
患者,男性,65岁,心悸胸闷气喘伴咳嗽咳痰2年,纳差2个月余。
面部结节样皮疹,舌面干燥,口腔内可见数枚义齿,双下肢少许紫癜,双下肢轻度浮肿。
双侧髂骨活检提示上皮样肉芽肿性病变。胸部CT提示纵膈淋巴结明显肿大,右下肺门影明显增大。角膜荧光染色及泪膜破碎时间阳性。唇腺活检病理:提示多灶淋巴、浆细胞浸润,淋巴细胞≥50个/4 mm2。抗核抗体、抗SSA及抗SSB抗体阳性。结合病史、临床及病理检查,最终诊断为结节病伴干燥综合征。
予以醋酸泼尼松、沙利度胺、环磷酰胺联合治疗。
患者胸闷气喘及咳嗽、心悸、乏力纳差症状明显好转,皮疹减轻,心力衰竭症状好转,肾功能恢复,血常规及炎症指标较前好转,影像学检查肿大淋巴结明显缩小或消失。
风湿免疫科
版权归中华医学会所有。本文为遵循CC-BY-NC-ND协议的开放获取文章。
结节病是一种病因未明的多系统受累的肉芽肿性疾病,以侵犯肺实质为主,并累及全身多脏器,发病隐匿,但少数病人可因完全性房室传导阻滞和/或充血性心力衰竭而猝死,甚至以猝死为首发症状[1,2]。干燥综合征是一个主要累及外分泌腺体的慢性炎症性自身免疫病。临床上可出现口干、眼干,还可有多系统损害的症状[3]。本文报道1例结节病伴干燥综合征,旨在提高对本病的认识,减少误诊和漏诊,改善患者的预后。
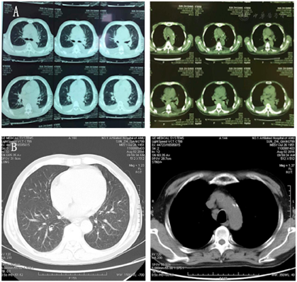
患者,男性,65岁,系"心悸胸闷气喘伴咳嗽咳痰2年,纳差2个月余"入院。患者2年前无明显下出现心悸、胸闷气喘、咳嗽咳痰,伴有面部结节样皮疹(图1),入住安徽医科大学第一附属医院心内科,予以完善相关检查,患者血常规示:白细胞计数3.18×109/L,血红蛋白85 g/L;BNP 1 560 pg/ml;心电图示:心房颤动(心室率快);动态心电图示:频发多源室早、房早;心脏彩超示:全心增大,整体心肌活动受抑,EF:0.37,肺动脉压42 mmHg(1 mmHg=0.133 kPa)。考虑诊断"心律失常,心力衰竭,贫血,肺部感染",经强心、利尿、扩管、抗感染、抗心律失常、纠正贫血等治疗后患者胸闷气喘、咳嗽咳痰好转。在院期间完善肺部CT提示纵膈淋巴结肿大,右下肺门影增大,转移癌,淋巴瘤不能除外(图2A),故完善PET-CT考虑双肺门及纵膈多发淋巴结转移癌,全身多发骨转移(图3A)。后患者前往上海就诊,外院行骨髓活检提示骨髓造血组织增生活跃,未见明显异常细胞。双侧髂骨活检病理提示上皮样肉芽肿性病变,请排除结节病后,首先考虑血行播散性结核可能,病理形态和免疫标记结果不支持转移性癌。考虑患者无发热、盗汗等症状,T-SPOT(-),骨髓抗酸染色阴性,未见干酪样坏死,故排除结核,诊断为"结节病"。予以醋酸泼尼松15 mg qd,环磷酰胺0.4~0.6 g,每月静脉滴注1次,共使用6次,以及沙利度胺,雷公藤等治疗,患者心悸胸闷好转,皮疹减轻,影像学检查提示肿大淋巴结明显缩小或消失(图2B,图3B)。出院后规律服药,醋酸泼尼松逐渐减量为5 mg qd,定期门诊随访。2个月前患者无明显诱因下出现納差,就诊于安徽医科大学第一附属医院风湿免疫科门诊,拟"结节病"收入院。患者病程中有口眼干、眼痛,无光过敏,无口腔溃病,无脱发,无雷诺现象,无发热,无腹痛腹泻,睡眠差,二便正常,近期体质量下降7.5 kg。患者妹妹患有干燥综合征。






