
患儿,女性,7岁,因"双下肢活动不利伴大小便障碍2个月"入院,诊断为"急性脊髓炎,截瘫"。患儿前期已行大剂量激素冲击治疗,免疫抑制治疗等支持对症治疗。目前双下肢肌力差,肌张力低,同时伴有感觉障碍,收入院行康复治疗。
患儿急性起病,首发症状为双下肢无力、麻木,病变水平以下肢体瘫痪、感觉障碍、尿便障碍。体格检查:髂腰肌左侧肌力1+级,右侧肌力1级,余双下肢各关键肌肌力0级。双下肢肌张力低。双侧轻触觉、双侧针刺觉:L1水平及以下消失。腹壁反射(+),膝反射、踝反射消失。肛门反射(−),球-肛门反射(−)。
结合影像学胸椎MRI、发病时的症状以及体格检查可明确诊断"急性脊髓炎、截瘫"。
完善康复评定后,给予患儿制定个体化的康复治疗计划,主要包括物理因子疗法、运动疗法等综合康复治疗。
经综合康复治疗后患儿双下肢肌力较前明显提升,肌张力升高,ASIA分级:C级,平衡、感觉功能障碍较前改善,大小便能自主控制,ADL依赖降低。
康复科;儿神经内科;儿科
版权归中华医学会所有。本文为遵循CC-BY-NC-ND协议的开放获取文章。
急性横贯性脊髓炎(acute transverse myelitis,ATM)是指脊髓局限性炎性的病变过程,特点是导致运动、感觉和自主神经功能障碍[1]。横贯性脊髓炎是一种罕见的脊髓神经系统疾病,由横跨一个或多个脊髓节段的脊髓神经元的髓鞘炎症和损伤引起,导致神经信号传递中断,从而出现运动、感觉和自主神经功能障碍[2]。本病可发生于各个年龄阶段,青壮年居多,儿童发病少见,约有20%的病例发生于儿童。患有急性脊髓炎的儿童,急性期可采用大剂量甲基龙短程冲击疗法,同时联合抗感染,营养神经等对症支持治疗。待临床症状明显改善后,应尽早通过综合康复治疗来改善疾病遗留的各种功能障碍,以提高患儿的日常生活活动能力。本文报道1例儿童急性脊髓炎的康复治疗,旨在探讨儿童与成人在急性脊髓炎的康复治疗上有何差异。
患儿,女性,7岁。主诉:双下肢活动不利伴大小便障碍2个月。症状和体征:患儿2个月前在舞蹈课下腰时突发双下肢无力,伴双足麻木,随即摔倒,爬起一小时后奔跑时再次出现双下肢无力,跌倒后不能站起,伴腹胀、漏尿,大小便不能自主排出,上述症状持续数小时仍不缓解,遂前往当地医院诊治。体格检查:神清,精神可,对答切题。颈软,双上肢肌力、肌张力正常,双下肢肌张力低。双下肢各关键肌肌力0级。双侧轻触觉:T12及以下消失。双侧针刺觉:T12及以下消失。膝反射、踝反射消失,病理征阴性。肛门触压觉(−)。就医史:患儿发病当日就诊于当地医院,摄胸椎MRI提示:胸7~9椎体水平以下脊髓信号异常,增强后示病灶强化不明显,给予"甲泼尼龙、丙球、阿昔洛韦、甘露醇"等治疗,上述症状无好转,转至儿神经内科住院治疗,诊断"急性脊髓炎、泌尿道感染"。住院期间予以甲泼尼龙、丙种球蛋白免疫治疗、甘露醇减轻水肿、抗感染等对症支持治疗。现患儿双下肢肌力仍较差,肌张力低,同时伴有感觉障碍,尿便障碍,收入院行康复治疗。预防接种史:按时按计划预防接种,否认近期疫苗接种史。个人史:G1P1,孕41周3 d,顺产,出生体重3385 g。出生后无青紫、窒息抢救史,母孕期无特殊病史。家族史:父母非近亲结婚,家族中无类似病史,否认家族性,代谢性疾病史。
