
26周超早产儿,出生体重820 g。孕18周胎膜破裂,至娩出时潜伏期达55 d,羊水20 ml,Apgar评分4-6-7分,先后经历了难治性呼吸衰竭和慢性支气管肺发育不良,经个体化呼吸管理及早产儿精细化综合治疗,患儿治愈出院。
因"早产复苏后23 min"入院,反应差,超早产儿貌,呼吸浅促,65次/min,气管插管T组合正压给氧下(氧浓度100%)经皮血氧饱和度91%。
入院诊断包括:超低出生体重儿,超未成熟儿,新生儿呼吸窘迫综合征(Ⅲ期),先天性肺炎,肺动脉高压,呼吸衰竭,轻度窒息,败血症(早发型),肺出血,支气管肺发育不良等。
高频机械通气联合肺表面活性物质、吸入一氧化氮治疗等。
治愈出院,生长发育及神经系统稍落后,余各系统正常。
新生儿科;产科
版权归中华医学会所有。本文为遵循CC-BY-NC-ND协议的开放获取文章。
胎膜早破(premature rupture of membranes,PROM)即临产前胎膜自然破裂,常引起早产及母婴感染。妊娠结局与破膜时孕周有关,孕周越小,围生儿预后越差。国内外妊娠22周前暴露于PROM的婴儿救治及预后相关报道较少见,甚至在医疗条件不足地区,常提前终止妊娠。本例患儿18周时即暴露于PROM,至分娩时潜伏期长达55d,出生后经历了新生儿呼吸窘迫综合征(neonatal respiratory distress syndrome,NRDS)、肺炎、肺动脉高压(pulmonary hypertension,PH)、难治性呼吸衰竭、支气管肺发育不良(bronchopulmonary dysplasia,BPD)等严重肺部疾病,但未合并坏死性小肠结肠炎、脑室内出血、需手术干预的早产儿视网膜病等严重并发症,结局良好。本文以期通过报道此患儿的救治及随访情况,为类似病例提供临床参考。
患儿,男性,23分,因"早产复苏后23 min"入院。胎龄26周,出生体重820 g。因"胎盘早剥"急诊剖宫产娩出,单胎,胎膜早破55 d,羊水清,量约20 ml,Ⅰ°胎盘早剥,无宫内窘迫。Apgar评分1-5-10分钟分别为4-6-7分。经辐射台保暖、气管插管T组合复苏器正压给氧(吸气峰压26 mmHg,吸氧浓度100%)下转入新生儿重症病房(neonatal intensive care unit, NICU)。入院体格检查:肛温35.7℃,脉搏135次/min,呼吸65次/min,血压50/31 mmHg(1 mmHg=0.133 kPa),氧饱和度91%(气管插管T组合正压给氧),反应差,超未成熟儿貌,肤色红,呼吸浅促,见三凹征,前囟平软,双肺呼吸音低,未闻及干湿性啰音,心律齐,心前区未闻及杂音,腹软,肝脾肋下未及,肠鸣音弱。肌张力低下,原始反射未引出。右足外翻。
母亲孕产史:母亲35岁,本次妊娠为G1P0,因丈夫精子活力差行胚胎移植术。孕17周时诊断细菌性阴道炎,孕18+1周出现阴道流液,未重视,孕18+5周就诊,测类胰岛样生长因子阳性,彩超提示羊水量过少,羊水最大深度1.4cm,考虑"胎膜早破"收住本院产科。予卧床,抬高臀位,头孢西丁静滴联合阿奇霉素口服预防感染等治疗。住院期间每隔2~3 d行超声动态复查羊水变化,羊水最大深度在0.8~1.7 cm间波动,羊水指数在1.1~3.4 cm间波动。分娩当天监测羊水最大深度1.63 cm,羊水指数约2.38 cm。孕22+1周宫颈分泌物培养出大肠埃希菌++,超广谱β内酰胺酶阳性(+),为多重耐药菌,根据药敏选用头孢西丁静滴联合罗红霉素口服抗感染治疗,1周后复查宫颈分泌物培养示少量阴道混合菌群生长。胎盘组织培养:未见细菌生长。
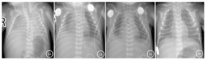
