
2例患者,男性,48、65岁,均因高毒力肺炎克雷伯菌致单眼失明,同时2例患者均合并肝脓肿侵袭综合征及前列腺脓肿、脑脓肿的全身播散性感染。患者均以眼周症状为首发,首次就诊为症状发生7~14 d,因合并全身多发感染早期均未行眼周抗感染或手术相关治疗。个人史:均无糖尿病及免疫缺陷病史。家族史:均无特殊。
肝区叩痛;右侧眼周脓肿;结膜囊大量黄色脓性分泌物及血性分泌物,前房、玻璃体均可见积脓。余体格检查无特殊。
临床症状及体征,血培养,脓液培养,诊断明确。
明确诊断后给予治疗方案:脓肿穿刺引流、全身抗感染治疗、眼周冲洗点药、眼球内容物剜出术。
经全身抗感染治疗,体温正常、炎症指标恢复,血培养阴性。脓肿穿刺引流术后脓肿缩小;右眼失明。
感染科;眼科;肝胆外科
版权归中华医学会所有。本文为遵循CC-BY-NC-ND协议的开放获取文章。
肺炎克雷伯菌是医院获得性感染和社区获得性感染的常见条件致病菌。高毒力肺炎克雷伯菌(HvKP)是肺炎克雷伯菌的高毒力变种,可引起既往身体健康和年轻患者严重的社区获得性感染,如肝脓肿、肺炎、脑膜炎和眼内炎及坏死性筋膜炎等[1]。由HvKP感染早期可出现血源性播散,更容易导致侵袭综合征,常累及肺、中枢神经系统及眼睛,主要表现为肺炎、脑膜炎及内源性眼内炎(endogenous endophthalmitis,EE)[2]。临床外科医师常常会忽视肺炎克雷伯菌性肝脓肿(Klebsiella pneumoniae pyogenic liver abscess,KPPLA)的侵袭性感染,临床称为肝脓肿侵袭综合征[3]。HvKP感染好发于糖尿病及免疫缺陷人群,因常并发可危及生命的严重感染,近年来引起广泛关注[4]。本文报道2例HvKP引起的眼球失明及全身侵袭性感染病例。2例患者均无糖尿病病史,均以眼部症状为首发表现。本文对2例HvKP菌株的分子和毒力特征进行分析,旨在提高医务人员对HvKP及其致病特点的认识,提高早期预警治疗,改善临床诊疗效果。
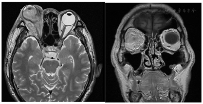
病例1,患者,男性,65岁,汉族,2022年3月以"右眼突出,巩膜并眼睑红肿伴视力下降8 d"为主诉入院。患者于2022年3月22日晨起后自觉右眼分泌物较前增多,伴巩膜红肿并视力下降,可视物。自行使用"红霉素眼膏"效果欠佳;自觉眼压增高,眼球突出,视力进行性下降,视物不能,无光感。就诊当地医院眼眶CT:(1)右侧眼球突出、形态及密度异常,右侧眼球后方间隙模糊;(2)右侧内、外直肌略增粗;眼眶MRI:右侧眼球形态及信号异常、右侧眼球后方脂肪间隙信号异常,右侧内外直肌略增粗且信号略增高。2022年4月1日转入新疆医科大学第一附属医院诊断为"脓毒血症,右眼眼球炎,右侧眼部蜂窝组织炎,低钾血症,甲状腺术后",患者右眼球脓肿伴高度凸出(图1)全身多发感染,眼科无法行局部手术治疗,为明确感染类型及筛查全身感染情况收治新疆医科大学第一附属医院感染病肝病中心进一步治疗。既往史:无特殊。家族史:无特殊。


