
患者,女性,14岁,以"肉毒素中毒后四肢瘫痪伴呼吸、吞咽障碍4个月"之代诉入院。患者因"肉毒素中毒"先后在当地医院及空军军医大学第二附属医院神经内科ICU诊治4个月,予以呼吸机辅助呼吸、抗感染、输血等对症支持治疗。遗留四肢无力,气管切开状态,鼻饲管置管,留置尿管。
卧床,消瘦,气管切开状态,鼻饲流质。双肺呼吸动度明显减弱,留置尿管。四肢肌力Ⅲ级,肌肉萎缩。
依据病史、临床症状及实验室检查、影像学检查、量表评估,得出临床诊断、功能诊断。
予以抗感染、化痰等治疗。给予呼吸训练、四肢肌力训练、吞咽训练、物理因子治疗。
呼吸模式改善,咳痰能力增强。完全经口进食。气切管、胃管及尿管拔除。言语清晰,独立步行。
康复科;神经科
版权归中华医学会所有。本文为遵循CC-BY-NC-ND协议的开放获取文章。
肉毒毒素是目前已知毒性最强的毒素之一[1]。其毒性机制主要是通过抑制神经末梢释放乙酰胆碱,麻痹肌肉,引起相应肌肉松弛,特别是麻痹呼吸肌,导致呼吸暂停,严重时能够致死[2]。我们报道1例极重度A型肉毒素中毒病例,旨在提高对本病康复治疗的认识,提高该类病患者的生存质量。
患者,女性,14岁,以"肉毒素中毒后四肢瘫痪伴呼吸、吞咽障碍4个月余"代诉于2022年5月7日入空军军医大学第二附属医院康复医学科。家属诉于2022年1月1日晨起后患者出现头昏,抬头乏力,逐渐出现吞咽困难、饮水呛咳、言语含混,伴四肢无力,需搀扶行走,就诊当地医院。患者在发病前1 d食用真空包装的"豆腐干"。2022年1月3日出现呼吸困难,给予"气管插管、呼吸机辅助呼吸"。2022年1月7日检测出"血清A型肉毒毒素阳性",给予"A型肉毒素抗毒素",并给予输注血浆、抗感染、化痰等治疗。2022年2月8日转至空军军医大学第二附属医院神经内科ICU,继续呼吸机持续辅助呼吸、抗感染、抑酸、保护黏膜、输血等治疗。治疗期间先后3次脱离呼吸机,因反复低氧血症,脱机失败。2022年4月28日成功脱机。患者消瘦、四肢瘫痪,痰量多、咳痰无力,气管切开,鼻饲进食,留置尿管,生活完全依赖,为进一步康复治疗于2022年5月7日转入空军军医大学第二附属医院康复医学科。
体格检查:贫血貌,卧床,消瘦,言语不能(气管切开状态)。气管切开状态,鼻饲流质,饮水呛咳。心率120次/min,心律规整,无额外心音及杂音。两侧呼吸动度明显减弱,胸式呼吸,双下肺可闻及散在湿啰音。腹部查体格检查阴性。留置尿管。四肢肌力3级,四肢肌张力正常,四肢肌肉萎缩。
初期评估:(1)肌力:L:肩: Ⅲ级,肘:Ⅲ级,手:Ⅲ级。R:肩: Ⅲ级,肘:Ⅲ级,手:Ⅲ级。L:髋:Ⅱ级,膝:Ⅲ级,踝:Ⅲ级。R:髋:Ⅱ级,膝:Ⅲ级,踝:Ⅲ级。(2)肌张力:四肢肌张力正常。(3)感觉:正常。(4)平衡功能:坐位0级、站位0级。(5)饮水试验5级,主动吞咽运动能力减弱。(6)膈肌参与度较差(徒手评估膈肌-肋部;肋缘部;剑肋区域)。胸廓扩张度较差。(7)咳嗽效能评级:1级:咳嗽时有气流音,无咳嗽音。痰液性状评级:P1:2/3白色黏稠痰,大量痰液,每日痰液量>100 ml。(8)ADL:5分(大便控制5分)。
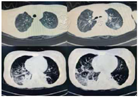
辅助检查:(1)脑脊液检查:生化指标、蛋白均在正常范围内。血清甲状腺功能、肌酶均阴性。(2)痰培养:铜绿假单胞杆菌。G实验、GM实验均阴性。(3)胸部CT:双肺炎症,双肺背侧肺野部分不张并实变(图1)。(4)膈肌功能超声:呼吸末膈肌厚度约1.1 mm,吸气末膈肌厚度约1.4 mm,膈肌增厚度约27%,膈肌移动度10 mm(图2)。(5)支气管镜:右肺中下叶、左肺下叶各级支气管可见大量痰液(图3)。






