
患者,女性,82岁,主因"左侧肢体无力14 d"收入院。
患者14 d前突发左侧肢体无力,头MRI示双侧顶叶、额叶、枕叶、小脑半球DWI高信号,考虑急性脑梗死,予阿司匹林抗血小板,低分子肝素抗凝及改善循环治疗,左侧肢体无力较前稍好转,为进一步明确病因及诊治收入院。体格检查:全身多处关节畸形及活动受限,心律不齐,第一心因强弱不等,腹软,未触及包块,无压痛、反跳痛等。神经系统体格检查:神清、语利,双手及双前臂肌肉萎缩,四肢关节运动明显受限,左上肢近端肌力0级,远段肌力3级,左下肢肌力3级,右上肢肌力5级,右下肢肌力4级,双侧巴氏征阳性。
头MRI提示脑梗死,病因考虑栓塞、易栓症或累及小血管的血管炎。腹部CT提示肝S6段占位性病变,考虑恶性病变。下肢静脉超声提示左侧胫后静脉血栓形成。
予低分子肝素皮下注射抗凝治疗,后序贯为达比加群酯110 mg每日2次,同时抑酸保护胃黏膜、改善循环治疗。普外科进一步诊治肝恶性肿瘤。
转院时神经科症状稳定,未再发生新发梗死。
神经科;肿瘤科
版权归中华医学会所有。本文为遵循CC-BY-NC-ND协议的开放获取文章。
Trousseau综合征是恶性肿瘤患者在其发病过程中因凝血和纤溶机制异常而出现的所有临床表现的总称[1]。Trousseau综合征常见于胰腺癌、胃癌、肺癌等[2]。其主要临床表现为游走性静脉炎、脑血管意外、心肌梗死、外周动脉闭塞、静脉血栓栓塞、特发性深静脉血栓、肝静脉闭塞性疾病、栓塞性血小板减少性紫癜、多脏器功能不全综合征及弥散性血管内凝血等[3]。临床上脑梗死事件先于肿瘤被识别,作为潜在恶性肿瘤的第一个临床证据,相对少见,目前尚无明确的诊断标准[4]。我们报道1例以脑梗死起病的Trousseau综合征,旨在提高对本病的认识,减少误诊和漏诊。
患者,女性,82岁,14 d前(2019年12月9日)突发左侧肢体无力,无言语不清、吞咽困难、饮水呛咳,无头晕、视物旋转、视物成双,就诊于外院,行头MRI+MRA提示双侧顶叶、额叶、枕叶、小脑半球DWI高信号;MRA示双侧椎动脉及基底动脉多发狭窄,走形迂曲。心电图提示房颤伴室内差异性传导或室性早搏,予阿司匹林抗血小板,低分子肝素抗凝及改善循环治疗,患者左侧肢体无力较前稍好转。为进一步明确病因及诊治收入院。既往史、个人史及家族史:类风湿关节炎病史40年,未治疗,目前双手关节、双腕关节、双肘关节、双膝关节、双足关节明显畸形;高血压病史30余年,控制良好。否认吸烟史,饮酒史60余年,平均2两/d。体格检查:左侧血压146/88 mmHg(1 mmHg=0.133 kPa),右侧血压157/89 mmHg。内科体格检查:全身多处关节畸形及活动受限,双肺呼吸音粗,可闻及散在痰鸣音,心率88次/min,心律不齐,第一心因强弱不等,腹软,未触及包块,无压痛、反跳痛等,双下肢不肿。神经科体格检查:神清、语利,双侧瞳孔等大等圆,直径约3 mm,双侧直接及间接对光反射灵敏,眼球各向运动充分,眼震未引出。双侧鼻唇沟对称,伸舌居中,可见舌肌纤颤。余颅神经体格检查未见明显异常。双手及双前臂肌肉萎缩,四肢关节运动明显受限,左上肢近端肌力0级,远段肌力3级,左下肢肌力3级,右上肢肌力5级,右下肢肌力4级,四肢腱反射体格检查欠合作。右侧指鼻试验稳准,左侧指鼻及双侧跟膝胫检查欠合作。四肢深浅感觉体格检查基本正常,双侧巴氏征阳性,颈软,脑膜刺激征阴性。