感觉功能评定:双侧轻触觉,L1水平及以下消失;双侧针刺觉,L1水平及以下消失。运动功能评定:髂腰肌左侧肌力1+级,右侧肌力1级,余双下肢各关键肌肌力0级。双下肢肌张力低,Ashworth分级:0级。平衡功能评定:坐位平衡3级,站立平衡0级。日常活动能力评定:改良Barthel指数15分。神经反射:腹壁反射(+),膝反射、踝反射消失,病理征阴性。肛门反射(−),球-肛门反射(−)。ASIA分级:暂未评。神经平面:T12水平;运动平面:T12水平,感觉平面:T12水平。运动功能评分:50分,感觉功能评分:80分。
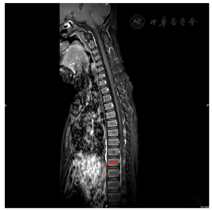
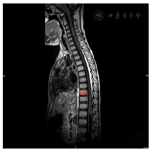
2021年7月16日胸椎MRI:胸7~9椎体水平以下脊髓信号异常,增强后示病灶强化不明显。2021年7月27日胸椎MRI增强(图1)提示胸9~10脊髓及脊髓圆锥内异常信号,出血?2021年8月10日MRI增强(图2)诊断为急性脊髓炎。2021年8月26日MRI增强(图3)提示急性脊髓炎伴脊神经炎,较前有所好转。2021年12月20日胸椎MRI增强(图4)提示急性脊髓炎伴脊神经炎,较2021年8月26日范围稍缩小。








2021年7月23日脑脊液检查:体液糖定量2.00 mmol/L,体液氯化物119.00 mmol/L↑;体液蛋白定量680.80 mg/L↑,乳酸脱氢酶33 U/L,腺苷脱氨酶6 U/L;脑脊液IgG 190.00 mg/L↑,脑脊液IgA 6.46 mg/L↑,脑脊液IgM 4.66 mg/L↑。2021年9月2日脑脊液检查:脑脊液IgG 63.40 mg/L↑,脑脊液IgA 2.82 mg/L↑,脑脊液IgM 1.34 mg/L;体液蛋白定量411.50 mg/L,乳酸脱氢酶17 U/L↓,腺苷脱氨酶4 U/L;氯121.8 mmol/L↑,葡萄糖2.9 mmol/L↓。2022年1月14日脑脊液检查:脑脊液IgG 56.20 mg/L,脑脊液IgA 2.08 mg/L↑,脑脊液IgM 1.07 mg/L;体液蛋白定量361.20 mg/L,体液氯化物127.60 mmol/L,体液糖定量3.42 mmol/L,乳酸脱氢酶16 U/L↓,腺苷脱氨酶4 U/L。
急性脊髓炎。患儿2个月前突发双下肢活动不利、麻木,病变水平以下肢体瘫痪、感觉障碍、尿便障碍。体格检查:神清,精神可,对答切题。颈软,双上肢肌力、肌张力正常,双下肢肌张力低。髂腰肌左侧肌力1+级,右侧肌力1级,余双下肢各关键肌肌力0级。双下肢肌张力低,Ashworth分级:0级。双侧轻触觉:L1水平及以下消失,双侧针刺觉:L1水平及以下消失。腹壁反射(+),膝反射、踝反射消失,病理征阴性。肛门反射(−),球-肛门反射(−)。2021年12月20日胸椎MRI增强:急性脊髓炎伴脊神经炎。故诊断。
