
患者,女性,48岁,9个月余前情绪激动后出现心悸胸闷,无明显胸痛,无头晕头痛,无黑朦晕厥,无呼吸困难,持续约1 h未见好转,遂于当地医院就诊,查心电图提示:室性心动过速,随后自行转为窦性心律,未用药。3个月前再次发生心悸不适,当地医院心电图提示室性心动过速,持续约1 h,休息后自行恢复为窦律,无伴黑朦、晕厥。本次入院前1 d,患者无明显诱因下再次出现心悸胸闷,无伴胸痛,无黑朦晕厥,持续约2 h未见好转,再次于当地医院就诊,查心电图示:室性心动过速、ST-T改变,予可达龙150 mg静脉推注后转为窦性心律,推药期间患者出现短暂意识丧失,持续约2 min后恢复意识,无伴大小便失禁,恢复意识后自觉心悸好转。否认家族遗传性及聚集性疾病史;否认家族成员早发猝死病史。
神志清楚,精神可,发育正常,口唇无发绀,皮肤黏膜未见黄染,双肺呼吸音清,未闻及干湿啰音,心率74次/min,心律齐,各瓣膜区未及病理性杂音。腹平软,肝脾肋下未及,全腹部无压痛、反跳痛。四肢肌力正常,双下肢无浮肿。
心脏超声提示左室偏大、左室壁不增厚且心肌厚度不均匀,心尖处最薄,部分区域心肌组织较疏松,心肌收缩功能减低;CMR提示左室前壁及心尖处较薄,心内膜下可见片状延迟强化,考虑非缺血性心肌病(心肌致密化不全)。
行单腔可植入性心脏除颤器(ICD)植入术,辅以抗心力衰竭药物改善预后。
患者心力衰竭症状较前缓解,无晕厥及黑蒙,随访程控ICD未见室性心动过速事件。
心内科;全科
版权归中华医学会所有。本文为遵循CC-BY-NC-ND协议的开放获取文章。
心肌致密化不全是一种由胚胎期心肌正常致密化过程失败,导致心室腔内出现肌小梁和与左室腔交通且深陷的小梁间隙为特征的遗传性心肌病,多以心律失常、心力衰竭、体循环栓塞为主要临床表现,但往往缺乏特异性,其临床诊断主要依靠超声心动图和心脏磁共振(cardiac magnetic resonance,CMR),如发生恶性心律失常,需要植入可植入性心脏除颤器(implantable cardioverter defibrillator,ICD)预防心源性猝死[1,2]。室性心动过速是一种宽QRS波心动过速,有特异的心电图表现可与其他心律失常相鉴别。我们报道1例以室性心动过速为主要表现的心肌致密化不全,旨在提高对本病的认识,减少误诊和漏诊。
患者,女性,48岁,亚急性起病,呈进行性加重,因"发作性心悸胸闷9个月余"入上海交通大学医学院附属瑞金医院心内科住院。患者9个月余前情绪激动后出现心悸胸闷,无明显胸痛,无头晕头痛,无黑朦晕厥,无呼吸困难,持续约1 h未见好转,遂于当地医院就诊,查心电图提示"室性心动过速",随后自行转为窦性心律,未用药。3个月前再次发生心悸不适,当地医院心电图提示"室性心动过速",持续1 h余,休息后自行转为窦律,无黑朦及晕厥。本次入院前1 d,患者无明显诱因下再次出现心悸胸闷,无胸痛,无黑朦晕厥,持续约2 h未见好转,于当地医院就诊,查心电图示"室性心动过速、ST-T改变",予胺碘酮150 mg静脉推注后转为窦性心律,推药期间患者出现短暂意识丧失,持续约2 min后恢复意识,无大小便失禁,无眼球上翻,恢复意识后自觉心悸好转。患者20年前曾患心肌炎,后频繁出现室早,当地医院考虑心肌炎后遗症,长期口服美托洛尔25 mg bid,已于入院前1 d停药。父母身体健康,否认家族遗传性及聚集性疾病史,否认其他家族成员早发猝死病史。
