
患者,女性,37岁。18年和13年前分别开腹子宫肌瘤剔除。4个月前开始腹胀、憋气、尿频及食欲减退。
自觉明显腹胀、气短。腹部膨隆,触及腹盆腔巨大实性肿物,上至剑突,下到盆底,活动差。
影像学提示巨大实性肿物充满盆腹腔,呈混合密度,表面见血管。纵膈受压,部分肺膨胀不全,腹腔脏器被推挤向外移位,下腔静脉远端回流受阻,子宫、膀胱及直肠明显受压。穿刺活检病理报告子宫平滑肌瘤。
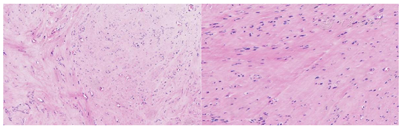
开腹手术,术中切除肿物+全子宫+右附件+左输卵管。手术顺利,失血800ml。肿物大小43 cm×38 cm×17 cm,重8.9 kg,病理报告:平滑肌瘤伴玻璃样变性。
术后在SICU观察24 h,术后第5天出院。术后1个月复查,各项指标无异常。
妇产科;麻醉科;普外科;泌尿外科;心内科;呼吸科
版权归中华医学会所有。本文为遵循CC-BY-NC-ND协议的开放获取文章。
巨大子宫肌瘤是临床很少见的一种情形。瘤体为实性,对机体影响复杂,治疗非常困难[1]。本例为37岁女性,初次就诊时已经发现巨大肿物造成肺膨胀不全、肠管严重受压、下腔静脉回流受阻,患者有憋气、食欲减退、营养不良以及腹水。此外在18年前和13年前分别开腹剔除过肌瘤,这为本次治疗增加一定难度。肿物完全为实性,是否存恶变尚不明确。经过多学科讨论,在充分的评估和准备后,由技术娴熟的手术团队,行手术切除是最好的治疗方案。
患者,女性,37岁,因"两次开腹子宫肌瘤剔除术后18年,腹胀、憋气4个月"就诊。18年前因腹胀就诊,发现子宫肌瘤,在外院行开腹子宫肌瘤剔除术,术中剔除两个肌瘤直径分别为5 cm和3 cm,病理报告子宫平滑肌瘤。13年前因尿频就诊,发现子宫肌瘤复发,在外院再次行开腹子宫肌瘤剔除术,术中剔除多个肌瘤,直径2~6 cm,术后病理子宫平滑肌瘤。10年前因不孕就诊,发现子宫肌瘤第二次复发。考虑两次手术后均出现复发,且为良性疾病,故不愿再次手术。第二次术后未出现泌尿、消化及生殖等系统的症状,亦未定期复查。4个月前开始腹胀、憋气,并有加重趋势,近几天食欲减退,有时出现尿频,故在当地医院就诊,彩超提示盆腹腔巨大肿物,转来我院。自觉睡眠及排便尚可。手术前后腹部对比图见图1。


既往无肝病、肾病、心脏病史,无药物过敏及外伤史,无冶游史及疫区接触史。家族无特殊病史。月经正常,G1P0。
体格检查:身高164 cm,体重70 kg,BMI:26
一般情况好,腹部明显膨隆,可触及腹盆腔巨大实性肿物,上至剑突,下到盆底,肿物充满腹盆腔,活动差,全腹无压痛。妇科检查:外阴(-),阴道:通畅,粘膜未见异常,宫颈:光,盆腹腔巨大肿物,活动差,表面光,无压痛。
彩超提示:子宫形态失常,盆腹腔巨大实性肿物43 cm×40 cm×14 cm,与子宫后壁相连,RI 0.44。
MRI:腹盆腔多个类圆形软组织信号肿块,大小18 cm×13 cm×22 cm。T1W1等信号,T2W1低信号,DWI呈低信号。左侧腹腔可见多发迂曲流空血管。膀胱受压,直肠受压(图2)。


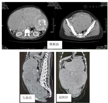
CT:巨大混杂密度站位,分叶状,表面可见血管走形,病灶分布于大网膜、肠系膜内,腹腔脏器及全部小肠呈推挤样向外移位,子宫及膀胱向前推移,下腔静脉显示不清,远端静脉回流受阻,盆腔可见少量积液。纵膈受压,部分肺膨胀不全。未见淋巴结肿大(图3、图4)。




