
患者,女性,29岁。孕1次,产0次,孕38+周,发现胎儿异常5 d。
骨盆外测量24-28-19-9 cm,胎数:1,胎位:ROA,胎心:140次/分,估计胎儿体重:3500 g,宫底高33 cm,腹围100 cm,先露:头,胎位衔接:浮,宫缩:无,阴道检查:未行,宫颈评分:未评,胎膜:未破。
行胎儿头颈部磁共振及胎儿产前诊断超声检查,均提示胎儿右侧面部肿块,考虑恶性肿瘤可能。
完善各项检查,血常规,血凝,血型、血生化、血STD,乙肝三系,肝炎系列,尿常规,大便常规心电图;完善准备后行利凡诺羊膜腔注射引产。
阴道分娩一死胎,送尸检。
妇产科;肿瘤科;放射科;超声科
版权归中华医学会所有。本文为遵循CC-BY-NC-ND协议的开放获取文章。
胎儿型横纹肌瘤是一种显示不成熟骨骼肌分化的良性横纹肌母细胞性肿瘤,由Zenker于1864年提出,是罕见的源于横纹肌的良性肿瘤,在源于横纹肌的全部肿瘤中所占比例不足2%。通常,骨骼肌肿瘤是恶性的(如横纹肌肉瘤) ,它是儿童和青少年最常见的软组织恶性肿瘤[1,2,3]。良性横纹肌瘤罕见。我们报道1例胎儿颜面部横纹肌瘤,旨在提高对本病的认识,减少误诊和漏诊。
患者,女性,29岁,孕1产0,因"停经38+周,发现胎儿异常5 d"入院。孕妇停经3+月建围产期保健卡,定期产前检查。孕12+周,外院NT:1.1 mm,鼻骨可见。因中筛21-三体临界风险,于我院行无创产前筛查(Nnoninvasive prenatal test,NIPT)无殊。自诉停经24+周外院OGTT及三维B超无殊(具体报告未见)。孕37周+,于外院行B超提示胎儿右侧颜面部不均回声,建议我院就诊。今停经38+周,孕妇无不适,自觉胎动如常至本院就诊,查胎心140次/分,胎动好。
体格检查:体温36.6℃,脉搏105次/分,呼吸19次/分,血压132/75 mmHg,基础血压120/ 60 mmHg;皮肤色泽:无明显异常,水肿:无,心律:齐,病理性杂音:未闻及。
产科检查:骨盆外测量24-28-19-9 cm,胎数:1,胎位:ROA,胎心:140次/分,估计胎儿体重:3500 g,宫底高33 cm,腹围100 cm,先露:头,胎位衔接:浮,宫缩:无,阴道检查:未行,宫颈评分:未评,胎膜:未破。
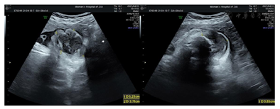
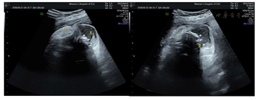
辅助检查:1.本院产前诊断超声检查示:胎位:ROA胎心:147次/分胎动:可及双顶径9.2 cm,头围32.5 cm,股骨长7.2 cm,腹围34.3 cm,胎盘:前壁GrII级,羊水指数:9.0 cm,脐动脉S/D比值2.5。备注:胎儿右侧颜面部见5.2 cm×3.9 cm×3.7 cm不均低回声,局部边界不清,内见丰富血流信号,RI:0.59;右侧上颌骨回声不规则、见回声中断,低回声与该侧上颌骨关系密切;右侧上牙槽处回声不规则、见回声中断;颈部见"U"形切迹(图1,图2,图3,图4)。诊断结果:宫内孕,单活胎,胎儿右侧颜面部不均低回声(肿瘤考虑,恶性可能),目前胎儿脐带绕颈1周。








2.胎儿MR头颈部提示:胎儿右侧面部肿块伴右侧眼眶、颧部、鼻腔、牙槽骨、腭部及口腔侵犯,考虑恶性肿瘤可能。
初步诊断:胎儿颜面部恶性肿瘤。
1.完善各项检查,血常规,血凝,血型、血生化、血STD,乙肝三系,肝炎系列,尿常规,大便常规心电图;2.完善准备后行利凡诺羊膜腔注射引产。
阴道分娩一死胎,体重3240 g,Apgar评分1分钟0分,Apgar评分5分钟0分。死胎检查见新生儿全身散在蜕皮,右脸颊见一6 cm×5 cm肿块,累及右侧鼻翼。予送小尸体病检。
尸检结果:死胎,右脸颊软组织肿瘤(首先考虑为胎儿型横纹肌瘤),余体表及内脏未见明显畸形。
横纹肌瘤为具有横纹肌分化的良性间叶瘤,按部位包括心内和心外两大类。据临床及病理形态,后者又包括三种亚型:成人型、胎儿型、生殖器横纹肌瘤[3,4]。胎儿型比成人型更少见,多发生于3岁以下的婴幼儿,常在出生后不久出现肿块,好发于头颈部皮下,尤其是耳后区[5],而像本例发生于胎儿期且位于脸颊者少见。
心内型横纹肌瘤是最常见的良性心脏肿瘤。它们通常与结节性硬化症有关,可以通过超声心动图在产前和产后进行诊断。横纹肌瘤往往会自发消退,通常不进行手术,除非它们变得阻塞或引起严重的心律失常[6]。
心外型横纹肌瘤是一种罕见的良性肿瘤,目前病因尚不清楚[3]。手术切除是治疗的主要方式。提倡完整切除,反对局部扩大切除。横纹肌瘤的局部复发很少见,仅在成人横纹肌瘤中偶尔有报道。此前尚没有证据显示横纹肌瘤具有侵袭性的局部生长或转移潜力[5,7]。但本例在诊断过程中发现,产前诊断超声提示病灶与周边分界不清,上牙槽及上颌骨局部可见回声中断,而核磁共振更是直接提示该肿块呈膨胀性生长,并伴右侧眼眶、颧部、鼻腔、牙槽骨、腭部及口腔多个部位的侵犯。这与目前已报道的国内外病例均不相同,多个学者认为心外型横纹肌瘤边界清楚,位置较浅,位于皮下,不侵犯及破坏周围正常组织,很少有坏死区[8,9]。这是否说明横纹肌瘤虽为良性肿瘤,但也具有恶性肿瘤的生长方式。但目前此类病例样本量极少,该想法还有待证实。
目前术前诊断心外横纹肌瘤很困难。一是由于病例数量稀少;二是与分化较好的胚胎性横纹肌肉瘤有诸多相似之处,比如好发年龄与部位均相似[5,8,10]。那么对于产前诊断心外横纹肌瘤更是难上加难。目前对其诊断主要依赖于组织学检查[1]。但该病例的出现可以为超声医师们提供新的思路,在诊断胎儿头颈部肿瘤时,也应考虑胎儿横纹肌瘤的可能性。
所有作者均声明本研究不存在利益冲突





