专科检查:面部结节样皮疹,舌面干燥,口腔内可见数枚义齿,双下肢少许紫癜,双下肢轻度浮肿。
实验室检查:白细胞2.69×109/L,血红蛋白106 g/L,淋巴细胞0.46×109/L,超敏反应蛋白7.45 mg/L;红细胞沉降率41 mm/h;类风湿因子22 IU/ml,抗核抗体(+),抗核抗体荧光模型(核颗粒型),滴度1∶3200,抗Ro/SS-A(52)抗体(+),抗Ro/SS-A(60)抗体(+),抗La/SS-B抗体(+),抗环瓜氨酸抗体10 RU/ml ,BNP 62 pg/ml、血肌酐:122 μmol/L,肝功能、电解质正常,IgG4(-)。
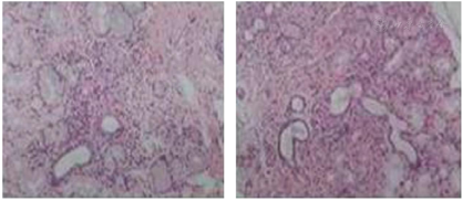
辅助检查:角膜荧光染色:睑裂部角膜大量着色块及着色点,泪膜破碎时间:2 s,眼科检查结论:干眼症。唇腺活检病理(图4);唇腺小叶中央区导管周多灶性淋巴、浆细胞浸润;每灶内淋巴细胞大于≥50个/4 mm2,少量腺泡萎缩。


结节病诊断标准:(1)胸部影像学检查显示双侧肺门及纵隔淋巴结对称肿大,伴或不伴有肺内网格、结节状或片状阴影;(2)组织学活检证实有非干酪样坏死性肉芽肿,且抗酸染色阴性;(3)Kveim试验+;(4)血清血管紧张素转换酶活性增高;(5)结核菌素阴性或弱阳性;(6)高血钙、高尿钙症、高碱性磷酸酶;BALF中淋巴细胞>10%,且CD4+/CD8+比值≥3;在除外结核病、淋巴系统肿瘤或其他肉芽肿性疾病后,以上6条中,1+2、1+3可诊断。患者符合第1、2条,故诊断。
2012年美国风湿病学会干燥综合征分类标准:(1)血清抗SSA/SSB抗体(+)或RF(+)+ ANA(+)≥1∶320;(2)唇腺病理:淋巴细胞灶≥1(50个/4 mm2);(3)干燥性角结膜炎伴OSS≥3。3条中符合2条即可诊断干燥综合征。患者符合第1、2条,但需除外相关疾病(丙肝、结节病、IgG4-RD等)。患者唇腺活检病理无肉芽肿不支持结节病唇腺病变,骨髓活检存在肉芽肿不支持干燥综合征病变特点,血清学中存在抗SSA和抗SSB抗体阳性,仅用结节病无法解释,故最终患者诊断为结节病合并干燥综合征。
鉴别诊断:结节病需要与多种疾病相鉴别,其容易侵犯肺实质,常表现为肺门淋巴结肿大而易误诊为肺门淋巴结结核或肺门转移性肿瘤,患者还易出现淋巴结肿大而误诊为淋巴瘤,肺内肉芽肿还应与肉芽肿性多血管炎和嗜酸性肉芽肿性多血管炎相鉴别,前者主要累及中等大小血管,而且往往没有肺部浸润和血嗜酸粒细胞增高,后者的肺部侵犯往往有空洞形成。另外还有一些其他肉芽肿病,如外源性肺泡炎、铍病、矽肺、感染性、化学性因素所致的肉芽肿,都需要我们结合临床资料及有关检查综合分析判断。结节病还需与IgG4-RD相鉴别,IgG4-RD可以首发浅表或腹膜后及纵膈淋巴结肿大,伴多系统损害,主要特点有:组织器官肿胀;血清IgG4水平升高;IgG4阳性浆细胞浸润。干燥综合征的鉴别诊断如结节病、IgG4-RD,另外还有非自身免疫病的口干,如老年性外分泌腺体功能下降、糖尿病性或药物性口干等。
予醋酸泼尼松10 mg qd、羟氯喹100 mg tid、环磷酰胺0.4 g qm治疗。
患者胸闷气喘及咳嗽、心悸、乏力纳差症状明显好转,皮疹减轻,肾功能恢复,血常规及炎症指标正常,心衰症状好转,影像学检查肿大淋巴结明显缩小或消失。