入院后辅助检查,血常规:白细胞绝对值4.78×109/L,中性粒细胞相对值79.8%↑;血红蛋白116 g/L,红细胞压积0.34 L/L↓,红细胞绝对值3.69×1012/L↓;血小板绝对值197×109/L,患者轻度贫血;急诊降钙素原:降钙素原0.12 ng/ml;凝血6项:纤维蛋白降解产物5.6 μg/ml↑,D-二聚体定量2.9 μg/ml↑;凝血酶原时间10.8 s,国际标准化比值0.98,纤维蛋白原3.85 g/L,凝血酶时间15.5 s活化部分凝血活酶时间31.9 s,患者D-二聚体升高,提示凝血功能异常;生化全项,血脂谱:甘油三酯0.81 mmol/L,总胆固醇4.3 mmol/L,低密度脂蛋白胆固醇2.45 mmol/L,载脂蛋白A1 1.22 g/L,载脂蛋白B 0.8 g/L,高密度脂蛋白胆固醇1.25 mmol/L;肝功能:天门冬氨酸氨基转移酶135.8 U/L↑,丙氨酸氨基转移酶153 U/L↑,总蛋白54.4 g/L↓,碱性磷酸酶396.2 U/L↑,γ-谷氨酰基转移酶389.8 U/L↑,总胆红素14.74 μmol/L,直接胆红素7.27 μmol/L↑,乳酸脱氢酶376.8 U/L↑,α羟基丁酸脱氢酶293.5 U/L↑;前白蛋白156 mg/L↓;肾功能:尿素8.6 mmol/L↑,肌酐(酶法)62.3 μmol/L,肾小球滤过率86.48 ml/min;超敏C反应蛋白13.69 mg/L↑;同型半胱氨酸17.85 μmol/L↑;总钙2.08 mmol/L↓,钠139.9 mmol/L,钾3.68 mmol/L,氯103.9 mmol/L,患者低密度脂蛋白胆固醇2.45 mmol/L,未达标,同型半胱氨酸升高;肝功能异常,肾功能稍差,营养状态较差;急诊血气分析:酸碱度7.476 ph↑,二氧化碳分压30.2 mmHg↓,氧分压65 mmHg↓,二氧化碳总量19 mmol/l↓,氧饱和度94.9%↓,患者低氧血症合并呼吸性碱中毒;糖化血红蛋白:5.9%,患者无糖尿病等;免疫等相关检查,红细胞沉降率:24 mm/60 min;甲状腺功能及其相关抗体:三碘甲状腺原氨酸0.84 nmol/L↓,甲状腺素144.42 nmol/L,游离甲状腺素17.46 pmol/L↑,游离三碘甲状腺原氨酸2.97 pmol/L↓,抗甲状腺球蛋白抗体IU/ml<0.9,抗甲状腺过氧化物酶抗体0.6 IU/ml,促甲状腺激素1.022 μIu/ml,甲状腺球蛋白15.52 ng/ml;促甲状腺素受体抗体<0.300 IU/L阴性(-);类风湿因子、抗链O:类风湿因子10.1 IU/ml,抗链球菌溶血素O 13.7 IU/ml;免疫球蛋白:未见明显异常;自身免疫抗体谱:未见明显异常;补体C3:1.28 g/L,补体C4:0.272 g/L;
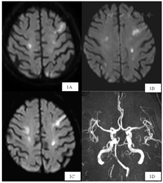
复查头MRI+MRA:双侧额顶叶、右侧侧脑室额角可见多发斑点及斑块状弥散受限,诊断脑内多发急性脑梗死灶;MRA示:双侧胚胎型大脑后动脉、基底动脉近端局限性狭窄;右侧椎动脉V4段移行为小脑后下动脉。(图1)。


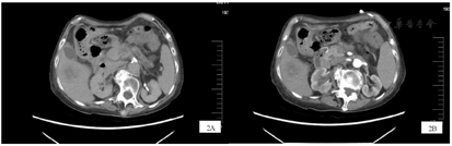
超声心动图:双房增大(左房48 mm,右房46 mm×55 mm),射血分数60%,主动脉瓣、二尖瓣、三尖瓣少量反流,轻度肺动脉高压;颈动脉超声:双侧颈动脉斑块形成,右侧椎动脉起始段狭窄(狭窄率50%~69%);下肢动脉超声:双下肢动脉斑块形成、左侧胫后动脉闭塞、左侧腓动脉近闭塞;下肢静脉超声:左侧胫后静脉血栓形成;腹部超声:肝脏实性占位性质待定;脾大;胆囊壁增厚;右肾囊肿。腹部CT:肝S6段占位性病变;考虑恶性病变;胆囊结石;慢胆囊炎;慢性胰腺炎伴假性囊肿形成;双肾囊肿(图2)。


定位诊断:双侧颈内动脉系统、椎基底动脉系统。患者发病时表现为左侧肢体无力,体格检查左上肢近端肌力0级,远段肌力3级,左下肢肌力3级,左侧巴氏征阳性,考虑上运动神经元受累,故定位于右侧皮质脊髓束及其联系纤维;患者右侧巴氏征阳性,定位于左侧皮质脊髓束及其联系纤维;结合患者DWI示双侧顶叶、额叶、枕叶、小脑半球高信号,为双侧颈内动脉、椎基底动脉供血区域,故定位于双侧颈内动脉、椎基底动脉。
