
患者,男性,10岁1个月,牙列不齐,自诉无反
家族史。
凹面型,上颌后缩,下唇稍前突;替牙列晚期,磨牙中性关系,前牙浅反覆合,左侧后牙反
,下颌未能后退达到切对切咬合,上牙列严重拥挤。
综合病史分析,临床检查和影像学检查,诊断为骨性Ⅲ类,上颌后缩(替牙列期),牙列拥挤(替牙列期)。
上颌扩弓解除上下牙弓宽度的不调以及后牙反合,固定矫治器解除前牙反
,利用替牙间隙以及扩弓和唇倾获得的间隙解除拥挤,改善凹面型。
治疗后反合解除,拥挤解除,牙列排齐,凹面型改善为直面型;第二次矫治后侧切牙反
及拥挤未复发,咬合稳定。
口腔正畸科;口腔颌面外科
版权归中华医学会所有。本文为遵循CC-BY-NC-ND协议的开放获取文章。
骨性Ⅲ类错
是指上下颌骨间关系表现为上颌后缩或下颌前突,或者两者兼而有之的一类错合畸形[1];除此之外,还可表现为磨牙近中关系,前牙反
,后牙反
等牙齿与牙弓关系不调;面型为凹面型;可伴发横向或垂直向的骨性错合,恒牙列期常采用正畸正颌联合治疗的方法[2],或者正畸掩饰治疗的方法,改善面型以及纠正牙弓间的咬合关系。在青春发育高峰期及之前,对于上颌后缩或上颌前牙槽发育不足的患者,常采用矫形前方牵引或者"2乘4"等固定矫治的方法来早期解除牙齿的锁结及促进上颌的发育[3]。这种方法对于遗传因素作用弱的患者,效果较好;但即使采用了早期矫治,以及后期的综合矫治,在青春发育高峰期后,部分骨性Ⅲ类错
仍保持个体的生长型(下颌生长快于上颌),导致畸形的复发或面型的改变[4]。轻度复发并不影响最终的稳定。通过14年的追踪观察,本文总结了上颌前牙槽发育不佳患者采用单纯正畸治疗获得稳定效果的要点。
患者,男性,10岁1个月,2006年6月就诊中山大学附属口腔医院正畸科。主诉为牙列不齐,"地包天"。自诉无反
家族史,无正畸治疗史。
面部正面观,左右对称,面上中下1/3比例尚可。侧面观,凹面型,上颌后缩,下唇稍前突。正面微笑上切牙暴露不足。口内检查:替牙列晚期,上颌双侧第二乳磨牙以及左下第二乳磨牙未脱落,右下第二前磨牙萌出中,替牙间隙存在。磨牙中性关系,前牙浅反覆合,左侧后牙反合。上牙列严重拥挤,双侧侧切牙腭向错位无间隙,下牙列中度拥挤(图1)。患者轻微张口,下颌未能后退达到切对切咬合。


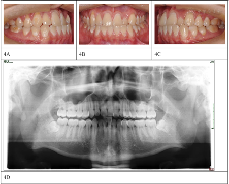
全景片:上颌下颌第二前磨牙未萌出,牙根发育约1/2,颞下颌关节髁突情况尚可,可见下颌第三磨牙牙胚影像。头颅侧位片(图1)头影测量SNA角(蝶鞍点、鼻根点与上牙槽座点构成的角)为75.8°,ANB角(上牙槽座点、鼻根点与下牙槽座点构成的角)为-3.8°,MP-FH(下颌平面与眶耳平面夹角)为24.1°。
本例诊断为骨性Ⅲ类,上颌后缩(替牙列期),牙列拥挤(替牙列期)。
鉴别诊断:SNA角及ANB角均小于正常值参考范围,显示上颌后缩,患者下颌未能后退至切对切咬合,显示为骨性Ⅲ类,可与前牙反
,但能后退至切对切咬合的功能性Ⅲ类错
相鉴别。
患者处在替牙列晚期,替牙间隙存在,前后牙反
及上牙列拥挤可通过间隙的分配,牙弓周长的增加而解除,首先解除上下牙弓宽度的不调(后牙反
),再通过"2乘4"固定矫治技术,采用4个切牙以及2个第一磨牙(或者第二乳磨牙)作为托槽粘结的牙位,固定矫治纠正前牙反合的矫治方法。采用全口固定矫治器利用替牙间隙以及扩弓和唇倾获得的间隙解除拥挤。
首次矫治过程:2006年2月粘结上颌第一磨牙带环(带环焊接腭侧管),可摘式四眼扩弓簧插入腭侧管,每4周取出扩大2 mm后重新置入,共扩弓4次(两侧共约8 mm)。2006年5月粘结上颌部分牙齿直丝弓固定矫治器,初步排齐后采用0.016英寸不锈钢丝,弯制垂直开大曲唇向移动上颌切牙和尖牙。前牙反
解除后,继续采用0.018英寸不锈钢丝配合推簧,利用替牙间隙获得上颌侧切牙排齐空间。上颌侧切牙排齐及维持前牙覆合覆盖后,采用0.016×0.022英寸不锈钢丝弯制关闭曲关闭牙弓中剩余间隙(图2)。下颌逐步更换钢丝排齐,采用0.019英寸×0.025英寸不锈钢丝作为稳定弓丝。颌间牵引精细调整牙位以及稳定咬合。2010年1月拆除固定矫治器,佩戴哈利氏活动保持器。