结节病是一种病因未明的多系统受累的肉芽肿性疾病,可以累及全身多脏器,包括肺、淋巴结、关节、肝脏、肾脏及心脏等组织,结节病的临床表现不典型且隐匿发病,容易出现误诊,需结合临床、实验室检查及病理综合判断。干燥综合征是一种慢性炎症性疾病,主要表现为外分泌腺受累的口干眼干等症状,也有全身表现。肺和气管支气管是结节病最常见的累及部位,少部分可能会累及唾液腺和泪腺。相反,干燥综合征主要影响外分泌腺,但也可能有全身表现。有时,当腮腺和/或泪腺受累时,结节病的某些特征可能与干燥综合征相似[4]。有报道表明结节病会与干燥综合征共存[4,5,6,7],与单纯干燥综合征患者或单纯结节病患者相比,两种疾病并存的患者全身表现更明显,鼻、呼吸、耳、皮肤、阴道、胃肠道、关节和肌肉症状的患病率更高[4]。
干燥综合征患者的自身抗体通常呈阳性,而结节病患者自身抗体呈阴性,而存在有干燥综合征症状的结节病患者免疫标志物阳性表明合并存在干燥综合征[8]。在首次诊断为结节病的患者中,尤其是在肺外播散时,抗核抗体、类风湿因子和/或抗Ro/La的存在应警惕可能共存干燥综合征。我们认为结节病和干燥综合征可以共存,分析自身抗体可能有助于作出鉴别诊断或决定其共存。如果病例在临床和免疫学方面仍不清楚,应进行活检,包括小唾液腺[9]。唾液腺活检在区分干燥综合征(局灶性涎腺炎)和结节病(肉芽肿性炎症)方面可能具有极高的鉴别能力[5]。
本例患者因胸闷气喘起病,肺CT及PET/CT均提示淋巴结肿大,排除其他疾病后,根据结节病诊断标准,明确诊断为结节病,且在激素及环磷酰胺治疗下好转,后又出现口干眼干的症状,考虑到结节病也会累及外分泌腺,故我们不能依靠临床表现或实验室检查直接诊断为干燥综合征,我们进行了唇腺活检,依据病理结果明确诊断为干燥综合征,最终我们对该患者诊断为结节病合并干燥综合征。结节病的治疗方面,糖皮质激素为初始治疗,推荐治疗停止前需进行为期1年的激素治疗(20~40 mg/d,治疗1~3个月,随后维持剂量治疗6~9个月,成功减量为泼尼松10 mg/d或等效剂量维持);甲氨蝶呤为首选的二线治疗药物;此外还有环磷酰胺(神经或心脏受累情况下)、硫唑嘌呤、羟氯喹、来氟米特、环孢素A、沙利度胺、依那西普、英夫利昔单抗等药物也可作为选择[10]。本例患者由于多脏器受累,在使用激素的同时,我们选择环磷酰胺作为免疫制剂治疗,并且在后续的随访中,患者肿大的淋巴结明显减少或消失,表明治疗有效。而后续患者又合并干燥综合征,结合患者的全身脏器受累情况,我们依旧选择激素及环磷酰胺的治疗,后患者没有再出现新的结节和其他全身症状。
我们认为干燥综合征与结节病之间的关联可能不仅仅是偶然的。我们应意识到并探索两种病共存的可能性。详细的询问病史,综合分析实验室检查、影像学及病理学证据,对于我们早期诊断和治疗非常重要。病理检查对鉴别良恶性疾病意义重大,在发现可能存在结节病的情况下,我们需要对外分泌腺以外的组织进行活检;并且我们要以动态及发展的眼光看待复杂多变的风湿疾病;重视治疗随访,出现新问题时,重新评估病情,仔细询问病史及体检。在治疗上,激素合并免疫抑制剂在多数情况下有效,难治性病例可以考虑生物制剂。然而,对于结节病的病因,以及与免疫性疾病的相关性有待进一步研究。
所有作者均声明本研究不存在利益冲突





