入院胸片提示:两肺充气差、透过度低,呈毛玻璃样,考虑NRDS(Ⅲ期)(图1A)。入院后气管内滴入肺表面活性物质3 h后复查胸片:左肺透过度较前增高,右中下肺野斑片影较前增多,提示右中下肺野感染可能(图1B)。生后9h血氧难以维持90%以上,再次复查胸片:左肺及右上肺野病灶较前吸收减少,右中下肺野感染大致同前(图1C)。生后11h导管前后血氧相差5%以上,查心脏彩超:房间隔缺损(2.5 mm),动脉导管未闭(2.5 mm),三尖瓣轻度返流(PG 26 mmHg),左房稍小。生后8d胸片:双肺透过度较前增高,双肺内病灶较前明显吸收减少(图1D)。住院期间颅腔彩超均未见明显异常。


住院期间诊断包括:超低出生体重儿,超未成熟儿,新生儿呼吸窘迫综合征(Ⅲ期),先天性肺炎,肺动脉高压,呼吸衰竭,轻度窒息,败血症(早发型),肺出血,支气管肺发育不良,房间隔缺损,动脉导管未闭,早产儿视网膜病(双2区3期),贫血,黄疸,右足外翻。
入院后结合其孕周及出生体重,超低出生体重儿及超未成熟儿诊断明确。气管内滴入肺表面活性物质后,左肺及右上肺野透过度改善,但右中下肺野见大片渗出,结合早破水病史及母亲孕期宫颈分泌物培养异常,考虑先天性肺炎。生后9 h血氧再度下降,需与气胸鉴别,复查胸片与前片相比无明显变化,不支持气胸等。生后11 h,血氧难以维持,且导管前后血氧相差5%以上,需与先天性心脏疾病相鉴别,行床边心脏彩超提示:三尖瓣返流,且此时胸片较前片无明显改变,临床诊断PH。患儿矫正胎龄36周时需经鼻持续气道正压通气支持,根据Jensen 2019 BPD定义,本例患儿BPD分度为Ⅱ级。
呼吸管理是本例患儿治疗的重难点,其感染控制、营养管理、神经保护等方面参考早产儿管理指南、BPD诊治原则,制定了个体化的综合管理方案。
呼吸管理:患儿入NICU予机械通气,参数:高频通气模式(频率:10Hz;平均压:10 cmH2O;振幅:30 cmH2O;吸氧浓度:100%)(1 cmH2O=0.098 kPa),胸片提示NRDS(Ⅲ期),即给予肺表面活性物质120 mg,2 h后振幅下调至25 cmH2O,吸氧浓度下调至80%,监测经皮血氧饱和度在95%左右。生后9h血氧下降至80%~90%,调整为3100高频震荡呼吸机(频率:9Hz;平均压:12 cmH2O;振幅:25 cmH2O;吸氧浓度:100%)后监测血氧波动在90%~95%之间,心率及血压正常。生后11 h再次出现血氧下降,波动在80%~90%之间,导管前后血氧相差5%以上,氧指数(OI)为26.2,予吸入一氧化氮(inhaled nitric oxide,iNO)(初始5 ppm),血氧渐上升至95%以上,予下调通气参数,吸入NO1h时OI降为6.5,缓慢下调NO浓度,每次下调1 ppm,至2 ppm维持,生后第5天,监测导管前后血氧均为95%,即停NO。
生后10 d成功撤离呼吸机改无创通气支持,生后72 d改高流量吸氧,生后87 d改低流量吸氧,生后99 d停吸氧,治疗原则遵循《早产儿支气管肺发育不良临床管理专家共识》[1]。
感染控制:母亲孕17周时诊断细菌性阴道炎,孕18+1周出现胎膜破裂,孕22+1周宫颈分泌物培养出多重耐药的大肠埃希菌。患儿生后1 h血降钙素原7.37 ng/ml,明显增高,肺部感染重,孕母院内保胎时间长,考虑患儿耐药菌感染可能性大,予美罗培南抗感染治疗10 d,待呼吸循环稳定、感染指标正常予停用。此后住院期间,患儿未再出现感染情况,除氟康唑预防真菌感染外,未使用其他抗生素。
营养管理:根据循环情况及每日出入量制定个体化补液方案。为促动脉导管关闭及防治BPD,在保证正常生长发育需求的基础上适当限液。生后1 d予初乳护理口腔,生后6 d开始肠道微量喂养,生后27 d开始添加母乳强化剂,由于喂养不耐受,生后50 d达全肠内营养。
神经保护:机械通气期间应用经皮二氧化碳分压(PCO2)监测仪实时监测,一方面避免频繁抽血、减少医源性失血及刺激,一方面可实时调整通气参数及呼吸道管理措施,保持经皮PCO2在稳定范围,避免PCO2大幅波动致颅内出血或脑白质软化。操作均集中进行,病房内安装声音监控仪,避免各种声光刺激。