首次矫治(包括两个阶段,上颌单颌矫治以及全口矫治)时长为47个月,治疗后反
解除,拥挤解除,牙列排齐,凹面型改善为直面型(图3)。


2014年8月再次就诊中山大学附属口腔医院正畸科,主诉为牙齿拥挤复发,患者自述未遵医嘱戴用保持器,现因牙齿拥挤复发要求矫治。临床检查可见上颌左侧侧切牙与对颌牙呈反
关系,上下牙列轻中度拥挤,磨牙关系为中性,右侧尖牙关系偏近中。全景片显示下颌第三磨牙阻生(图4)。2014年8月粘结全口直丝弓固定矫治器,上下颌前牙区配合邻面去釉获得间隙,逐步更换弓丝,上下颌采用0.019英寸×0.025英寸不锈钢丝作为稳定弓丝,配合颌间短Ⅲ类牵引维持前牙覆合覆盖及调整尖牙磨牙关系,保持3个月后拆除固定矫治器(图5),佩戴透明保持器。二次矫治治疗时长25个月(首次矫治结束后55个月),患者在二次治疗中已经拔除阻生的第三磨牙,侧切牙反
解除,拥挤解除,磨牙及尖牙关系均调整为中性。




首次治疗前、治疗后、二次治疗后头影测量数据以及轮廓重叠图(表1,图6)。



首次治疗前、治疗后及二次治疗后头影测量值对比
首次治疗前、治疗后及二次治疗后头影测量值对比
| 测量项目 | 标准值 | 标准差 | 治疗前测量值 | 首次治疗后测量值 | 二次治疗后测量值 |
|---|---|---|---|---|---|
| SNA | 82.8 | 4 | 75.78 | 77.32 | 78.63 |
| SNB | 80.1 | 3.9 | 79.52 | 77.72 | 81.3 |
| ANB | 2.7 | 2 | -3.75 | -0.4 | -2.66 |
| FH-NPo(面角) | 85.4 | 3.7 | 86.14 | 84.78 | 88.32 |
| NA-APo(颌凸角) | 6 | 4.4 | -9.6 | -3.88 | -9.4 |
| FH-MP(下颌平面角) | 31.1 | 5.6 | 24.11 | 26.06 | 18.12 |
| SGn-FH(Y轴角) | 66.3 | 7.1 | 61.7 | 65.33 | 61.92 |
| MP-SN | 32.5 | 5.2 | 29.77 | 31.64 | 23.22 |
| Po-NB(mm) | 1 | 1.5 | 1.67 | 2.8 | 3.8 |
| U1-NA(mm) | 5.1 | 2.4 | 4.61 | 9.24 | 10.86 |
| U1-NA | 22.8 | 5.7 | 26.12 | 40.79 | 46.07 |
| L1-NB(mm) | 6.7 | 2.1 | 2.63 | 6.08 | 4.04 |
| L1-NB | 30.3 | 5.8 | 19.68 | 28.63 | 20.62 |
| U1-L1(上下中切牙角) | 125.4 | 7.9 | 137.95 | 110.98 | 115.97 |
| U1-SN | 105.7 | 6.3 | 101.9 | 118.11 | 124.71 |
| IMPA(下中切牙-下颌平面角) | 92.6 | 7 | 90.38 | 99.27 | 96.1 |
二次矫治后随访至42个月,已停戴保持器1年,侧切牙反
及拥挤未复发,咬合稳定,牙列排齐(图7)。