体温36.8℃,脉搏74次/min,呼吸20次/min,双上肢血压对称119/70 mmHg(1 mmHg=0.133 kPa),神志清楚,精神可,步入病房,自主体位,体格检查合作。对答切题。皮肤黏膜未见黄染、瘀斑瘀点,浅表淋巴结未及肿大,甲状腺未及肿大及结节。双肺呼吸音清,未闻及干湿啰音,心率74次/min,心律齐,各瓣膜区未及病理性杂音。腹平软,肝脾肋下未及,全腹部无压痛、反跳痛。四肢肌力正常,双下肢无浮肿。NS(-)。
(1)血常规:白细胞4.9×109/L、中性粒细胞占比0.551、血红蛋白125 g/L、血小板169×109/L。(2)生化指标:空腹血糖4.53 mmol/L、丙氨酸转氨酶22 IU/L、天冬氨酸转氨酶25 IU/L、白蛋白39 g/L、尿素氮6.0 mmol/L、肌酐64 μmol/L、尿酸246 μmol/L、钠138 mmol/L、钾4.1 mmol/L、钙2.15 mmol/L、磷1.07 mmol/L。(3)血脂:甘油三酯1.07 mmol/L、胆固醇4.27 mmol/L、高密度脂蛋白1.79 mmol/L、低密度脂蛋白2.24 mmol/L。(4)心肌酶谱:乳酸脱氢酶122 IU/L、肌酸激酶65 IU/L、肌酸激酶同工酶2.4 ng/ml、肌红蛋白24.8 ng/ml、肌钙蛋白0.49 ng/ml↑。(5)DIC:APTT 32.9 s、PT 11.3 s、INR 0.96、TT 18.30 s、Fg 1.8 g/L、纤维蛋白降解产物2.2 mg/L、D-二聚体0.17 mg/L。(6)NT-proBNP:563.4 pg/ml↑。(7)炎症指标:C反应蛋白2.9 mg/L。(8)甲状腺功能、自身免疫指标未见明显异常。
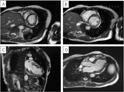
(1)外院心电图示:室性心动过速、ST-T改变(图1)。(2)外院动态心电图之一(1996年6月4日):平均心率77次/min,最快129次/min,最慢56次/min;见个别室早<64次;"RonT"、"插入性室早"、"室早成对"、"室性心动过速"等均系伪差干扰电脑误判,无ST-T改变(监护23 h)。(3)外院动态心电图之二(2019年8月6日):平均心率64次/min,最快94次/min,最慢52次/min;室性早搏936次,有1次成对室早,49阵室性二联律,无室性心动过速;房性早搏9个(4)上海交通大学医学院附属瑞金医院心电图(图2):QRS时限短,T波低平,I、avL肢导低电压。(5)胸X线:两肺纹理略多,未见确切活动性病变。(6)超声心动图(图3):心腔大小及厚度:左房内径33 mm,左室舒张末期内径52 mm,左室收缩末期内径41 mm,室间隔厚度6.5 mm,左室后壁厚度7.5 mm。二维:左室偏大,左室壁不增厚且心肌厚度不均匀,心尖处最薄,部分区域心肌组织较疏松。静息状态下左室壁各节段收缩活动减低,尤以心尖部最明显。各心瓣膜未见明显增厚,开放不受限。右室壁未见明显变薄。左心功能测定:左室舒张末期容量118 ml,左室收缩末期容量63 ml,左室射血分数46%,左室短轴缩短率23%,每搏输出量55 ml。结论:左室壁心肌厚度不均匀,心尖处较薄,部分区域心肌组织较疏松,综合考虑心肌病可能较大。(7)为进一步明确病因,完善冠状动脉造影,结果提示大致正常(图4)。(8)CMR:左室壁心肌厚度不均,左室前壁及心尖处较薄,增强后左室前壁心内膜下可见片状强化,未见反常运动和矛盾运动,左室射血分数41%。结论:左室壁心肌厚度不均匀,左室功能不全,提示非缺血性心肌病变(心肌致密化不全可能,图5)。










