
患者,男性,56岁,因"右软腭癌1年余,咽痛3个月余"就诊,完善相关检查明确诊断为:1.右软腭低分化鳞癌Ⅳa期rT4N1M0;2.难治性癌痛(躯体痛);3.口腔感染;4.放射性口腔黏膜炎;5.重度营养不良。治疗上予以快速镇痛治疗,减轻患者痛苦,辅以抗感染、口腔护理、营养支持,最终获得患者生活质量的提高及生存期延长的治疗目的。
患者咽喉部疼痛不适,咬合时疼痛明显,伴吞咽梗阻、吞咽疼痛不适。张口受限,开口度3指;右侧软腭呈放疗后改变,局部可见1 cm×1 cm空洞状改变,悬雍垂居中,咽反射存在,口咽部可见新生肿物,表面附着坏死性分泌物。
行影像学、组织病理学检查。
给予患者快速镇痛+抗感染+口腔护理+营养支持。
患者疼痛明显减轻,更换合适剂量盐酸吗啡缓释片居家治疗。
肿瘤科;缓和医疗科;疼痛科;营养科;头颈肿瘤科
版权归中华医学会所有。本文为遵循CC-BY-NC-ND协议的开放获取文章。
患者,男性,56岁,因"发现口腔肿物1个月余"于2020年3月17日就诊我院,入院完善口咽部MRI示1)口咽右侧壁、扁桃体及软腭区不规则增厚、局部软组织肿块,考虑为恶性肿瘤性病变可能。2)双侧颈部Ⅰ~Ⅳ区淋巴结显示、部分肿大,请随诊。PET/CT示:1)口咽右侧壁占位,代谢增高,考虑恶性肿瘤性病变;2)双侧颈部多发淋巴结显示,代谢增高,考虑反应性增生可能,请结合临床除外其他。活检病理示(口腔肿物活检)低分化癌,考虑低分化鳞状细胞癌,但黏液表皮样癌及皮脂腺癌尚不能完全除外。最后结果待完整切除肿瘤后确定。免疫组化结果:CK-L(35βH11)(灶状+),CK-pan(+),CK5/6(++),p63(+),P40(+),p16(-),Calponin(-),CEA(灶状+),S-100(-),SMA(血管+),DOG1(-),CD117(-),Ki-67(+60%)。结合患者影像学表现及病理学依据,故诊断为右软腭低分化鳞癌Ⅳa期rT4N1M0,鉴于患者腭部恶性肿瘤侵犯范围广,手术完整切除困难,且化疗耐受差,故于2020年4月2日开始予以软腭肿瘤病灶+亚临床病灶及颈部淋巴引流区IMRT放疗( 6 MV-X,IMRT,总剂量拟照:DT 70 Gy),放疗中予以尼妥珠靶向治疗7周期,整体放疗顺利完成。2020-06-29,患者再次返院复查鼻咽部及颈部MRI后疗效评价为PR,排除决定化疗禁忌,分别于2020年7月7日、2020年8月1日行TP(紫杉醇脂质体+奈达铂)方案化疗2周期,化疗后复查疗效评价为持续PR。因患者化疗后期耐受性差,未按期返院治疗。2020年11月,患者出现口咽部疼痛不适,自服止痛药物(具体不详)治疗后无明显缓解,2020年12月再次入我院放疗科,完善鼻咽部及颈部MRI示对比2020年8月25日MR:软腭偏右侧及口咽右侧壁增多软组织影,较前范围明显扩大;再次行口腔病灶细针穿刺活检病理示(右侧腭部肿物)查见鳞癌细胞,提示病情复发,患者及家属拒绝行进一步治疗,出院后院外口服中药治疗。院外期间,患者咽喉部疼痛不适持续存在并进行性加重,咬合时疼痛明显,伴吞咽梗阻、吞咽疼痛不适,张口受限,进食流质食物为主,口服"盐酸羟考酮缓释片10 mg q12h+氨酚羟考酮片330 mg q12h"止痛治疗,疼痛控制差,为进一步诊治于2021年2月17日就诊于我科。
体格检查:KPS评分60分,NRS评分4分。生命体征平稳。体型消瘦。张口受限,开口度3指。右侧软腭区呈放疗后改变,局部可见1 cm×1 cm空洞状改变,悬雍垂居中,咽反射存在,口咽部可见新生肿物,表面附着坏死性分泌物。
辅助检查:
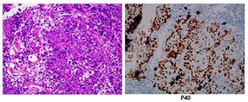
(口腔肿物活检)低分化癌,考虑低分化鳞状细胞癌,但黏液表皮样癌及皮脂腺癌尚不能完全除外。最后结果待完整切除肿瘤后确定。免疫组化结果:CK-L(35βH11)(灶状+),CK-pan(+),CK5/6(++),p63(+),P40(+),p16(-),Calponin(-),CEA(灶状+),S-100(-),SMA(血管+),DOG1(-),CD117(-),Ki-67(+60%)。特殊染色:PAS(+),AB(-),见图1。


