
患者,男性,56岁,因"反复头晕乏力8年余,腹胀4年加重1周"入院,明确诊断为"华氏巨球蛋白血症(WM),2分,中危",在泽布替尼治疗过程中反复停药发生疾病进展和转化,腹水创新性检测出新发耐药位点BTK (T316A)和PLCG2突变。
起病时头晕、乏力、腹胀、发热、盗汗。入院时神志清楚,精神欠佳,体温38℃,血压130/82 mmHg(1 mmHg=0.133 kPa),慢性病容,双肺呼吸音低,心率86次/min,心律齐,未及杂音,未闻及心包摩擦音。贫血貌,胸部、腹部散在多发皮疹、蜘蛛痣;颈部、腋下、腹股沟多处肿大淋巴结,蛙腹,腹水征+,腹壁静脉曲张,肝脾触诊不满意,移动性浊音阳性,双下肢无浮肿。
完善三大常规、生化、免疫、骨髓穿刺、骨髓活组织检查、胃肠镜、胸壁肿物和淋巴结活检等评估患者的临床特征,根据WM国际预后评分系统进行危险分层,完善液体活检(外周血、腹水ctDNA)。
6个疗程CHOP化疗(R-CHOP曾使用1次,因过敏停用)、多次血浆置换及输血治疗后达到部分缓解,复发后予泽布替尼160 mg bid口服治疗,同时辅以抗感染、持续腹腔引流和输注白蛋白等对症治疗后达到部分缓解,后反复停药致疾病进展和转化、慢性乙肝病毒激活,予积极抗病毒、苯达莫司汀联合伊布替尼280 mg qd控制原发疾病,CHOP挽救治疗仍病情无明显改善,最终死亡。
死亡。总生存时间98个月。
血液科;消化科;心胸外科
版权归中华医学会所有。本文为遵循CC-BY-NC-ND协议的开放获取文章。
华氏巨球蛋白血症(Waldenström Macroglobulinemia,WM)是一种罕见的B细胞来源的非霍奇金淋巴瘤亚型。骨髓活检是诊断和评估WM的金标准,已证实外周血cell-free tumor DNA(cfDNA)可能是评估基因组环境可行的替代方法。我们报道1例WM在泽布替尼治疗中反复停药发生疾病进展和转化,腹水ctDNA中检测到新发耐药突变。本病例有助于通提高疾病进展和BTK耐药的认识。合并乙肝病史的WM患者应按医嘱规律用药,诊疗应尽早采取干预措施避免停药综合征和乙肝病毒激活,提高患者长期生存效益。
患者,男性,56岁,2013年7月无明显诱因出现头晕、乏力、间歇发热体温38.0℃左右,伴有盗汗。体格检查见浅表淋巴结肿大和脾大。2013年9月查血常规:血红蛋白40 g/L,白细胞计数4.4×109/L,PLT 130×109/L,红细胞沉降率101 mm/h,CRP 36.7 mg/L;小三阳。血涂片:红细胞大小不均,可见嗜多色性和缗钱状排列红细胞。网织红细胞11.5%,Coomb′s试验(+)、Coombs-IgG(+),Coombs-C3d(+),结合珠蛋白<6mg/dl;IgM 67.70 g/L,轻链κ 68.7 g/L,轻链λ 1.70 g/L,KAP/LAM 40.41,血β2MG 3.85 mg/L;血清蛋白固定电泳检出M蛋白,为IgM、κ型。骨髓活检病理符合小B细胞淋巴瘤。PET/CT示双侧锁骨上、腋下、腹股沟淋巴结显示,直径0.7~1.8 cm,代谢不高;脾大,延伸至肋下,双侧肱骨头、脊柱、双侧骨盆、双侧股骨头代谢弥漫性增高,SUVmax 2.7。考虑WM,IPSS 2分,中危。因溶血性贫血、IgM极度升高和高粘滞血症于2013年11月~2017年5月接受6个疗程的CHOP化疗(R-CHOP曾使用1次,因过敏停用)、多次血浆置换和输血治疗后IgM水平降至30.2 g/L,评估病情达到部分缓解。随后1年有反复的腹胀和腹部不适,但未予重视。
2020年8月该患者因腹胀加重入同济大学附属同济医院血液科,体格检查示:消瘦,贫血貌,颈部、腋下及腹股沟多处淋巴结肿大,蛙腹,脾大,移动性浊音(+),液波震颤,双下肢水肿。血清蛋白固定电泳、骨髓常规、活检、流式细胞术及颈、胸、全腹增强CT仍支持WM诊断,考虑疾病复发予泽布替尼160 mg bid口服、抗感染、持续性腹腔引流和输注白蛋白等对症支持治疗后腹胀明显减轻。期间先后经历了3次感染(分别是败血症和2次骨膜炎),予积极治疗后患者血红蛋白恢复,IgM下降至26.4 g/L,脾脏、腹膜后淋巴结缩小,2020年12月评估疾病达到部分缓解。2021年3月因自行停用泽布替尼2个月,IgM明显升高,疾病进展,经恢复泽布替尼及对症等治疗后IgM下降至31 g/L。2021年9月再次停药1.5个月,反复腹胀伴发热再次入院,入院时患者胃纳差、乏力、活动后气急,发热,体质量减轻3 kg。既往有乙肝小三阳病史,有多次输血史。有吸烟史8年,3包/d,有嗜酒史,2013年已戒酒。否认家族性遗传性及传染病史。