(1)截瘫。患儿,女性,7岁,因"双下肢活动不利伴大小便障碍2个月"入院,体格检查:神清,精神可,对答切题。颈软,双上肢肌力、肌张力正常,双下肢肌张力低。髂腰肌左侧肌力1+级,右侧肌力1级,余双下肢各关键肌肌力0级。双下肢肌张力低,Ashworth分级:0级。双侧轻触觉:L1水平及以下消失,双侧针刺觉:L1水平及以下消失。腹壁反射(+),膝反射、踝反射消失,病理征阴性。肛门反射(−),球-肛门反射(−)。神经平面:T12水平,运动平面:T12水平,感觉平面:T12水平,运动功能评分:50分,感觉功能评分:80分。故诊断。(2)感觉功能障碍。经体格检查该患儿双侧轻触觉:L1水平及以下消失,双侧针刺觉:L1水平及以下消失。感觉平面:T12水平,感觉功能评分:80分。故诊断。(3)平衡功能障碍。该患儿双下肢肌张力、肌力低,坐位平衡3级,站立平衡0级。故诊断。(4)神经源性膀胱。患儿因"双下肢活动不利伴大小便障碍2个月"入院,发病后小便排解困难,会阴部感觉减退,肛门括约肌张力减退,球肛门反射(−)。故诊断。(5)神经源性直肠。患儿因"双下肢活动不利伴大小便障碍2个月"入院,现排便困难,大便需开塞露辅助,肛周感觉消失,肛门深压觉(−),球肛门反射(−)。故诊断。(6)ADL受限,社会参与能力受限。本例患儿双下肢活动不利,肌张力、肌力低,日常生活活动严重受限,无法进行正常生活和学习。故诊断。
(1)脊髓肿瘤。也可表现为肿瘤受压平面以下相应肢体的运动和感觉障碍,影像学检查可见脊髓内占位性改变,但该患儿MRI未见肿瘤占位表现,故可排除。(2)吉兰-巴雷综合征。可表现为双下肢瘫痪和感觉障碍、排尿和排便困难,但该患儿外院胸椎MR:胸7~9椎体水平以下脊髓信号异常,增强后示病灶强化不明显,故可排除。(3)脑白质病变。也可表现为双下肢运动障碍,多伴语言障碍、智能减退、视力减退、眼震等,MRI可提示两侧半球对称性白质病灶,但该患儿头颅MRI表现不支持,故予以排除。(4)脑炎后遗症。可有下肢运动障碍等表现,往往与病变严重程度等相关,有感染病史。而该患儿头颅MR见双侧大脑半球脑沟加深,余脑部未见明显异常,与之不符,故可排除。
患儿住院期间,完善康复评定后,根据评定结果并结合儿童的生长发育、年龄和身高等情况给予常规康复治疗,包括物理因子疗法、运动疗法、日常生活能力训练、肠道、膀胱和皮肤康复护理、社会服务和心理治疗。除了常规的康复治疗外,还加入了体位转移训练、娱乐治疗,以改善患儿功能,提高生活质量。
(1)电刺激。对患儿双侧股四头肌、胫前肌进行低频脉冲电刺激,每天2次,每次15 min,可有效防止肌肉萎缩,同时促进血液循环,并能预防下肢静脉血栓形成。同时对其膀胱进行低频脉冲电刺激,每天2次,每次15 min,改善患儿膀胱功能。(2)气压治疗。使用气压治疗仪对肢体的远端到近端进行均匀有序的挤压,每天2次,每次20 min,该治疗可起到促进血液和淋巴液回流及改善微循环、预防血栓形成、减轻肢体水肿的作用。(3)超短波治疗。根据患儿年龄、体长调整超短波极板大小,胸背部对置,每次微热量治疗15 min,每天1次。超短波通过对机体产生热效应,来促进血液循环,加强机体的新陈代谢速度,从而实现抑菌、抗炎、止痛的效果。