病例2,患者,男性,48岁,汉族,患者于2022年8月以"发热11 d伴右眼食物不清6 d"为主诉入院。患者于2022年7月22日起无明显诱因出现发热,最高体温41℃,伴有寒战,持续2 h后可自行降温,多于夜间出现发热,伴有腹胀、乏力不适。6 d前患者右眼视物不清,有光感,伴红肿,故就诊新疆医科大学第一附属医院眼科,考虑右眼眼内炎,不除外全身其他部位感染,因患者精神欠佳,伴有乏力不适,就诊新疆医科大学第一附属医院急诊,完善相关检查提示:感染指标高;门诊超声提示:肝实质内多发混合性病灶,LR-3:不确定病灶,感染性病变可能。患者眼周感染并肝脓肿,眼科目前无法行手术治疗,故为明确感染类型及筛查全身感染情况收治新疆医科大学第一附属医院感染病肝病中心进一步治疗。既往史:无特殊。家族史:无特殊。
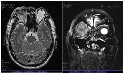
病例1,入院体格检查:体温36.9℃,脉搏110次/min,呼吸26次/min,血压109/88 mmHg(1 mmHg=0.133 kPa),体质量55 kg。神志清楚,精神好。体格检查:左眼未见明显异常;右眼:眼球突出,眼睑红肿明显,内眦上方可见皮肤破溃,表面有血痂,结膜充血,结膜囊内可见大量黄色脓性分泌物及血性分泌物,角膜表面干燥、毛糙,余结构视不入。压痛(-);眼球运动:右眼不能转动,左眼各方向运动未见明显异常。余心肺腹体格检查无特殊。实验室检查:乙肝、丙肝、HIV阴性;痰结核菌涂片阴性,尿常规、甲状腺功能5项、真菌D-葡聚糖检测、梅毒螺旋体血清学、巨细胞病毒DNA测定、呼吸道病原体9项、甲型流感病毒抗原阴性。结核感染T淋巴细胞:阴性。结缔组织疾病阴性。血培养、前列腺脓液培养、眼周分泌物培养:肺炎克雷伯菌(全敏感)。2022年4月2日(术前):右侧眼球3度突出;右侧球后脂肪间隙及右侧眶周软组织所见,考虑炎性假瘤;右侧眼球变形并内密度不均匀增高;鼻中隔偏曲;双侧上颌窦炎并左侧上颌窦囊肿;右侧下鼻甲肥大。2022年4月6日肾输尿管膀胱前列腺,双肾未见明显异常。双侧输尿管未见扩张。膀胱未见明显异常。前列腺增大(考虑:前列腺增生,其他待排)并其内回声不均,建议结合PSA检查。盆腔内低回声区(与前列腺分界不清),结合病史考虑:感染性病灶可能性大,6.3 cm×4.4 cm的低回声(图2)。2022年5月6日(术后)双肺轻度间质性改变,双肺散在炎症,肝右叶低密度,感染性病变可能性大(1.44 cm)前列腺增生,前列腺内低密度灶,考虑感染性病变,脓肿可能。右侧颞叶皮层,左侧小脑半球及左侧放射冠区异常强化结节,考虑脓肿较前水肿范围缩小,结节强化范围及幅度略缩小,请结合临床水肿,右眼球摘除术后改变(图3)。




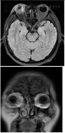
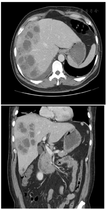
病例2,入院体格检查:体温36℃,脉搏92次/min,呼吸18次/min,血压96/79 mmHg,体质量75 kg。神志清楚,精神好。体格检查:普通视力检查:右手动/10 cm,左0.4眼压检查(非接触式眼压计);右Tn左11 mmHg裂隙灯检查:右眼:眼睑无水肿、充血、破溃、裂伤,结膜混合充血,角膜内皮可见大量菌栓附着,巩膜无黄染、结节,房闪(+++),虹膜:纹理清,无前粘,后粘,色泽正常,圆,居中,光敏,瞳孔药物性散大,晶状体密度增高,前囊可见渗出膜,玻璃体:积脓。间接眼底镜检查:视不清。