患者亚急性起病,进行性加重,以心悸胸闷为主要表现,每次发作持续时间1~2 h不等,心电图确诊为室性心动过速,心脏超声提示器质性心脏病(心肌病可能),冠状动脉造影排除缺血性原因,最后根据CMR证实,诊断:室性心动过速;心肌致密化不全;慢性心力衰竭(HFrEF,C期,NYHA II级)。
该患者心悸发作时心电图提示宽QRS心动过速,室性心动过速明确,根据波形特点,考虑右室乳头肌来源可能,需与以下疾病鉴别:(1)致心律失常右室心肌病)[3],是一种主要累及右室的遗传性心肌病,以心肌细胞被纤维脂肪组织进行性替代为病理特征,易引发室性心律失常和SCD。近年来发现致心律失常右室心肌病可以累及一侧或两侧心室。肺动脉漏斗部、右室心尖部和下壁、左室下侧壁为其好发部位,称为"致心律失常右室心肌病四合院"。CMR结合局部室壁运动评估和组织特征(纤维化、脂肪浸润和纤维脂肪瘢痕)可协助明确。(2)扩张型心肌病:一种原发性心肌病,其特征为左或右心室或双侧心室扩大,并伴有心室收缩功能减退,通常表现为充血性心力衰竭,室性或房性心律失常多见,心脏超声可见全心扩大,部分晚期患者心脏呈球样扩张,室壁明显变薄,部分心肌致密化不全易与之混淆,需排除高血压、缺血性原因。(3)心肌淀粉样变[4]:是一种限制性心肌病,以心肌组织内沉积有能被苏木紫-伊红均匀染色的淀粉样蛋白质为特征,临床主要表现为右心力衰竭和周围水肿、低血压,累及到传导系统可出现心律失常(病窦、心房颤动、房室传导阻滞、束支传导阻滞、室性心动过速),猝死风险高,因淀粉样物质在不同组织的沉积可伴以下表现:巨舌症、腕管综合征、皮肤损伤、骨质损害等,心电图常见低电压、胸前导联R波递增不良,心脏超声可见全心增厚,心肌内回声不均匀("雪花状"回声)、左室射血分数多正常或轻度下降,CMR可见心内膜下环形强化,血清肌钙蛋白和NT-proBNP水平多升高。
患者中年女性,发作性心悸胸闷9个月余入院。共发生过3次室性心动过速,且每次均在情绪紧张激动时发生,持续时间在1~2 h,发作时以心悸为主,可自主活动,无晕厥黑朦,多可自行转为窦律。入院后心悸胸闷时回顾心电监护可见插入性多源室早,未见室性心动过速发作,完善冠状动脉造影排除冠状动脉粥样硬化性心脏病;心脏超声提示左室壁心肌厚度不均匀,心尖处较薄,部分区域心肌组织较疏松,室性心律失常可能为心肌结构异常所致,后完善CMR提示左室壁心肌厚度不均,左室前壁及心尖处较薄,增强后左室前壁心内膜下可见片状强化,未见反常运动和矛盾运动。左室射血分数41%,结合患者病史,考虑心肌致密化不全可能。与患者及家属沟通后,行单腔ICD植入术(美敦力DVBC3D4)预防心源性猝死,并加用抗心力衰竭口服药物:培哚普利4 mg qd、比索洛尔2.5 mg qd,呋塞米20 mg qd,螺内酯20 mg qd,阿司匹林100 mg qd。
出院后患者门诊定期随访,调整药物剂量,后期将培哚普利换用ARNI(沙库巴曲缬沙坦100 mg bid),比索洛尔5 mg qd长期维持服用,ICD程控未见室性心动过速不良事件,患者一般情况可。
心肌致密化不全是儿童常见的一种遗传性心肌病,成人比较少见,由于心脏发育早期时心肌致密化过程迟滞或停顿造成,以心室内突出的肌小梁和众多深陷的小梁隐窝为病理特征,最常累及左室,所以称为左室致密化不全[1]。主要的临床表现为:(1)心力衰竭,其出现症状的时间和轻重程度与心肌受累范围有关。左室功能下降的原因不清楚,可能因小梁化心肌的出现导致心室壁内灌注失常,血流供需间的不匹配造成慢性心肌缺血,导致心肌收缩功能下降;心室肌的异常松弛和心室充盈受限的作用引起心肌舒张功能不全。(2)心律失常,大多为致命性的室性心律失常,如室性心动过速,部分可呈尖端扭转性;也可为房性心律失常,如房性期前收缩、心房颤动等;少数患者可出现房室传导阻滞。患者可表现反复心悸,甚至晕厥、猝死。其发生机制现如今认为,在致密化不全的心肌段肌小梁呈不规则分支状连接,在等容收缩期室壁压力增加,使局部冠状动脉血供受损,从而引起电传导延迟,而诱发潜伏的异位心律失常。(3)心内膜血栓形成,致密化不全心室的小梁隐窝易于形成壁内血栓,血栓可以脱落引起体循环栓塞。
