
患儿为6月龄男婴,多次以发热起病,均表现为重症细菌感染,经积极抗感染治疗后症状均可改善,但在停止抗生素使用后再次出现反复高热腹胀纳差,相关检查回报提示多系统疾病,予完善基因检查,确诊7号染色体长臂缺失综合征。
32周早产,出生体重1.78 kg,6月龄体重5.1 kg,5月龄才会抬头,6月龄尚不能独坐不稳,未长牙,入院时精神一般,反应可,呼吸稍促,毛细血管充盈时间3 s,全身皮肤紫花,腹稍膨隆、软,全腹无拒按,肝脾肋下未及,肠鸣音4次/min。
以发热寻找发热原因的诊断思路,结合多次感染指标均提示细菌感染,完善尿常规,尿培养,尿路造影,心脏彩超,脑干诱发电位,基因检测等辅助检查,予确诊此病。
发病时积极静脉抗感染治疗,感染控制后口服抗生素预防感染。
序贯口服抗生素治疗后未再出现发热,院外多次复查尿常规仍白细胞偏高。
儿科
版权归中华医学会所有。本文为遵循CC-BY-NC-ND协议的开放获取文章。
7号染色体长臂缺失综合征既往被称为7号染色体末端缺失综合征。其常见的临床症状包括前脑无裂畸形、骶骨发育不全、生长发育迟缓,智力障碍,指间距缩短,肌张力低下,小头畸形、眼外侧上斜,有内眦赘皮,前额突出,唇裂,鼻根低平,小颌畸形,异常掌,耳位低平,喂养困难等,结合相关文献报道,患儿的表型因缺失片段的范围不尽相同,但远期仍多表现为生长发育迟缓、智力低下,多因生长发育迟缓为首诊就医。此例患儿因泌尿道畸形引起反复泌尿道感染从而导致反复发热,同时存在心脏,胃肠道,听力等多器官障碍,确诊时间早,尚未出现生长发育迟缓,智力低下等并发症,希望早期的确诊有助于帮助患儿的生长发育。
患儿6月龄男婴,以发热2 d伴腹胀2022年、1月、8日首次就诊外院,诊断脓毒性休克、严重脓毒症、先天性巨结肠可能住院治疗13天,仍反复有腹胀,无再发热后出院。
因发热7 h伴纳差为主诉于2022年、1月、23日首次我科。入院前7 h无明显诱因出现发热,体温波动于37.8~39.2℃之间,伴纳少,期间未进食,无哭闹不安,无嗜睡,无抽搐,无咳嗽、咳痰,无青紫,无皮疹。自发病以来,患儿精神一般,11 h内奶量20 ml(平素60ml q3h),近6 h尿量35 ml,大便正常。入院查体T39.7℃,R50次/min,P177次/min,SPO2 98%,体重5.1 kg,BP 104/62 mmHg(1 mmHg=0.133 kPa),头围37 cm,胸围36.2 cm,神志清楚,精神一般,反应可,呼吸稍促,未见三凹征,毛细血管充盈时间3秒,全身皮肤紫花,前囟平软,约0.8 cm×0.8 cm,口唇红润,咽充血,未见疱疹。颈无抵抗,两肺呼吸音粗,未闻及干湿性罗音,心率177次/min,心律齐,心音有力,未闻及杂音。腹稍膨隆、软,全腹无拒按,肝脾肋下未及,肠鸣音4次/min。四肢凉,肌张力正常,双膝反射对称引出,两侧babinski征阴性。经抗感染治疗2 d后无再发热于1月、29日转入外科行先天性巨结肠相关检查及治疗,转出后停用抗生素。
因发热1次于2022年、1月、30日(停用抗生素2 d后)再次转入我科。查体无特殊。
家族史:父母体健,非近亲结婚,家族中无遗传疾病史、传染病史或类似病史;孕期因未发现怀孕未进行产检。
个人史:患儿系G1P1,32周早产剖宫产,出生体重1.78 kg,生后Apgar评分均10分,无窒息抢救史。
生长发育史:5月龄抬头,6月龄尚不能独坐不稳,未长牙。
全外显子疾病分析报告示:先证者在GRCH37:chr7:140397771-158937497区域存在杂合缺失突变,在GRCH37:chr20:8608889-8862502区域存在0.25Mb杂合重复突变。染色体异常检测报告:该样本检出明确致病的基因组拷贝数变异:seq< GRCH37>del(7)(q34q36.6), chr7:g.140402044_159128663del,大小18.7Mb,拷贝数为1。详见图1。


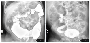
膀胱造影示:膀胱-右侧输尿管返流。心脏彩超:动脉导管未闭、动脉水平双向分流,肺动脉增宽,左心增大,三尖瓣少量分流,肺动脉高压。钡剂灌肠:先天性巨结肠可能。脑干诱发电位:双侧各波潜伏期正常,波间期正常,V波反应阈增高(左耳45dBnHL,右耳55dBnHL)。血常规示:白细胞29.18×109/L),中性粒细胞百分比81.70%,淋巴细胞百分比12.70%,血红蛋白91.00 g/L,红细胞压积28.30%,血小板591×109/L,网织红细胞百分比4.45%,网织红细胞绝对值146.80×109/L,CRP 40.98 mg/L。降钙素原3.92~4.48 ng/ml。尿常规示:白细胞45.个/ul 8-106.6个/ul,白细胞8.24个/HP-19.19个/HP,余大致正常。胸腹联合立位片示:1.腹部肠气增多伴部分肠管轻度扩张,请结合临床,2.心肺未见明显异常(图2)。免疫球蛋白G 16.1 g/L,免疫球蛋白A 0.683 g/L,余正常。血生化、脑脊液常规、脑脊液培养、头颅CT及MRI、凝血功能,甲状腺功能、血培养正常。