(1)关节活动度训练。双下肢各关节进行关节被动运动训练,每天2次,每次10 min。每一关节在各轴向活动20次。尽早开始关节活动度训练有助于防止关节挛缩和僵直,促进肢体血液循环,防止肌萎缩。(2)肌力训练。上肢肌力训练。指导患儿主动完成举哑铃动作,每天2组,每组30次,加强上肢肌耐力。呼吸肌训练。指导患儿坐位时吹气球,每天2组,每组吹10个气球;患儿仰卧位时,上腹部放置1 kg的沙袋(根据耐受情况调整沙袋重量),进行膈肌抗阻训练,加强膈肌功能。背部肌肉训练。患儿正处于生长发育阶段,指导其俯卧于床面上,双上肢垂于床两侧,手中各拿一瓶矿泉水,双手同时抬起至床面水平,每天3组,每组10次,加强其背部肌肉的肌力,避免后期出现脊柱畸形。(3)挤压关节训练。能反射性地引起肌纤维收缩,易化牵张反射,增加肌张力,每天2次,每次10 min,治疗从上而下,按照髋关节、膝关节和踝关节的顺序依次挤压放松。(4)站立训练:使用电动起立床进行训练,每天2次,每次20 min,第1次起立床角度为20°,角度渐增。站立训练不仅可以增加骨密度,预防骨质疏松的发生,还能防止由于长期卧床导致的体位性低血压。(5)全身感觉统合训练。通过按摩球、平衡触觉板进行触觉训练,强化皮肤、大小肌肉关节神经感应,辨识感觉层次,调整大脑感觉神经的灵敏度,每天2次,每次20 min。感觉统合治疗能为患儿提供大量的感觉刺激,产生的感觉信息经多级神经中枢的整合加工,形成运动方案,使患儿对外界刺激做出良好的适应,提高运动功能,改善姿势控制,增强平衡感[3]。(6)平衡功能训练。患儿俯卧在Bobath球上,通过球在不同的平面上的移动给患儿提供重心变化的感觉刺激,以此训练平衡功能,提高感觉统合能力,每天2次,每次20 min。在球上进行训练会使患儿认为这是一种游戏,更容易使其放松,常常治疗效果更好。
训练患儿进行卧位与坐位之间,床与轮椅之间,以及轮椅与坐厕之间的转移。这对患儿后期提高生活质量,降低ADL依赖,回归校园和社会至关重要。
治疗性娱乐活动有益于增强心血管功能、增加肌力和耐力。游戏与娱乐是康复治疗方案必不可少的一部分,根据患儿发病前的兴趣爱好,制定游戏和娱乐治疗方法。将患儿感兴趣的玩具放置在身体的一侧,要求其通过自己的努力将玩具转移到身体的另一侧,训练其重心转移能力。游戏是儿童日常生活中的主要活动,在康复治疗中加入游戏和娱乐,大大增加了患儿治疗的积极性。
指导教育患儿及家长进行皮肤护理、呼吸训练、大小便管理、ADL训练等。
皮肤护理:长期卧床时坐骨结节最容易受压,指导家长协助患儿每20~30分钟变换1次体位,每2小时翻身1次,减轻局部压力,预防压疮。翻身时采用轴线翻身法,头肩部和腰腿要保持在同一条线上,同时同向翻动。
呼吸训练:通过有规律地协助患儿翻身、转体、通过被动牵引增加胸壁运动幅度,指导患儿做呼吸操,改善呼吸功能。坚持每天拍打、叩击患儿的胸背部,鼓励患儿咳嗽咳痰,防止分泌物在气道潴留,以免发生上呼吸道感染。
神经源性膀胱的康复:间歇性导尿时严格控制液体摄入量,一般在2000 ml以内,要求分次逐步摄入,避免短时间内大量饮水导致膀胱过度充盈。通过耻骨上区叩击法和屏气法进行排尿训练,同时进行膀胱低频脉冲电刺激辅助排尿,每天2次,每次15 min。
神经源性直肠的康复:要求患儿定时排便,通过训练逐步建立排便反射。建议患儿进食粗纤维饮食(如蔬菜、糙米等),通过改变粪团性状以降低直肠排空的阻力。患儿入院时有大便秘结,对其进行排便训练和药物(开塞露)对症治疗。