定性诊断:脑梗死、肿瘤相关高凝状态可能性大。患者老年女性,急性起病,迅速出现中枢神经系统损害局灶性症状及体征,且症状持续存在不缓解,结合DWI示双侧顶叶、额叶、枕叶、小脑半球DWI高信号,考虑脑梗死诊断明确。患者头MRI提示双侧前循环及后循环小而多发的缺血梗死灶,有多空间、多血管床分布的特点,病灶形态分布提示为多发栓塞。虽然MRA提示双侧椎动脉及基底动脉多发狭窄,但不能完全解释本次脑梗死的多空间分布,病因不支持大动脉粥样硬化性。患者腹部CT提示肝脏恶性肿瘤,D-二聚体增高,且合并下肢深静脉血栓形成,故需考虑肿瘤相关性高凝状态导致的脑梗死,即Trousseau综合征。患者类风湿性关节炎,需考虑免疫相关性疾病高凝状态导致的脑梗死,但患者免疫相关抗体检查示自身抗体谱及类风湿因子基本正常,自身免疫性疾病导致的高凝状态可能性小。患者入院时发现心房纤颤,外院超声心动图提示左房增大,需考虑心源性栓塞的可能性,但心源性栓塞患者一般起病急骤,导致的脑梗死体积大,可同时累及皮层及皮层下造成大面积的区域性脑梗死,而小而散在的病灶较为少见,故心源性栓塞的可能性小。
入院后给予神经内科一级护理,低盐低脂饮食,监测血压。患者脑梗死诊断明确,完善免疫相关检查,提示目前无活动性病变,故病因考虑肿瘤相关性高凝状态可能性大,且患者合并非瓣膜性房颤,CHA2DS2-VASc评分≥6分,HAS-BLED评分3分,有抗凝指征,但出血风险亦较高,遂入院时给予那曲肝素0.4 ml每日2次抗凝治疗,阿托伐他汀40 mg每日1次强化降脂稳定斑块,雷贝拉唑20 mg每日1次抑酸保护胃黏膜,银杏叶87.5 mg每日2次改善脑循环治疗。患者肝脏病变性质待定,入院后完善腹部增强CT示肝S6段恶性病变,故本次发病的病因考虑特鲁索综合征可能性大,心源性栓塞不除外,停用那曲肝素,给予口服达比加群酯110 mg每日2次抗凝治疗。
患者出院时病情较入院时无特殊变化,仍有左侧肢体无力。体格检查:神清语利,双侧鼻唇沟对称,伸舌居中。余颅神经体格检查未见明显异常。双手及双前臂肌肉萎缩,四肢关节运动明显受限,左上肢肌力3级,左下肢肌力3级,右上肢肌力5级,右下肢肌力4级。后继续达比加群110 mg每日2次口服抗凝治疗,患者转外院治疗时,神经科症状稳定,未再发生新发梗死。
本例特点如下:老年女性,急性起病;既往类风湿关节炎病史,高血压数年;发现房颤半个月;急性梗死病灶小而多发,多空间、多血管分布区;椎基底动脉多发狭窄;肝脏恶性肿瘤。病因主要考虑如下几个方面:一是栓塞。主动脉弓、心腔(高危左心房、卵圆孔未闭、反常栓塞)、心腔外(肺动静脉瘘)。二是易栓症。包括遗传性易栓症与获得性易栓症、获得性易栓症包括自身免疫性疾病、肿瘤相关性包括Trousseau综合征等。三是累及小血管的血管炎。原发性中枢神经系统血管炎、坏死性血管炎。具体到该患者,该患者脑梗死病灶散在多发,梗死病灶小,与心源性脑卒中的梗死病灶不符合,其常导致大面积的流域性脑梗死。易栓症方面侧重考虑获得性易栓症,该患者存在肝脏恶性肿瘤,D-二聚体增高,且合并下肢深静脉血栓形成,需考虑Trousseau综合征。自身免疫性疾病方面,该患者类风湿关节炎病史多年,但入院后完善免疫相关抗体检查示自身抗体谱及类风湿因子基本正常,自身免疫性疾病导致的高凝状态可能型小。另外患者虽然合并有大动脉粥样硬化(双侧颈内动脉、椎动脉、下肢动脉),但脑内多发梗死病灶不能用单一的供血动脉来解释,病因为大动脉粥样硬化的可能性小。
1865年,学者Trousseau首次提出胃癌患者易发生静脉血栓形成,而后不同学科根据所关注的临床表现对其有很多不同的定义[5]。后来将恶性肿瘤患者在其发病过程中因凝血和纤溶机制异常而出现的所有临床表现统称为Trousseau综合征,常见于胰腺癌、胃癌、肺癌等[1]。一项大型回顾性队列研究发现,腺癌患者脑梗死发病率较其他病理亚型更高[1]。另一项研究提示,约87.5%(7/8例)Trousseau综合征所致脑梗死患者伴发的肿瘤病理类型为腺癌[6]。