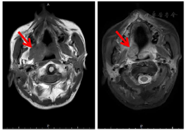
软腭偏右侧及口咽右侧壁见增多软组织影,范围约2.6 cm×2.7 cm,增强明显不均匀强化,周围见压脂高信号;口咽右侧壁、扁桃体区见斑片状异常信号影,边界不清,T1W呈等信号、T2W呈稍高信号,T2W压脂呈高信号,其内信号欠均匀,增强扫描明显强化,周围脂肪间隙稍肿胀,病灶与右侧颈部血管分界清晰,未见明显受累征象。鼻咽壁未见明显增厚,双侧咽隐窝对称。双侧声带未见明显增厚;甲状腺不大,其实质信号未见确切异常。双侧颈部未见明显肿大淋巴结影。扫及区骨质未见明显吸收破坏(图2)。


1.右软腭低分化鳞癌Ⅳa期rT4N1M0;2.难治性癌痛(躯体痛);3.口腔感染;4.放射性口腔黏膜炎;5.重度营养不良。
患者为软腭恶性肿瘤化放疗后局部复发的晚期癌症患者,合并癌性疼痛,已于诊断后予以放化疗治疗,治疗初期控制良好,最佳疗效达PR,但缓解期短,PFS仅8个月,肿瘤复发后放弃后续积极抗肿瘤治疗。此次,患者因咽喉疼痛控制不佳入院,且伴有吞咽梗阻,院外已口服强阿片类药物治疗2个月余,疼痛程度控制差,入院后完善血液学等检查,充分评估基线水平,明确疼痛病因,结合影像学表现初步评判患者的疼痛来源于口腔肿瘤复发灶,同时合并局部炎症及炎性介质的释放、食物刺激、放射性口腔黏膜炎等多因素加重疼痛程度,最终导致疼痛持续且控制差,故综合诊断为:1.右软腭低分化鳞癌Ⅳa期rT4N1M0;2.难治性癌痛(躯体痛);3.口腔感染;4.放射性口腔黏膜炎;5.重度营养不良。鉴于患者院外已长时间使用强阿片类药物治疗史,考虑为阿片类耐受患者,且存在吞咽梗阻、吞咽疼痛临床症状,属于难治性癌痛诊治范畴,根据《难治性癌痛专家共识(2017年版)》治疗建议,经医疗组讨论后果断介入皮下自控镇痛(PCSA)技术快速镇痛。按照药物等量换算关系及药物轮替初始治疗原则,2021年2月17日入院当天17:00初始予以氢吗啡酮注射液0.1 mg/h持续皮下注射,PCA负荷量0.2 mg/bolus,锁定时间:30 min,同时动态监测患者疼痛评分、爆发痛、生命体征及不良反应情况。2021年2月18日8:00,患者予以更换PCSA模式镇痛治疗15 h后,评估患者15 h内疼痛评分较使用PCSA之前无变化,耐受性好,无恶心、呕吐、嗜睡、皮肤瘙痒等伴随症状,爆发痛缓解时间缩短,睡眠时间延长。医疗组评估患者疼痛整体好转趋势,但考虑PCSA使用时间不足24 h,暂继续原镇痛方案执行,同时继续观察患者疼痛评分、爆发痛、生命体征及不良反应情况。2021年2月19日08:00,再次评估患者PCSA镇痛效果及耐受性,过去24 h内患者NRS评分大部分在2~4分,≤3分时间较前增加,爆发痛次数较前减少,4~5次/分,无明显不良反应出现,耐受性好,精神状态较前改善,家庭照护者表示其出现主动交流谈话的现象。此时,医疗组根据动态监测结果,PCSA调整为氢吗啡酮注射液0.2 mg/h持续皮下注射,PCA负荷量0.4 mg/bolus,锁定时间:30 min。2021年2月20日08:00,医疗组动态评估患者治疗效果,较前24 h镇痛疗效明显好转,NRS整体控制在3分以下,全天爆发痛降至3次以下,疼痛得到良好的控制,耐受性好,无穿刺区皮肤感染、皮下硬结等不良反应,自主下床活动,且下床活动频率逐渐增多,生活质量改善,同时评估患者及家庭照护者心理负担及压力均有减轻。在患者介入PCSA快速镇痛同时,我们注意到患者软腭癌放疗后口腔卫生护理不到位最终滋生细菌出现局部炎症这一加重疼痛程度及影响镇痛疗效因素,入院后即予以口腔卫生健康宣教、加强口腔护理、抗感染治疗,以便缩短控制疼痛疗程时间。另一方面,患者因吞咽疼痛、开口受限及食欲下降等因素,机体处于负氮平衡状态,入院时合并营养不良风险,进一步行PG-SGA评分后诊断重度营养不良,入院后请营养科会诊后予以高蛋白全营养素+分离乳清蛋白营养配方强化营养支持治疗。经上述多角度"组合拳"的综合治疗后,患者的咽喉部疼痛逐渐缓解,NRS评分控制在3分以下,且经抗感染治疗后局部感染得以控制,患者进食梗阻感较前减轻,日进食量较前增加,待患者疼痛控制平稳1周后,后续更换为"吗啡缓释片60 mg q12h"居家镇痛处理,患者满意出院。
