广。综合康复治疗是一种选取多种治疗手段对LDH进行综合治疗的方法,面对不同年龄、症状及病情严重程度的LDH患者,运用合适的联合干预方法,以较小的代价取得最佳临床疗效[6]。有报道显示伴坐骨神经痛的LDH保守治疗与早期手术治疗相比,术后1年腰椎功能恢复程度相近[7]。因此,伴坐骨神经痛的LDH早期有效的综合康复治疗显得尤为重要。
通常LDH的药物选择包括消炎镇痛类药物、肌肉松弛类药、神经营养类药等[8]。消炎镇痛类药物止痛起效快,但容易引起胃肠道反应,严重者诱发消化道出血[9]。肌肉松弛类药则可能导致呼吸抑制及血流动力学改变,造成心律失常、血压降低等[10]。神经营养类药尤其是维生素B类,其营养神经作用明确且副作用较小。因此,若能通过联合其它方式起到快速镇痛、缓解肌肉痉挛的作用而避免应用消炎镇痛类及肌肉松弛类药,则可大大减少治疗不良反应发生的风险。目前认为机械压迫和炎性刺激是LDH主要发病原因[11]。而牵引治疗[12]和牵伸手法[13]能够扩大椎间隙,降低椎间盘内压,减少炎性物质分泌,对LDH具有较好疗效。物理因子疗法如微波疗法,可促进局部血液循环,有利于炎症因子吸收。调制中频电疗法可有效缓解肌痉挛,松解粘连,达到镇痛之效。报道显示,联合应用微波、调制中频电疗法能快速有效地解除疼痛,恢复腰椎功能[14]。长久以来,临床上治疗LDH最常用的治疗方法是卧床休息,但越来越多的研究显示早期运动对于LDH的治疗具有良好的临床效果[15,16]。针对该例患者,近期经过外院保守治疗效果不佳,且应用止痛药后出现胃痛,患者拒绝手术治疗及应用过多药物干预。因此,我们采取单纯神经营养药联合腰椎电动牵引、调制中频电疗法、微波疗法、牵伸手法、运动疗法干预脱出型LDH患者,可迅速缓解患者的疼痛症状,从而使患者能够早期开展床边运动疗法,降低卧床不良反应风险,尽快恢复腰椎功能活动,提示效果良好。
针对本例特点,我们应提高对伴有坐骨神经痛的LDH患者早期治疗方法的认识,充分发挥综合康复治疗的优势,减少药物应用从而降低药物不良反应的发生风险。同时该患者早期即床边运动锻炼,未出现症状反复及加重表现,从而避免长期卧床诱发相应不良反应。后期尚需出院后继续保持良好生活习惯,坚持运动锻炼,仍需进一步随访评估。
所有作者均声明本研究不存在利益冲突





