本例涉及骨性Ⅲ类错
的早期矫治方法选择,以及长期治疗观察,非拔牙矫治的复发因素[5]等。骨性Ⅲ类错
在正畸病例中,属于预后难以判断的类型,是因其病因及发展因素中,下颌后续生长的程度难以在早期确定。在青春发育期,下颌的生长一般晚于上颌,所以对于以凹面型、前牙反
及磨牙近中关系为特征的Ⅲ类错
,可能随着正畸治疗的进行以及患者的生长发育,错
程度会变得更加严重[6]。骨性Ⅲ类错
相对其他错
类型来说,是遗传因素占比较大的多因素作用的一类错
,对患者的口腔功能、美观甚至心理影响较大。有学者认为早期因替牙干扰造成的前牙反
,若放任不管,可能在后期演变为难以矫治的骨性下颌前突错
;前牙的反咬合会加重上下颌前牙的牙周创伤,因此提倡早期矫治。
在青春发育高峰期前发现的Ⅲ类错
,治疗方法的选择有前方牵引矫形治疗、功能矫治以及"2乘4"矫治技术等,前方牵引矫形治疗主要针对以上颌发育不足为特征的早期Ⅲ类错
,但其骨性效应伴随牙性效应,导致上颌牙列的整体前移,上颌磨牙的前移不利于上颌前部牙列拥挤的解除;而针对下颌前突的可靠的矫形方法存在争议。Ⅲ类功能矫治方法(包括Frankel Ⅲ型功能调节器)主要针对功能性Ⅲ类错
(能后退至切对切为特征),而对骨性Ⅲ类错
疗效较差[7]。虽然"2乘4"矫治技术其主要的疗效是牙齿移动,但在生长发育期,牙位的调整导致的颌位变化能够被牙槽骨垂直向的生长发育所代偿,产生对Ⅲ类错
较有利的下颌骨顺时针旋转[8]。对于轻中度的骨性Ⅲ类错
,磨牙关系中性,并且合并前牙区牙列拥挤的病例,"2乘4"矫治技术简单有效。本例存在前牙反
以及上颌前牙区严重拥挤及上颌后缩的凹面型,无相关家族史,说明前牙槽的发育不良可能是反
的重要病因,针对前牙槽扩展的"2乘4"矫治技术恰恰针对了病因进行治疗。
生长发育的知识告诉我们,个体的生长型难以改变[9],对于本例来说即是例证。本例首次治疗前的下颌平面角24.1︒,显示为水平生长型;首次治疗后的头影测量对比显示,在垂直向发育的基础上,下颌平面发生了轻度的顺时针旋转(下颌平面角增加了2︒),有利于反
的纠正。而二次治疗后的头影测量显示,与首次治疗后相比,ANB角减少了2.3︒,而下颌平面角减少了8︒(下颌平面逆时针旋转),说明患者继续其水平生长型。正畸治疗后反
未复发,是因为患者下颌骨垂直向也有大量的生长发育,正畸治疗后后牙的咬合关系紧密,而软组织的面型掩饰了骨面型的不调。
青春发育期正畸治疗的稳定性,除了受生长发育(生长型)的影响较大外[10],骨量与牙量的不协调、牙根位置的充分排齐也是重要的因素[11]。虽然首次治疗后,原来腭向错位的左上侧切牙牙冠已经向唇侧移动,但因为上颌前牙槽骨量不足,侧切牙的牙根未充分向唇侧移动,加上患者保持器佩戴不佳,原来反咬合的侧切牙容易受外力作用而导致复发。二次矫治考虑了以上因素,除了配合上下颌邻面去釉获得间隙,还使用控根移动的方法移动左上侧切牙向唇侧,稳定弓丝维持了比较长的时间。二次矫治后3年多的随访,效果稳定。本例两次治疗证明,对于前牙槽发育不良的轻中度骨性Ⅲ类错
,采用早期固定矫治解除反
治疗方案,并使下颌颌位发生变化[12],也能获得一定的骨性效应并且维持稳定。
所有作者均声明本研究不存在利益冲突





















