
患者,女性,51岁。主诉右下后牙咬合不适2个月。
患者右下后牙咬合不适。
临床检查发现右下第二磨牙不松动,远中及颊侧中央牙周袋深度约7~9 mm,牙龈出血指数2-3,颊侧中央牙龈退缩约2 mm,无明显附着龈,舌侧牙龈无明显异常,正中合及侧方合未及明显咬合干扰。CBCT示颊侧骨缺损深度约9 mm,宽度约4 mm;远中骨缺损深度约10 mm,宽度约7 mm。临床检测结合既往病史诊断为右下阻生智齿导致的右下第二磨牙骨缺损。
经过牙周基础治疗后对右下第二磨牙进行了植骨术联合引导性牙周组织再生术的治疗,术后右下第二磨牙远中及颊侧牙周袋深度明显变浅,骨缺损得到明显修复,暴露根面得到完全覆盖。
术后6年复查时骨组织及牙龈组织的修复效果保持稳定,患者的咬合不适基本得到缓解,达到了令人满意的牙周组织再生效果。
口腔科
版权归中华医学会所有。本文为遵循CC-BY-NC-ND协议的开放获取文章。
阻生下颌智齿易导致下颌相邻第二磨牙远中颈部食物嵌塞及菌斑聚集,从而引起第二磨牙牙周破坏,包括牙周袋形成和牙槽骨的吸收[1,2]。目前关于阻生智齿引起相邻第二磨牙远中骨缺损的治疗包括牙周基础治疗、引导性组织再生术(Guided Tissue Regeneration therapy,GTR)、骨移植物修复等[3,4],均在临床中应用并取得了良好效果。本文报道1例阻生智齿拔除3年后右下第二磨牙远中及颊侧出现明显骨缺损伴有颊侧牙龈退缩,在进行引导性组织再生术联合植骨术后骨缺损得到明显修复,暴露根面得到覆盖,术后6年其牙槽骨高度及颊侧龈缘位置保持稳定,达到令人满意的牙周组织再生效果。
患者,女性,51岁。主诉右下后牙咬合不适2个月。2个月来发现右下后牙咬合不适,否认有溢脓,否认牙龈刷牙出血,否认牙齿松动及其他不适,半年前完成种植修复,去种植医师检查排除种植体问题,建议牙周诊治。刷牙2次/d,3~5 min/次,使用牙线,否认吸烟史。既往史:患者三年前拔除右下智齿。家族史:无。全身情况:曾有糖耐量异常史,现血糖水平正常。




口腔卫生状况一般,牙石(+~++),PLI 2-3。
全口牙龈轻度红肿,质地中等,探诊个别位点有出血,PD3~5 mm,BI 1-3,未及松动牙详见牙周检查表(图4)
46种植体冠修复,叩痛(-),不松动,牙龈无明显红肿,PD3 mm,BI1,全口曲面断层片示牙槽骨无明显吸收(图5)。
47叩痛(-),不松动,远中及颊侧中央PD7~9 mm,余位点PD3~4 mm,BI2-3,颊侧中央牙龈退缩约2 mm,无附着龈,舌侧牙龈无明显异常(图6,图7)。正中合未及早接触,侧方合未及合干扰,cbct示47颊侧及远中牙槽骨吸收超过根长2/3,颊侧骨缺损深约9 mm,宽约4 mm,远中骨缺损深约10 mm,宽约7 mm(图8,图9)




36金属全冠修复,叩痛(-),不松动,牙龈无明显红肿,PD3~4 mm,BI1-2,全口曲面断层片示牙槽骨无明显吸收,充填体及髓腔,根管内无阻射影像,根尖周无明显低密度影(图5)。
全口曲断片示(图5):31、32、41、42牙槽骨吸收至根长1/2,余牙牙槽骨普遍吸收至根长1/3,38近中倾斜阻生。
诊断:慢性牙周炎;46种植修复后;38近中阻生。
治疗目的:控制牙周炎症,47修复远中及颊侧骨缺损,覆盖退缩的根面。
治疗设计:OHI;洁治,刮治PD≥4 mm的位点;38拔除;47手术治疗(GTR+植骨术);牙周维护治疗。
2015年1~2月:牙周基础治疗(口腔卫生宣教、洁治、刮治、根面平整)。
2015年5月:基础治疗后4个月,47进行引导性组织再生术+植骨术,远中牙龈偏舌侧行水平切口,颊侧行沟内切口,翻开全厚瓣,彻底清创后使用去蛋白牛骨基质(Bio-Oss小颗粒)+可吸收胶原生物膜,颊侧牙龈瓣骨膜切开后冠向复位至完全覆盖植骨区域,颊侧近中的垂直褥式缝合、远中水平褥式缝合、颊侧的悬吊缝合联合间断缝合严密关闭术区(图10,图11,图12)。


术后复查:2015年6月术后1个月:47牙面少量菌斑、软垢,牙龈愈合中,略有水肿,无明显充血(图13,图14)。


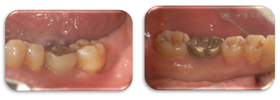
术后6个月,47远中及颊侧中央PD 4~5 mm,BI1,颊侧中央出现附着龈,退缩根面得到覆盖(图15,图16)。


术后1年,47远中及颊侧中央PD 3~5 mm,BI1,颊侧中央根面得到覆盖,X线片示47远中骨缺损明显修复,患者的咬合不适基本得到缓解(图17,图18,图19)。