入院时神志清楚,精神状态欠佳,发热(38℃),血压130/82 mmHg(1 mmHg=0.133 kPa),贫血貌,胸部、腹部散在多发皮疹、蜘蛛痣;颈部、腋下、腹股沟多处肿大淋巴结,蛙腹,腹水征+,腹壁静脉曲张,肝脾触诊不满意,移动性浊音阳性,双下肢无浮肿。
第1次疾病复发(2020年8月):血常规:白细胞计数2.83×109/L,PLT 94×109/L,血红蛋白85 g/L,CRP 106.78 mg/L。生化指标:总蛋白83.5 g/L,白蛋白23.6 g/L,球蛋白59.9 g/L,A/G:0.39,LDH 380 U/L,肌酐65 μmol/L,GFR 104.9 ml/(min·1.73m2)。体液免疫:IgM 74.3 g/L,κ轻链81.30 g/L,λ轻链0.85 g/L,κ/λ 95.31,血β2-MG 6.68 mg/L;血清免疫固定电泳:IgM+,κ+。腹水常规和流式细胞学提示淋巴细胞为主、T细胞表型。乙肝:HBsAb(+)、HBeAb(+)、HBcAb(+),HBV-DNA低于检测值。EBV-DNA阴性。骨髓细胞学:干抽,骨髓增生尚活跃,红系尚增生,以中、晚幼红为主,成熟红细胞可见缗钱状排列。粒红比减低,粒系尚增生,淋巴细胞占54.5%,部分淋巴细胞可见浆样分化。骨髓免疫分型:骨髓中可见11.2%的异常成熟小B淋巴细胞,淋巴细胞中CD19+细胞约占28.1%,CD45强表达。异常成熟B细胞表型:CD19+,CD5-,CD10-,CD23+,CD22+,CD79B+,CD20+,FMC7+,CD200-,CD43-,CD103-,CD11c-,CD25-,CD38+,CD138-,Kappa+,Lambda-。左侧腹股沟淋巴结活检免疫组化:瘤细胞CD20(+),CD19(+),CD3(-),CD5(-/+),CD10(-),CD23(部分+),Cyclin(-),SOX-11(-),Bcl-6(-),C-myc(约10%),Bcl-2(部分+),CD38(+),P53(-),LEF-1(-),Ki-67(15%),CD138(部分+),IgG(-),IgM(部分+),Kappa(-),Lambda(部分+),符合小B细胞性淋巴瘤,淋巴浆细胞淋巴瘤表现。c-MYC断裂基因阴性;EBER阴性;IgH基因重排检测结果为阳性。基因检测:外周血未检测到MYD88基因突变,左侧腹股沟淋巴结检测到MYD88L265P基因突变。
第2次疾病进展(2021年3月):血常规:血红蛋白105 g/L,PLT 115×109/L;生化指标:总蛋白99.1 g/L、白蛋白30.1 g/L;免疫:IgM 88.6 g/L、β2-MG 8.32 mg/L;乙肝:HBsAb(+)、HBeAb(+)、HBcAb(+),乙肝病毒DNA<1.0e+2 IU/ml。
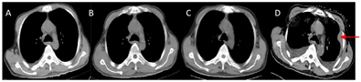
第3次疾病进展(同济大学附属同济医院2021年9月):血常规:血红蛋白133 g/L,PLT 93×109/L;生化指标:总胆红素115.1 μmol/l,直接胆红素42 μmol/L,总蛋白50.2 g/L,白蛋白30.1 g/L,球蛋白20.1 g/L,A/G 1.5,LDH 363 U/L,血清-腹水白蛋白(SAAG)19.7 g/L;免疫:IgM 23.00 g/L、κ轻链16.3 g/L,λ轻链1.22 g/L,κ/λ13.36,β2MG 5.11 mg/L;乙肝:HBsAg(+)、HBsAb(+)、HBeAb(+)、HBcAb(+),乙肝病毒DNA 5.99e+6 IU/ml(图1);腹水流式细胞学:见较多组织及淋巴细胞,淋巴细胞以T细胞为主,未见肯定肿瘤细胞。