裂隙灯检查:左眼:眼睑无水肿、充血、破溃、裂伤,结膜无明显充血,角膜透明,巩膜无黄染、结节,前房深度可,房闪(-),虹膜:纹理清,无前粘,后粘,色泽正常,瞳孔大小3 mm×3 mm,圆,居中,光敏,晶状体密度增高,玻璃体:混浊;间接眼底镜检查:小瞳下网膜未见明确出血及渗出。诊断:右眼EE。余心肺腹体格检查无特殊。实验室检查:乙肝、丙肝、HIV阴性;尿常规、甲功五项、糖化血红蛋白阴性、脑脊液正常、阴性。肿瘤标志物:血清铁蛋白1109 ng/ml;结缔组织疾病阴性;血常规:白细胞18.13×109/L↑,中性粒细胞占比0.848↑,血红蛋白111.00 g/L↓,血小板计数418.00×109/L↑;2022年8月1日门诊红细胞沉降率测定:58.00 mm/h↑;急诊炎症因子组合:C反应蛋白(干化) >90.00 mg/L↑,白细胞介素6 107.5 pg/ml↑,降钙素原全定量1.14 ng/ml↑。血培养、肝脓肿脓液培养:肺炎克雷伯菌(全敏感)。余心肺腹体格检查无特殊。头颅及腹部MRI:(1)脑MRI平扫及增强扫描未见明显异常;(2)右侧眼环增厚,右侧视网膜脱离,右眼玻璃体内异常信号,右侧泪腺及右侧眼眶周围软组织水肿,考虑炎性改变,请结合相关专科检查;(3)肝内多发异常信号,结合病史,考虑多发肝脓肿,肝门区及腹膜多发淋巴结,部分肿大;(4)胆囊炎;(5)肝周少量积液;(6)扫及双侧胸腔少量积液;扫及右肺内异常信号,建议结合胸部CT检查。腹部CTA提示:(1)肝内散在低密度灶,考虑脓肿可能,请结合临床;(2)胆囊炎;副脾;(3)腹膜后散在淋巴结;(4)右侧胸腔积液并部分肺不张,左侧胸膜不均匀性增厚;(5)腹部CTA示左肾双支肾动脉,第三肝门显影。超声造影:肝实质内多发混合性占位灶并其内多发分隔,结合超声造影考虑:肝脓肿并部分液化(图4、图5)。




根据2例病例的病史、临床表现、体格检查及实验室检查可明确诊断为高毒力肺炎克雷伯菌、肝脓肿侵袭综合征。早期肝脓肿壁未形成,CT显示片状低密度影且边界模糊,需与部分肝癌鉴别。肝脓肿抗感染治疗后脓肿变小;原发性肝癌患者多有肝炎、肝硬化病史、AFP增高,CT增强造影剂表现为"快进快出"征像。本文2例男性患者均无肝脏基础病,肿瘤标志物正常故排除肝癌诊断。眼内炎的诊断主要是内源性感染诊断,依据病史和身体其他部位感染灶的存在。眼内炎需鉴别内源性感染,病原微生物由血液和淋巴进入眼内,或免疫功能抑制功能缺陷时而感染。外源性感染,由手术后眼内炎,如白内障,青光眼,角膜移植,玻璃体切割和眼穿孔修复术后的内眼手术,以及眼球破裂伤,和眼泪异物实造成。本研究2例男性患者既往无眼周手术病史,同时全身多发感染明确故EE感染明确。
病例1,经全身抗感染对症治疗(特治星4.5 g,每日3次)共7 d,2022年4月7日给予美平(1 g q8 h)共2 d,加强眼部局部护理:以生理盐水湿润棉签,进行右眼结膜囊分泌物清理,清理后用红霉素眼膏大量涂抹于右眼眼表及结膜囊内,并以湿纱布覆盖,每日清洁结膜囊2次。于2022年4月9日转入泌尿外科,诊断为"前列腺脓肿,脓毒血症,肺炎克雷伯杆菌感染,眼球后炎,右侧眼球突出,肝脓肿,颅内感染,小脑脓肿待排"于2022年4月11日行"前列腺脓肿引流术"。经抗感染治疗3周后于2022年4月24日在全身麻醉下行"右眼眼球内容物剜出术",术后给予局部点眼药抗炎预防感染,给予头孢他啶2 g,q8 h静脉点滴联合甲硝唑500 mg,q8 h静脉点滴治疗(共9 d)好转出院治疗。