ADL训练:降低ADL依赖对提高患儿生活质量至关重要,训练患儿穿脱衣服、自主进食、轮椅移动等日常动作,以便其能够尽快回归正常生活。
脊髓损伤会给患儿幼小的心灵带来巨大的痛苦,在功能康复的同时还应注意患儿的心理健康。医生和治疗师在治疗时根据患儿情况调整每日训练难度,并在训练结束后及时给予鼓励和称赞,以便患儿建立良好的心理状态,减少负面情绪,提高治疗积极性。根据不同的生长发育阶段,对患儿进行持续的心理教育。同时家庭氛围对患儿也会产生重要影响,因此,患儿的父母和其他重要的家庭成员也需要接受相关心理咨询和治疗。
患儿经康复治疗6个月后双下肢肌力较前明显提升,肌张力升高,ASIA分级:C级,平衡、感觉功能障碍较前改善,大小便能自主控制,ADL依赖降低。
急性脊髓炎的病因和发病机制目前尚不清楚,多数患儿在症状出现之前的1~4周有腹泻、上呼吸道感染或疫苗接种史,故目前多认为急性脊髓炎可能是非特异性感染或预防接种后所诱发的自身免疫性疾病[4]。对于急性脊髓炎患儿而言,运动障碍往往为其首发症状,且下肢重于上肢[5]。儿童急性脊髓炎中的脊髓症状通常在发病2~4 d内进展,在5~6 d达到峰值[6,7,8]。经免疫治疗后,首先缓解的症状为疼痛,其次是运动障碍的改善,而膀胱功能和感觉障碍可能需要更长的时间改善。
急性脊髓炎造成的脊髓损伤的治疗、护理与康复,儿童与成人基本原则相同,但由于儿童正处于生长发育的过程中,其认知和言语沟通能力以及交流和表达能力远不如成人,即使学龄前儿童能用简单的口语表达,但不能准确地用语言表达具体不适或其他基本情况,从而使自主神经反射异常的症状表现较为模糊,所以脊髓损伤后其自主神经反射异常症状可能并无表现,或与成人相比表现不明显。除此之外,儿童在感觉检查时可能会不配合或无法准确描述真实感受,导致感觉平面和感觉异常难以确定,影响后续的定位诊断及康复计划制定。
就配合程度而言,儿童对康复治疗的依从性远低于成人,治疗过程中时常哭闹会严重影响康复效果,而且儿童的自律性普遍较低,需要在督促下才能完成康复训练。就治疗辅具而言,大年龄儿童和成人常使用弹性袜预防深静脉血栓,但低年龄儿童不能穿弹性袜,可选择定制的有弹性的下肢服装进行预防,而且不建议使用弹力带包裹下肢,因为弹力带含有乳胶成分,而脊髓损伤的儿童对其存在过敏风险,所以在选用康复治疗辅具时应避免使用乳胶制品。除此之外,脊髓损伤患儿选择的轮椅要合适,不可太大或太重,而且要便于儿童操作。就治疗方案而言,与成人不同的是,儿童的康复治疗方案应增加趣味性,游戏是儿童的天性,通过娱乐治疗不仅可以引导患儿高效完成康复训练,还能消除患儿对康复治疗的抵触情绪,大大提高治疗积极性。
由本例可发现,早期进行康复治疗可以有效改善急性脊髓炎所致脊髓损伤儿童的预后,显著提高患儿的运动功能,增强肌力,提高生活自理能力。而与成人康复治疗不同的是,在儿童康复治疗期间,需要考虑到患儿的生长发育、年龄等情况,康复目标要随患儿的动态变化而变化,基本目标是维持健康、恢复功能、提高生活质量,促进患儿早日回归校园、回归社会。
所有作者均声明本研究不存在利益冲突





