胃镜:胃镜见食管胃底静脉曲张,胃窦、胃角多发溃疡(A1期)。影像:胸部CT:左侧上胸壁新发肿块(8.5 cm×3.1 cm);上腹部CT:肝硬化、脾大,门静脉高压,食管、胃底及脾脏周围静脉曲张,腹水。左胸壁肿块活检病理:见异型淋巴样细胞,细胞体积大,核仁明显;IHC:CD20(++),CD19(+),CD10(-),Bcl-6(+5%),MUM(+70%),PD-L2(-),Bcl-2(+90%),CD5(-),CD23(-),Cyclin D1(-),TdT(-),CD30(-),CD3(+5%),P53(+70%),Ki-67(+约90%),FOXP(+50%),PAX5/PD-L1双染(+/+),CD38(-),CD138(-),CD21(+局灶)。FISH结果:c-MYC断裂、MALT断裂均阴性,P53缺失阳性。基因检测:腹水ctDNA中检测出MYD88L265P、TP53Y220D以及BTK耐药位点BTKT316A、PLCG2(D334G,R337W)。详见图2,图3,图4,图5。










在此主要讨论WM使用BTK类药物时,擅自停药易出现停药综合征和药物耐药致疾病进展和转化,在临床中应予重视;WM进展或转化并非一定伴有IgM及轻链的升高,应注意有无新发病灶。WM患者应定期随访并监测乙肝病毒DNA,防止乙肝病毒激活。对合并腹水的WM患者进行鉴别诊断时除了考虑肝硬化致门脉高压性腹水外,还需鉴别WM疾病进展的可能。本例患者腹水ctDNA检测的结果不仅有助于证实疾病进展,还提示出现了新发BTK耐药位点,对临床有很大启示作用。对r/r WM患者早期识别高危因素或及早联合NGS检测选择联合治疗方案,可能疗效更佳。
患者以腹胀加重入同济大学附属同济医院血液科,结合症状和体征,首先考虑浆细胞疾病,是原发疾病复发进展还是出现新的疾病(如多发性骨髓瘤、浆细胞瘤、意义未明单克隆免疫球蛋白血症等)?完善生化免疫、血清蛋白固定电泳、骨髓常规、活检、流式细胞术及颈、胸、全腹增强CT仍支持WM诊断,考虑患者WM复发进展。左侧胸壁肿物考虑为髓外侵犯,不除外合并第二肿瘤的可能,遂完善穿刺活检,病理回报:见异型淋巴样细胞,细胞体积大,核仁明显,结合免疫组化,考虑B细胞非霍奇金淋巴瘤向大B细胞转化倾向。左侧胸壁组织NGS检测到MYD88L265P和TP53Y220D基因突变。支持WM进展向DLBCL转化诊断。患者腹水以淋巴细胞为主,根据腹水病因分类(肝源性、心源性、肾源性和肿瘤相关等),末次疾病进展血性腹水是慢性乙肝肝硬化失代偿的表现还是原发疾病进展引起的?完善上腹部CT、胃镜、腹水常规和流式细胞学及SAAG,胃镜见食管、胃底静脉曲张,上腹部CT回报肝硬化、脾大、门静脉高压,食管、胃底及脾脏周围静脉曲张。SAAG为19.7g/L,支持门脉高压性腹水诊断。依据患者症状体征及上述检查结果,完善诊断为"WM转化为DLBCL,乙肝肝硬化失代偿期,慢性乙肝病毒激活"。
明确诊断后外院行6次CHOP化疗(R-CHOP曾使用1次,因过敏停用)、多次血浆置换及输血治疗后达到部分缓解,疾病第1次复发后予泽布替尼160 mg bid口服治疗,期间反复停药致疾病进展和转化,慢性乙肝病毒激活予积极抗病毒、补充白蛋白、保肝、腹水引流等对症支持治疗,末次疾病进展予苯达莫司汀(70 mg/m2,d1-d2)+伊布替尼280 mg qd(肝损减量)控制原发疾病、减量CHOP等挽救治疗因体能状态差,病情无明显改善,最终死亡,
6次CHOP+多次血浆置换治疗后,患者乏力、头晕症状缓解,贫血改善,IgM水平降至30.2 g/L,达到部分缓解。疾病复发后予泽布替尼160 mg bid、抗感染、腹腔引流等对症治疗后腹胀明显减轻。期间先后经历3次感染(分别是败血症和2次骨膜炎),予积极治疗后患者血红蛋白恢复,IgM下降至26.4 g/L,脾脏、腹膜后淋巴结缩小,疾病达到部分缓解。后反复停药致疾病进展和转化,予苯达莫司汀联合伊布替尼控制原发疾病和减量CHOP等挽救治疗病情无明显改善,最终死亡,总生存时间为98个月。