Trousseau综合征不仅易导致静脉血栓栓塞事件,如下肢静脉血栓形成、肺栓塞;也会导致动脉血栓栓塞事件,如脑梗死等[4,7]。研究表明恶性肿瘤患者静脉血栓栓塞事件的发生率约为8.4%,而动脉血栓栓塞事件的发生率约为2.6%[4]。研究表明,Trousseau综合征是脑梗死严重程度、早期神经功能恶化以及死亡的独立危险因素[8,9]。
目前认为Trousseau综合征发病机制是一系列的重叠机制[3,10,11],主要为:(1)肿瘤细胞分泌促凝物质与宿主血管之间相互作用,当巨噬细胞与恶性肿瘤细胞相互作用时,释放白介素-1、6,肿瘤坏死因子等,导致血管内皮损伤,激活血栓形成,并引起血液高凝状态。(2)肿瘤细胞分泌具有凝血酶样的组织因子和半胱氨酸蛋白酶,激活凝血因子Ⅶ和Ⅹ,分泌黏液素的肿瘤可导致凝血因子Ⅹ直接激活形成高凝状态,在这种高凝状态下,非细菌性血栓性心内膜炎是潜在栓子来源,可能是恶性肿瘤患者缺血性卒中的最常见原因之一,但发生机制尚不完全清楚。(3)恶性肿瘤患者抗凝活性降低:多数恶性肿瘤患者往往还存在抗凝活性的减低,如抗凝血酶Ⅲ、蛋白C水平的改变,可能对加速血栓形成或对弥散性血管内凝血有重要影响。(4)肿瘤的缺氧环境、抗肿瘤药物治疗等也可促进全身血栓栓塞性疾病发生。另外,有研究表明,腺癌分泌的黏蛋白可与P-选择素和L-选择素相互作用,从而通过多种途径活化血小板并诱导微血栓形成[12]。以脑梗死为首发症状的Trousseau综合征的诊断可采用Trousseau评分(D-二聚体≥10.0 μg/ml,2分;多动脉供血区梗死,2分;肿瘤活动期,1分;血小板计数>150000,1分;女性,1分)[13],分值≥3分提示脑梗死与肿瘤相关。即多动脉供血区域脑梗死病灶患者,D-二聚体水平明显升高,脑血管成像未见责任动脉狭窄者需要考虑Trousseau综合征。
关于Trousseau综合征的治疗:在急性期,颅内或髓内肿瘤不推荐静脉溶栓治疗。全身恶性肿瘤患者进行静脉溶栓的安全性和有效性并不清楚。从预防来看,低分子肝素是标准治疗方案,大量研究数据显示其能显著降低静脉血栓栓塞事件复发,而未显著增加出血的风险[14,15]。低分子肝素除阻断凝血过程外,还可通过拮抗P-选择素和L-选择素的生理作用从而抑制血小板活化,这是低分子肝素较传统口服抗凝药华法林的主要优势[16]。但低分子肝素的主要局限性在于患者的依从性低。为了提高依从性,可以使用直接口服抗凝剂。TEACH试验(a pilot trial of enoxaparin versus aspirin in patients with cancer and stroke)比较了合并癌症的缺血性卒中患者分别使用阿司匹林和依诺肝素的疗效,其研究结果发现二次卒中、严重出血或生存的概率没有显著性差异(https://www.clinicaltrials.gov/,NCT01763606)。OASIS-CANCER试验(anticoagulation in cancer related stroke)目前正在进行中,评价了活动性恶性肿瘤患者使用华法林、低分子肝素或直接口服抗凝剂的复发卒中和全身栓塞的风险(https://www.clinicaltrials.gov/,NCT02743052)。其中期分析发现可以有效纠正高凝状态,改善生存。
通过该病例可见,对于老年患者来说,导致卒中的病理机制可能是多方面的,特别是合并血管危险因素的老年人。对那些同时存在肿瘤及传统卒中危险因素的肿瘤患者,不明原因卒中和多血管区域梗死的发生率显著增加,D-二聚体升高和大于3个血管区域的多发脑梗死高度提示肿瘤相关卒中。此患者老年女性,有动脉粥样硬化的危险因素,有房颤,合并有恶性肿瘤,但从患者影像来看,首先考虑特鲁索综合征。从此病例,我们学习到对于不明原因卒中,不符合单支动脉供血的,合并D-二聚体升高的患者,需要想到可能合并躯体恶性肿瘤。
所有作者均声明本研究不存在利益冲突





