A型肉毒毒素中毒;肺部感染;气管造口状态。
四肢运动功能障碍;呼吸功能障碍;吞咽障碍。
患者有食用腌制食物史,主要表现四肢无力、呼吸困难、吞咽困难。查"A型肉毒毒素阳性",经"A型肉毒抗毒素"治疗病情有改善。气管切开状态,鼻饲饮食。合并肺部感染,诊断明确。鉴别诊断:(1)肌无力综合征:男性居多,约2/3伴发癌肿,可伴发其他自身免疫性疾病。该患者无肿瘤病史,可排除。(2)强直性肌营养不良症:表现肌无力、肌强直、肌萎缩的多系统受累的遗传病。该患者无肌强直,可排除。
近期目标:(1)拔除尿管,改善四肢及躯干肌力,可配合翻身、坐起、穿衣、修饰、如厕等基本日常生活活动;(2)改善吞咽功能,降低误吸风险,拔出胃管,恢复经口进食;(3)改善呼吸功能,提高排痰能力,封堵气管套管。ADL BI评分55分(进食10分、修饰5分、穿衣5分、控制大便10分、控制小便10分、如厕5分、床椅转移5分、平地行走5分)。远期目标:(1)生活基本自理;(2)进一步改善呼吸功能可满足日常活动需要;(3)进一步提高全身耐力及独立步行;(4)回归家庭、回归社会。ADL BI评分85分(进食10分、修饰5分、穿衣10分、控制大便10分、控制小便10分、如厕10分、床椅转移15分、平地行走15分)。
1.给予抗感染、化痰、抑酸、保护胃黏膜、促动力药物等营养支持治疗。早晚腹部磁疗及按摩腹部。综合康复功能评估及康复治疗。
2.康复治疗:(1)健康宣教:指导患者及家属良肢位摆放,翻身拍背。患者长期卧床,适当心理干预,改善患者及家属情绪。(2)营养治疗:初步估算患者每日需要约1 200 kal热量,蛋白质需求量约65 g,均衡摄入饮食,患者肠内营养液(1 500 kal)+水果+肉类+牛奶+蔬菜。(3)运动治疗:①体位适应性训练,指导患者卧位-坐位的体位适应性训练。②头部及躯干的稳定控制性训练和协调训练。③四肢关节活动度训练,患者四肢各关节被动活动基本正常,进行关节助力运动,避免关节僵硬挛缩。④肌力训练:四肢进行徒手肌力低强度抗阻训练。床旁卧位踏车训练。全身耐力提高后,逐渐过渡至上肢及下肢器械锻炼抗阻训练。(4)呼吸功能训练:吸氧,床旁进行低强度抗阻腹式呼吸训练。呼吸肌无力,痰多,咳痰无力,行支气管镜下吸痰。用主动循环呼吸技术指导咳痰。(5)吞咽功能训练:①间接训练:唇部运动、舌部运动、下颌运动、咽部冰刺激、声门闭锁练习(图4A)。②喉结两侧肌肉电刺激。(6)膀胱管理:留置尿管时,嘱患者家属间歇性夹闭尿管,训练排尿意识。测定排尿量。制定饮水计划。简易膀胱压力测定,渐恢复自主排尿,拔除尿管,残余尿多次复查阴性。(7)物理因子疗法:四肢中频脉冲电、气压治疗;腹部磁疗。


3.中期评估:(1)肌力:L:肩:Ⅳ级,肘:Ⅳ级,手:Ⅳ级。R:肩: Ⅳ级,肘:Ⅳ级,手:Ⅳ级。L:髋:Ⅲ级,膝:Ⅳ级,踝:Ⅳ级。R:髋:Ⅲ级,膝:Ⅳ级,踝:Ⅲ级。(2)肌张力:四肢肌张力正常。(3)感觉:正常。(4)平衡功能:坐位2级、站位0级。(5)饮水试验1级。(6)膈肌活动度好转(徒手评估膈肌-肋部;肋缘部;剑肋区域)。(7)咳嗽效能评级:3级:可听见明显咳嗽音。痰液性状评级:P1:1/3白色泡沫痰,每日痰液量约10~20 ml。(8)ADL:55分(进食10分、修饰5分、穿衣5分、控制大便10分、控制小便10分、如厕5分、床椅转移5分、平地行走5分)。