WM是一种罕见的惰性B细胞淋巴增生性疾病,以IgM蛋白和淋巴浆细胞浸润为特征[1]。WM约占血液系统恶性肿瘤的1%~2%,发病率约5/100万[2]。NGS显示WM常见的复发体细胞突变包括MYD88(95%~97%)、CXCR4(30% ~40%)、ARID1A(17%)和CD79B(8%~15%)[3]。基因改变的研究结果为WM的发病机制、预后和治疗结果提供了重要的见解。目前骨髓活检仍是诊断和评估WM的金标准。然而,最近外周血cfDNA可能是一种可行的评价基因组图谱的替代方法。外周血cfDNA,又称液体活检,被认为是一种具有成本效益的微创方法,可以避免抽吸骨髓带来的不适和风险,也可以避免通过CD19处理(从BM或PB)获得tDNA的耗时。近期有研究评估了外周血cfDNA在描述MYD88和CXCR4突变状态中的作用,并将其作为一种无创筛查IgM单克隆γ病的工具,证实了外周血cfDNA是一种可靠、微创或可替代骨髓活检的诊断工具[4,5]。此外,据报道MYD88L265P还可在WM患者的皮肤病变、脑脊液和胸腔积液中发现,提供了一种证明髓外病变受累的手段[6,7,8]。我们将该患者疾病进展后的外周血、左胸壁组织和腹水分别送检NGS,除MYD88L265P和TP53外,腹水ctDNA还检测到BTKT316A和PLCG2(D334G, R337W)耐药突变,而外周血cfDNA均未检测到上述突变。泽布替尼启动前的左腹股沟淋巴结只检测到MYD88L265P,没有检测到BTK或PLCG2突变。据我们所知,这是泽布替尼治疗的r/r WM患者在腹水中创新性发现获得性耐药位点。经查阅,文献报道的BTKT316A和PLCG2D334G突变与CLL伊布替尼耐药有关,但在WM中未见报道。BTKT316A与BTK激酶结构域其他突变(C481S)不同,T316A位于SH2结构域。Sharma等[9]认为T316A突变可能会降低BTK对BLNK或者其他BTK伴侣蛋白的亲和力,携带BTKT316A的细胞对伊布替尼表现出与BTKC481S相似的耐药性。Maddocks等[10]发现PLCG2D334G与Richter的转化有关,Liu等[11]也在伊布替尼治疗耐药r/r CLL中发现该基因突变。TP53突变和/或缺失在WM中发生率较低,但提示预后不良。Poulain等[12]在WM中观察到TP53异常的患者具有更多的基因组异常,与较短的总生存期相关,尤其是在有症状的WM中,并且独立于IPSS WM评分。TP53突变在WM中可能会导致侵袭性疾病过程,检测TP53改变对判断WM患者的预后和指导治疗选择具有重要的临床意义。
转化淋巴瘤通常指由低级别惰性淋巴瘤转化为弥漫大B细胞淋巴瘤、淋巴母细胞淋巴瘤、浆母细胞淋巴瘤等侵袭性淋巴瘤。该患者在惰性和侵袭性过程中IgM的表达、病理特征对比以及多发耐药位点突变的存在支持了真正的克隆转化。WM患者组织学转化为DLBCL较为罕见,在一项纳入1 466例WM的回顾性研究中20例发生组织学转化,5年、10年和15年组织学转化的累积发生率分别为1%、2.4%和3.8%[13]。Durot等[14]对经活检证实转化为DLBCL的77例WM患者进行回顾性研究发现,WM诊断至组织学转化的中位时间为4~6年,对出现结外受累、乳酸脱氢酶升高和全身症状的WM,应考虑转化的可能并进行活检以尽早明确诊疗方案。
分子检测和NGS在临床中的应用为我们提供了获取知识和进一步改进基于基因改变的WM管理的机会。根据既往液体活检在实体恶性肿瘤患者管理中的整合,我们鼓励在前瞻性研究中整合cfDNA导向的终点,以评估疾病过程中的进化基因组动力学,并在临床实践中建立cfDNA分析。与伊布替尼相比,泽布替尼作为第二代小分子选择性BTK抑制剂,对BTK靶点的选择性更高,脱靶毒性更低,不良事件更少,在WM应用中的耐药改变有待进一步大规模前瞻性的临床研究进一步探索。
所有作者均声明本研究不存在利益冲突





