超声引导下穿刺活检,病理报告:索形细胞肿瘤,细胞形态温和,未见核分裂像及坏死,综合免疫组化考虑子宫平滑肌瘤。
肿瘤标记物正常,心、肺、肝、肾重要脏器功能大致正常。
盆腹腔巨大实性肿物,表面光,无压痛,彩超提示肿物与子宫有密切关系,结合患者有两次肌瘤剔除的病史,考虑子宫肌瘤。穿刺活检病理证实为子宫平滑肌瘤。
根据患者提供的两份既往的病例资料可以明确。
CT可以明确盆腔积液。
根据患者提供的病史可以明确。
鉴别诊断:
子宫肉瘤:子宫肌瘤巨大,有局部组织恶变的可能,虽然穿刺病理报告为子宫平滑肌瘤,但是穿刺仅能取到有限的标本进行检测,因此不能完全除外子宫肌瘤肉瘤变得可能,最终需要完整切除术后的病理报告才能确认。
经过多学科团队的讨论,考虑巨大肿物对身体多个器官的压迫,造成多器官功能不良,以及切除该实性肿物手术时风险极大,子宫平滑肌瘤对GnRHa有一定敏感性,因此希望通过注射GnRHa使肿瘤一定程度缩小,减少肿瘤对受压器官的影响,降低手术的难度和风险。然而经过3个月治疗(即注射三次GnRHa)后复查发现:肿瘤没有缩小,患者的营养状态却越来越差。多学科团队第二次讨论:考虑患者保守治疗效果不好,因此需要积极手术。对术中可能出现的意外情况作了充分的准备工作:向患者及家属进行充分的知情告知,术前放置双侧D-J管,血管造影判断肿物的主要血供来源,三维重建对肿物与腹盆腔主要器官的解剖关系进行预判,静脉营养改善患者状态,备多科室协同手术(麻醉科、普外科、泌尿外科、血管外科、心内科、ICU)。
术中取腹部正中纵切口,上至剑突,下到耻骨联合,缓慢进腹,逐步释放腹腔压力,见腹盆腔巨大肿物质硬,表面光,与子宫后壁相连,呈分叶状将肠管等腹盆腔脏器挤向周围,肿物完全充满腹盆腔,下极将盆底向下挤压,并与盆壁相邻,上缘达剑突上2 cm,与大网膜、壁腹膜、后腹膜、肠壁多处粘连,其中与乙状结肠、升结肠、直肠形成大面积致密粘连,子宫前方与膀胱后壁大面积致密粘连,右侧附件完全被分叶之肌瘤包裹其中,无法暴露。左侧输卵管增粗膨大,与左侧卵巢、乙状结肠、左侧壁腹膜大面积粘连,与周围粘连带将左侧卵巢包绕其中,子宫常大,探查横膈、肝、胆、胃、肠、大网膜、腹膜及淋巴结未见异常。术中间断性抬起肿物分离其与周围组织间粘连,同时防止腹压释放过快导致循环系统衰竭。
术中完整切除肿物+全子宫+右侧附件+左侧输卵管,保留了左侧卵巢。手术过程顺利,出血共800 ml。肿物大小43 cm×38 cm×17 cm,称重8.9 kg。病理科进行充分取材,最终报告:梭形细胞增生,细胞轻度异型,核分裂像罕见,结合免疫组化考虑子宫平滑肌瘤伴玻璃样变性。术后SICU监测24 h,出血不多,普通病房观察4 d后出院(图5、图6)。

子宫所在位置
子宫所在位置

术后1个月复查时,患者自觉无不适,活动自如,营养状态良好,腹部伤口已经愈合,面部原有的愁容早已被不尽的谢意所取代。
子宫肌瘤是女性生殖道最常见的良性肿瘤,影响20%~50%的女性[2,3],由于大多数肌瘤患者无症状,加上未诊断患者,子宫肌瘤的发病率更高[4]。子宫肌瘤的生长速度在个体间各不相同[4]。大多数患者的肌瘤体积较小,在罕见的情况下,肌瘤可以生到很大,然而目前学术界对于巨大子宫肌瘤的定义比较模糊[4,5,6,7,8]。当肿瘤较大时,会影响全身多个器官。肿瘤的上极位于剑突及以上时,可能压迫心脏和肺,导致肺扩张受限和心肺功能不全。肿瘤可能压迫肠道并损害消化功能,导致患者营养不良和贫血[1]。在严重情况下,可能出现肠梗阻、电解质紊乱等情形。当肿瘤压迫输尿管和膀胱时,可能发生肾积水和肾功能异常。手术切除肿瘤时,可能出现多种并发症,如突然切除腹腔内大肿物后,内脏扩张、静水压降低,会导致回心血量骤减,继而引起心衰。当腹压下降使受压的肺部突然扩张导致慢性肺塌陷突然再次扩张导致肺水肿[9]。肿块可粘附或融合到邻近器官。由于肿瘤边界不清,主要血管和神经与肿瘤的分离困难,周围组织损伤的可能性增加,手术时间延长。分离过程可能导致大血管损伤、失血过多和失血性休克。因此,多学科团队,包括妇科、普通外科、泌尿科、心脏病学、呼吸内科、放射科、麻醉学、血管外科和重症监护病房,必须协同工作。
本例患者初次就诊时已经发生纵膈受压,患者部分肺膨胀不全、憋气,肠管受压、营养不良,下腔静脉受压、盆腔积液,以及膀胱受压出现尿频。另外患者有两次开腹剔肌瘤的手术史。综合考虑:手术难度及风险很大,因此希望保守治疗方法能让肿物缩小,从而降低手术难度和风险。大量的研究发现:注射GnRHa能使巨大子宫肌瘤的体积缩小,从而降低手术难度[6,7,8]。但是三个月的药物治疗并未收到满意的效果。
腹盆腔巨大实性肿物切除术中面临的巨大挑战主要是控制出血和分离粘连。术前借助于血管造影、三维成像等技术的分析发现:肿物位于盆腹腔内,并无包绕腹腔大血管,而且肿物的主要血供来自于双侧髂内动脉,并无来自腹主动脉、肾动脉、肠系膜动脉等腹腔主要血管。为了预防和减少分离盆腔骶前血管区和肿瘤切除后巨大瘤床引起的出血,手术安排了技术娴熟的妇科和普外科最高年资医师同时上台,每一步操作均做到彻底止血[10],步步为营。肿瘤从盆腔逐步长大至剑突,可能存在腹腔器官发生绞索和广泛粘连,甚至有发生融合性粘连的可能性,术前与影像科医师反复仔细阅片(增强CT),判断腹腔重要脏器与肿物的关系以压迫和推挤为主,并无恶性肿瘤的侵蚀形成的不清楚的分界。由于肿物巨大呈实性,腹腔大血管位于肿物的后方,术中采取由外周向中心逐步分离的策略[10]。在充分预估手术中的各项风险后,做好了应对各项风险的应急预案,在多个学科的支持和协作下,顺利完成了手术治疗,患者恢复良好。
所有作者均声明本研究不存在利益冲突





