该例难治性癌痛患者经过PCSA的转换治疗得以成功镇痛,更换盐酸吗啡缓释片居家镇痛治疗,提高了患者生活质量。纵观整个治疗过程,我们可以看到它体现了"医-护-患"三者的完美配合:医疗组的全面而精准的评判(疼痛病因及加重因素)并付诸合理医嘱;护理组精心细致的口腔护理工作促进感染的快速控制;患者对医疗团队的信任(尤其对口腔护理工作的配合-口腔护理初期可能加重疼痛),最终得到的是患者的获益。患者出院后继续予以"盐酸吗啡缓释片60 mg q12h"居家镇痛治疗,疼痛控制良好,NRS评分持续3分及以下,伴有轻度便秘不良反应,予以健康宣教及肠道微生态营养干预、多饮水及摄入富含纤维食物等措施提前干预下,未出现超过3 d未见大便现象,同时可适当家庭活动,生活基本自理,家庭照护成员亦得到休养,患者及家庭照护成员的生活质量均得到改善。
头颈部肿瘤是常见恶性肿瘤之一[1],在我国男性中的发生率为第6位,死亡率为第7位[2]。腭扁桃体、软腭、舌根、后轮廓乳头和咽后壁共同组成口咽。吸烟、酗酒、咀嚼槟榔和人乳头瘤病毒(HPV)感染是罹患口咽癌的主要危险因素[3,4,5,6]。2019年一项基于人群的中国口咽癌研究表明,近10年我国口咽癌的发病率和死亡率在增加,尤其是农村地区的男性[7]。软腭癌是口咽恶性肿瘤中临床常见肿瘤,占口咽恶性肿瘤的第2~4位[8]。目前,口咽癌的治疗方案,根据肿瘤分期不同,主要包括以下治疗方式:单纯放疗;同步放化疗;单纯手术切除;手术切除+术后放疗;手术切除+术后放化疗;术前诱导放化疗+手术+术后根治性放化疗等治疗方案。放疗作为头颈部肿瘤的重要治疗手段,不可避免的会出现不同程度的放射性口腔黏膜炎,其发生率高达90%~97%,其中3级以上放射毒性占34%[9,10]。放射性口腔黏膜炎以及其伴随局部疼痛是加重吞咽困难的重要因素,而这种现象可在放射治疗后数月甚至数年仍然存在[11,12,13] 。在放射治疗的后期,一部分患者会发生放射区域的神经丛及其周围组织的放射性纤维化。然而,形成的纤维化组织会对神经丛产生不同程度的束缚和压迫,当口腔活动时可引起牵拉样疼痛,此案例患者就出现了咬合动作诱发疼痛加重现象。
阿片类药物被广泛用于治疗放射性口腔黏膜炎导致的疼痛,MASCC/ISOO也以将阿片类药物作为放射性口腔黏膜炎所致疼痛的推荐或建议用药[14]。针对癌痛的药物治疗,即使遵循WHO三阶梯镇痛原则,但仍有部分患者无法解决疼痛问题,严重影响生活质量。国外多个指南及我国难治性癌痛专家共识均指出当口服药物不能有效控制难治性癌痛时,可改变给药途径治疗。PCA技术是一种由患者根据自身疼痛的剧烈程度自己控制给予预设剂量镇痛药物的镇痛方法[15]。一项前瞻性多中心随机对照研究亦表明,吗啡皮下自控镇痛泵给药方式控制难治性癌痛临床疗效确切,止痛效果明显,且与口服吗啡对照组比较,疼痛起效时间短,疗程较吗啡用量少,不良反应发生率低,改善了患者生活质量,且减轻了患者经济压力[16]。目前,基于盐酸氢吗啡酮的高效、良好的安全性,已被推荐为PCA常用的强阿片类药物[17]。最近一项国内相关研究显示,与吗啡皮下注射镇痛相比,氢吗啡酮能够更好地缓解癌性爆发痛患者疼痛,同时能够降低疼痛介质水平,降低皮肤瘙痒、恶心呕吐不良反应发生率,该研究中对爆发痛缓解优势与我科之前发表的相关病案报道一致[18,19]。
系统性回顾该例患者的病史,患者虽初期经放化疗治疗得到了8个月的PFS,但就患者病情进展后出现咽喉部疼痛症状未控原因分析,提示我们作为临床医师,除了掌握WHO三阶梯镇痛原则外,当疼痛控制不佳时,我们需要思考下有无其他干扰因素导致。我们课题组既往的研究已表明[20],包含控制癌痛在内的早期姑息治疗有助于提高晚期非小细胞肺癌患者的整体生活质量。我们医疗组在充分分析患者疼痛病因后,在给予皮下自控镇痛、抗感染、口腔护理等综合措施快速缓解疼痛同时,我们亦注重患者的营养状态改善、心理疏导以及健康宣教等,提高患者生活质量,最终患者满意出院。
所有作者均声明本研究不存在利益冲突





