4.康复治疗调整方案:(1)运动治疗:康复治疗治疗逐渐转移至康复大厅,增加手工作业治疗,提高患者康复趣味性及患者的主动性(图4B)。进行躯干核心肌群功能训练图(图4C)。配合平衡板使用,平衡功能训练(图5A)。进行投球有氧运动训练(图5B),直至患者独立步行(图5C)。(2)呼吸功能训练:①采用呼吸训练器进行吸气和呼气功能训练。②气切管试堵管呼吸适应性训练及发音训练,逐渐增加自主咳痰训练,呼吸功能、咳痰能力明显好转后拔管。(3)吞咽功能训练①直接训练:进食时采用直观训练,调整体位、食物质地,一口量及进食速度,食团在口中位置等训练。②继续予喉结两侧肌肉电刺激。


患者经21 d康复治疗后:完全经口进食,量约250 ml/次,胃管拔出。可将痰液经气切处咳出,吸痰次数由20次/d减少至3~4次/d,痰量减少,气切管间断试诸管状态。可发音,二便控制良好,尿管拔除。坐位平衡2级,辅助站立,四肢关键肌肌力约4级。ADL BI评分55分。
经后续20 d康复治疗:患者言语清晰,胸部CT双肺炎症明显吸收(图6),膈肌功能较前改善(图7)。拔出气切管。目前患者上、下肢关键肌肌力均达Ⅴ级。坐位平衡3级,可独立步行。ADL BI评分85分(进食10分、修饰5分、穿衣10分、控制大便10分、控制小便10分、如厕10分、床椅转移15分、平地行走15分)。




目前食物中毒型肉毒毒素中毒事件已罕见报道,肉毒杆菌食物中毒是由于食入被肉毒素污染的食物导致[3]。通过病史、临床表现及检测"血清肉毒毒素"可确诊,表现为急性、对称性、下行性的迟缓性瘫痪,还可出现植物神经功能障碍[4]。
本例是14岁女性,食源性肉毒素中毒,结合病史及实验室检查,确诊为"A型肉毒素中毒"。患者病情变化快、发展迅猛,除表现对称性四肢无力,呼吸无力,吞咽困难,还存在肺部感染、胃肠功能障碍,四肢肌肉萎缩,导致后期康复治疗难度大。针患者存在的多系统功能障碍问题,给予制定详细精准的个体化康复治疗方案。患者转入空军军医大学第二附属医院康复医学科前已在ICU治疗时间长达4个月余,患者及家属心理压力大,出现消极心理,临床工作中予以心理疏导和效果反馈观察。治疗初期,患者进食后反复出现恶心、呕吐,运用物理方法即手法腹部按摩治疗促进胃肠动力,逐渐缓解患者胃肠症状,减少药物治疗用量。患者消瘦明显,合并贫血及低蛋白血症,提供精细化营养支持,逐步改善患者营养状况。结合患者年龄,实施趣味性训练项目,提高患者康复治疗积极性。患者运动耐力差,先低强度阻力训练(与血流限制下抗阻训练相结合可诱导肌肉质量和力量的相似增加抵抗力)。随着病情好转,逐渐改为抗阻训练和有氧运动。抗阻训练可增加肌肉质量/减少脂肪质量、改善心血管和自主神经功能[5]。有氧运动可增加最大摄氧量、改善线粒体活动和骨骼肌的氧摄取。逐渐提高患者的运动耐力[6]。
经系统康复治疗1个月余,患者呼吸功能提高,呼吸模式改善,咳痰能力增强;完全经口进食;二便控制良好;气切管、胃管及尿管均成功拔除;言语清晰,恢复正常交流能力。四肢肌力明显改善,可独立步行及上下楼梯;日常生活活动能力完全恢复。
过去对A型肉毒毒素中毒综合治疗后,其后遗症、死亡结局仍然较多,康复治疗过程枯燥、见效慢、持续时间长。从本例患者的整个康复治疗过程,我们切实体会到,康复治疗需要依据患者功能障碍情况,科学制定精准个体化的康复治疗方案,良好的康复治疗团队全力协作,才能取得良好的治疗效果。精准评估、精准治疗、团队协作是促使康复患者最大限度地回归家庭和社会的保障。
所有作者均声明本研究不存在利益冲突





