术后2年,47牙龈无明显红肿,远中及颊侧中央PD 3~4 mm,BI1,颊侧中央附着龈宽约2 mm,颊侧中央根面无退缩,患者的咬合无不适(图20,图21)。


术后4.5年,47牙龈无明显红肿,远中及颊侧中央PD 3~4 mm,BI1,颊侧中央附着龈宽约2 mm,X线片示远中骨高度保持稳定(图22,图23,图24)。


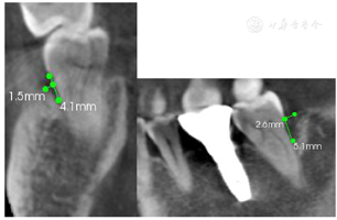
术后6年,47牙龈无明显红肿,远中及颊侧中央PD 3~4 mm,颊侧退缩根面得到覆盖,颊侧中央出现附着龈,宽约2 mm,BI1,X线片示远中骨缺损明显修复(图25,图26,图27),CBCT示47颊侧骨缺损深约4 mm,宽约1.5 mm,远中骨缺损深约5 mm,宽约3 mm,较初诊时颊侧及远中骨缺损均得到明显修复且骨高度保持稳定(图28,图29)。




本例患者初诊主诉为右下后牙咬合不适2个月,临床检查发现患者47叩痛略有不适,探诊检查47颊侧及远中存在深牙周袋,颊侧中央牙龈退缩约2 mm且无附着龈,其退缩的根面探诊不敏感,CBCT显示右下第二磨牙颊侧及远中牙槽骨吸收明显,存在深大的骨缺损,综合临床及影像学的表现,可以判断患者的咬合不适主诉主要是由于47远中及颊侧的深大骨缺损即牙齿支持组织减少所导致。回顾既往病史后明确,患者右下第二磨牙骨缺损是由其右下阻生智齿所引起,潘向勇[5]、王晓鸿[2]、Aniko-Wodarczyk等[6]的研究表明下颌阻生智齿常规拔除后远中牙槽骨虽然会有一定的恢复,但很难达到第二磨牙近中牙槽骨高度,提示我们在智齿拔除同期或拔除后需要积极干预来预防相邻第二磨牙骨缺损的形成,一旦出现骨缺损,其牙周炎症控制难度加大,远期预后不佳。与常见由牙周炎导致的骨缺损相比,阻生智齿导致的下颌第二磨牙远中骨缺损其缺损程度更重;缺损范围更大;经常合并有颊侧或者舌侧牙面成为涉及多个牙面的复杂骨缺损;第二磨牙远中牙龈经常为游离牙槽粘膜而缺乏一定量的角化龈;位置靠后导致手术视野和操作空间受限以及患者术后不易进行口腔卫生维护,这些都会影响其牙周组织再生治疗的效果,是我们在对第二磨牙骨缺损进行再生手术治疗时需要考虑的因素。
本例患者初诊时47已经发生了明显骨缺损,在进行完善的基础治疗后,对47进行了引导性组织再生术与植骨术的联合治疗,为了避免植骨材料的暴露,术中第二磨牙远中切口偏向舌侧;术中使用迷你刮治器尽量做到彻底清创;采取颊侧近中的垂直褥式缝合、远中水平褥式缝合、颊侧的悬吊缝合联合间断缝合严密关闭植骨区域;术后对患者强化口腔卫生指导以及定期的复查维护,最终术后47的牙周袋深度明显变浅,骨缺损得到明显修复,在患者保持较好口腔卫生状况及定期牙周复查维护的情况下,术后6年复查时骨高度保持稳定,患者的咬合不适症状消失,达到了令人满意的牙周组织再生效果,国内外多个研究结果也证实植骨术及联合引导性组织再生术可有效恢复第二磨牙远中的牙周情况及牙槽骨高度,是一种有较好预期效果的治疗方式[7,8,9]。
一定宽度的附着龈对维持牙龈健康有重要意义,可以降低牙龈炎症及附着丧失进展的风险[10]。本例患者初诊时47颊侧发生牙龈退缩,且颊侧中央无附着龈,虽然探诊无明显不适,但牙龈退缩是患者保持其牙周健康的不利因素,通过引导性组织再生术与植骨术的联合治疗,其颊侧骨缺损得到明显修复,患者术前右下第二磨牙颊侧近远中牙龈存在一定量的附着龈,角化上皮在术后向颊侧中央的爬行愈合,结果在术后6年复查时,我们发现47颊侧中央形成了明显的附着龈及角化上皮,退缩根面基本得到覆盖,说明牙齿周围的软硬组织存在着相互的作用影响,骨组织的丧失会导致牙龈的退缩,而骨组织的再生也会有利于角化上皮及附着龈的形成。本例附着龈的出现并保持稳定将有利于患者口腔卫生的维护及菌斑控制,患者也更容易保持牙周组织的长期健康。
牙周炎患者种植治疗后,口内患牙尤其是种植区邻牙深牙周袋内的致病菌有可能定植在种植体上,导致种植体周围组织的感染,进而影响骨结合或发生种植体周围炎[11]。本例患者46为种植体修复,回顾病史发现患者种植治疗在拔除智齿之后约3年,猜测47在种植治疗时可能已经出现了骨缺损,如果不对其进行及时干预,有可能会影响到邻近46种植体的健康。汪文君[12]的研究中通过比格犬建立牙周炎模型也证实下前牙的牙周炎会诱导邻牙种植体发生种植体周围炎,这些均提示我们在种植治疗之前一定要进行全面的牙周检查,控制牙周感染,消除牙周炎症,以降低种植体的感染风险,达到种植体的长期成功稳定。
综上所述,本研究报道了1例阻生智齿导致右下第二磨牙发生骨缺损伴有颊侧牙龈退缩,在进行引导性组织再生术联合植骨术的治疗后骨缺损得到明显修复,暴露根面得到覆盖,形成了附着龈,术后6年复查其牙槽骨高度及颊侧龈缘位置保持稳定,达到令人满意的牙周组织再生效果。
所有作者均声明本研究不存在利益冲突





