出院时患儿矫正胎龄41周,体重3670 g(位于P41),身长50 cm(位于P18),头围33.3 cm(位于P6)。矫正1.9月龄时,体重4500 g(位于P25),身长57.2 cm(位于P75),头围37 cm(位于P25)。生长发育随访显示患儿身长、头围追赶良好,体重稍落后(图2)。矫正2月龄时神经系统随访:运用儿童神经心理行为检查量表(2016版)显示矫正年龄发育商达同龄水平(大运动128,精细运动110,适应能力110,语言73,社会行为92,警示行为0)。头部核磁共振检查:双侧脑室欠对称,左侧脑室稍扩张,脑部成熟髓鞘形成水平相当于修正2月。脑电图、视觉诱发电位、听觉脑干诱发电位未见异常。此患儿矫正年龄不足1岁,目前仍在密切随访过程中。


多项研究表明PPROM、羊水过少、肺发育不全与早产儿PH密切相关。近期韩国一项前瞻性队列研究分析了1790名母体PPROM、极早产儿的临床数据,显示孕25周前暴露于母体PPROM并持续≥7 d的婴儿共402名(22.5%);其中合并早期PH(即出生3 d内暴露于iNO或其他肺血管扩张剂以治疗PH)者死亡率(55.6%)和脑室内出血(IVH)发病率(31.7%)比无早期PH者显著增高(分别为21.9%和14.3%)。该研究证实:孕25周前PPROM且持续时间≥7 d是BPD和早期PH的一个重要风险因素,分别与死亡率和严重IVH相关[2]。韩国另一项临床研究也表明:从PPROM至分娩的潜伏期延长组(≥7d)与短潜伏期组(<7 d)相比,潜伏期延长组的早期PH和BPD发生率分别增加了1.8倍和1.5倍[3]。本例患儿破膜时间早、潜伏期长、羊水少、胎龄小与生后低Apgar评分、RDS、肺炎、PH的发生密切相关,也为我们救治带来了极大的考验。
患儿入NICU初步尝试常频通气失败,高频通气极高参数下才可维持经皮血氧90%以上,给予肺表面活性物质后氧合虽一度改善,但生后9h氧指数再次升高,生后11 h导管前血氧低于90%,导管前后血氧相差5%以上,心脏超声示三尖瓣返流,考虑先天性肺炎合并PH。《新生儿呼吸窘迫综合征的防治-欧洲共识指南2019版》提到:早产儿使用iNO治疗需谨慎,仅限用于临床研究或明确严重肺动脉高压患儿的试验性治疗(D2)[4]。基于此原则,即予iNO治疗,初始剂量仅5 ppm,但临床疗效显著。尽管临床医生对早产儿iNO仍有争议,但最近研究表明iNO可能有益于特定的早产儿。Frederico Vieira等人对截至2020年收录于PubMed的272篇文章进行了系统性评价,提出以下观点:出生体重≥750 g和胎龄>27周的新生儿可能会受益于iNO;患有PPROM、羊水过少、超声心动图或临床诊断PH的早产儿如果进展为呼吸衰竭,则更有可能受益于iNO;早产儿的iNO剂量应在5至10 ppm之间开始,没有证据表明超过20 ppm的剂量具有临床益处;iNO有反应者神经发育残疾率可能较低,但慢性肺病发病率相似[5]。结合本病例临床特点、诊治情况及结局分析,与以上观点相一致。高频通气联合小剂量NO是本病例氧合改善的关键,二者可产生协同作用,高频通气可募集或复张更多的肺泡,使肺通气达最佳状态,利于NO进入肺泡并使其肺血管扩张,从而缓解肺动脉高压。
患儿有创机械通气10d后成功撤离,予经鼻间歇正压通气,并逐步过渡至经鼻连续气道正压通气,至矫正胎龄40+1周时停止吸氧。考虑患儿为超早产儿,肾上腺机能不足,且病情危重,为抗炎及稳定血压,我们于生后早期给予了小剂量氢化可的松静脉滴注。已有文献报道:与早期使用地塞米松相比,早期低剂量氢化可的松未增加神经发育风险。在出生后第一周使用低剂量氢化可的松治疗,与BPD改善相关,尤其是在暴露于绒毛膜羊膜炎的婴儿中[6]。回顾分析本患儿能短期内撤离有创通气是否与早期使用氢化可的松有一定关联,尚需更多临床证据支持。
本病例报道旨在为胎膜早破潜伏期长的超早产儿救治提供一些临床参考,更希望能增强孕中晚期胎膜早破母亲的信心。
所有作者均声明本研究不存在利益冲突





