目前心肌致密化不全首选超声心动图诊断,主要依据Jenni标准[5]:(1)直接征象:①心室壁异常增厚,分为薄而致密的心外膜层和增厚的非致密的心内膜层,心内膜层由粗大突起的肌小梁和梁间的隐窝构成,且隐窝与左心室腔相通而具有连续性,成人左心室收缩末期非致密化的心肌层与致密的心肌层厚度之比>2∶1;②主要受累心室肌为心尖部、心室下壁和侧壁;③彩色多普勒可测及小梁间的深陷隐窝充满直接来自左心室腔的血液,但不与冠状动脉循环交通。④排除合并其他先天性或获得性心脏病。(2)间接征象:①左心不同程度扩大。②左心室腔内可见血栓回声。③左心室受累节段室壁运动减低,左心室射血分数降低。
CMR近年来越来越被认可,其诊断标准包括[5]:(1)直接征象:①心室壁分为2层,较薄的致密化层以及较厚的存在网状肌小梁和隐窝的非致密化层。在MRI上,舒张末期非致密化层/致密化层比例≥2.3,或者舒张未期测量左心室肌小梁质量≥总质量20%;②常见的受累部位为心尖部及左心室中段游离壁,基底段及室间隔较少受累;(2)间接征象:①左心室腔不同程度增大,继发二尖瓣功能异常和左心功能不全,可有左心房增大;②左心功能减低,受累节段室壁运动减弱。③小梁间隐窝会导致血流瘀滞,血栓形成;④微循环受损,非致密化心肌有时会出现不同程度纤维化,延迟增强上表现为不同程度强化。对存在NYHA Ⅲ/ Ⅳ级、心房颤动、室性心动过速、心室颤动、心脏明显增大等高危因素的患者,早期行心脏移植或植入ICD可降低死亡风险。
本例患者病程中以宽QRS心动过速为主要表现,是指QRS波宽度>120 ms的心动过速,可见于心房颤动伴预激、室上性心动过速伴差传、室性心动过速、起搏心律。其中,室性心动过速心电图的鉴别要点主要包括以下几点:(1)房室分离(图6);(2)室性融合波;(3)窦性夺获(图7);(4)无人区电轴(图8);(5)QRS波同向性(图9);(6)QRS波时限(>150 ms)。室性心动过速除见于缺血性心肌病外,还多见于扩张性心肌病早期、心肌致密化不全、致心律失常性右室心肌病、心肌炎后遗症等。一般情况下,需要植入ICD预防心脏猝死。








目前关于ICD的治疗建议,指南[2]推荐如下:(1)Ⅰ A类推荐:非可逆性原因导致的心室颤动或者血流动力学不稳定的持续性室性心动过速造成的心脏性骤停;心肌梗死所致左室射血分数<35%,心梗NYHA Ⅱ或Ⅲ级后40 d以上,NYHA Ⅱ或Ⅲ级;心肌梗死所致左室射血分数<30%,且心肌梗死40 d以上,NYHA Ⅰ级;(2)Ⅰ B类推荐:伴有器质性心脏病的自发性持续性室性心动过速(30 s),无论血液动力学稳定或者不稳定;晕厥原因不确定,但心脏电生理检查能够诱发出具有明显血流动力学障碍的持续性室性心动过速或者心室颤动;NYHA Ⅱ或Ⅲ级,左室射血分数<35%的非缺血性心肌病患者;心肌梗死后非持续性室性心动过速,左室射血分数<40%,且心电生理检查能诱发出心室颤动或持续性室性心动过速。
本例患者,我们植入ICD随访未见室性心动过速、心室颤动恶性事件的发生,很好的预防心源性猝死,此外,根据心力衰竭治疗指南,调整药物,也利于改善患者的预后和症状。
所有作者均声明本研究不存在利益冲突





