该患儿以反复发热起病,在儿科发热为常见症状之一,入院后相关感染指标回报,考虑细菌感染,但患儿系6个月婴儿,发热感染部位原因不明,结合既往发热病史及外院相关检查结果,故在临床上需注意以下部位感染进行鉴别:1)泌尿道感染:小年龄儿童因缺乏与泌尿道感染相关的特异性临床表现,易漏诊,需常规完善尿常规检查;2)败血症:患儿反复发热,外院血培养阳性1次,需注意治疗疗程不足引起的反复发热;2)中枢神经系统感染:患儿系6月龄婴儿,反复高热,入院后提示重症细菌感染,需注意。
予头孢哌酮舒巴坦50mg/kg q8h抗感染治疗后患儿无发热,腹胀改善,生命征平稳,出院后予规律口服头孢克肟17mg bid至今,患儿无再发热,院外多次复查尿常规白细胞稍增高。
院外规律口服抗生素,因家属离开本地区未能随访,末次于2022年、8月、26日电话随访家属表示院外多次复查尿常规白细胞稍增高,但均未再次出现发热。生长发育目前患儿14月龄,不能独立站立,可发爸爸妈妈音,不能独自拿物(发育商初评:语音8个月龄,大运动11月龄,精细动作5月龄)。
第1例7号染色体长臂部分缺失的病例可追溯到1968年[1]。随着基因检测技术的发展,对于7号染色体缺失的报道逐渐增多。目前报道的病例缺失范围大多位于7q32、7q35或7q36.1[2]。Lukusa和Harris等[3]总结了7号染色体长臂部分缺失的共同临床特征,包括前脑无裂畸形、骶骨发育不全、生长发育迟缓,智力障碍,指间距缩短,肌张力低下,小头畸形、眼外侧上斜,有内眦赘皮,前额突出,唇裂,鼻根低平,小颌畸形,异常掌,耳位低平,喂养困难等。其中生长发育迟缓、智力障碍、指间距缩短、肌张力低下和泌尿生殖道畸形是7号染色体长臂缺失中常见的临床表现[4,5,6,7]。本文提供的病例为7号染色体长臂部分缺失,其缺失部位为q34q36.3,大小约18.7Mb,结合相关文献及数据库检索发现此该基因范围约涉及100多个基因,共包含35+个蛋白质编码基因,其中SHH、EN2、KCNH2、KMT2C、MNX1、NCAPG2、DPP2等可能与临床症状相关的剂量敏感基因。经查询OMIM数据库及ClinGen数据库剂量效应,有充分证据表明该区域内存在单倍剂量不足效应的基因,结合患儿目前出院的临床症状及相关辅助检查结果,主要致病基因分别为:
MNX1基因(OMIM:176450)位于7q36.3,关联疾病为Currarno综合征,可致膀胱输尿管反流,肛门直肠畸形,前脑膨出,骶骨发育不全等,目前此例病例存在膀胱输尿管反流,巨结肠,不全性肠梗阻等,符合该基因表型。
KMT2C基因(OMIM:618460)位于7q36.3,关联疾病为Kleefstra综合征2型,可致全面性发育迟缓,面中部发育畸形,自闭症,肌张力降低等,此病例中存在运动发育迟缓,自闭症及面部发育迟缓有待继续进一步观察。
NCAPG2基因(OMIM:176450)位于7q36.3,关联疾病为Khan-Khan-Katsanis综合征,表现为神经发育障碍,累及眼部、肾脏、骨骼系统,有时还累及心脏系统。受影响的个体在出生时存在多种先天性异常、泌尿生殖和肢体形态发生缺陷、小头畸形整体生长不良以及整体发育迟缓[8]。
SHH基因(OMIM:142945)位于7q36.3,关联疾病为全前脑畸形3型,可致小脑畸形,面中部发育障碍,听力障碍,单中门上牙,眼距减退等。
以上为OMIM及DECIPHER数据库报道10个以上小于该区域的缺失突变治病或可能致病报告[9],可以覆盖到此病例出现的临床表型。综合以上证据,判断为致病CNV。经相关数据库检索发现本例患儿的缺失范围在正常人群染色体拷贝数变异多态性数据库中尚没有收录,对此类病例有参考意义。但因此病例人有缺陷,在住院期间未完善骶骨相关检查,故无法发现骶骨是否存在病变,且因发现时年幼,生长发育迟缓、智力异常等需要进一步观察。该病一般根据临床表现、影像学检查,最终需要基因确诊。目前暂无特殊治疗方式。只能通过在相关系统对症支持治疗,因报道的相关病例少,尚不能评估预后。因7号染色体目前报道病例中远期多存在生长发育迟缓、智力低下,其寿命及肿瘤的发生率仍有待于随访,故需观察患儿生长发育情况,积极评估生长发育情况,尽可能及时发现生长发育迟缓,智力障碍以便及时干预,从而改善生存质量。
所有作者均声明本研究不存在利益冲突





