病例2,经全身抗感染对症治疗(亚胺培南1 g,每6 h 1次;盐酸万古霉素1 000 mg,每12 h 1次)于2022年8月12日行"多发肝脓肿引流术"共9 d。2022年8月13日眼科会诊右眼EE。给予地塞米松磷酸钠注射液10 mg入小壶或静脉点滴,每日1次×3 d。眼球未行相关手术治疗。抗感染治疗后好转出院。
病例1好转出院治疗。
病例2抗感染治疗后好转出院。
本例2患者均为男性,均以右侧眼周感染为首发症状,存无糖尿病及免疫缺陷等基础病,自眼周感染发病至失明平均时间7~14 d。两患者均存在典型临床表现,早期均因全身感染未行眼周相关手术。近30年来,肺炎克雷伯菌已经逐渐替代大肠埃希菌成为细菌性肝脓肿的主要致病菌。研究结果提示高毒力肺炎克雷伯菌为细菌性肝脓肿的主要病原菌[5]。本文2例患者的肝穿脓液培养及前列腺脓液培养皆为肺炎克雷伯菌。肺炎克雷伯菌的侵袭性综合征是指KPPLA伴有肝外并发症,同时合并糖尿病时,更易形成脓肿,导致菌血症、脑膜炎、眼内炎及坏死性筋膜炎等转移性并发症[6]。目前KPPLA大多可成功治愈,但其引起的EE预后较差。66%~78% KPPLA伴EE患者的患眼预后只达到手动或光感,严重者失明甚至需摘除眼球[7]。本文2例均为发病2周后就诊,故导致失明。临床上KPPLA伴眼内炎患者常以右眼受累为主,因为KPPLA的细菌栓子经眼睛后段血管到达眼睛,右眼因经右侧颈动脉更易受侵犯[8],本文2例患者皆为右眼(单眼)受累,和报道一致。另外,1例病例都出现了的脑脓肿及前列腺脓肿感染,以往未见报道,经全身积极抗感染治疗后皮肤感染痊愈,考虑与患者的免疫力下降导致细菌侵袭有关,故临床上应注意观察肺炎克雷伯菌感染所致的全身侵袭现象。
有报道糖尿病为肝脓肿的独立危险因素,糖尿病患者发生肝脓肿的概率是非糖尿病患者的3.6~11倍[9]。本文2例患者均无糖尿病史及免疫缺陷,因此治疗期间保证血糖控制在正常范围内波动很重要。目前尚无KPPLA伴眼内炎的诊疗共识,HvKP感染引起的肝脓肿侵袭综合征,常表现为急性起病、进展迅速、病情重、预后差,死亡率为4%~11%。早期诊断、关注器官播散、及时规范治疗,是预防不良预后发生的关键。其首要治疗策略是尽早进行肝脓肿穿刺引流及外科手术治疗,此外还需积极抗感染治疗及治疗肝外播散灶。HvKP对第三代头孢菌素、喹诺酮类抗菌药物及碳青霉烯类抗生素均有较高敏感性。《热病》及美国感染病学会复杂性腹腔内感染诊治指南建议[10],轻、中症患者可首选头孢曲松,重症患者则直接选用碳青霉烯类药物治疗。静脉应用抗菌药物治疗至体温正常或血常规白细胞恢复正常后,可改为口服抗菌药物的序贯治疗。
研究表明,肺炎克雷伯菌感染眼内环境后,会于12 h内造成视网膜光感受器细胞的不可逆性损坏[11]。目前KPPLA伴眼内炎常用手术治疗方法有玻璃体腔内注药和玻璃体切除术。玻璃体内注射抗菌药物的最佳时间尚无定论,有研究认为是24~48 h内注射抗菌药物治疗效果较好[12]。本文2例患者就诊时间均超过48 h。病例1在院外已有半个月时间且曾有玻璃体腔内注射,但效果不佳,考虑与超过治疗最佳时间有关;我们曾建议病例2行玻璃体切除术但遭拒绝。追踪患者1年余,患者的右眼视力未恢复,随访均失明,因此及时诊断与治疗非常关键。
所有作者均声明本研究不存在利益冲突





















